相关产品推荐更多 >

Puratrophin 1 Rabbit pAb, Biotin conjugated(bs-11747R-Bio)-100ul
¥2980
Anti-human Alpha-synuclein (Cinpanemab Biosimilar)(BIO0089SM)-1mg/5mg/20mg
¥1550
CD105 Rabbit pAb, BF680 conjugated(bs-4609R-BF680)-100ul
¥2980
P63 Mouse mAb, RBITC conjugated(bsm-33417M-RBITC)-100ul
¥2980
EGF Rabbit pAb, Cy5 conjugated(bs-2008R-Cy5)-100ul
¥2980
万千商家帮你免费找货
0 人在求购买到急需产品
- 详细信息
- 文献和实验
- 技术资料
- 应用范围:
产品信息以Bioss网站为准
- 规格:
50ul/100ul/200ul
| 规格: | 50ul | 产品价格: | ¥1180.0 |
|---|---|---|---|
| 规格: | 100ul | 产品价格: | ¥1980.0 |
| 规格: | 200ul | 产品价格: | ¥2800.0 |
| 产品编号 | bs-1919R |
| 英文名称 | TLR1 Rabbit pAb |
| 中文名称 | Toll样受体1抗体 |
| 英文别名 | Toll-like receptor 1; GD2:CD281; CD281 antigen; rsc786; Similar to Drosophila Toll protein; TIL; Toll(Drosophila) homolog; Toll like receptor 1 Precursor; Toll/Interleukin 1 receptor like; TLR1_HUMAN. |
| 产品应用 | IHC-P=1:100-500, IHC-F=1:100-500, IF=1:100-500, Flow-Cyt=1μg /test Not yet tested in other applications. |
| 交叉反应 | Human, Rat (Mouse, Dog, Cow, Horse) |
| 抗体来源 | Rabbit |
| 免疫原 | KLH conjugated synthetic peptide derived from human TLR1 |
| 亚型 | IgG |
| 性状 | Liquid |
| 纯化方法 | affinity purified by Protein A |
| 克隆类型 | Polyclonal |
| 理论分子量 | 87(hu,mo)/91(rat kDa |
| 浓度 | 1mg/ml |
| 储存液 | 0.01M TBS (pH7.4) with 1% BSA, 0.02% Proclin300 and 50% Glycerol. |
| 研究领域 | Immunology > Immunoglobulins > Receptors Immunology > Innate Immunity > Macrophage / Inflamm. Immunology > Innate Immunity > TLR Signaling Signal Transduction > Adapters > Transmembrane Signal Transduction > Signaling Pathway > Nuclear Signaling > NFkB Pathway |
| 亚基 | Binds MYD88 (via TIR domain). Interacts with CNPY3 (By similarity). Interacts (via extracellular domain) with TLR2. Ligand binding induces the formation of a heterodimer with TLR2. |
| 亚细胞定位 | Cell membrane; Single-pass type I membrane protein (By similarity). Cytoplasmic vesicle, phagosome membrane; Single-pass type I membrane protein (By similarity). |
| 组织特异性 | Ubiquitous. Highly expressed in spleen, ovary, peripheral blood leukocytes, thymus and small intestine. |
| 相似性 | Belongs to the Toll-like receptor family.
Contains 19 LRR (leucine-rich) repeats. Contains 1 LRRCT domain. Contains 1 TIR domain. |
