相关产品推荐更多 >

DDIT4L Rabbit pAb, HRP conjugated(bs-6376R-HRP)-100ul
¥2980
GDPD5 Rabbit pAb(bs-9207R)-50ul/100ul/200ul
¥1180
KiSS1 receptor Rabbit pAb(bs-2501R)-50ul/100ul/200ul
¥1180
Anti-human CD19 (Denintuzumab Biosimilar)(BIO0454SM)-1mg/5mg/20mg
¥3200
Galectin 3 Rabbit pAb, PE-Cy7 conjugated(bs-0721R-PE-Cy7)-100ul
¥2980
万千商家帮你免费找货
0 人在求购买到急需产品
- 详细信息
- 文献和实验
- 技术资料
- 应用范围:
产品信息以Bioss网站为准
- 规格:
50ul/100ul/200ul
| 规格: | 50ul | 产品价格: | ¥1180.0 |
|---|---|---|---|
| 规格: | 100ul | 产品价格: | ¥1980.0 |
| 规格: | 200ul | 产品价格: | ¥2800.0 |
| 产品编号 | bs-1354R |
| 英文名称 | Clusterin Rabbit pAb |
| 中文名称 | 载脂蛋白J(APOJ)抗体 |
| 英文别名 | CLUS_HUMAN; Aging-associated gene 4 protein; Apolipoprotein J(Apo-J); Complement cytolysis inhibitor(CLI); Complement-associated protein SP-40, 40; Ku70-binding protein 1; NA1/NA2; Sulfated glycoprotein 2(SGP-2); Testosterone-repressed prostate message 2(TRPM-2); APOJ; CLI; KUB1; AAG4; CLU2; SGP2; SP-40; TRPM2; CLU; |
| 产品应用 | IHC-P=1:100-500, IHC-F=1:100-500, IF=1:100-500 Not yet tested in other applications. |
| 交叉反应 | Human, Rat (Mouse) |
| 抗体来源 | Rabbit |
| 免疫原 | KLH conjugated synthetic peptide derived from human CLU |
| 亚型 | IgG |
| 性状 | Liquid |
| 纯化方法 | affinity purified by Protein A |
| 克隆类型 | Polyclonal |
| 理论分子量 | 50 kDa |
| 浓度 | 1mg/ml |
| 储存液 | 0.01M TBS (pH7.4) with 1% BSA, 0.02% Proclin300 and 50% Glycerol. |
| 研究领域 | Cancer > Tumor biomarkers Cardiovascular > Lipids / Lipoproteins > Lipoproteins/Apolipoproteins Cardiovascular > Lipids / Lipoproteins > Lipoproteins/Apolipoproteins > Apolipoproteins Immunology > Innate Immunity > Complement > Classical Pathway Metabolism > Types of disease > Cancer Signal Transduction > Metabolism > Lipid metabolism |
| 亚细胞定位 | Nucleus. Cytoplasm. Mitochondrion membrane. Cytoplasm, cytosol. Microsome. Endoplasmic reticulum. Cytoplasmic vesicle, secretory vesicle, chromaffin granule. Isoforms lacking the N-terminal signal sequence have been shown to be cytoplasmic and/or nuclear. Secreted isoforms can retrotranslocate from the secretory compartments to the cytosol upon cellular stress. Detected in perinuclear foci that may be aggresomes containing misfolded, ubiquitinated proteins. Detected at the mitochondrion membrane upon induction of apoptosis and Secreted. Can retrotranslocate from the secretory compartments to the cytosol upon cellular stress. |
| 组织特异性 | Detected in blood plasma, cerebrospinal fluid, milk, seminal plasma and colon mucosa. Detected in the germinal center of colon lymphoid nodules and in colon parasympathetic ganglia of the Auerbach plexus (at protein level). Ubiquitous. Detected in brain, testis, ovary, liver and pancreas, and at lower levels in kidney, heart, spleen and lung. |
| 翻译后修饰 | Isoform 1 is proteolytically cleaved on its way through the secretory system, probably within the Golgi lumen.
Polyubiquitinated, leading to proteasomal degradation.
Heavily N-glycosylated. About 30% of the protein mass is comprised of complex N-linked carbohydrate. |
| 相似性 | Belongs to the clusterin family. |
| 功能 | Isoform 1 functions as extracellular chaperone that prevents aggregation of nonnative proteins. Prevents stress-induced aggregation of blood plasma proteins. Inhibits formation of amyloid fibrils by APP, APOC2, B2M, CALCA, CSN3, SNCA and aggregation-prone LYZ variants (in vitro). Does not require ATP. Maintains partially unfolded proteins in a state appropriate for subsequent refolding by other chaperones, such as HSPA8/HSC70. Does not refold proteins by itself. Binding to cell surface receptors triggers internalization of the chaperone-client complex and subsequent lysosomal or proteasomal degradation. Secreted isoform 1 protects cells against apoptosis and against cytolysis by complement. Intracellular isoforms interact with ubiquitin and SCF (SKP1-CUL1-F-box protein) E3 ubiquitin-protein ligase complexes and promote the ubiquitination and subsequent proteasomal degradation of target proteins. Promotes proteasomal degradation of COMMD1 and IKBKB. Modulates NF-kappa-B transcriptional activity. Nuclear isoforms promote apoptosis. Mitochondrial isoforms suppress BAX-dependent release of cytochrome c into the cytoplasm and inhibit apoptosis. Plays a role in the regulation of cell proliferation. |
| 保存条件 | Shipped at 4℃. Store at -20℃ for one year. Avoid repeated freeze/thaw cycles. |
| 注意事项 | This product as supplied is intended for research use only, not for use in human, therapeutic or diagnostic applications. |
| 背景资料 | The protein encoded by this gene is a secreted chaperone that can under some stress conditions also be found in the cell cytosol. It has been suggested to be involved in several basic biological events such as cell death, tumor progression, and neurodegenerative disorders. Alternate splicing results in both coding and non-coding variants.[provided by RefSeq, May 2011] |
| 应用 | 推荐稀释比例 |
| {IHC-P} | {1:100-500} |
| {IHC-F} | {1:100-500} |
| {IF} | {1:100-500} |

