相关产品推荐更多 >
万千商家帮你免费找货
0 人在求购买到急需产品
- 详细信息
- 文献和实验
- 技术资料
- 应用范围:
产品信息以Bioss网站为准
- 规格:
50ul/100ul/200ul
| 规格: | 50ul | 产品价格: | ¥1180.0 |
|---|---|---|---|
| 规格: | 100ul | 产品价格: | ¥1980.0 |
| 规格: | 200ul | 产品价格: | ¥2800.0 |
| 产品编号 | bs-1063R |
| 英文名称 | ADRB3 Rabbit pAb |
| 中文名称 | β3肾上腺素能受体抗体 |
| 英文别名 | beta 3 Adrenergic Receptor; beta3-adrenergic receptor; beta3-AR; adrenergic; beta-3-receptor; ADR B3; ADRB 3; ADRB3R; Adrenergic beta 3 receptor; B3AR; beta 3 adrenoceptor; beta 3 adrenoreceptor; beta 3AR; B3AR; BETA3AR; ADRB3_HUMAN. |
| 产品应用 | WB=1:500-2000, IHC-P=1:100-500, IHC-F=1:100-500, IF=1:100-500 Not yet tested in other applications. |
| 交叉反应 | Human, Rat (Mouse, Dog, Pig, Sheep) |
| 抗体来源 | Rabbit |
| 免疫原 | KLH conjugated synthetic peptide derived from human ADRB3 |
| 亚型 | IgG |
| 性状 | Liquid |
| 纯化方法 | affinity purified by Protein A |
| 克隆类型 | Polyclonal |
| 理论分子量 | 44 kDa |
| 浓度 | 1mg/ml |
| 储存液 | 0.01M TBS (pH7.4) with 1% BSA, 0.02% Proclin300 and 50% Glycerol. |
| 亚细胞定位 | Cell membrane; Multi-pass membrane protein. |
| 组织特异性 | Expressed mainly in adipose tissues. |
| 相似性 | Belongs to the G-protein coupled receptor 1 family. Adrenergic receptor subfamily. ADRB3 sub-subfamily. |
| 功能 | Beta-adrenergic receptors mediate the catecholamine-induced activation of adenylate cyclase through the action of G proteins. Beta-3 is involved in the regulation of lipolysis and thermogenesis. |
| 保存条件 | Shipped at 4℃. Store at -20℃ for one year. Avoid repeated freeze/thaw cycles. |
| 注意事项 | This product as supplied is intended for research use only, not for use in human, therapeutic or diagnostic applications. |
| 背景资料 | beta 3 Adrenergic Receptor is located mainly in adipose tissue and is involved in the regulation of lipolysis and thermogenesis. Beta adrenergic receptors are involved in the epenephrine and norepinephrine-induced activation of adenylate cyclase through the action of G proteins. beta 3 Adrenergic Receptor expression has been documented in adipose tissues, heart, and in smooth muscle of digestive and urinary tract organs (bladder, colon, small intestine, stomach, ureter). Utilization of alternate promoters and/or 3-prime untranslated regions may result in tissue-specific regulation of the expression of this protein. |
| 应用 | 推荐稀释比例 |
| {WB} | {1:500-2000} |
| {IHC-P} | {1:100-500} |
| {IHC-F} | {1:100-500} |
| {IF} | {1:100-500} |

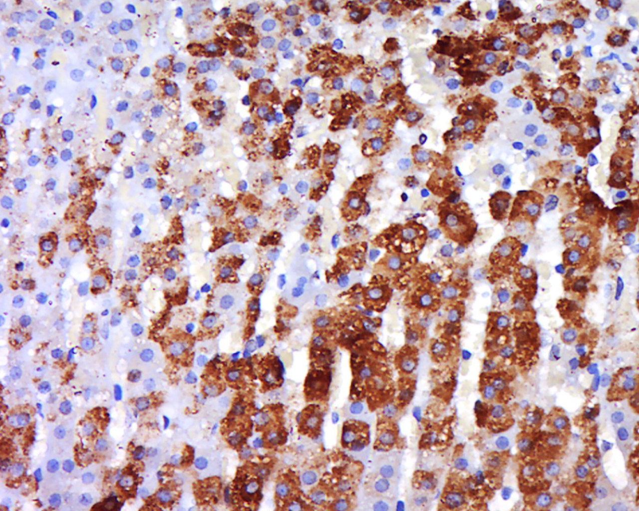