| 功能 | Participates in the innate immune response to microbial agents. Specifically recognizes diacylated and triacylated lipopeptides. Cooperates with TLR2 to mediate the innate immune response to bacterial lipoproteins or lipopeptides. Acts via MYD88 and TRAF6, leading to NF-kappa-B activation, cytokine secretion and the inflammatory response (By similarity). |
| 保存条件 | Shipped at 4℃. Store at -20℃ for one year. Avoid repeated freeze/thaw cycles. |
| 注意事项 | This product as supplied is intended for research use only, not for use in human, therapeutic or diagnostic applications. |
| 背景资料 | TLR1 is a member of the Toll like receptor (TLR) family which plays a fundamental role in pathogen recognition and activation of innate immunity. TLRs are highly conserved from Drosophila to humans and share structural and functional similarities. They recognize pathogen associated molecular patterns (PAMPs) that are expressed on infectious agents, and mediate the production of cytokines necessary for the development of effective immunity. The various TLRs exhibit different patterns of expression. The gene encoding TLR1 is ubiquitously expressed, and at higher levels than other TLR genes. Different length transcripts presumably resulting from use of alternative polyadenylation site, and/or from alternative splicing, have been noted for this gene. |
| 应用 | 推荐稀释比例 |
| {IHC-P} | {1:100-500} |
| {IHC-F} | {1:100-500} |
| {IF} | {1:100-500} |
| {Flow-Cyt} | {1μg /test} |

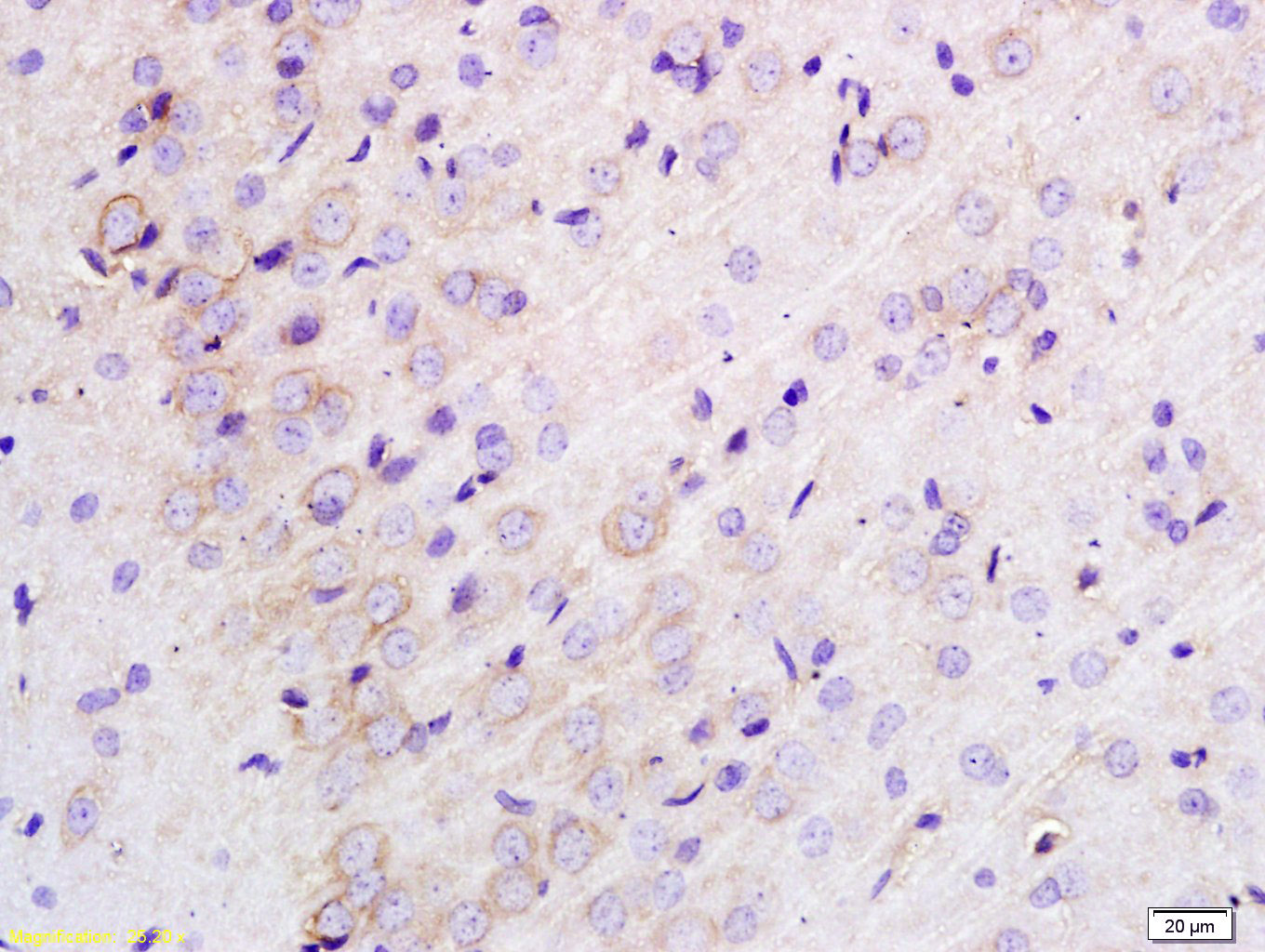
Antigen retrieval: citrate buffer ( 0.01M, pH 6.0 ), Boiling bathing for 15min; Block endogenous peroxidase by 3% Hydrogen peroxide for 30min; Blocking buffer (normal goat serum,C-0005) at 37℃ for 20 min;
Incubation: Anti-TLR1 Polyclonal Antibody, Unconjugated(bs-1919R) 1:200, overnight at 4°C, followed by conjugation to the secondary antibody(SP-0023) and DAB(C-0010) staining

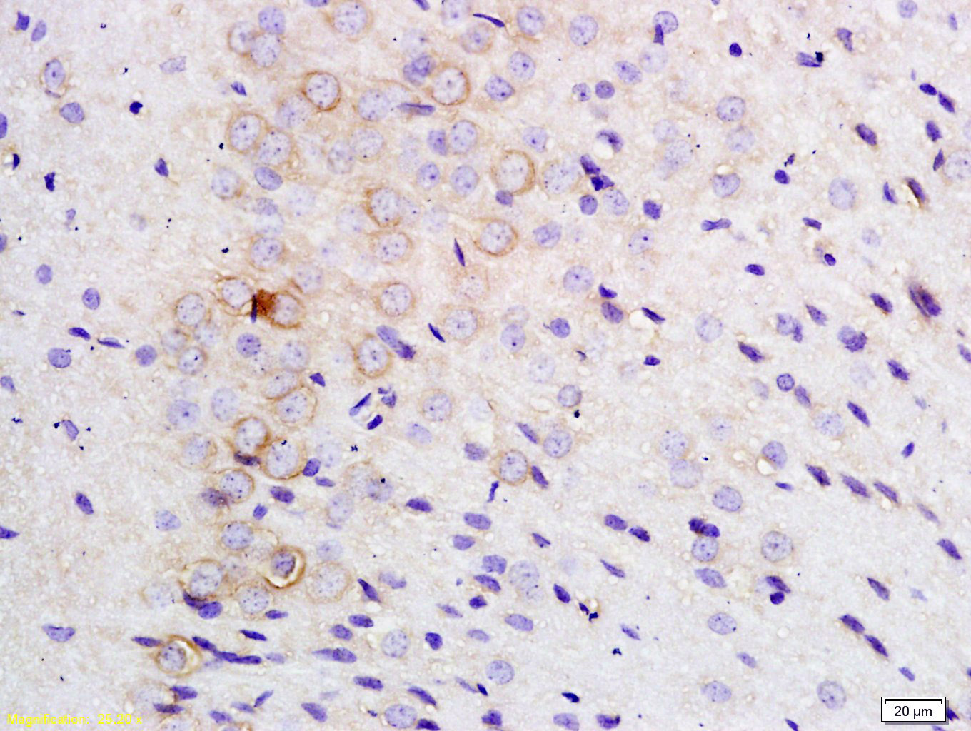
Antigen retrieval: citrate buffer ( 0.01M, pH 6.0 ), Boiling bathing for 15min; Block endogenous peroxidase by 3% Hydrogen peroxide for 30min; Blocking buffer (normal goat serum,C-0005) at 37℃ for 20 min;
Incubation: Anti-TLR1 Polyclonal Antibody, Unconjugated(bs-1919R) 1:200, overnight at 4°C, followed by conjugation to the secondary antibody(SP-0023) and DAB(C-0010) staining

