相关产品推荐更多 >

TMEM158 Rabbit pAb, BF594 conjugated(bs-11770R-BF594)-100ul
¥2980
GABRB2 Rabbit pAb, Biotin conjugated(bs-12065R-Bio)-100ul
¥2980
Rad52 Rabbit pAb(bs-1878R)-50ul/100ul/200ul
¥1180
phospho-RAD9 (Tyr28) Rabbit pAb(bs-5659R)-50ul/100ul/200ul
¥1180
phospho-TrkB (Tyr705) Rabbit pAb, AP conjugated(bs-5526R-AP)-100ul
¥2980
万千商家帮你免费找货
0 人在求购买到急需产品
- 详细信息
- 文献和实验
- 技术资料
- 应用范围:
产品信息以Bioss网站为准
- 规格:
50ul/100ul/200ul
| 规格: | 50ul | 产品价格: | ¥1180.0 |
|---|---|---|---|
| 规格: | 100ul | 产品价格: | ¥1980.0 |
| 规格: | 200ul | 产品价格: | ¥2800.0 |
| 产品编号 | bs-1143R |
| 英文名称 | STAT6 Rabbit pAb |
| 中文名称 | 信号转导和转录激活因子6抗体 |
| 英文别名 | signal transducers and activators of transduction 6; D12S1644; IL 4 STAT; IL4 STAT; Interleukin 4 Induced; Interleukin 4 Induced Transcription Factor IL4 STAT; Signal Transducer And Activator Of Transcription 6 Interleukin 4 Induced; Signal Transducer And Activator Of Transcription 6 Nirs Variant 1; STAT 6; STAT interleukin4 induced; STAT6B; STAT6C; Transcription factor IL 4 STAT. |
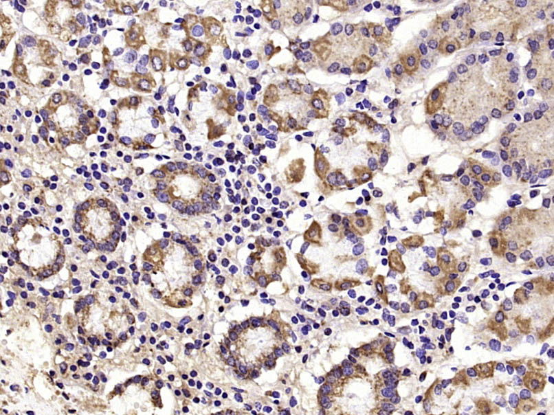
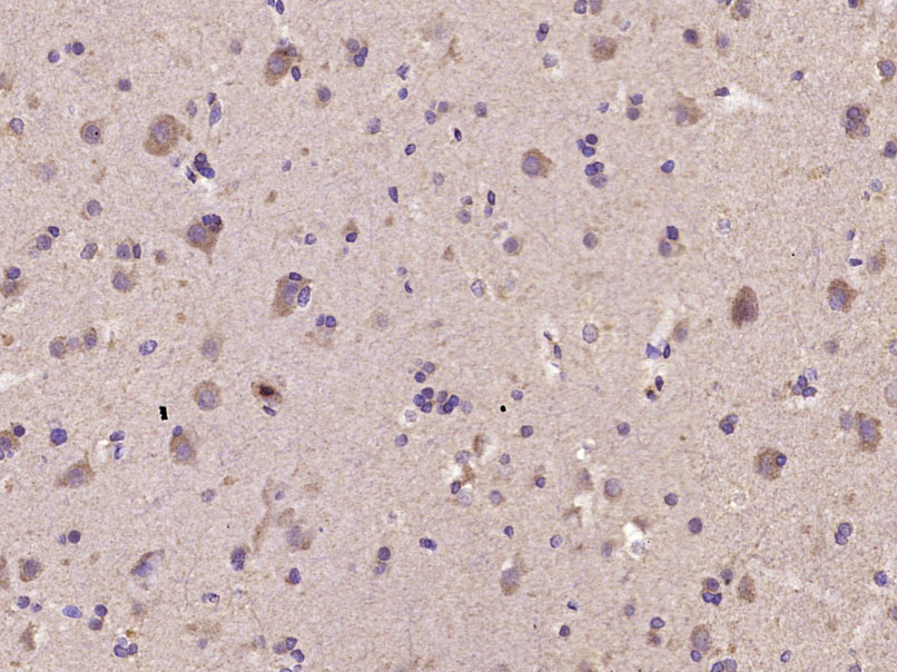
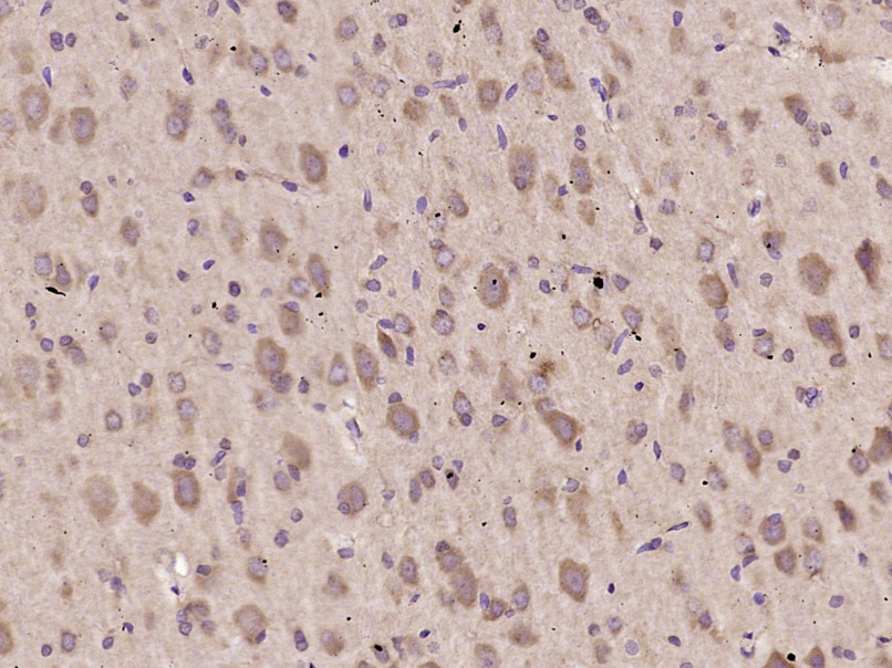
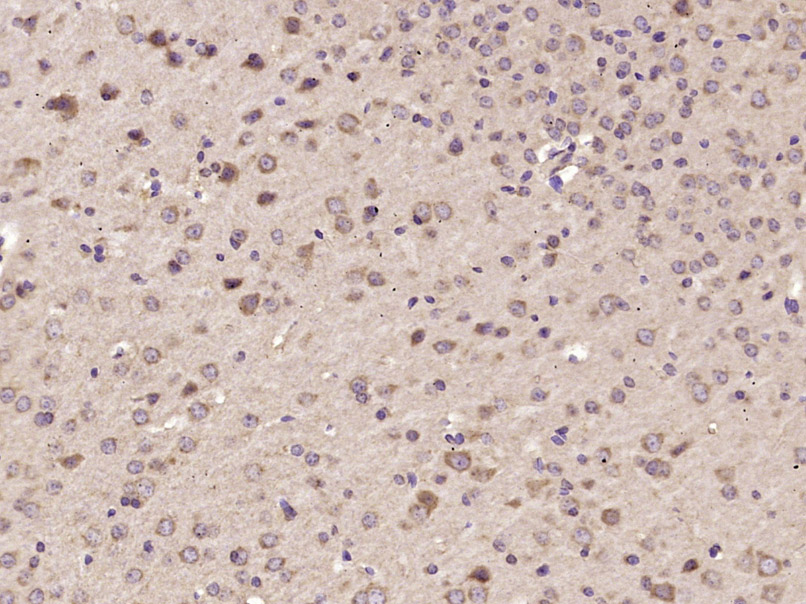
| 产品应用 | IHC-P=1:100-500, IHC-F=1:100-500, IF=1:100-500 Not yet tested in other applications. |
| 交叉反应 | Human, Mouse, Rat (Dog) |
| 抗体来源 | Rabbit |
| 免疫原 | KLH conjugated synthetic peptide derived from human STAT6 |
| 亚型 | IgG |
| 性状 | Liquid |
| 纯化方法 | affinity purified by Protein A |
| 克隆类型 | Polyclonal |
| 理论分子量 | 94 kDa |
| 浓度 | 1mg/ml |
| 储存液 | 0.01M TBS (pH7.4) with 1% BSA, 0.02% Proclin300 and 50% Glycerol. |