Antigen retrieval: citrate buffer ( 0.01M, pH 6.0 ), Boiling bathing for 15min; Block endogenous peroxidase by 3% Hydrogen peroxide for 30min; Blocking buffer (normal goat serum,C-0005) at 37℃ for 20 min;
Incubation: Anti-ADRB3 Polyclonal Antibody, Unconjugated(bs-1063R) 1:500, overnight at 4°C, followed by conjugation to the secondary antibody(SP-0023) and DAB(C-0010) staining

K562(Human) Cell Lysate at 40 ug
Primary: Anti-beta 3 Adrenergic Receptor (bs-1063R) at 1/300 dilution
Secondary: IRDye800CW Goat Anti-Rabbit IgG at 1/20000 dilution
Predicted band size: 44 kD
Observed band size: 54 kD
风险提示:丁香通仅作为第三方平台,为商家信息发布提供平台空间。用户咨询产品时请注意保护个人信息及财产安全,合理判断,谨慎选购商品,商家和用户对交易行为负责。对于医疗器械类产品,请先查证核实企业经营资质和医疗器械产品注册证情况。
文献和实验[IF={{ 6.208 }}] {Lina S. Farhoumand. et al. Blockade of ß-Adrenergic Receptors by Nebivolol Enables Tumor Control Potential for Uveal Melanoma in 3D Tumor Spheroids and 2D Cultures. INT J MOL SCI. 2023 Jan;24(6):5894} {FCM} {Human}
[IF={{ 4.757 }}] {Katarina Andelova. et al. Cardiac Cx43 Signaling Is Enhanced and TGF-β1/SMAD2/3 Suppressed in Response to Cold Acclimation and Modulated by Thyroid Status in Hairless SHRM. BIOMEDICINES. 2022 Jul;10(7):1707} {WB} {Rat}
[IF={{ 4.699 }}] {Pellegrino Lippiello. et al. Role of β3‐adrenergic receptor in the modulation of synaptic transmission and plasticity in mouse cerebellar cortex. J Neurosci Res. 2020 Nov;98(11):2263-2274} {IF} {Mouse}
[IF={{ 4.2 }}] {Wang Yu-Wan. et al. Long-term exposure to constant light disrupts intestinal stem cells through sympathoexcitation-induced Wnt5a signaling inhibition. GASTROENTEROL REP. 2025 May;13:} {IHC} {Rat}
[IF={{ 3.647 }}] {Clarissa Germano Barp et al. Perivascular adipose tissue phenotype and sepsis vascular dysfunction: Differential contribution of NO, ROS and beta 3-adrenergic receptor. Life Sci. 2020 Aug 1;254:117819.} {IF} {Rat}
= NAL), appears to form upon oxidative cyclization of the nonfluorescent 2:1 lysine-HNE Michael adduct-Schiff base cross-link (Scheme 1). Polyclonal antibody (PAb) to the NAL-HNE fluorophore was raised in rabbit and found to be highly specific
/96T 2000/3000 进口分装 F0021 骨成型蛋白-9(BMP-9) ELISA 48T/96T 2000/3000 进口分装 F0022 BMP-R1A ELISA 48T/96T 2000/3000 进口分装 F0023 BMP-R2 ELISA 48T/96T 2000/3000 进口分装 F0024 BTC ELISA 48T/96T 2000/3100 进口分装 F0030 CAE-Ab ELISA 96
/96T 2000/3000 进口分装 F0021 骨成型蛋白-9(BMP-9) ELISA 48T/96T 2000/3000 进口分装 F0022 BMP-R1A ELISA 48T/96T 2000/3000 进口分装 F0023 BMP-R2 ELISA 48T/96T 2000/3000 进口分装 F0024 BTC ELISA 48T/96T 2000/3100 进口分装 F0030 CAE-Ab ELISA 96
技术资料暂无技术资料 索取技术资料