Primary Antibody:Rabbit Anti-TLR1 antibody(bs-1919R), Dilution: 1μg in 100 μL 1X PBS containing 0.5% BSA;
Isotype Control Antibody: Rabbit IgG(orange) ,used under the same conditions );
Secondary Antibody: Goat anti-rabbit IgG-PE(white blue), Dilution: 1:200 in 1 X PBS containing 0.5% BSA.
Protocol
The cells were fixed with 2% Paraformaldehyde (10 min) and then permeabilized with ice-cold 90% methanol for 30 min on ice.The cells were washed twice with phosphate-buffered saline (PBS).The cells were then incubated in 1 X PBS containing 0.5% BSA + 1 0% goat serum (15 min) to block non-specific protein-protein interactions followed by the antibody (bs-1919R, 1μg /1x10^6 cells) for 30 min on ice. The secondary antibody used was Goat Anti-rabbit IgG/PE antibody at 1/200 dilution for 30 min on ice. Acquisition of 20,000 events was performed.
风险提示:丁香通仅作为第三方平台,为商家信息发布提供平台空间。用户咨询产品时请注意保护个人信息及财产安全,合理判断,谨慎选购商品,商家和用户对交易行为负责。对于医疗器械类产品,请先查证核实企业经营资质和医疗器械产品注册证情况。
文献和实验[IF={{ 4.26 }}] {Li, Chengcheng, et al. "Phycocyanin attenuates pulmonary fibrosis via the TLR2-MyD88-NF-κB signaling pathway." Scientific Reports 7 (2017).} {WB} {="Mouse"}
[IF={{ 4.235 }}] {Qi Renli. et al. Introduction of Colonic and Fecal Microbiota From an Adult Pig Differently Affects the Growth, Gut Health, Intestinal Microbiota and Blood Metabolome of Newborn Piglets. Front Microbiol. 2021 Feb;12:96} {WB} {Pig}
= NAL), appears to form upon oxidative cyclization of the nonfluorescent 2:1 lysine-HNE Michael adduct-Schiff base cross-link (Scheme 1). Polyclonal antibody (PAb) to the NAL-HNE fluorophore was raised in rabbit and found to be highly specific
of TLR2 can form functional pairs with TLR6 and TLR1, leading to signal transduction and cytokine gene expression. All TLRs activate signalling pathways that are similar to those activated by IL-1, because they share a Toll/IL-1R homology domain
GE Healthcare Benzamidine Sepharose™ 6B is p-aminobenzamidine covalently attached to Sepharose 6B by the epoxy coupling method. p-Aminobenzamidine (PAB), is a synthetic inhibitor of trypsin-like serine protease. Trypsin and trypsin
技术资料暂无技术资料 索取技术资料





