相关产品推荐更多 >

Dishevelled 3 Rabbit pAb, AP conjugated(bs-9467R-AP)-100ul
¥2980
EpCAM Rabbit pAb, BF555 conjugated(bs-0593R-BF555)-100ul
¥2980
Junctophilin 4 Rabbit pAb, HRP conjugated(bs-11084R-HRP)-100ul
¥2980
LC3B Recombinant Rabbit mAb(bsm-60842R)-50ul/100ul/25ul
¥800
IKBKE/IKKi/IKKe Rabbit pAb(bs-4114R)-50ul/100ul/200ul
¥1180
万千商家帮你免费找货
0 人在求购买到急需产品
- 详细信息
- 文献和实验
- 技术资料
- 应用范围:
产品信息以Bioss网站为准
- 规格:
50ul/100ul/200ul
| 规格: | 50ul | 产品价格: | ¥1180.0 |
|---|---|---|---|
| 规格: | 100ul | 产品价格: | ¥1980.0 |
| 规格: | 200ul | 产品价格: | ¥2800.0 |
| 产品编号 | bs-1244R |
| 英文名称 | Cytokeratin 1 Rabbit pAb |
| 中文名称 | 细胞角蛋白1抗体 |
| 英文别名 | Cytokeratin-1; 67 kDa cytokeratin; CK 1; CK1; Cytokeratin1; EHK1; Hair alpha protein; K 1; K1; Keratin 1; Keratin type II cytoskeletal 1; Keratin1; KRT 1; KRT1A; K2C1_HUMAN; Keratin, type II cytoskeletal 1; Cytokeratin-1; CK-1; Keratin-1; Type-II keratin Kb1. |
| 产品应用 | IHC-P=1:100-500, IHC-F=1:100-500, IF=1:100-500, Flow-Cyt=1μg/Test Not yet tested in other applications. |
| 交叉反应 | Human, Mouse, Rabbit (Rat, Dog, Cow, Horse) |
| 抗体来源 | Rabbit |
| 免疫原 | KLH conjugated synthetic peptide derived from human Cytokeratin 1 |
| 亚型 | IgG |
| 性状 | Liquid |
| 纯化方法 | affinity purified by Protein A |
| 克隆类型 | Polyclonal |
| 理论分子量 | 70 kDa |
| 浓度 | 1mg/ml |
| 储存液 | 0.01M TBS (pH7.4) with 1% BSA, 0.02% Proclin300 and 50% Glycerol. |
| 研究领域 | Signal Transduction > Cytoskeleton / ECM > Cytoskeleton > Intermediate Filaments > Class I > Cytokeratins Signal Transduction > Cytoskeleton / ECM > Cytoskeleton > Microtubules > Cytokeratin |
| 亚基 | Heterotetramer of two type I and two type II keratins. Keratin-1 is generally associated with keratin-10. Interacts with ITGB1 in the presence of GNB2L1 and SRC, and with GNB2L1. Interacts with C1QBP; the association represents a cell surface kininogen receptor. |
| 亚细胞定位 | Cell membrane. Note=Located on plasma membrane of neuroblastoma NMB7 cells. |
| 组织特异性 | The source of this protein is neonatal foreskin. The 67-kDa type II keratins are expressed in terminally differentiating epidermis. Post-translational modifications : Undergoes deimination of some arginine residues (citrullination). |
| 翻译后修饰 | Undergoes deimination of some arginine residues (citrullination). |
| 相似性 | Belongs to the intermediate filament family. |
| 功能 | May regulate the activity of kinases such as PKC and SRC via binding to integrin beta-1 (ITB1) and the receptor of activated protein kinase C (RACK1/GNB2L1). In complex with C1QBP is a high affinty receptor for kininogen-1/HMWK. |
| 保存条件 | Shipped at 4℃. Store at -20℃ for one year. Avoid repeated freeze/thaw cycles. |
| 注意事项 | This product as supplied is intended for research use only, not for use in human, therapeutic or diagnostic applications. |
| 背景资料 | The protein encoded by this gene is a member of the keratin gene family. The type II cytokeratins consist of basic or neutral proteins which are arranged in pairs of heterotypic keratin chains coexpressed during differentiation of simple and stratified epithelial tissues. This type II cytokeratin is specifically expressed in the spinous and granular layers of the epidermis with family member KRT10 and mutations in these genes have been associated with bullous congenital ichthyosiform erythroderma. The type II cytokeratins are clustered in a region of chromosome 12q12-q13. [provided by RefSeq]. |
| 应用 | 推荐稀释比例 |
| {IHC-P} | {1:100-500} |
| {IHC-F} | {1:100-500} |
| {IF} | {1:100-500} |
| {Flow-Cyt} | {1μg/Test} |

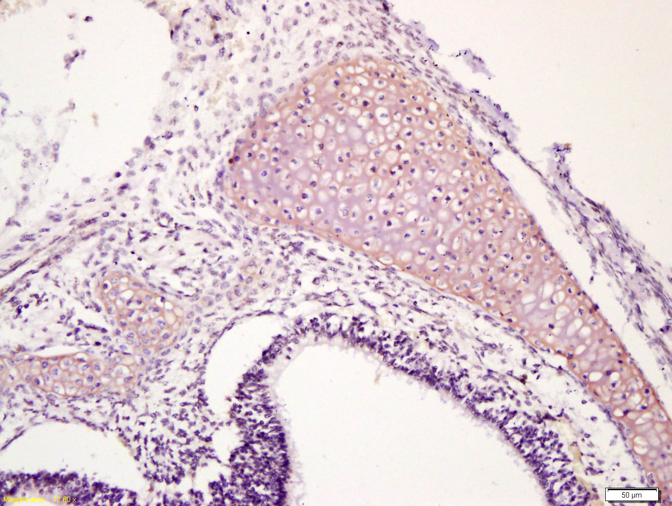
Antigen retrieval: citrate buffer ( 0.01M, pH 6.0 ), Boiling bathing for 15min; Block endogenous peroxidase by 3% Hydrogen peroxide for 30min; Blocking buffer (normal goat serum,C-0005) at 37℃ for 20 min;
Incubation: Anti-Cytokeratin 1 Polyclonal Antibody, Unconjugated(bs-1244R) 1:200, overnight at 4°C, followed by conjugation to the secondary antibody(SP-0023) and DAB(C-0010) staining

