相关产品推荐更多 >

TDRD1 Rabbit pAb, Biotin conjugated(bs-2186R-Bio)-100ul
¥2980
CRMP3 Rabbit pAb(bs-11821R)-50ul/100ul/200ul
¥1180
phospho-P53 (Thr55) Rabbit pAb, PerCP-Cy5.5 conjugated(bs-5596R-PerCP-Cy5.5)-100ul
¥2980
phospho-P53 (Ser33) Rabbit pAb(bs-3705R)-50ul/100ul/200ul
¥1180
PTN Rabbit pAb, HRP conjugated(bs-21928R-HRP)-100ul
¥2980
万千商家帮你免费找货
0 人在求购买到急需产品
- 详细信息
- 技术资料
- 应用范围:
产品信息以Bioss网站为准
- 规格:
50ul/100ul/200ul
| 规格: | 50ul | 产品价格: | ¥1180.0 |
|---|---|---|---|
| 规格: | 100ul | 产品价格: | ¥1980.0 |
| 规格: | 200ul | 产品价格: | ¥2800.0 |
| 产品编号 | bs-12706R |
| 英文名称 | B4GALNT1/GM2 synthase Rabbit pAb |
| 中文名称 | β1,4-N乙酰半乳糖氨基转移酶1抗体 |
| 英文别名 | (N acetylneuraminyl) galactosylglucosylceramide; (N-acetylneuraminyl)-galactosylglucosylceramide; 4 N-acetylgalactosaminyltransferase 1; 4933429D13Rik; B4GALNT1; B4GN1_HUMAN; beta 1 4 N acetyl galactosaminyl transferase 1; beta 1 4 N acetylgalactosaminyltransferase 1; beta-1; BETA-1, 4-N-ACETYLGALACTOSAMINYLTRANSFERASE 1; BETA-1, 4-N-ACETYLGALACTOSAMINYLTRANSFERASE; beta1 4GalNAc T; Gal-NAc-T; GALGT; Galgt1; GalNAc T; GalNAc-T; GALNACT; GD2 synthase; Ggm-2; Ggm2; GM2 synthase; GM2/GD2 synthase; SIAT 2; SIAT2; UDP Gal:betaGlcNAc beta 1 4 N acetylgalactosaminyltransferase transferase 1; UDP N acetyl alpha D galactosamine:(N acetylneuraminyl). |
| 产品应用 | WB=1:500-2000, IHC-P=1:100-500, IHC-F=1:100-500, IF=1:100-500 Not yet tested in other applications. |
| 交叉反应 | Human, Mouse, Rat (Dog, Cow, Horse, Rabbit, Sheep) |
| 抗体来源 | Rabbit |
| 免疫原 | KLH conjugated synthetic peptide derived from human B4GALNT1/GM2 synthase |
| 亚型 | IgG |
| 性状 | Liquid |
| 纯化方法 | affinity purified by Protein A |
| 克隆类型 | Polyclonal |
| 理论分子量 | 59 kDa |
| 浓度 | 1mg/ml |
| 储存液 | 0.01M TBS (pH7.4) with 1% BSA, 0.02% Proclin300 and 50% Glycerol. |
| 研究领域 | Metabolism > Pathways and Processes > Metabolic signaling pathways > Energy transfer pathways > Energy Metabolism Signal Transduction > Metabolism > Energy Metabolism Signal Transduction > Metabolism > Lipid metabolism |
| 亚基 | Homodimer; disulfide-linked. |
| 亚细胞定位 | Golgi apparatus membrane; Single-pass type II membrane protein. |
| 相似性 | Belongs to the glycosyltransferase 2 family. |
| 功能 | Involved in the biosynthesis of gangliosides GM2, GD2 and GA2. |
| 保存条件 | Shipped at 4℃. Store at -20℃ for one year. Avoid repeated freeze/thaw cycles. |
| 注意事项 | This product as supplied is intended for research use only, not for use in human, therapeutic or diagnostic applications. |
| 背景资料 | GM2 and GD2 gangliosides are sialic acid-containing glycosphingolipids. GalNAc-T is the enzyme involved in the biosynthesis of G(M2) and G(D2) glycosphingolipids. GalNAc-T catalyzes the transfer of GalNAc into G(M3) and G(D3) by a beta-1,4 linkage, resulting in the synthesis of G(M2) and G(D2), respectively. Three transcript variants encoding different isoforms have been found for this gene. [provided by RefSeq, Feb 2013] |
| 应用 | 推荐稀释比例 |
| {WB} | {1:500-2000} |
| {IHC-P} | {1:100-500} |
| {IHC-F} | {1:100-500} |
| {IF} | {1:100-500} |

