相关产品推荐更多 >

NLE1 Rabbit pAb, Biotin conjugated(bs-12401R-Bio)-100ul
¥2980
ELOVL1 Rabbit pAb, Biotin conjugated(bs-14571R-Bio)-100ul
¥2980
BCAS4 Rabbit pAb(bs-10260R)-50ul/100ul/200ul
¥1180
alpha 1 Antitrypsin Rabbit pAb, HRP conjugated(bs-0096R-HRP)-100ul
¥2980
SOX21 Rabbit pAb, Biotin conjugated(bs-11964R-Bio)-100ul
¥2980
万千商家帮你免费找货
0 人在求购买到急需产品
- 详细信息
- 文献和实验
- 技术资料
- 应用范围:
产品信息以Bioss网站为准
- 规格:
50ul/100ul/200ul
| 规格: | 50ul | 产品价格: | ¥1180.0 |
|---|---|---|---|
| 规格: | 100ul | 产品价格: | ¥1980.0 |
| 规格: | 200ul | 产品价格: | ¥2800.0 |
| 产品编号 | bs-2277R |
| 英文名称 | PAK1 Rabbit pAb |
| 中文名称 | p21激活激酶1抗体 |
| 英文别名 | alpha PAK; alpha-PAK; MGC130000; MGC130001; p21 activated kinase 1; p21 protein(Cdc42/Rac) activated kinase 1; p21-activated kinase 1; p21/Cdc42/Rac1 activated kinase 1(yeast Ste20 related); p21/Cdc42/Rac1 activated kinase 1; p21/Cdc42/Rac1-activated kinase 1(STE20 homolog, yeast); p65 PAK; p65-PAK; PAK alpha; PAK-1; Pak1; PAK1_HUMAN; Paka; PAKalpha; Protein kinase MUK2; Rac/p21-activated kinase; Serine/threonine-protein kinase PAK 1; STE20 homolog(yeast); STE20 homolog yeast. |
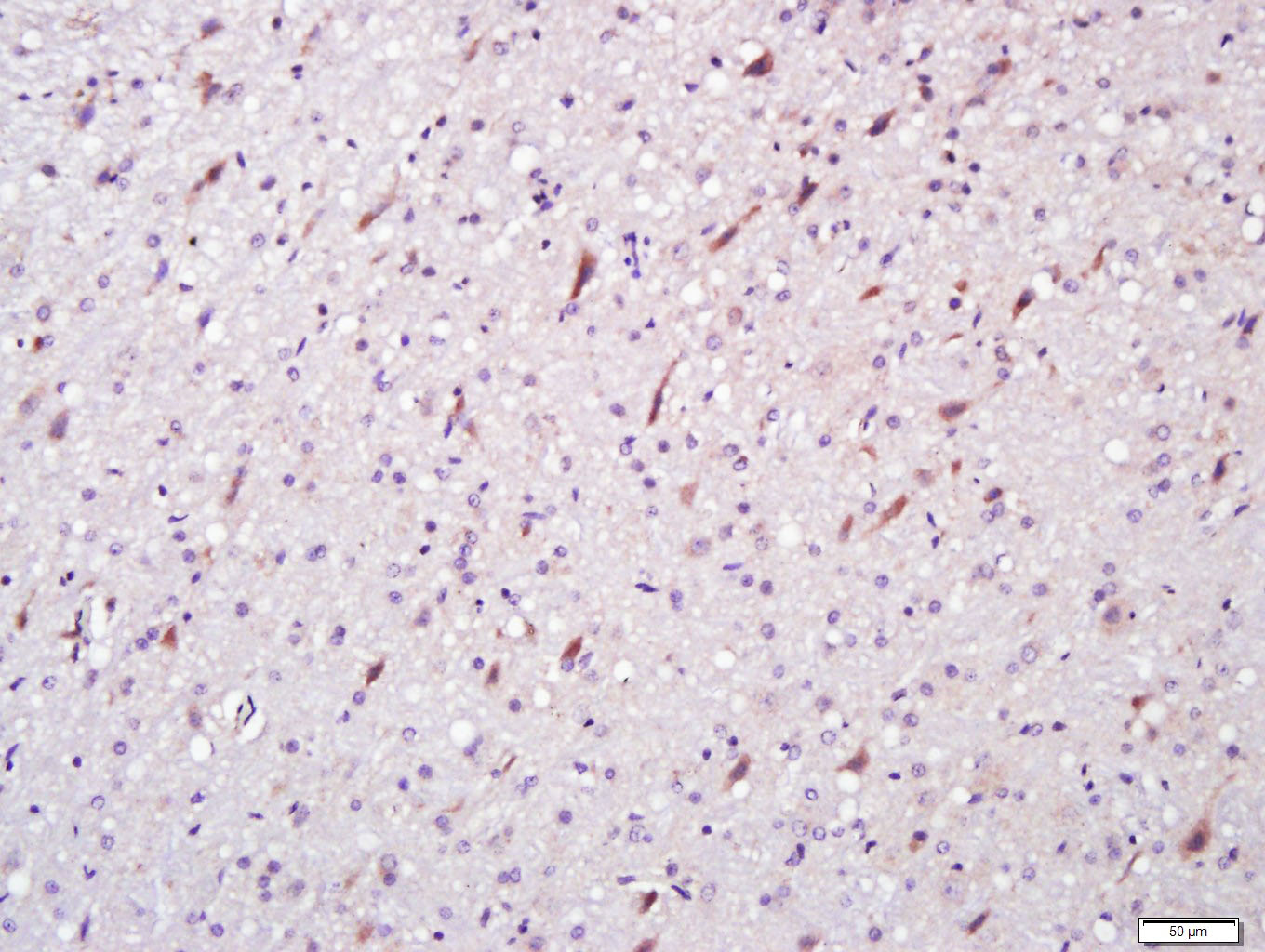
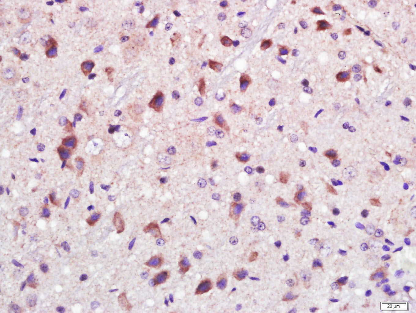
| 产品应用 | WB=1:500-2000, IHC-P=1:100-500, IHC-F=1:100-500, ICC/IF=1:100-500, IF=1:100-500 Not yet tested in other applications. |
| 交叉反应 | Human, Rat (Mouse, Dog, Rabbit) |
| 抗体来源 | Rabbit |
| 免疫原 | KLH conjugated synthetic peptide derived from human PAK1 |
| 亚型 | IgG |
| 性状 | Liquid |
| 纯化方法 | affinity purified by Protein A |
| 克隆类型 | Polyclonal |
| 理论分子量 | 60 kDa |
| 浓度 | 1mg/ml |
| 储存液 | 0.01M TBS (pH7.4) with 1% BSA, 0.02% Proclin300 and 50% Glycerol. |
| 研究领域 | Cancer > Signal transduction > Protein phosphorylation > Serine/threonine kinases Cell Biology > Apoptosis > Intracellular > Kinases Signal Transduction > Protein Phosphorylation > Ser / Thr Kinases > Other Kinases |
| 亚基 | Homodimer in its autoinhibited state. Active as monomer. Interacts tightly with GTP-bound but not GDP-bound CDC42/P21 and RAC1. Binds to the caspase-cleaved p110 isoform of CDC2L1 and CDC2L2, p110C, but not the full-length proteins. Component of cytoplasmic complexes, which also contain PXN, ARHGEF6 and GIT1. Interacts with ARHGEF7. Also interacts with CRIPAK. Interacts with NISCH. Interacts with DVL1; mediates the formation of a DVL1, MUSK and PAK1 ternary complex involved in AChR clustering. Probably found in a ternary complex composed of DSCAM, PAK1 and RAC1. Interacts with DSCAM (via cytoplasmic domain); the interaction is direct and enhanced in presence of RAC1. Interacts with SCRIB. Interacts with PDPK1. Interacts (via kinase domain) with RAF1. Interaction with NCK1 and NCK2. |
