相关产品推荐更多 >

phospho-TGF beta Receptor II (Tyr336) Rabbit pAb, Biotin conjugated(bs-18064R-Bio)-100ul
¥2980
RNF113B Rabbit pAb(bs-9256R)-50ul/100ul/200ul
¥1180
ZNF827 Rabbit pAb(bs-16441R)-50ul/100ul/200ul
¥1180
Salmonella Rabbit pAb(bs-4714R)-50ul/100ul/200ul
¥1180
DC-SIGN Rabbit pAb, BF750 conjugated(bs-10053R-BF750)-100ul
¥2980
万千商家帮你免费找货
0 人在求购买到急需产品
- 详细信息
- 文献和实验
- 技术资料
- 应用范围:
产品信息以Bioss网站为准
- 规格:
50ul/100ul/200ul
| 规格: | 50ul | 产品价格: | ¥1180.0 |
|---|---|---|---|
| 规格: | 100ul | 产品价格: | ¥1980.0 |
| 规格: | 200ul | 产品价格: | ¥2800.0 |
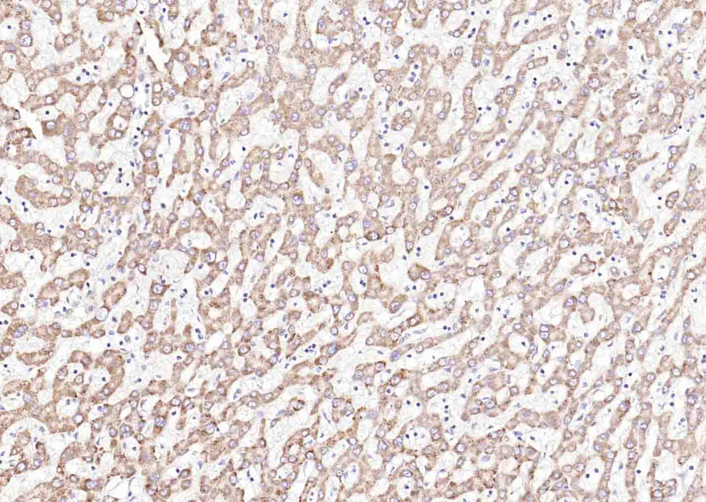
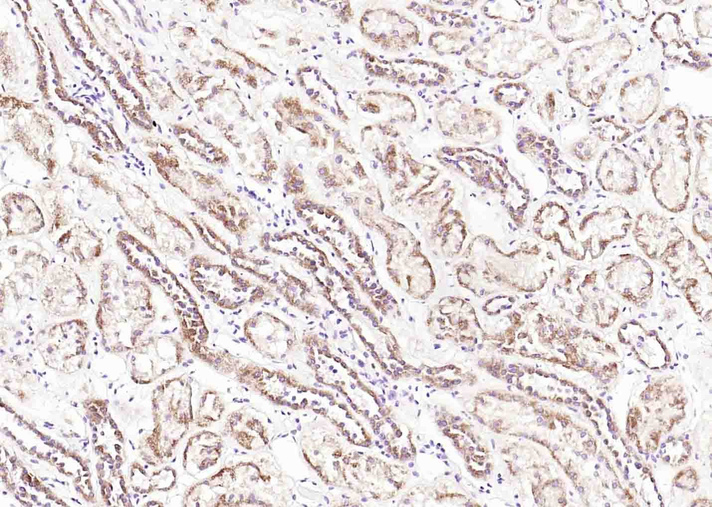
| 产品编号 | bs-6416R |
| 英文名称 | Complement fragment 3c Rabbit pAb |
| 中文名称 | 补体片段C3c抗体 |
| 英文别名 | AHUS5; acylation-stimulating protein cleavage product; ARMD9; ASP; C3 and PZP-like alpha-2-macroglobulin domain-containing protein 1; C3; CO3_HUMAN; Complement C3; Complement C3c alpha' chain fragment 2; Complement C3c; Complement component 3; Complement component C3; Complement factor 3; CPAMD1. |
| 产品应用 | IHC-P=1:100-500, IHC-F=1:100-500, IF=1:100-500 Not yet tested in other applications. |
| 交叉反应 | Human |
| 抗体来源 | Rabbit |
| 免疫原 | KLH conjugated synthetic peptide derived from human Complement C3c alpha' chain fragment 1 |
| 亚型 | IgG |
| 性状 | Liquid |
| 纯化方法 | affinity purified by Protein A |
| 克隆类型 | Polyclonal |
| 理论分子量 | 183 kDa |
| 浓度 | 1mg/ml |
| 储存液 | 0.01M TBS (pH7.4) with 1% BSA, 0.02% Proclin300 and 50% Glycerol. |
| 研究领域 | Immunology > Innate Immunity > Complement > Classical Pathway Neuroscience > Cell Type Marker > Neuron marker > Synapse marker Signal Transduction > Antibodies > c3 |
| 亚基 | C3 precursor is first processed by the removal of 4 Arg residues, forming two chains, beta and alpha, linked by a disulfide bond. C3 convertase activates C3 by cleaving the alpha chain, releasing C3a anaphylatoxin and generating C3b (beta chain + alpha' chain). C3dg interacts with CR2 (via the N-terminal Sushi domains 1 and 2). During pregnancy, C3dg exists as a complex (probably a 2:2:2 heterohexamer) with AGT and the proform of PRG2. Interacts with VSIG4. C3b interacts with herpes simplex virus 1 (HHV-1) and herpes simplex virus 2 (HHV-2) envelope glycoprotein C; this interaction inhibits the activation of the complement system. Interacts with S.aureus immunoglobulin-binding protein sbi, this prevents interaction between C3dg and CR2. Interacts with S.aureus fib. |
| 亚细胞定位 | Secreted. |
| 组织特异性 | Plasma. The acylation stimulating protein (ASP) is expressed in adiopocytes and released into the plasma during both the fasting and postprandial periods. |
| 翻译后修饰 | C3b is rapidly split in two positions by factor I and a cofactor to form iC3b (inactivated C3b) and C3f which is released. Then iC3b is slowly cleaved (possibly by factor I) to form C3c (beta chain + alpha' chain fragment 1 + alpha' chain fragment 2), C3dg and C3f. Other proteases produce other fragments such as C3d or C3g. C3a is further processed by carboxypeptidases to release the C-terminal arginine residue generating the acylation stimulating protein (ASP). Levels of ASP are increased in adipocytes in the postprandial period and by insulin and dietary chylomicrons.
