万千商家帮你免费找货
0 人在求购买到急需产品
- 详细信息
- 技术资料
- 免疫原:
peptide
- 亚型:
IgG
- 形态:
Liquid
- 保存条件:
-20℃
- 克隆性:
mAb
- 适应物种:
Human
- 保质期:
1年
- 目录编号:
TD-R23816
- 级别:
科研级
- 库存:
88
- 供应商:
武汉天德
- 宿主:
Rabbit
- 应用范围:
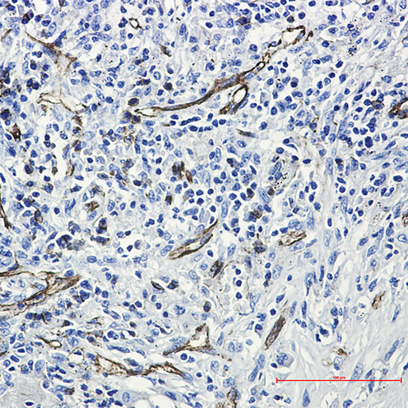
WB,IHC-P
- 靶点:
详询
- 抗体英文名:
CD31
- 抗体名:
CD31
- 规格:
100ul/50ul/20ul
| 规格: | 100ul | 产品价格: | ¥2280.0 |
|---|---|---|---|
| 规格: | 50ul | 产品价格: | ¥1280.0 |
| 规格: | 20ul | 产品价格: | ¥658.0 |
CD31 Rabbit mAb
|
Product Name
|
CD31 Rabbit mAb
|
|
Gene ID
|
5175
|
|
SwissProt ID
|
P16284
|
|
Gene Name
|
PECAM1
|
|
Alternative Names
|
Platelet endothelial cell adhesion molecule; PECAM-1; EndoCAM; GPIIA'; PECA1; CD antigen CD31
|
|
Background
|
PECAM-1 a cell adhesion molecule expressed on platelets and at endothelial cell intercellular junctions. Plays a role in modulation of integrin-mediated cell adhesion, transendothelial migration, angiogenesis, apoptosis, cell migration, negative regulation of immune cell signaling, autoimmunity, macrophage phagocytosis, IgE-mediated anaphylaxis and thrombosis. Undergoes alternative splicing, generating multiple isoforms in vascular beds of various tissues.
|
|
Research Field
|
Cardiovascular
|
|
Product Categories
|
Primary antibody
|
|
Host
|
Rabbit
|
|
Reactivity
|
Human
|
|
Application
|
WB,IHC-P
|
|
Dilution Ratio
|
WB: 1/500-1/1000 IHC: 1/50-1/100
|
|
Molecular Weight
|
Calculated MW: 83 kDa; Obs/erved MW: 130 kDa
|
|
Clonality
|
Monoclonal Antibody
|
|
Clonality No.
|
R07-6A1
|
|
Isotype
|
IgG
|
|
Immunogen
|
A synthetic peptide of human CD31
|
|
Purification
|
Affinity Purified
|
|
Conjugation
|
Unconjugated
|
|
Modification
|
Unmodified
|
|
Form
|
Liquid
|
|
Buffer System
|
50mM Tris-Glycine(pH 7.4), 0.15M NaCl, 40% Glycerol, 0.01% Sodium azide and 0.05% BSA
|
|
Storage
|
Store at 4°C short term. Aliquot and store at -20°C long term. Avoid freeze/thaw cycles.
|
![]() |
![]() |
风险提示:丁香通仅作为第三方平台,为商家信息发布提供平台空间。用户咨询产品时请注意保护个人信息及财产安全,合理判断,谨慎选购商品,商家和用户对交易行为负责。对于医疗器械类产品,请先查证核实企业经营资质和医疗器械产品注册证情况。
技术资料暂无技术资料 索取技术资料
CD31 Rabbit mAb
¥658 - 2280











