相关产品推荐更多 >

MMP24 Rabbit pAb(bs-10718R)-50ul/100ul/200ul
¥1180
CD66c Rabbit pAb(bs-6032R)-50ul/100ul/200ul
¥1180
NCOA1/KAT13A Rabbit pAb, AP conjugated(bs-10603R-AP)-100ul
¥2980
PGC1 alpha + beta Rabbit pAb, RBITC conjugated(bs-7535R-RBITC)-100ul
¥2980
Progesterone Receptor Mouse mAb(bsm-33169M)-50ul/100ul/200ul/200ug
¥1180
万千商家帮你免费找货
0 人在求购买到急需产品
- 详细信息
- 文献和实验
- 技术资料
- 应用范围:
产品信息以Bioss网站为准
- 规格:
50ul/100ul/200ul
| 规格: | 50ul | 产品价格: | ¥1180.0 |
|---|---|---|---|
| 规格: | 100ul | 产品价格: | ¥1980.0 |
| 规格: | 200ul | 产品价格: | ¥2800.0 |
| 产品编号 | bs-6842R |
| 英文名称 | JMJD6 Rabbit pAb |
| 中文名称 | 凋亡细胞清除受体抗体 |
| 英文别名 | Apoptotic cell clearance receptor; Bifunctional arginine demethylase and lysyl-hydroxylase JMJD6; Histone arginine demethylase JMJD6; JmjC domain-containing protein 6; JMJD 6; JMJD6; JMJD6_HUMAN; Jumonji domain containing 6; Jumonji domain-containing protein 6; KIAA0585; Lysyl-hydroxylase JMJD6; Peptide-lysine 5-dioxygenase JMJD6; Phosphatidylserine receptor; Protein PTDSR; PTDSR 1; PTDSR; PTDSR1. |
| 产品应用 | WB=1:500-2000, IHC-P=1:100-500, IHC-F=1:100-500, IF=1:100-500 Not yet tested in other applications. |
| 交叉反应 | Mouse, Rat (Human, Chicken, Dog, Pig, Cow, Horse, Rabbit, Zebrafish, Sheep) |
| 抗体来源 | Rabbit |
| 免疫原 | KLH conjugated synthetic peptide derived from human JMJD6 |
| 亚型 | IgG |
| 性状 | Liquid |
| 纯化方法 | affinity purified by Protein A |
| 克隆类型 | Polyclonal |
| 理论分子量 | 46 kDa |
| 浓度 | 1mg/ml |
| 储存液 | 0.01M TBS (pH7.4) with 1% BSA, 0.02% Proclin300 and 50% Glycerol. |
| 研究领域 | Cell Biology > Apoptosis > Intracellular > Associated Proteins Developmental Biology > Embryogenesis > Embryonic stem cells > Surface molecules Epigenetics and Nuclear Signaling > Chromatin Modifying Enzymes > Jumonji containing proteins Immunology > Innate Immunity > Cytokines Stem Cells > Embryonic Stem Cells > Intracellular Stem Cells > Hematopoietic Progenitors > Intracellular Molecules |
| 亚基 | Interacts with LUC7L2, LUC7L3 and U2AF2/U2AF65. |
| 亚细胞定位 | Nucleus, nucleoplasm. Nucleus, nucleolus. Note=Mainly found throughout the nucleoplasm outside of regions containing heterochromatic DNA, with some localization in nucleolus. During mitosis, excluded from the nucleus and reappears in the telophase of the cell cycle. |
| 组织特异性 | Highly expressed in the heart, skeletal muscle and kidney. Expressed at moderate or low level in brain, placenta, lung, liver, pancreas, spleen, thymus, prostate, testis and ovary. Up-regulated in many patients with chronic pancreatitis. Expressed in nursing thymic epithelial cells. |
| 相似性 | Belongs to the JMJD6 family.