Phosphorylation sites are present in the extracellular medium. |
| 相似性 | Contains 1 anaphylatoxin-like domain. Contains 1 NTR domain. |
| 功能 | C3 plays a central role in the activation of the complement system. Its processing by C3 convertase is the central reaction in both classical and alternative complement pathways. After activation C3b can bind covalently, via its reactive thioester, to cell surface carbohydrates or immune aggregates.
Derived from proteolytic degradation of complement C3, C3a anaphylatoxin is a mediator of local inflammatory process. It induces the contraction of smooth muscle, increases vascular permeability and causes histamine release from mast cells and basophilic leukocytes. Acylation stimulating protein (ASP): adipogenic hormone that stimulates triglyceride (TG) synthesis and glucose transport in adipocytes, regulating fat storage and playing a role in postprandial TG clearance. Appears to stimulate TG synthesis via activation of the PLC, MAPK and AKT signaling pathways. Ligand for GPR77. Promotes the phosphorylation, ARRB2-mediated internalization and recycling of GPR77. |
| 保存条件 | Shipped at 4℃. Store at -20℃ for one year. Avoid repeated freeze/thaw cycles. |
| 注意事项 | This product as supplied is intended for research use only, not for use in human, therapeutic or diagnostic applications. |
| 背景资料 | The complement factor C3 consists of an alpha and a beta chain. C3 is a central factor in the complement cascade. It is central to the alternative pathway that leads to the C3 convertase C3bBb. The classical mannose binding lectin activation pathway leads to the C3 convertase C4b2a. These convertases cleave C3 resulting in C3a and C3b. Further degradation leads to the formation of the alpha chain products C3d, C3g and C3c. C3 is an acute phase protein that is produced by a wide range of tissues, including renal epithelial cells and hepatocytes. |
| 应用 | 推荐稀释比例 |
| {IHC-P} | {1:100-500} |
| {IHC-F} | {1:100-500} |
| {IF} | {1:100-500} |


风险提示:丁香通仅作为第三方平台,为商家信息发布提供平台空间。用户咨询产品时请注意保护个人信息及财产安全,合理判断,谨慎选购商品,商家和用户对交易行为负责。对于医疗器械类产品,请先查证核实企业经营资质和医疗器械产品注册证情况。
文献和实验[IF={{ 5.714 }}] {Peng Zhang. et al. Dioscin ameliorates silica-aggravated systemic lupus erythematosus via suppressing apoptosis and improving LC3-associated phagocytosis in MRL/lpr mice. INT IMMUNOPHARMACOL. 2023 Mar;116:109814} {IF} {Mouse}
[IF={{ 5.156 }}] {Liu, Tao. et al. Microarray-based analysis of renal complement components reveals a therapeutic target for lupus nephritis. Arthritis Res Ther. 2021 Dec;23(1):1-15} {IHC} {Human}
[IF={{ 1.781 }}] {Ehrnthaller C et al. Hemorrhagic shock induces renal complement activation. Eur J Trauma Emerg Surg. 2019 Jul 15.} {IHC} {Pig}
[IF={{ 0.75 }}] {Vass, A., et al. "Inflammatory Activation after Experimental Cardiac Tamponade." European Surgical Research 51.1-2 (2013): 1-13.} {IHC} {="Pig"}
All of the basic functional assays of complement activity utilize erythrocytes as targets (1 ). For classical pathway assays, the favored target is the antibody-sensitized sheep erythrocyte. For alternative pathway assays, unsensitized rabbit
Human Complement Components C4A and C4B Genetic Diversities: Complex Genotypes and Phenotypes
. Chung, E.K., Yang, Y., Rennebohm, R.M., Lokki, M.L., Higgins, G.C., Jones, K.N., Zhou, B., Blanchong, C.A., and Yu, C.Y. 2002a. Genetic sophistication of human complement C4A and C4B and RP‐C4‐CYP21‐TNX (RCCX
Polyclonal Antibody Production
°C for 30 minutes to inactivate complement. Ring the inside walls of the tube with a glass pipet and place at 4 °C overnight to clot. Decant the clotted blood into a centrifuge tube and centrifuge at 4 °C 10,000g for 10 minutes
技术资料暂无技术资料 索取技术资料






