相关产品推荐更多 >

NARS2 Rabbit pAb, Biotin conjugated(bs-19024R-Bio)-100ul
¥2980
FHOD1 Rabbit pAb, BF405 conjugated(bs-13158R-BF405)-100ul
¥2980
MRGX3 Rabbit pAb, FITC conjugated(bs-17762R-FITC)-100ul
¥2980
ADGRL4 Rabbit pAb, Cy7 conjugated(bs-13111R-Cy7)-100ul
¥2980
LSAMP Rabbit pAb, Biotin conjugated(bs-11091R-Bio)-100ul
¥2980
万千商家帮你免费找货
0 人在求购买到急需产品
- 详细信息
- 文献和实验
- 技术资料
- 应用范围:
产品信息以Bioss网站为准
- 规格:
50ul/100ul/200ul
| 规格: | 50ul | 产品价格: | ¥1180.0 |
|---|---|---|---|
| 规格: | 100ul | 产品价格: | ¥1980.0 |
| 规格: | 200ul | 产品价格: | ¥2800.0 |
| 产品编号 | bs-0677R |
| 英文名称 | Angiopoietin 2 Rabbit pAb |
| 中文名称 | 血管生成素2抗体 |
| 英文别名 | AGPT 2; AGPT-2; Agpt2; ANG 2; ANG2; ANG-2; Angiopoietin 2a; Angiopoietin 2B; Angiopoietin2; Angiopoietin-2; ANGPT 2; ANGPT2; Tie2 ligand; ANGP2_HUMAN. |
| 产品应用 | WB=1:500-2000, IHC-P=1:100-500, IHC-F=1:100-500, IF=1:100-500 Not yet tested in other applications. |
| 交叉反应 | Human (Mouse, Rat, Chicken, Dog, Pig) |
| 抗体来源 | Rabbit |
| 免疫原 | KLH conjugated synthetic peptide derived from human Angiopoietin 2 |
| 亚型 | IgG |
| 性状 | Liquid |
| 纯化方法 | affinity purified by Protein A |
| 克隆类型 | Polyclonal |
| 理论分子量 | 53 kDa |
| 浓度 | 1mg/ml |
| 储存液 | 0.01M TBS (pH7.4) with 1% BSA, 0.02% Proclin300 and 50% Glycerol. |
| 亚基 | Interacts with TEK/TIE2, competing for the same binding site as ANGPT1. |
| 亚细胞定位 | Secreted. |
| 相似性 | Contains 1 fibrinogen C-terminal domain. |
| 功能 | Binds to TEK/TIE2, competing for the ANGPT1 binding site, and modulating ANGPT1 signaling. Can induce tyrosine phosphorylation of TEK/TIE2 in the absence of ANGPT1. In the absence of angiogenic inducers, such as VEGF, ANGPT2-mediated loosening of cell-matrix contacts may induce endothelial cell apoptosis with consequent vascular regression. In concert with VEGF, it may facilitate endothelial cell migration and proliferation, thus serving as a permissive angiogenic signal. |
| 保存条件 | Shipped at 4℃. Store at -20℃ for one year. Avoid repeated freeze/thaw cycles. |
| 注意事项 | This product as supplied is intended for research use only, not for use in human, therapeutic or diagnostic applications. |
| 背景资料 | The protein encoded by this gene is an antagonist of angiopoietin 1 (ANGPT1) and endothelial TEK tyrosine kinase (TIE-2, TEK). The encoded protein disrupts the vascular remodeling ability of ANGPT1 and may induce endothelial cell apoptosis. Three transcript variants encoding three different isoforms have been found for this gene. [provided by RefSeq, Jul 2008] |
| 应用 | 推荐稀释比例 |
| {WB} | {1:500-2000} |
| {IHC-P} | {1:100-500} |
| {IHC-F} | {1:100-500} |
| {IF} | {1:100-500} |

HepG2(Human) Cell Lysate at 30 ug
Primary: Anti-Angiopoietin 2 (bs-0677R) at 1/300 dilution
Secondary: IRDye800CW Goat Anti-Rabbit IgG at 1/20000 dilution
Predicted band size: 53 kD
Observed band size: 53 kD