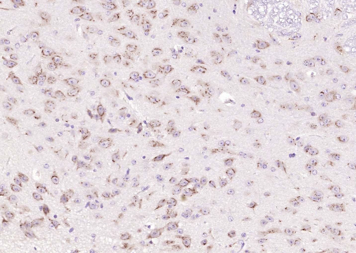
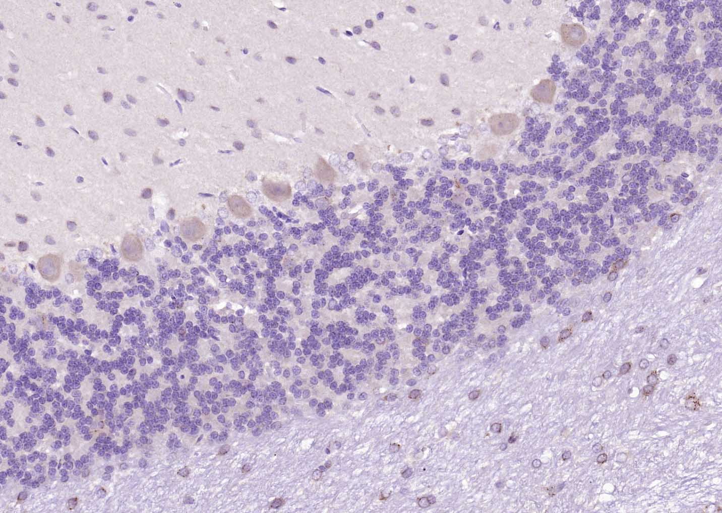
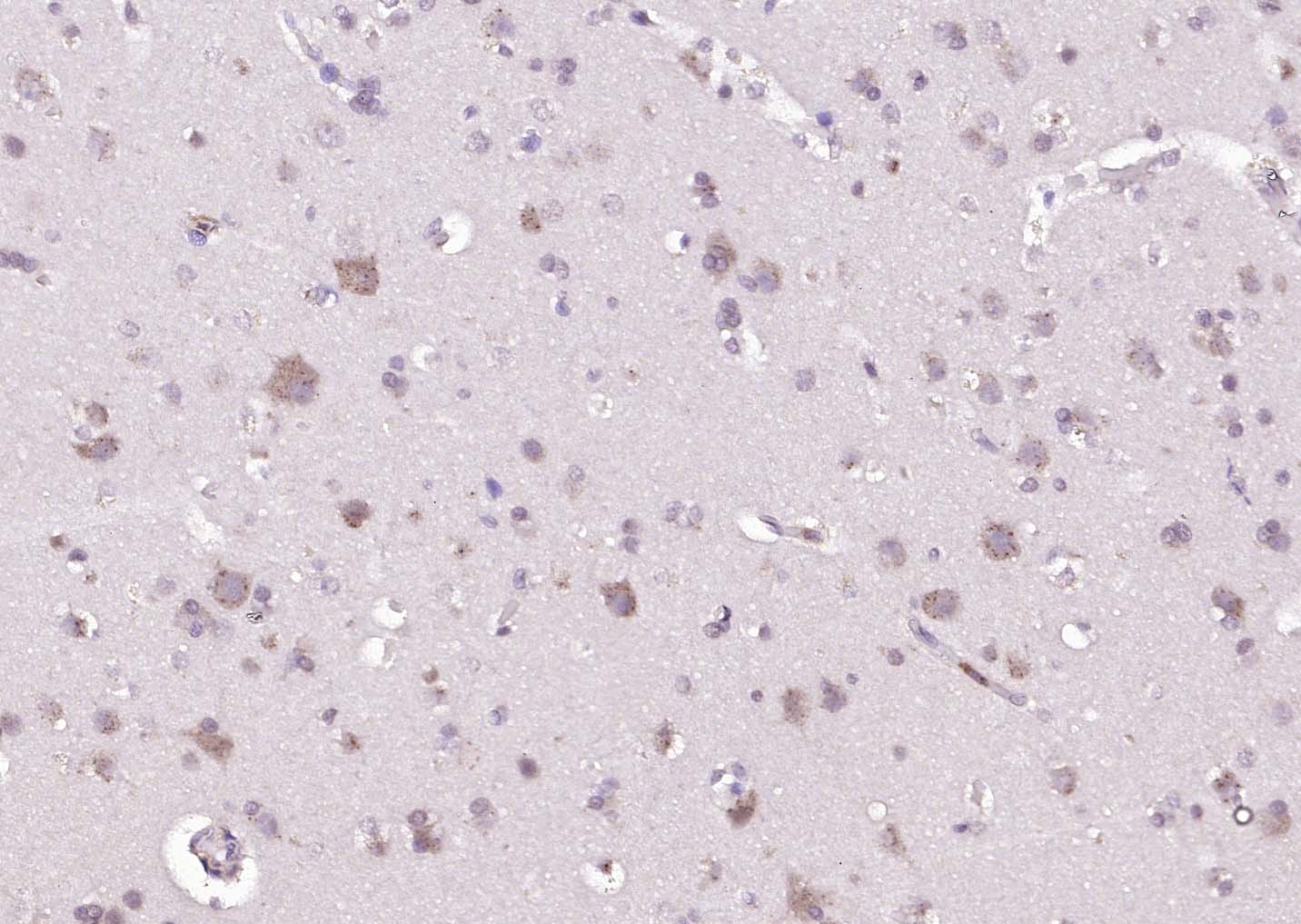
Paraformaldehyde-fixed, paraffin embedded (rat brain); Antigen retrieval by boiling in sodium citrate buffer (pH6.0) for 15min; Block endogenous peroxidase by 3% hydrogen peroxide for 20 minutes; Blocking buffer (normal goat serum) at 37°C for 30min; Antibody incubation with (B4GALNT1) Polyclonal Antibody, Unconjugated (bs-12706R) at 1:200 overnight at 4°C, followed by operating according to SP Kit(Rabbit) (sp-0023) instructionsand DAB staining.