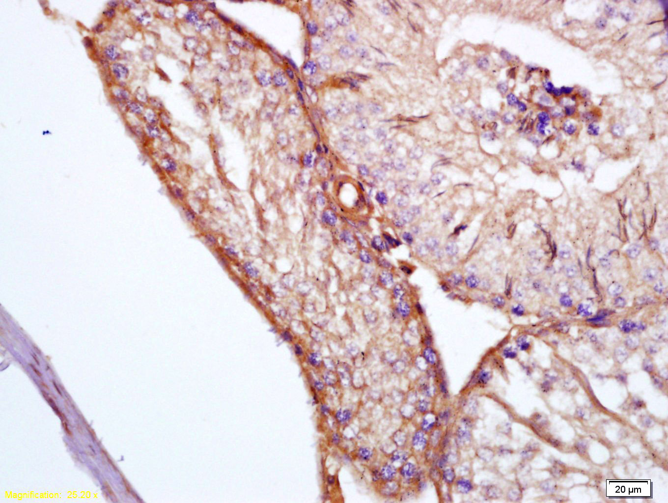
Antigen retrieval: citrate buffer ( 0.01M, pH 6.0 ), Boiling bathing for 15min; Block endogenous peroxidase by 3% Hydrogen peroxide for 30min; Blocking buffer (normal goat serum,C-0005) at 37℃ for 20 min;
Incubation: Anti-APOJ/Clusterin Polyclonal Antibody, Unconjugated(bs-1354R) 1:200, overnight at 4°C, followed by conjugation to the secondary antibody(SP-0023) and DAB(C-0010) staining

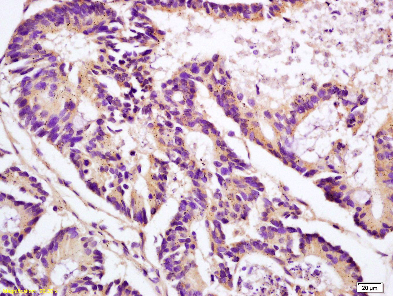
Antigen retrieval: citrate buffer ( 0.01M, pH 6.0 ), Boiling bathing for 15min; Block endogenous peroxidase by 3% Hydrogen peroxide for 30min; Blocking buffer (normal goat serum,C-0005) at 37℃ for 20 min;
Incubation: Anti-APOJ/Clusterin Polyclonal Antibody, Unconjugated(bs-1354R) 1:200, overnight at 4°C, followed by conjugation to the secondary antibody(SP-0023) and DAB(C-0010) staining
风险提示:丁香通仅作为第三方平台,为商家信息发布提供平台空间。用户咨询产品时请注意保护个人信息及财产安全,合理判断,谨慎选购商品,商家和用户对交易行为负责。对于医疗器械类产品,请先查证核实企业经营资质和医疗器械产品注册证情况。
文献和实验[IF={{ 6.4 }}] {Martin Schicht. et al. Ocular surface changes in mice with streptozotocin-induced diabetes and diabetic polyneuropathy. OCUL SURF. 2023 Dec;:} {IHC} {Mouse}
[IF={{ 6.208 }}] {Xiaojing Zhou. et al. iTRAQ-Based Proteomic Analysis of APP Transgenic Mouse Urine Exosomes. INT J MOL SCI. 2023 Jan;24(1):672} {WB} {Mouse}
[IF={{ 4.86 }}] {Keck, Michael, et al. "A systems level analysis of epileptogenesis-associated proteome alterations." Neurobiology of Disease (2017).} {IHC} {="Rat"}
[IF={{ 2.37 }}] {Yu, Weihua, et al. "Time-Dependent Decrease of Clusterin as a Potential Cerebrospinal Fluid Biomarker for Drug-Resistant Epilepsy." Journal of Molecular Neuroscience (2014): 1-9.} {IHC} {="Rat"}
= NAL), appears to form upon oxidative cyclization of the nonfluorescent 2:1 lysine-HNE Michael adduct-Schiff base cross-link (Scheme 1). Polyclonal antibody (PAb) to the NAL-HNE fluorophore was raised in rabbit and found to be highly specific
GE Healthcare Benzamidine Sepharose™ 6B is p-aminobenzamidine covalently attached to Sepharose 6B by the epoxy coupling method. p-Aminobenzamidine (PAB), is a synthetic inhibitor of trypsin-like serine protease. Trypsin and trypsin
Nucleic Acid Programmable Protein Arrays: Versatile Tools for Array‐Based Functional Protein Studies
.g., Sigma) 50 mg/ml bis‐sulfosuccinimdylsuberate (BS3 ;Pierce, cat. no. PI 21580) in dimethylsulfoxide (DMSO) 5 mg/ml
技术资料暂无技术资料 索取技术资料






