相关产品推荐更多 >

PUF60 Rabbit pAb, PerCP-Cy7 conjugated(bs-19595R-PerCP-Cy7)-100ul
¥2980
Cyclin A1 Rabbit pAb(bs-22318R)-50ul/100ul/200ul
¥1180
FITM2 Rabbit pAb, Biotin conjugated(bs-16091R-Bio)-100ul
¥2980
SAMD8 Rabbit pAb(bs-19376R)-50ul/100ul/200ul
¥1180
GPR48 Rabbit pAb, PerCP-Cy7 conjugated(bs-10054R-PerCP-Cy7)-100ul
¥2980
万千商家帮你免费找货
0 人在求购买到急需产品
- 详细信息
- 文献和实验
- 技术资料
- 应用范围:
产品信息以Bioss网站为准
- 规格:
50ul/100ul/200ul
| 规格: | 50ul | 产品价格: | ¥1180.0 |
|---|---|---|---|
| 规格: | 100ul | 产品价格: | ¥1980.0 |
| 规格: | 200ul | 产品价格: | ¥2800.0 |
| 产品编号 | bs-1980R |
| 英文名称 | MASP2 Rabbit pAb |
| 中文名称 | 甘露聚糖结合凝集素丝氨酸肽酶2抗体 |
| 英文别名 | mannan-binding lectin serine peptidase 2; MAP19; MASP-2; Mannose-binding protein-associated serine protease 2; MBL-associated serine protease 2; MASP1P1; sMAP; Small MBL associated protein.(Contains: Mannan-binding lectin serine protease 2 A chain; Mannan-binding lectin serine protease 2 B chain). |
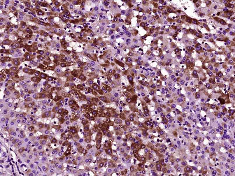
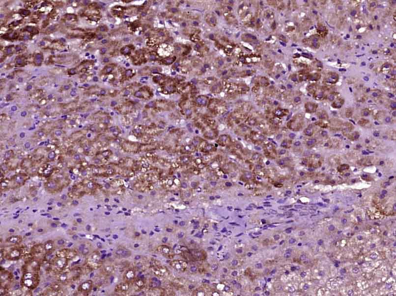
| 产品应用 | WB=1:500-2000, IHC-P=1:100-500, IHC-F=1:100-500, IF=1:100-500 Not yet tested in other applications. |
| 交叉反应 | Human, Mouse, Rat (Horse) |
| 抗体来源 | Rabbit |
| 免疫原 | KLH conjugated synthetic peptide derived from human MASP2 |
| 亚型 | IgG |
| 性状 | Liquid |
| 纯化方法 | affinity purified by Protein A |
| 克隆类型 | Polyclonal |
| 理论分子量 | 74 kDa |
| 浓度 | 1mg/ml |
| 储存液 | 0.01M TBS (pH7.4) with 1% BSA, 0.02% Proclin300 and 50% Glycerol. |
| 研究领域 | Cardiovascular > Blood > Serum Proteins Immunology > Innate Immunity > Complement |
| 亚基 | Homodimer; disulfide-linked. Binds MBL2. Isoform 2 binds to MASP1. Binds SERPING1. Dimerization and MBL2 binding requires calcium ions. |
| 亚细胞定位 | Secreted. |
| 组织特异性 | Plasma. |
| 翻译后修饰 | The iron and 2-oxoglutarate dependent 3-hydroxylation of aspartate and asparagine is (R) stereospecific within EGF domains.
Activated by cleavage after Arg-444. The uncleaved zymogen is inactive towards synthetic substrates, but has sufficient activity to effect autocatalytic cleavage. |
| 相似性 | Belongs to the peptidase S1 family. Contains 2 CUB domains. Contains 1 EGF-like domain. Contains 1 peptidase S1 domain. Contains 2 Sushi (CCP/SCR) domains. |
| 功能 | Serum protease that plays an important role in the activation of the complement system via mannose-binding lectin. After activation by auto-catalytic cleavage it cleaves C2 and C4, leading to their activation and to the formation of C3 convertase. |
| 保存条件 | Shipped at 4℃. Store at -20℃ for one year. Avoid repeated freeze/thaw cycles. |
| 注意事项 | This product as supplied is intended for research use only, not for use in human, therapeutic or diagnostic applications. |
| 背景资料 | This gene encodes a member of the peptidase S1 family of serine proteases. The encoded preproprotein is proteolytically processed to generate A and B chains that heterodimerize to form the mature protease. This protease cleaves complement components C2 and C4 in order to generate C3 convertase in the lectin pathway of the complement system. The encoded protease also plays a role in the coagulation cascade through cleavage of prothrombin to form thrombin. Myocardial infarction and acute stroke patients exhibit reduced serum concentrations of the encoded protein. Alternative splicing results in multiple transcript variants, at least one of which encodes an isoform that is proteolytically processed. [provided by RefSeq, Feb 2016] |
| 应用 | 推荐稀释比例 |
| {WB} | {1:500-2000} |
| {IHC-P} | {1:100-500} |
| {IHC-F} | {1:100-500} |
| {IF} | {1:100-500} |

Lung (Mouse) Lysate at 40 ug
Cerebrum (Mouse) Lysate at 40 ug
_x000b_Primary: Anti- MASP2 (bs-1980R) at 1/300 dilution
Secondary: IRDye800CW Goat Anti-Rabbit IgG at 1/20000 dilution
Predicted band size: 74 kD
Observed band size: 74 kD



Plasma(Rat) Lysate at 40 ug
Primary: Anti-MASP2 (bs-1980R) at 1/1000 dilution
Secondary: IRDye800CW Goat Anti-Rabbit IgG at 1/20000 dilution
Predicted band size: 74 kD
Observed band size: 75 kD
风险提示:丁香通仅作为第三方平台,为商家信息发布提供平台空间。用户咨询产品时请注意保护个人信息及财产安全,合理判断,谨慎选购商品,商家和用户对交易行为负责。对于医疗器械类产品,请先查证核实企业经营资质和医疗器械产品注册证情况。
文献和实验= NAL), appears to form upon oxidative cyclization of the nonfluorescent 2:1 lysine-HNE Michael adduct-Schiff base cross-link (Scheme 1). Polyclonal antibody (PAb) to the NAL-HNE fluorophore was raised in rabbit and found to be highly specific
component (0.151%) and has been reported to be a carcinogenic agent (Kuhara et al., 1980). Our early study has found that oral administration of clivorine to rat leads to death and that the major hurt is happened in the liver (unpublished data
关于论坛中所有Native PAGE/非变性电泳及蛋白回收的经典总结
polymerase, wheat germ DNA topoisomerase, and other enzymes. Anal Biochem, 1980, 109: 76-8613 Ausubel FM, Brent R, Kingston RE, Moore DD, Seidman JG, Smith JA, Struhl K. Short Protocols in Molecular Biology, 3rd ed. New York: John Wiley & Sons, Inc., 1995
技术资料暂无技术资料 索取技术资料






