相关产品推荐更多 >

Methionine Sulfoxide Reductase A Rabbit pAb(bs-18805R)-50ul/100ul/200ul
¥1180
ICAM4 Rabbit pAb, Biotin conjugated(bs-7637R-Bio)-100ul
¥2980
FAM129B Rabbit pAb(bs-8205R)-50ul/100ul/200ul
¥1180
ZNF348/Kaiso Rabbit pAb(bs-17257R)-50ul/100ul/200ul
¥1180
Pancreatic hormone Rabbit pAb, HRP conjugated(bs-8543R-HRP)-100ul
¥2980
万千商家帮你免费找货
0 人在求购买到急需产品
- 详细信息
- 技术资料
- 应用范围:
产品信息以Bioss网站为准
- 规格:
50ul/100ul/200ul
| 规格: | 50ul | 产品价格: | ¥1180.0 |
|---|---|---|---|
| 规格: | 100ul | 产品价格: | ¥1980.0 |
| 规格: | 200ul | 产品价格: | ¥2800.0 |
| 产品编号 | bs-1797R |
| 英文名称 | Contactin 6 Rabbit pAb |
| 中文名称 | 神经细胞NB3特定蛋白抗体 |
| 英文别名 | CNTN 6; CNTN6; CNTN6_HUMAN; Contactin 6 precursor; Contactin-6; Contactin6; hNB 3; hNB-3; hNB3; MGC133256; NB 3; NB3; Neural adhesion molecule; Neural recognition molecule NB 3; Neural recognition molecule NB-3. |
| 产品应用 | IHC-P=1:100-500, IHC-F=1:100-500, IF=1:100-500 Not yet tested in other applications. |
| 交叉反应 | Rat (Human, Mouse, Dog, Pig, Cow, Horse, Sheep) |
| 抗体来源 | Rabbit |
| 免疫原 | KLH conjugated synthetic peptide derived from human NB3 |
| 亚型 | IgG |
| 性状 | Liquid |
| 纯化方法 | affinity purified by Protein A |
| 克隆类型 | Polyclonal |
| 理论分子量 | 109 kDa |
| 浓度 | 1mg/ml |
| 储存液 | 0.01M TBS (pH7.4) with 1% BSA, 0.02% Proclin300 and 50% Glycerol. |
| 亚基 | Belongs to the immunoglobulin superfamily. Contactin family. Contains 4 fibronectin type-III domains. Contains 6 Ig-like C2-type (immunoglobulin-like) domains. |
| 亚细胞定位 | Cell membrane; Lipid-anchor, GPI-anchor (By similarity). |
| 组织特异性 | Expressed in nervous system. Highly expressed in cerebellum. Expressed at intermediate level in thalamus, subthalamic nucleus. Weakly expressed in corpus callosum, caudate nucleus and spinal cord. |
| 相似性 | Belongs to the immunoglobulin superfamily. Contactin family. Contains 4 fibronectin type-III domains. Contains 6 Ig-like C2-type (immunoglobulin-like) domains. |
| 功能 | Contactins mediate cell surface interactions during nervous system development. Participates in oligodendrocytes generation by acting as a ligand of NOTCH1. Its association with NOTCH1 promotes NOTCH1 activation through the released notch intracellular domain (NICD) and subsequent translocation to the nucleus. Involved in motor coordination. |
| 保存条件 | Shipped at 4℃. Store at -20℃ for one year. Avoid repeated freeze/thaw cycles. |
| 注意事项 | This product as supplied is intended for research use only, not for use in human, therapeutic or diagnostic applications. |
| 背景资料 | Contactin 6 is a member of the immunoglobulin superfamily. It is a glycosylphosphatidylinositol (GPI)-anchored neuronal membrane protein which functions as a cell adhesion molecule. It may play a role in the formation of axon connections in the developing nervous system. |
| 应用 | 推荐稀释比例 |
| {IHC-P} | {1:100-500} |
| {IHC-F} | {1:100-500} |
| {IF} | {1:100-500} |

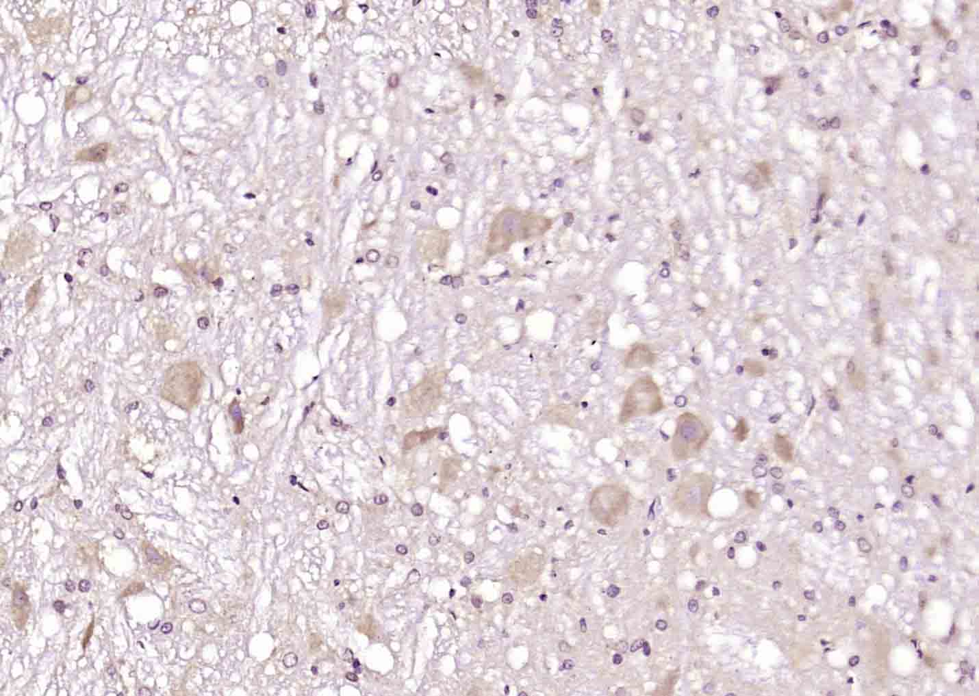
Paraformaldehyde-fixed, paraffin embedded (rat brain); Antigen retrieval by boiling in sodium citrate buffer (pH6.0) for 15min; Block endogenous peroxidase by 3% hydrogen peroxide for 20 minutes; Blocking buffer (normal goat serum) at 37°C for 30min; Antibody incubation with (Contactin 6) Polyclonal Antibody, Unconjugated (bs-1797R) at 1:200 overnight at 4°C, followed by operating according to SP Kit(Rabbit) (sp-0023) instructionsand DAB staining.
风险提示:丁香通仅作为第三方平台,为商家信息发布提供平台空间。用户咨询产品时请注意保护个人信息及财产安全,合理判断,谨慎选购商品,商家和用户对交易行为负责。对于医疗器械类产品,请先查证核实企业经营资质和医疗器械产品注册证情况。
技术资料暂无技术资料 索取技术资料
Contactin 6 Rabbit pAb(bs-1797R)-50ul/100ul/200ul
¥1180 - 2800