| 亚细胞定位 | Cytoplasm. Cell junction, focal adhesion. Note=Recruited to focal adhesions upon activation. |
| 翻译后修饰 | Autophosphorylated when activated by CDC42/p21 and RAC1. Phosphorylation at Thr-423 by PDPK1 results in its activation. |
| 相似性 | Belongs to the protein kinase superfamily. STE Ser/Thr protein kinase family. STE20 subfamily. Contains 1 CRIB domain. Contains 1 protein kinase domain. |
| 功能 | The activated kinase acts on a variety of targets. Likely to be the GTPase effector that links the Rho-related GTPases to the JNK MAP kinase pathway. Activated by CDC42 and RAC1. Involved in dissolution of stress fibers and reorganization of focal complexes. Involved in regulation of microtubule biogenesis through phosphorylation of TBCB. DVL1 and PAK1 form a ternary complex with MUSK which is important for MUSK-dependent regulation of AChR clustering during the formation of the neuromuscular junction (NMJ). Activity is inhibited in cells undergoing apoptosis, potentially due to binding of CDC2L1 and CDC2L2. Phosphorylates MYL9/MLC2. Phosphorylates RAF1 at 'Ser-338' and 'Ser-339' resulting in: activation of RAF1, stimulation of RAF1 translocation to mitochondria, phosphorylation of BAD by RAF1, and RAF1 binding to BCL2. |
| 保存条件 | Shipped at 4℃. Store at -20℃ for one year. Avoid repeated freeze/thaw cycles. |
| 注意事项 | This product as supplied is intended for research use only, not for use in human, therapeutic or diagnostic applications. |
| 背景资料 | The p21 activated kinases (PAK) are critical effectors that link Rho GTPases to cytoskeleton reorganization and nuclear signaling. The PAK proteins are a family of serine/threonine kinases that serve as targets for the small GTP binding proteins, CDC42 and RAC1, and have been implicated in a wide range of biological activities. The protein encoded by this gene is activated by proteolytic cleavage during caspase-mediated apoptosis, and may play a role in regulating the apoptotic events in the dying cell.P21-activated kinase (PAK) is actually a family of serine/threonine protein kinases, members of which are activated by small molecular weight GTPases. The three most common isoforms are PAK 1, PAK 2, and PAK 3 (also known as alpha PAK, gamma