相关产品推荐更多 >

phospho-HSP70 (Tyr41) Rabbit pAb, Cy7 conjugated(bs-10451R-Cy7)-100ul
¥2980
phospho-HSP70 (Tyr41) Rabbit pAb, APC-Cy7 conjugated(bs-10451R-APC-Cy7)-100ul
¥2980
ENY2 Rabbit pAb(bs-14605R)-50ul/100ul/200ul
¥1180
RPS8 Rabbit pAb(bs-18834R)-50ul/100ul/200ul
¥1180
WDR91 Rabbit pAb, HRP conjugated(bs-13683R-HRP)-100ul
¥2980
万千商家帮你免费找货
0 人在求购买到急需产品
- 详细信息
- 文献和实验
- 技术资料
- 应用范围:
产品信息以Bioss网站为准
- 规格:
50ul/100ul/200ul
| 规格: | 50ul | 产品价格: | ¥1180.0 |
|---|---|---|---|
| 规格: | 100ul | 产品价格: | ¥1980.0 |
| 规格: | 200ul | 产品价格: | ¥2800.0 |
| 产品编号 | bs-1296R |
| 英文名称 | Defensin beta 2 Rabbit pAb |
| 中文名称 | 防御素β2/Defensin β2抗体 |
| 英文别名 | beta-defensin 2 precursor; beta Defensin 2; beta-defensin 2; Defb2; Q32ZI5_RAT; DFB4A_HUMAN. |
| 中文别名 | Defensin β2. |
| 产品应用 | IHC-P=1:100-500, IHC-F=1:100-500, IF=1:100-500 Not yet tested in other applications. |
| 交叉反应 | Human (Rat) |
| 抗体来源 | Rabbit |
| 免疫原 | KLH conjugated synthetic peptide derived from rat beta 2 Defensin |
| 亚型 | IgG |
| 性状 | Liquid |
| 纯化方法 | affinity purified by Protein A |
| 克隆类型 | Polyclonal |
| 理论分子量 | 8 kDa |
| 浓度 | 1mg/ml |
| 储存液 | 0.01M TBS (pH7.4) with 1% BSA, 0.02% Proclin300 and 50% Glycerol. |
| 研究领域 | Microbiology > Protein > Human Protein > Defensin |
| 亚细胞定位 | Secreted. |
| 组织特异性 | Expressed in the skin and respiratory tract. |
| 相似性 | Belongs to the beta-defensin family. LAP/TAP subfamily. |
| 功能 | Has antibacterial activity. |
| 保存条件 | Shipped at 4℃. Store at -20℃ for one year. Avoid repeated freeze/thaw cycles. |
| 注意事项 | This product as supplied is intended for research use only, not for use in human, therapeutic or diagnostic applications. |