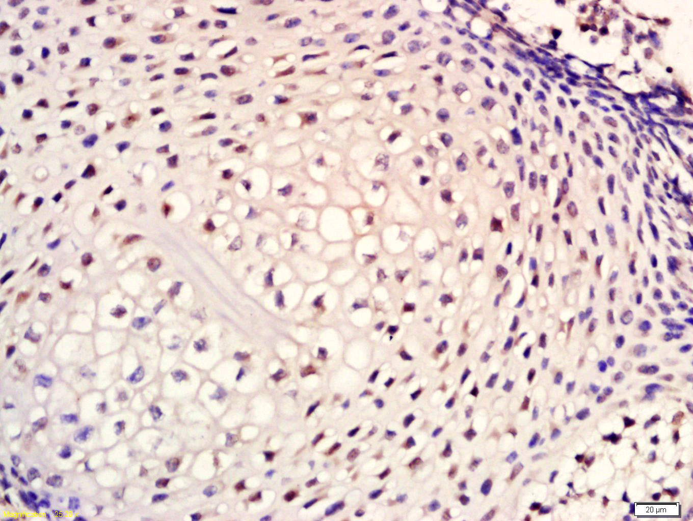
Antigen retrieval: citrate buffer ( 0.01M, pH 6.0 ), Boiling bathing for 15min; Block endogenous peroxidase by 3% Hydrogen peroxide for 30min; Blocking buffer (normal goat serum,C-0005) at 37℃ for 20 min;
Incubation: Anti-Cytokeratin 1 Polyclonal Antibody, Unconjugated(bs-1244R) 1:200, overnight at 4°C, followed by conjugation to the secondary antibody(SP-0023) and DAB(C-0010) staining

Primary Antibody (green line): Rabbit Anti-Cytokeratin 1/PE Conjugated antibody (bs-1244R-PE)
Dilution: 0.2μg /10^6 cells;
Isotype Control Antibody (orange line): Rabbit IgG-PE .
Protocol
The cells were fixed with 70% ice-cold methanol overnight at 4℃ . The cells were then incubated in 1 X PBS/2%BSA/10% goat serum to block non-specific protein-protein interactions followed by the antibody for 15 min at room temperature. Cells stained with Primary Antibody for 30 min at room temperature.Acquisition of 20,000 events was performed.

Primary Antibody (green line): Rabbit Anti-Cytokeratin 1/FITC Conjugated antibody (bs-1244R-PE)
Dilution: 1μg /10^6 cells;
Isotype Control Antibody (orange line): Rabbit IgG-PE.
Protocol
The cells were fixed with 70% ice-cold methanol overnight at 4℃ . The cells were then incubated in 1 X PBS/2%BSA/10% goat serum to block non-specific protein-protein interactions followed by the antibody for 15 min at room temperature. Cells stained with Primary Antibody for 30 min at room temperature.Acquisition of 20,000 events was performed.

Primary Antibody (green line): Rabbit Anti-Cytokeratin 1/FITC Conjugated antibody (bs-1244R-FITC)
Dilution: 1μg /10^6 cells;
Isotype Control Antibody (orange line): Rabbit IgG-FITC.
Protocol
The cells were fixed with 70% ice-cold methanol overnight at 4℃ . The cells were then incubated in 1 X PBS/2%BSA/10% goat serum to block non-specific protein-protein interactions followed by the antibody for 15 min at room temperature. Cells stained with Primary Antibody for 30 min at room temperature.Acquisition of 20,000 events was performed.
风险提示:丁香通仅作为第三方平台,为商家信息发布提供平台空间。用户咨询产品时请注意保护个人信息及财产安全,合理判断,谨慎选购商品,商家和用户对交易行为负责。对于医疗器械类产品,请先查证核实企业经营资质和医疗器械产品注册证情况。
文献和实验[IF={{ 3.118 }}] {Qianqian Wu. et al. Protection of melatonin against long‐term radon exposure‐caused lung injury. Environ Toxicol. 2021 Apr;36(4):472-483} {Other} {}
[IF={{ 2.923 }}] {Junyuan Ma. et al. Effects of melatonin on development and hormone secretion of sheep theca cells in vitro. THERIOGENOLOGY. 2023 Mar;198:172} {IF} {Sheep}
[IF={{ 2.5 }}] {Xue-qin Zhang. et al. The clinical significance and biological function of tropomyosin 3 in ulcerative colitis. TISSUE CELL. 2025 Jan;:102770} {WB} {Human,Mouse}
[IF={{ 12.02 }}] {Wakiyama H. et al. Treg-Dominant Tumor Microenvironment Is Responsible for Hyperprogressive Disease after PD-1 Blockade Therapy.. CANCER IMMUNOL RES. 2022 Nov;10(11):1386-1397} {IHC} {Mouse}
Nucleic Acid Programmable Protein Arrays: Versatile Tools for Array‐Based Functional Protein Studies
.g., Sigma) 50 mg/ml bis‐sulfosuccinimdylsuberate (BS3 ;Pierce, cat. no. PI 21580) in dimethylsulfoxide (DMSO) 5 mg/ml
技术资料暂无技术资料 索取技术资料






