相关产品推荐更多 >

Thyroid peroxidase Rabbit pAb, AP conjugated(bs-10406R-AP)-100ul
¥2980
CD133 Rabbit pAb, FITC conjugated(bs-4770R-FITC)-100ul
¥2980
Calnexin Rabbit pAb, BF594 conjugated(bs-1693R-BF594)-100ul
¥2980
Nanog Rabbit pAb, BF350 conjugated(bs-0829R-BF350)-100ul
¥2980
Anti-human FGFR2 / CD332 (Aprutumab Biosimilar)(BIO0032SM)-1mg/5mg/20mg
¥3200
万千商家帮你免费找货
0 人在求购买到急需产品
- 详细信息
- 文献和实验
- 技术资料
- 应用范围:
产品信息以Bioss网站为准
- 规格:
50ul/100ul/200ul
| 规格: | 50ul | 产品价格: | ¥1180.0 |
|---|---|---|---|
| 规格: | 100ul | 产品价格: | ¥1980.0 |
| 规格: | 200ul | 产品价格: | ¥2800.0 |
| 产品编号 | bs-2446R |
| 英文名称 | phospho-eIF4E (Ser209) Rabbit pAb |
| 中文名称 | 磷酸化真核翻译起始因子4E抗体 |
| 英文别名 | eIF4E(phospho S209); eIF4E(phospho Ser209); p-eIF4E(Ser209); EIF4F; eIF-4E; eIF 4E; CBP; eIF 4F 25 kDa subunit; CBP; eIF 4E; eIF 4F 25 kDa subunit; EIF 4F; EIF4E1; EIF4EL1; EIF4F; Eukaryotic Translation Initiation Factor 4 E; Eukaryotic translation initiation factor 4E like 1; Messanger RNA Cap Binding Protein eIF 4E; IF4E_HUMAN. |
| 产品应用 | WB=1:500-2000, IHC-P=1:100-500, IHC-F=1:100-500, IF=1:100-500, Flow-Cyt=0.2ug/test Not yet tested in other applications. |
| 交叉反应 | Human, Mouse, Rat (Chicken, Dog, Pig, Cow, Horse, Rabbit, Zebrafish) |
| 抗体来源 | Rabbit |
| 免疫原 | KLH conjugated Synthesised phosphopeptide derived from human eIF4E around the phosphorylation site of Ser209 |
| 亚型 | IgG |
| 性状 | Liquid |
| 纯化方法 | affinity purified by Protein A |
| 克隆类型 | Polyclonal |
| 理论分子量 | 24 kDa |
| 浓度 | 1mg/ml |
| 储存液 | 0.01M TBS (pH7.4) with 1% BSA, 0.02% Proclin300 and 50% Glycerol. |
| 研究领域 | Epigenetics and Nuclear Signaling > DNA / RNA > RNA Processing > RNAi Epigenetics and Nuclear Signaling > DNA / RNA > Translation > Regulation Epigenetics and Nuclear Signaling > RNAi > Eukaryotic Initiation factors (eIF's) |
| 亚基 | eIF4F is a multi-subunit complex, the composition of which varies with external and internal environmental conditions. It is composed of at least EIF4A, EIF4E and EIF4G1/EIF4G3. EIF4E is also known to interact with other partners. The interaction with EIF4ENIF1 mediates the import into the nucleus. Nonphosphorylated EIF4EBP1, EIF4EBP2 and EIF4EBP3 compete with EIF4G1/EIF4G3 to interact with EIF4E; insulin stimulated MAP-kinase (MAPK1 and MAPK3) phosphorylation of EIF4EBP1 causes dissociation of the complex allowing EIF4G1/EIF4G3 to bind and consequent initiation of translation. Rapamycin can attenuate insulin stimulation, mediated by FKBPs. Interacts mutually exclusive with EIF4A1 or EIF4A2. Interacts with NGDN and PIWIL2. Component of the CYFIP1-EIF4E-FMR1 complex composed of CYFIP, EIF4E and FMR1. Interacts directly with CYFIP1 (By similarity). Interacts with Lassa virus Z protein. Binds to MKNK2 in nucleus. Interacts with LIMD1, WTIP and AJUBA. |
| 亚细胞定位 | Cytoplasm, P-body. |
| 翻译后修饰 | Phosphorylation increases the ability of the protein to bind to mRNA caps and to form the eIF4F complex. |
| 相似性 | Belongs to the eukaryotic initiation factor 4E family. |
| 功能 | Its translation stimulation activity is repressed by binding to the complex CYFIP1-FMR1 (By similarity). Recognizes and binds the 7-methylguanosine-containing mRNA cap during an early step in the initiation of protein synthesis and facilitates ribosome binding by inducing the unwinding of the mRNAs secondary structures. Component of the CYFIP1-EIF4E-FMR1 complex which binds to the mRNA cap and mediates translational repression. In the CYFIP1-EIF4E-FMR1 complex this subunit mediates the binding to the mRNA cap. |
| 保存条件 | Shipped at 4℃. Store at -20℃ for one year. Avoid repeated freeze/thaw cycles. |
| 注意事项 | This product as supplied is intended for research use only, not for use in human, therapeutic or diagnostic applications. |
| 背景资料 | eIF4E, a protein modulates translation of maternal mRNAs in early embryos before the onset of zygotic transcription. eIF4E also influences the overall rate of translation. eIF4E binds to the 7 methyl GTP cap structure of eukaryotic mRNAs. Phosphorylation of eIF4E on serine 209 regulates the affinity of this protein for the 7 methyl GTP cap and/or RNA. Phosphorylation also enhances the interaction of eIF4E with eIF4G, which form a complex known as eIF4F. eIF4E phosphorylation is correlated with increased translational rate in a number of cell types. Several kinases are currently being investigated as potential regulators of eIF4E including PKC and/or the MAP kinase activated Mnk. |
| 应用 | 推荐稀释比例 |
| {WB} | {1:500-2000} |
| {IHC-P} | {1:100-500} |
| {IHC-F} | {1:100-500} |
| {IF} | {1:100-500} |
| {Flow-Cyt} | {0.2ug/test} |

