相关产品推荐更多 >

Insig1 Rabbit pAb(bs-5074R)-50ul/100ul/200ul
¥1180
MMP25 Rabbit pAb, HRP conjugated(bs-18964R-HRP)-100ul
¥2980
PALB2 Rabbit pAb, BF680 conjugated(bs-0588R-BF680)-100ul
¥2980
VGLUT1 Recombinant Rabbit mAb(bsm-60887R)-50ul/100ul/25ul
¥800
HSP90 beta Rabbit pAb, PerCP-Cy7 conjugated(bs-0135R-PerCP-Cy7)-100ul
¥2980
万千商家帮你免费找货
0 人在求购买到急需产品
- 详细信息
- 询价记录
- 文献和实验
- 技术资料
- 应用范围:
产品信息以Bioss网站为准
- 规格:
50ul/100ul/200ul
| 规格: | 50ul | 产品价格: | ¥1180.0 |
|---|---|---|---|
| 规格: | 100ul | 产品价格: | ¥1980.0 |
| 规格: | 200ul | 产品价格: | ¥2800.0 |
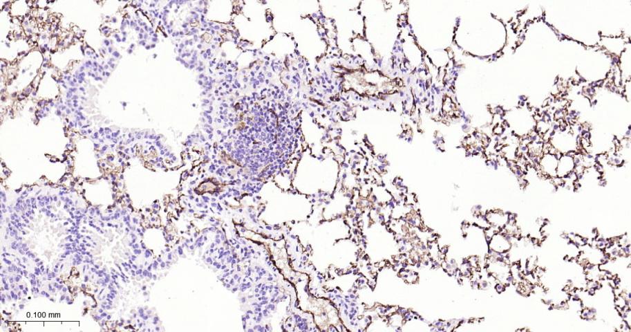
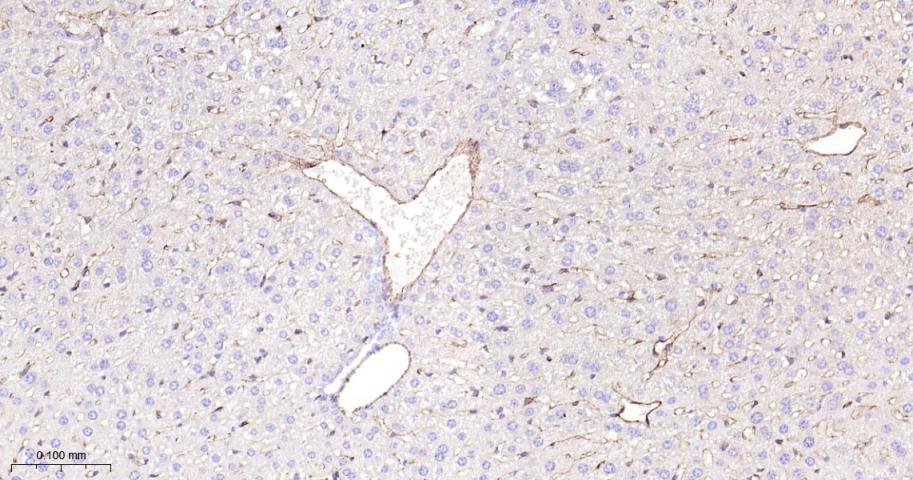
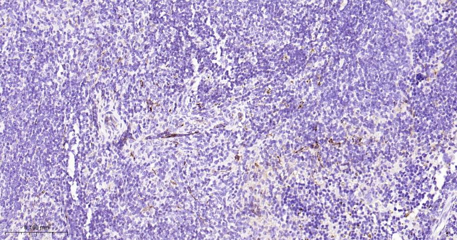
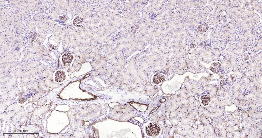
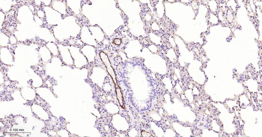
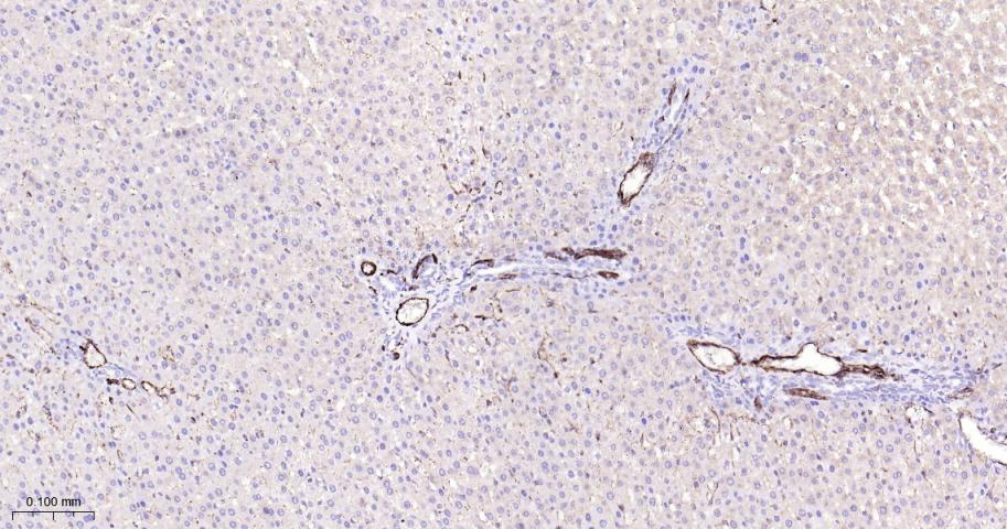
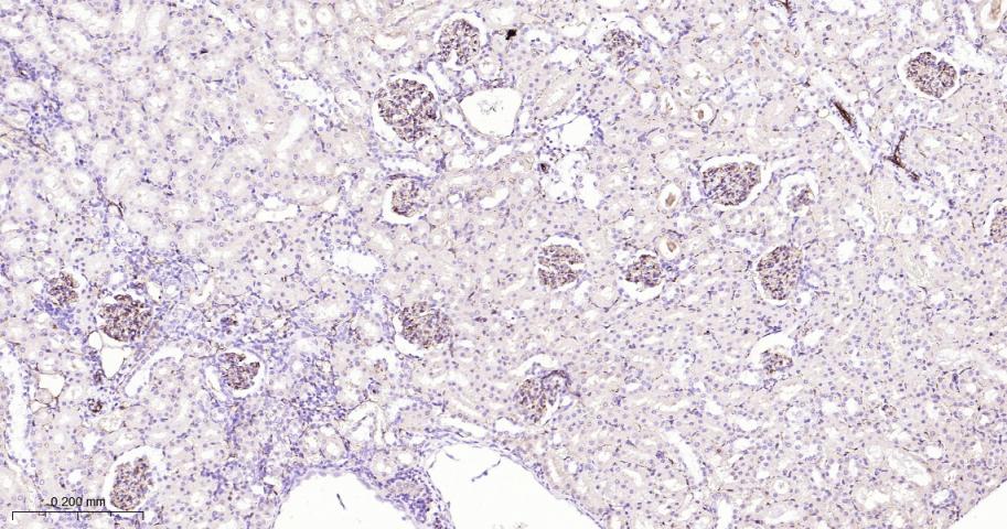
| 产品编号 | bs-20322R |
| 英文名称 | CD31 Rabbit pAb |
| 中文名称 | 血小板内皮细胞黏附分子-1抗体 |
| 英文别名 | platelet endothelial cell adhesion molecule precursor-1; PECAM-1; PECAM1; Adhesion molecule; CD31 antigen; CD31 EndoCAM; Endocam; FLJ34100; FLJ58394; GPIIA; Pecam 1; PECA1_HUMAN; PECAM 1 CD31 EndoCAM; PECA1; Pecam1; Platelet endothelial cell adhesion molecule; Platelet/endothelial cell adhesion molecule 1; Adhesion molecule; Platelet/endothelial cell adhesion molecule. |
| 产品应用 | IHC-P=1:200-500, IHC-F=1:200-500, IF=1:200-500 Not yet tested in other applications. |
| 交叉反应 | Mouse, Rat |
| 抗体来源 | Rabbit |
| 免疫原 | KLH conjugated synthetic peptide derived from mouse CD31 |
| 亚型 | IgG |
| 性状 | Liquid |
| 纯化方法 | affinity purified by Protein A |
| 克隆类型 | Polyclonal |
| 理论分子量 | 78 kDa |
| 浓度 | 1mg/ml |
| 储存液 | Preservative: 0.02% Proclin300, Constituents: 1% BSA, 0.01M PBS, pH7.4. |
| 亚基 | Trans-homodimer (via Ig-like C2-type 1 and Ig-like C2-type 2 domains); trans-homodimerization is required for cell-cell interaction (PubMed:26702061, PubMed:27958302). |