Contains 1 JmjC domain. |
| 功能 | Dioxygenase that can both act as a histone arginine demethylase and a lysyl-hydroxylase. Acts as a lysyl-hydroxylase that catalyzes 5-hydroxylation on specific lysine residues of target proteins such as U2AF2/U2AF65 and LUC7L2. Acts as a regulator of RNA splicing by mediating 5-hydroxylation of U2AF2/U2AF65, affecting the pre-mRNA splicing activity of U2AF2/U2AF65. In addition to peptidyl-lysine 5-dioxygenase activity, may act as a RNA hydroxylase, as suggested by its ability to bind single strand RNA. Also acts as an arginine demethylase which demethylates histone H3 at 'Arg-2' (H3R2me) and histone H4 at 'Arg-3' (H4R3me), thereby playing a role in histone code. However, histone arginine demethylation may not constitute the primary activity in vivo. Has no histone lysine demethylase activity. Required for differentiation of multiple organs during embryogenesis. Acts as a key regulator of hematopoietic differentiation: required for angiogenic sprouting by regulating the pre-mRNA splicing activity of U2AF2/U2AF65. Seems to be necessary for the regulation of macrophage cytokine responses. |
| 保存条件 | Shipped at 4℃. Store at -20℃ for one year. Avoid repeated freeze/thaw cycles. |
| 注意事项 | This product as supplied is intended for research use only, not for use in human, therapeutic or diagnostic applications. |
| 背景资料 | This gene encodes a nuclear protein with a JmjC domain. JmjC domain-containing proteins are predicted to function as protein hydroxylases or histone demethylases. This protein was first identified as a putative phosphatidylserine receptor involved in phagocytosis of apoptotic cells; however, subsequent studies have indicated that it does not directly function in the clearance of apoptotic cells, and questioned whether it is a true phosphatidylserine receptor. Multiple transcript variants encoding different isoforms have been found for this gene. [provided by RefSeq, Jul 2008]. |