Paraformaldehyde-fixed, paraffin embedded (Mouse cerebellum); Antigen retrieval by boiling in sodium citrate buffer (pH6.0) for 15min; Block endogenous peroxidase by 3% hydrogen peroxide for 20 minutes; Blocking buffer (normal goat serum) at 37°C for 30min; Antibody incubation with (B4GALNT1) Polyclonal Antibody, Unconjugated (bs-12706R) at 1:200 overnight at 4°C, followed by operating according to SP Kit(Rabbit) (sp-0023) instructionsand DAB staining.

Paraformaldehyde-fixed, paraffin embedded (rat cerebellum); Antigen retrieval by boiling in sodium citrate buffer (pH6.0) for 15min; Block endogenous peroxidase by 3% hydrogen peroxide for 20 minutes; Blocking buffer (normal goat serum) at 37°C for 30min; Antibody incubation with (B4GALNT1) Polyclonal Antibody, Unconjugated (bs-12706R) at 1:200 overnight at 4°C, followed by operating according to SP Kit(Rabbit) (sp-0023) instructionsand DAB staining.

Paraformaldehyde-fixed, paraffin embedded (human brain glioma); Antigen retrieval by boiling in sodium citrate buffer (pH6.0) for 15min; Block endogenous peroxidase by 3% hydrogen peroxide for 20 minutes; Blocking buffer (normal goat serum) at 37°C for 30min; Antibody incubation with (B4GALNT1) Polyclonal Antibody, Unconjugated (bs-12706R) at 1:200 overnight at 4°C, followed by operating according to SP Kit(Rabbit) (sp-0023) instructionsand DAB staining.