NIH/3T3(Mouse) Cell Lysate at 30 ug
Primary: Anti-phospho-eIF4E (Ser209) (bs-2446R) at 1/500 dilution
Secondary: IRDye800CW Goat Anti-Rabbit IgG at 1/20000 dilution
Predicted band size: 24 kD
Observed band size: 28 kD



Primary Antibody (green line): Rabbit Anti-phospho-eIF4E (Ser209) antibody (bs-2446R)
Dilution: 0.2μg /10^6 cells;
Isotype Control Antibody (orange line): Rabbit IgG .
Secondary Antibody : Goat anti-rabbit IgG-PE
Dilution: 0.2μg /test.
Protocol
The cells were fixed with 4% PFA (10min at room temperature)and then permeabilized with 20% PBST for 20 min at-20℃. The cells were then incubated in 5%BSA to block non-specific protein-protein interactions for 30 min at at room temperature .Cells stained with Primary Antibody for 30 min at room temperature. The secondary antibody used for 40 min at room temperature. Acquisition of 20,000 events was performed.

风险提示:丁香通仅作为第三方平台,为商家信息发布提供平台空间。用户咨询产品时请注意保护个人信息及财产安全,合理判断,谨慎选购商品,商家和用户对交易行为负责。对于医疗器械类产品,请先查证核实企业经营资质和医疗器械产品注册证情况。
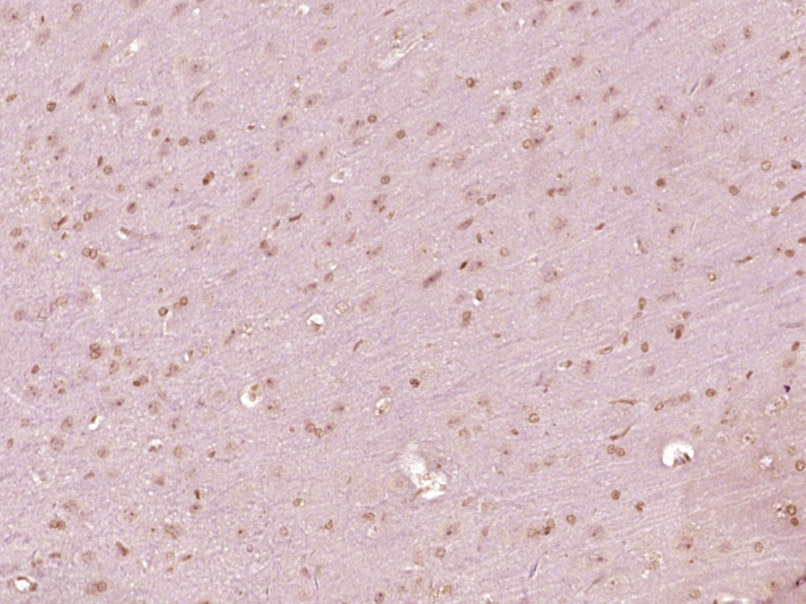
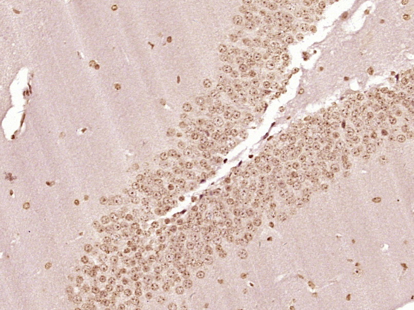
文献和实验:使用 Anti-phospho-Akt (Ser473) Rabbit mAb 对石蜡包埋的人乳腺癌组织进行免疫组织化学分析。(图 A)使用免疫组化试剂盒M&R HRP/DAB Detection IHC Kit,抗体 1:100 稀释;(图 B) 采用普通免疫组化试剂盒,抗体 1:25 稀释。 图 6 免疫组化实验检测 Erk1/2 表达 注:使用 Anti-Erk1/2 Mouse mAb与p44/42 MAPK (Erk1/2)Rabbit mAb 对正常小鼠心脏组织进行免疫
at 10, 25, and 50 μM). At 24 h post-treatment, celllysates were obtained; SDS-PAGE and Western blotting were performed as described in Section 3, Methods. AR-A014418dose-dependent decreases of phospho-β-catenin (Ser33/37) and phospho-glycogen synthase
(Ser473)(193H12)Rabbit mAb,1:300,稀释,二抗是驴抗兔,1:2000,我是实验室的新手,刚呆俩月,受 此挫折,一头雾水,请过来人或者有经验的同学帮忙解答怎样解决,非常感谢! 碧峤 pAkt有两个位点,Ser473和Thr308,其中Ser473相对容易显色。如果显色失败,可能的原因:1 上样量过少,我们一般都是30μg;2 一抗孵育时间过短,我们一般24h~48h;3 一抗是否工作有待排除 米宝
技术资料暂无技术资料 索取技术资料