| 研究领域 | Cancer > Signal transduction > Nuclear signaling > STAT family Epigenetics and Nuclear Signaling > Nuclear Signaling Pathways > STATs Epigenetics and Nuclear Signaling > Transcription > Transcription Factors Kits/ Lysates/ Other > Kits > ELISA Kits > In Cell ELISA Kits > Phosphoprotein ICE kits Signal Transduction > Signaling Pathway > Nuclear Signaling > STATs |
| 亚基 | Forms a homodimer or a heterodimer with a related family member (By similarity). Interacts with NCOA1 via its C-terminal LXXLL motif. |
| 亚细胞定位 | Cytoplasm. Nucleus. Note=Translocated into the nucleus in response to phosphorylation. |
| 翻译后修饰 | Tyrosine phosphorylated following stimulation by IL-4 and IL-3. |
| 相似性 | Belongs to the transcription factor STAT family. Contains 1 SH2 domain. |
| 功能 | Carries out a dual function: signal transduction and activation of transcription. Involved in interleukin-4 signalling. |
| 保存条件 | Shipped at 4℃. Store at -20℃ for one year. Avoid repeated freeze/thaw cycles. |
| 注意事项 | This product as supplied is intended for research use only, not for use in human, therapeutic or diagnostic applications. |
| 背景资料 | The protein encoded by this gene is a member of the STAT family of transcription factors. In response to cytokines and growth factors, STAT family members are phosphorylated by the receptor associated kinases, and then form homo- or heterodimers that translocate to the cell nucleus where they act as transcription activators. This protein plays a central role in exerting IL4 mediated biological responses. It is found to induce the expression of BCL2L1/BCL-X (L), which is responsible for the anti-apoptotic activity of IL4. Knockout studies in mice suggested the roles of this gene in differentiation of T helper 2 (Th2) cells, expression of cell surface markers, and class switch of immunoglobulins. Also known as: signal transducers and activators of transduction 6; D12S1644; IL 4 STAT; IL4 STAT; Interleukin 4 Induced; Interleukin 