| 应用 | 推荐稀释比例 |
| {WB} | {1:500-2000} |
| {IHC-P} | {1:100-500} |
| {IHC-F} | {1:100-500} |
| {IF} | {1:100-500} |

Muscle (Mouse) Lysate at 40 ug
Primary: Anti-JMJD6 (bs-6842R) at 1/1000 dilution
Secondary: IRDye800CW Goat Anti-Rabbit IgG at 1/20000 dilution
Predicted band size: 46 kD
Observed band size: 44 kD

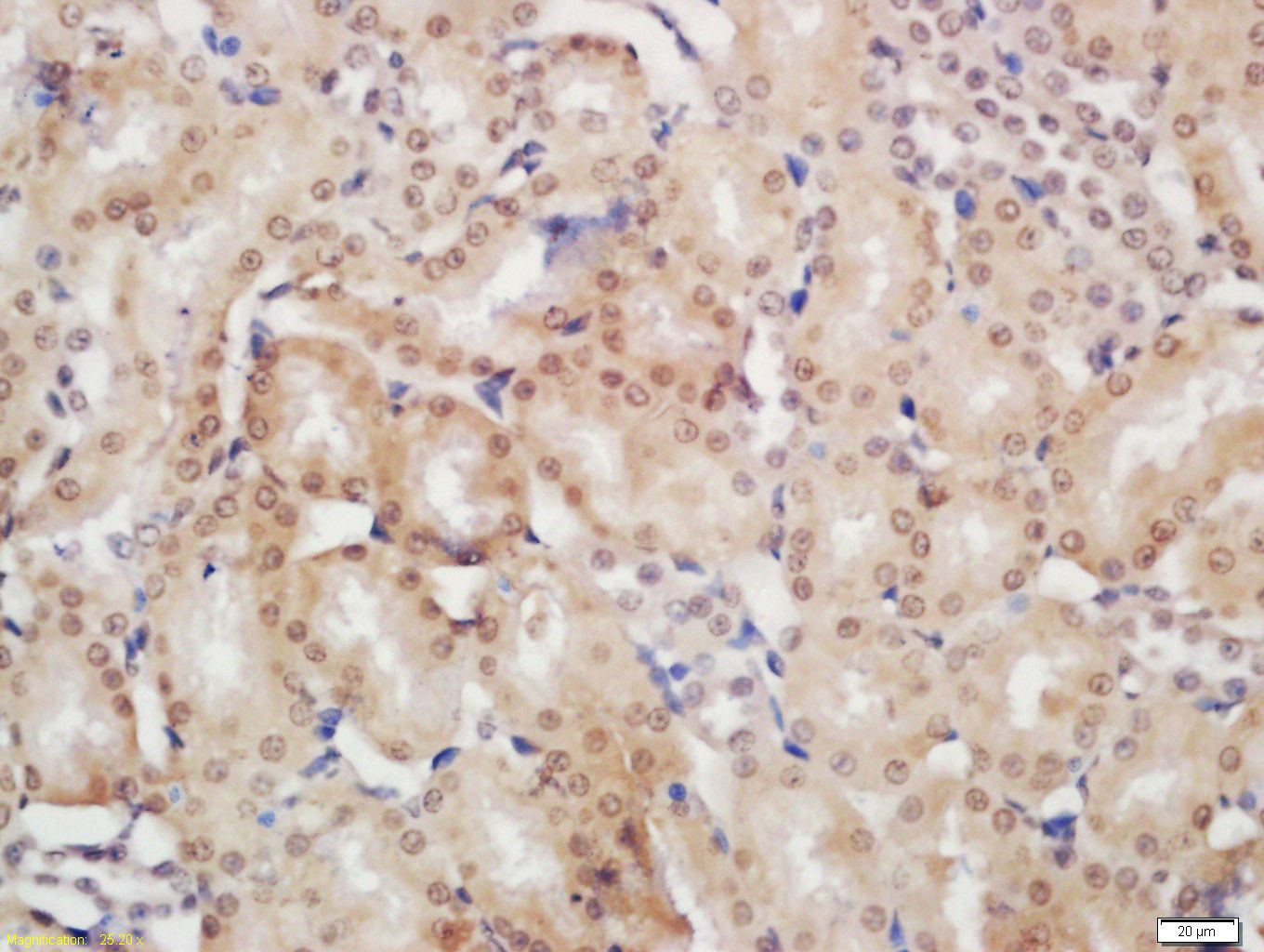
Antigen retrieval: citrate buffer ( 0.01M, pH 6.0 ), Boiling bathing for 15min; Block endogenous peroxidase by 3% Hydrogen peroxide for 30min; Blocking buffer (normal goat serum,C-0005) at 37℃ for 20 min;
Incubation: Anti-JMJD6 Polyclonal Antibody, Unconjugated(bs-6842R) 1:200, overnight at 4°C, followed by conjugation to the secondary antibody(SP-0023) and DAB(C-0010) staining
风险提示:丁香通仅作为第三方平台,为商家信息发布提供平台空间。用户咨询产品时请注意保护个人信息及财产安全,合理判断,谨慎选购商品,商家和用户对交易行为负责。对于医疗器械类产品,请先查证核实企业经营资质和医疗器械产品注册证情况。
文献和实验= NAL), appears to form upon oxidative cyclization of the nonfluorescent 2:1 lysine-HNE Michael adduct-Schiff base cross-link (Scheme 1). Polyclonal antibody (PAb) to the NAL-HNE fluorophore was raised in rabbit and found to be highly specific
GE Healthcare Benzamidine Sepharose™ 6B is p-aminobenzamidine covalently attached to Sepharose 6B by the epoxy coupling method. p-Aminobenzamidine (PAB), is a synthetic inhibitor of trypsin-like serine protease. Trypsin and trypsin
Nucleic Acid Programmable Protein Arrays: Versatile Tools for Array‐Based Functional Protein Studies
.g., Sigma) 50 mg/ml bis‐sulfosuccinimdylsuberate (BS3 ;Pierce, cat. no. PI 21580) in dimethylsulfoxide (DMSO) 5 mg/ml
技术资料暂无技术资料 索取技术资料