PAK, and beta PAK, respectively). These kinases contain numerous regulatory elements that trigger diverse signaling processes such as those initiated by activated GTPases, interaction with Src homology 3 (SH3) domains, and caspase mediated proteolytic cleavage. Autophosphorylation of serine 141 (serine 144 for PAK 1 and serine 139 PAK 3), catalyzed by Cdc42, is required for activation of PAK. |
| 应用 | 推荐稀释比例 |
| {WB} | {1:500-2000} |
| {IHC-P} | {1:100-500} |
| {IHC-F} | {1:100-500} |
| {ICC/IF} | {1:100-500} |
| {IF} | {1:100-500} |



Primary: Anti-PAK1(bs-2277R)at 1/300 dilution
Secondary: IRDye800CW Goat Anti-Rabbit IgG at 1/20000 dilution
Predicted band size: 60 kD
Observed band size: 60 kD

风险提示:丁香通仅作为第三方平台,为商家信息发布提供平台空间。用户咨询产品时请注意保护个人信息及财产安全,合理判断,谨慎选购商品,商家和用户对交易行为负责。对于医疗器械类产品,请先查证核实企业经营资质和医疗器械产品注册证情况。
文献和实验[IF={{ 4.8 }}] {Chengquan Han. et al.Integrated network pharmacology, molecular docking and in vivo experiments to elucidate the extenuative mechanisms of ginseng polysaccharide against Toxoplasma gondii-induced testicular toxicity.international immunopharmacology.2025 Feb 20:148:114147.} {Western blot} {Mouse}
[IF={{ 4.3 }}] {Qinbing Xue. et al. Lycorine (Lycoris radiata)—a unique natural medicine on breast cancer. J CELL MOL MED. 2024 Aug;28(16):e70032} {WB} {Human}
[IF={{ 2.894 }}] {Wufuer R et al. Downregulation of Rac1/PAK1/LIMK1/cofilin signaling pathway in colon cancer SW620 cells treated with Chlorin e6 photodynamic therapyPhotodiagnosis Photodyn Ther.2020 Dec 8;102143.} {WB} {Human}
[IF={{ 2.5 }}] {Chenlei Li. et al. Plexin D1 Negatively Regulates Macrophage-derived Foam Cell Migration via the Focal Adhesion Kinase/Paxillin Pathway. BIOCHEM BIOPH RES CO. 2024 Jun;:150236} {WB} {Mouse}
= NAL), appears to form upon oxidative cyclization of the nonfluorescent 2:1 lysine-HNE Michael adduct-Schiff base cross-link (Scheme 1). Polyclonal antibody (PAb) to the NAL-HNE fluorophore was raised in rabbit and found to be highly specific
GE Healthcare Benzamidine Sepharose™ 6B is p-aminobenzamidine covalently attached to Sepharose 6B by the epoxy coupling method. p-Aminobenzamidine (PAB), is a synthetic inhibitor of trypsin-like serine protease. Trypsin and trypsin
Nucleic Acid Programmable Protein Arrays: Versatile Tools for Array‐Based Functional Protein Studies
.g., Sigma) 50 mg/ml bis‐sulfosuccinimdylsuberate (BS3 ;Pierce, cat. no. PI 21580) in dimethylsulfoxide (DMSO) 5 mg/ml
技术资料暂无技术资料 索取技术资料