4 Induced Transcription Factor IL4 STAT; Signal Transducer And Activator Of Transcription 6 Interleukin 4 Induced; Signal Transducer And Activator Of Transcription 6 Nirs Variant 1; STAT 6; STAT interleukin4 induced; STAT6B; STAT6C; Transcription factor IL 4 STAT. |
| 应用 | 推荐稀释比例 |
| {IHC-P} | {1:100-500} |
| {IHC-F} | {1:100-500} |
| {IF} | {1:100-500} |




风险提示:丁香通仅作为第三方平台,为商家信息发布提供平台空间。用户咨询产品时请注意保护个人信息及财产安全,合理判断,谨慎选购商品,商家和用户对交易行为负责。对于医疗器械类产品,请先查证核实企业经营资质和医疗器械产品注册证情况。
文献和实验[IF={{ 4.8 }}] {Peng, Shuying. et al.Canthaxanthin ameliorates atopic dermatitis in mice by suppressing Th2 immune response.INTERNATIONAL IMMUNOPHARMACOLOGY.2025 Feb 6:147:113975.} {Flow cytometry} {Mouse}
[IF={{ 4.716 }}] {Jiang Z et al. Calreticulin Blockade Attenuates Murine Acute Lung Injury by Inducing Polarization of M2 Subtype Macrophages. Front Immunol. 2020 Jan 30;11:11.} {ICC} {Mouse}
[IF={{ 1.918 }}] {Jisheng Wang. et al. Biological Network Model of Effect of Chronic Intermittent Hypoxia on Spermatogenesis in Rats. Med Sci Monitor. 2020; 26: e925579-1–e925579-11} {WB} {Rat}
= NAL), appears to form upon oxidative cyclization of the nonfluorescent 2:1 lysine-HNE Michael adduct-Schiff base cross-link (Scheme 1). Polyclonal antibody (PAb) to the NAL-HNE fluorophore was raised in rabbit and found to be highly specific
/96T 2000/3000 进口分装 F0021 骨成型蛋白-9(BMP-9) ELISA 48T/96T 2000/3000 进口分装 F0022 BMP-R1A ELISA 48T/96T 2000/3000 进口分装 F0023 BMP-R2 ELISA 48T/96T 2000/3000 进口分装 F0024 BTC ELISA 48T/96T 2000/3100 进口分装 F0030 CAE-Ab ELISA 96
/96T 2000/3000 进口分装 F0021 骨成型蛋白-9(BMP-9) ELISA 48T/96T 2000/3000 进口分装 F0022 BMP-R1A ELISA 48T/96T 2000/3000 进口分装 F0023 BMP-R2 ELISA 48T/96T 2000/3000 进口分装 F0024 BTC ELISA 48T/96T 2000/3100 进口分装 F0030 CAE-Ab ELISA 96
技术资料暂无技术资料 索取技术资料