Sample:
Liver (Mouse) Lysate at 40 ug
Primary: Anti- B4GALNT1/GM2 synthase (bs-12706R) at 1/1000 dilution
Secondary: IRDye800CW Goat Anti-Rabbit IgG at 1/20000 dilution
Predicted band size: 59 kD
Observed band size: 53 kD
Liver (Mouse) Lysate at 40 ug
Primary: Anti- B4GALNT1/GM2 synthase (bs-12706R) at 1/1000 dilution
Secondary: IRDye800CW Goat Anti-Rabbit IgG at 1/20000 dilution
Predicted band size: 59 kD
Observed band size: 53 kD

Sample:
Stomach (Mouse) Lysate at 40 ug
Primary: Anti- B4GALNT1/GM2 synthase (bs-12706R) at 1/1000 dilution
Secondary: IRDye800CW Goat Anti-Rabbit IgG at 1/20000 dilution
Predicted band size: 59 kD
Observed band size: 59 kD
Stomach (Mouse) Lysate at 40 ug
Primary: Anti- B4GALNT1/GM2 synthase (bs-12706R) at 1/1000 dilution
Secondary: IRDye800CW Goat Anti-Rabbit IgG at 1/20000 dilution
Predicted band size: 59 kD
Observed band size: 59 kD

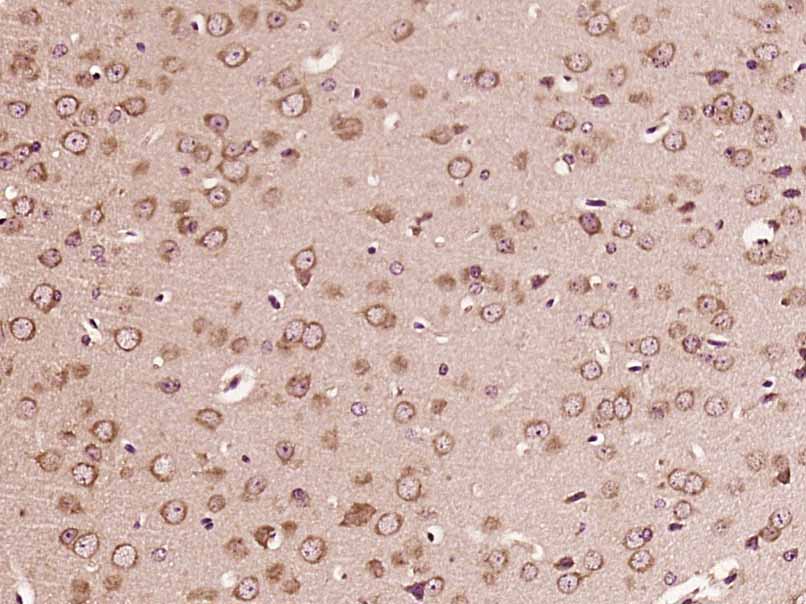
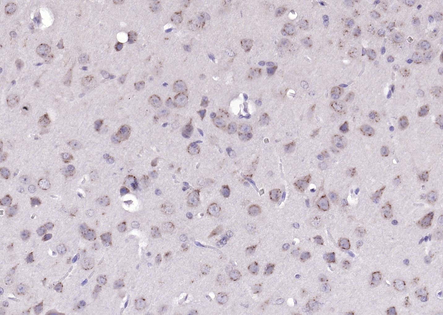
Paraformaldehyde-fixed, paraffin embedded (Mouse brain); Antigen retrieval by boiling in sodium citrate buffer (pH6.0) for 15min; Block endogenous peroxidase by 3% hydrogen peroxide for 20 minutes; Blocking buffer (normal goat serum) at 37°C for 30min; Antibody incubation with (B4GALNT1) Polyclonal Antibody, Unconjugated (bs-12706R) at 1:400 overnight at 4°C, followed by operating according to SP Kit(Rabbit) (sp-0023) instructionsand DAB staining.

Paraformaldehyde-fixed, paraffin embedded (Mouse brain); Antigen retrieval by boiling in sodium citrate buffer (pH6.0) for 15min; Block endogenous peroxidase by 3% hydrogen peroxide for 20 minutes; Blocking buffer (normal goat serum) at 37°C for 30min; Antibody incubation with (B4GALNT1) Polyclonal Antibody, Unconjugated (bs-12706R) at 1:200 overnight at 4°C, followed by operating according to SP Kit(Rabbit) (sp-0023) instructionsand DAB staining.
风险提示:丁香通仅作为第三方平台,为商家信息发布提供平台空间。用户咨询产品时请注意保护个人信息及财产安全,合理判断,谨慎选购商品,商家和用户对交易行为负责。对于医疗器械类产品,请先查证核实企业经营资质和医疗器械产品注册证情况。
技术资料暂无技术资料 索取技术资料
B4GALNT1/GM2 synthase Rabbit pAb(bs-12706R)-50ul/100ul/200ul
¥1180 - 2800