| 亚细胞定位 | Isoform Long: Membrane; Single-pass type I membrane protein. Cell junction. Note=Localizes to the lateral border recycling compartment (LBRC) and recycles from the LBRC to the junction in resting endothelial cells.Isoform Delta15: Cell junction. Note=Localizes to the lateral border recycling compartment (LBRC) and recycles from the LBRC to the junction in resting endothelial cells. |
| 组织特异性 | Expressed on platelets and leukocytes and is primarily concentrated at the borders between endothelial cells (PubMed:18388311, PubMed:21464369). |
| 翻译后修饰 | Phosphorylated on Ser and Tyr residues after cellular activation. Phosphorylated on tyrosine residues by FER and FES in response to FCER1 activation. In endothelial cells Fyn mediates mechanical-force (stretch or pull) induced tyrosine phosphorylation. |
| 相似性 | Contains 6 Ig-like C2-type (immunoglobulin-like) domains. |
| 功能 | Cell adhesion molecule which is required for leukocyte transendothelial migration (TEM) under most inflammatory conditions (PubMed:19342684, PubMed:17580308). |
| 保存条件 | Shipped at 4℃. Store at -20℃ for one year. Avoid repeated freeze/thaw cycles. |
| 注意事项 | This product as supplied is intended for research use only, not for use in human, therapeutic or diagnostic applications. |
| 背景资料 | The protein encoded by this gene is found on the surface of platelets, monocytes, neutrophils, and some types of T-cells, and makes up a large portion of endothelial cell intercellular junctions. The encoded protein is a member of the immunoglobulin superfamily and is likely involved in leukocyte migration, angiogenesis, and integrin activation. [provided by RefSeq, May 2010] |
| 应用 | 推荐稀释比例 |
| {IHC-P} | {1:200-500} |
| {IHC-F} | {1:200-500} |
| {IF} | {1:200-500} |








风险提示:丁香通仅作为第三方平台,为商家信息发布提供平台空间。用户咨询产品时请注意保护个人信息及财产安全,合理判断,谨慎选购商品,商家和用户对交易行为负责。对于医疗器械类产品,请先查证核实企业经营资质和医疗器械产品注册证情况。