| 背景资料 | Defensins form a family of microbicidal and cytotoxic peptides made by neutrophils. Members of the defensin family are highly similar in protein sequence. This gene encodes defensin, beta 4, an antibiotic peptide which is locally regulated by inflammation. [provided by RefSeq, Jul 2008] |
| 应用 | 推荐稀释比例 |
| {IHC-P} | {1:100-500} |
| {IHC-F} | {1:100-500} |
| {IF} | {1:100-500} |

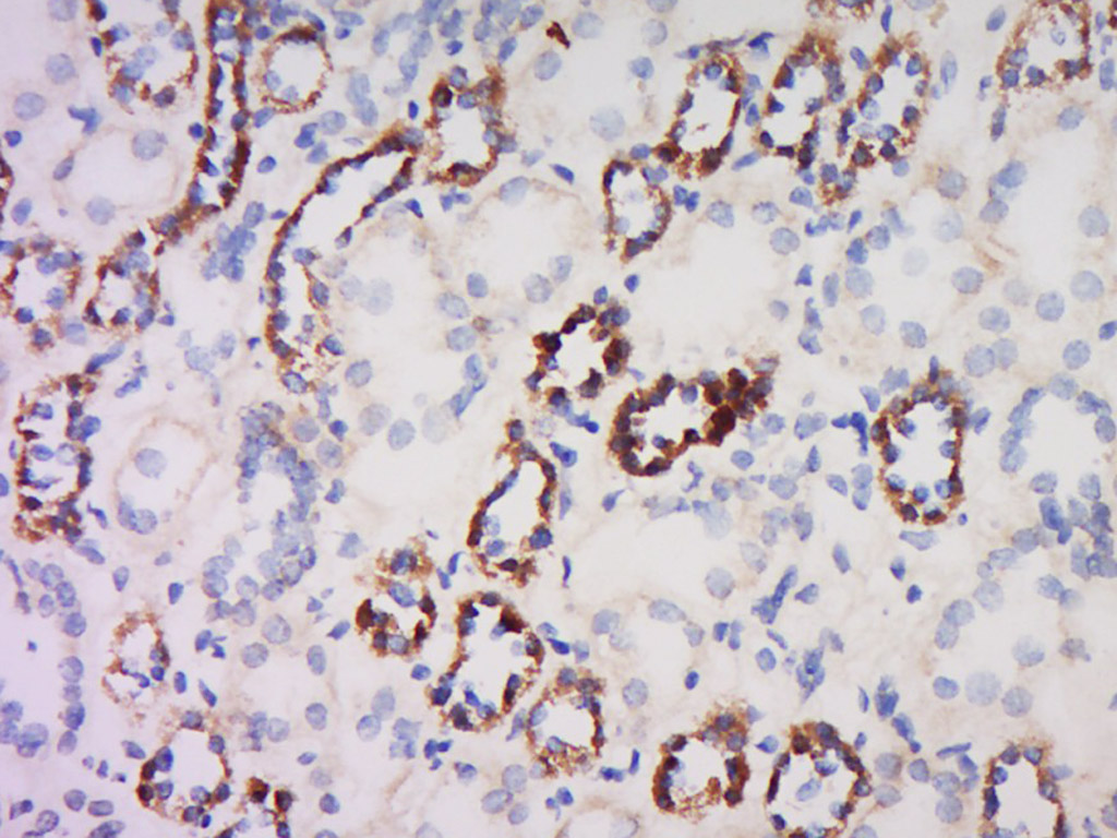
Antigen retrieval: citrate buffer ( 0.01M, pH 6.0 ), Boiling bathing for 15min; Block endogenous peroxidase by 3% Hydrogen peroxide for 30min; Blocking buffer (normal goat serum,C-0005) at 37℃ for 20 min;
Incubation: Anti-beta 2 Defensin Polyclonal Antibody, Unconjugated(bs-1296R) 1:500, overnight at 4°C, followed by conjugation to the secondary antibody(SP-0023) and DAB(C-0010) staining
风险提示:丁香通仅作为第三方平台,为商家信息发布提供平台空间。用户咨询产品时请注意保护个人信息及财产安全,合理判断,谨慎选购商品,商家和用户对交易行为负责。对于医疗器械类产品,请先查证核实企业经营资质和医疗器械产品注册证情况。
文献和实验[IF={{ 3.365 }}] {Shalong Wang. et al. Bovine Lactoferrin Protects Dextran Sulfate Sodium Salt Mice Against Inflammation and Impairment of Colonic Epithelial Barrier by Regulating Gut Microbial Structure and Metabolites. Front Nutr. 2021; 8: 660598} {WB,IF} {Mouse}
[IF={{ 2.245 }}] {Renli Qi. et al. Changes of Gut Microbiota and Its Correlation With Short Chain Fatty Acids and Bioamine in Piglets at the Early Growth Stage. Front Vet Sci. 2020; 7: 617259} {WB} {Pig}
Generation of Spatio‐Temporally Controlled Targeted Somatic Mutations in the Mouse
of CreERT2. J. Immunol. 182:5633‐5640. Huelsken, J., Vogel, R., Erdmann, B., Cotsarelis, G., and Birchmeier, W. 2001. Beta‐Catenin controls hair follicle morphogenesis and stem
技术资料暂无技术资料 索取技术资料