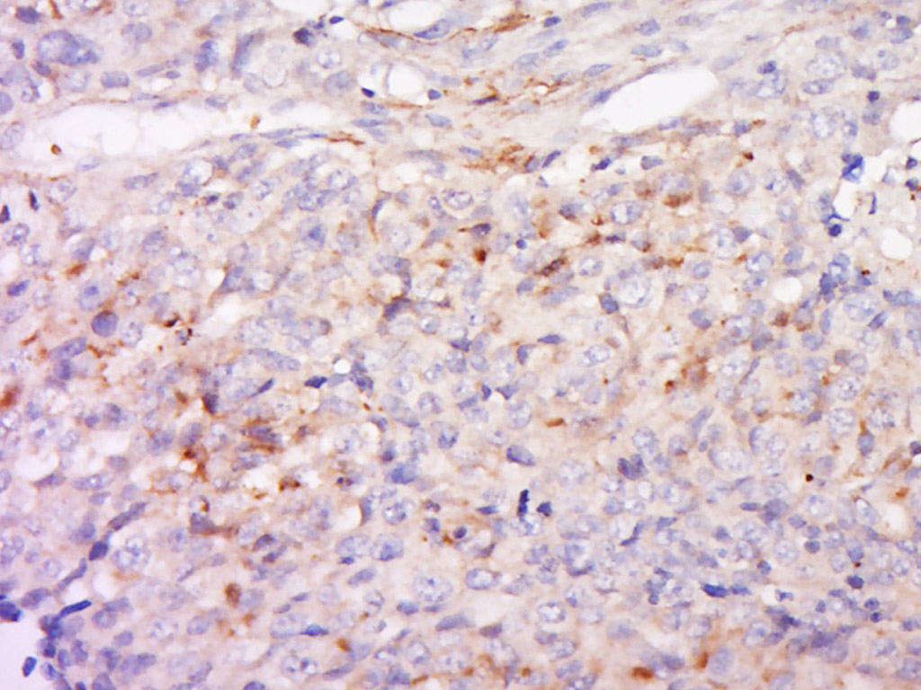
Antigen retrieval: citrate buffer ( 0.01M, pH 6.0 ), Boiling bathing for 15min; Block endogenous peroxidase by 3% Hydrogen peroxide for 30min; Blocking buffer (normal goat serum,C-0005) at 37℃ for 20 min;
Incubation: Anti-Ang2 Polyclonal Antibody, Unconjugated(bs-0677R) 1:500, overnight at 4°C, followed by conjugation to the secondary antibody(SP-0023) and DAB(C-0010) staining
风险提示:丁香通仅作为第三方平台,为商家信息发布提供平台空间。用户咨询产品时请注意保护个人信息及财产安全,合理判断,谨慎选购商品,商家和用户对交易行为负责。对于医疗器械类产品,请先查证核实企业经营资质和医疗器械产品注册证情况。
文献和实验[IF={{ 6.8 }}] {Ye Jiazhou. et al. Single cell-spatial transcriptomics and bulk multi-omics analysis of heterogeneity and ecosystems in hepatocellular carcinoma. NPJ PRECIS ONCOL. 2024 Nov;8(1):1-18} {IHC} {Human}
[IF={{ 6.68 }}] {Do HS et al. Enhanced thrombospondin-1 causes dysfunction of vascular endothelial cells derived from Fabry disease-induced pluripotent stem cells. EBioMedicine. 2020 Jan 22;52:102633.} {IHC} {Human}
[IF={{ 4.5 }}] {Yang Liu. et al. Octreotide modified liposomes that co-deliver paclitaxel and neferine effectively inhibit ovarian cancer metastasis by specifically binding to the SSTR2 receptors. J DRUG DELIV SCI TEC. 2024 Sep;98:105851} {IF} {Mouse}
[IF={{ 3.149 }}] {Yuksel Olgun. et al. The Effect of Bevacizumab and Propranolol on Nasal Polyposis. INT J CLIN PRACT. 2022 Oct 12;2022:6174664} {IHC} {Human}
[IF={{ 3.072 }}] {Xue Y et al. miR‐205‐5p inhibits psoriasis‐associated proliferation and angiogenesis: Wnt/β‐catenin and mitogen‐activated protein kinase signaling pathway are involved. J Dermatol . 2020 Aug;47(8):882-892.} {WB} {Mouse&Human}
技术资料暂无技术资料 索取技术资料