- 作者
- 内容
- 询问日期
文献和实验[IF={{ 9.7 }}] {Annan Liu. et al. The versatile nanocomposite wound dressing with zinc replenishment, and enhanced photothermal and fluorescent performance for accelerating methicillin-resistant Staphylococcus aureus-infected diabetic wound repair and indicating dressing replacement. J COLLOID INTERF SCI. 2025 Oct;696:137867} {IF} {Rat}
[IF={{ 7.9 }}] {Mei-feng Zhang. et al. Catalpol attenuates ischemic stroke by promoting neurogenesis and angiogenesis via the SDF-1α/CXCR4 pathway. PHYTOMEDICINE. 2024 Jan;:155362} {IF} {Rat}
[IF={{ 5.443 }}] {Dai Yarong. et al. METTL3-Mediated m6A RNA Modification Regulates Corneal Injury Repair. Stem Cells Int. 2021;2021:5512153} {IF} {Mouse}
[IF={{ 20.722 }}] {Meng Lin. et al. CRISPR-based in situ engineering tumor cells to reprogram macrophages for effective cancer immunotherapy. Nano Today. 2022 Feb;42:101359} {IF} {Mouse}
[IF={{ 2.87 }}] {Zhihao Wang. et al. Rapid Preparation Method for Preparing Tracheal Decellularized Scaffolds: Vacuum Assistance and Optimization of DNase I. Acs Omega. 2021;6(16):10637–10644} {IF} {Rat}
= NAL), appears to form upon oxidative cyclization of the nonfluorescent 2:1 lysine-HNE Michael adduct-Schiff base cross-link (Scheme 1). Polyclonal antibody (PAb) to the NAL-HNE fluorophore was raised in rabbit and found to be highly specific
GE Healthcare Benzamidine Sepharose™ 6B is p-aminobenzamidine covalently attached to Sepharose 6B by the epoxy coupling method. p-Aminobenzamidine (PAB), is a synthetic inhibitor of trypsin-like serine protease. Trypsin and trypsin
Nucleic Acid Programmable Protein Arrays: Versatile Tools for Array‐Based Functional Protein Studies
.g., Sigma) 50 mg/ml bis‐sulfosuccinimdylsuberate (BS3 ;Pierce, cat. no. PI 21580) in dimethylsulfoxide (DMSO) 5 mg/ml
技术资料暂无技术资料 索取技术资料






