相关产品推荐更多 >

PAI1 Rabbit pAb, BF555 conjugated(bs-6562R-BF555)-100ul
¥2980
phospho-AR/Androgen receptor (Ser597) Rabbit pAb(bs-3004R)-50ul/100ul/200ul
¥1180
C2a Rabbit pAb, Biotin conjugated(bs-10428R-Bio)-100ul
¥2980
PTDSS1 Rabbit pAb(bs-19583R)-50ul/100ul/200ul
¥1180
Bcl-2 Mouse mAb(bsm-33412M)-50ul/100ul/200ul/200ug
¥1180
万千商家帮你免费找货
0 人在求购买到急需产品
- 详细信息
- 文献和实验
- 技术资料
- 应用范围:
产品信息以Bioss网站为准
- 规格:
50ul/100ul/200ul
| 规格: | 50ul | 产品价格: | ¥1180.0 |
|---|---|---|---|
| 规格: | 100ul | 产品价格: | ¥1980.0 |
| 规格: | 200ul | 产品价格: | ¥2800.0 |
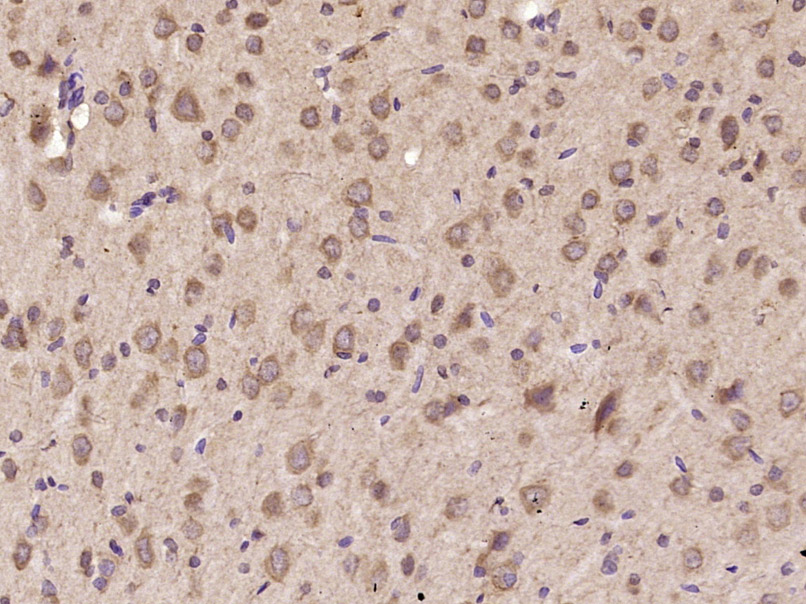
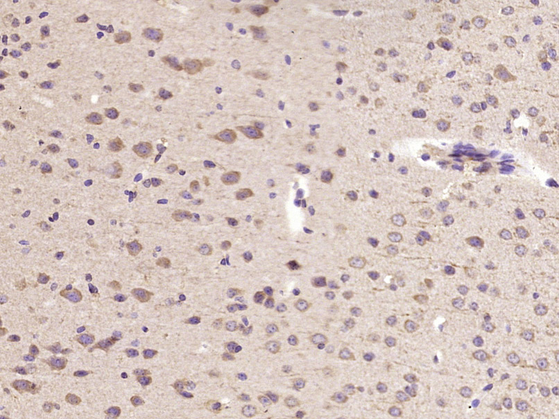
| 产品编号 | bs-1827R |
| 英文名称 | IL-11 Rabbit pAb |
| 中文名称 | 白介素11抗体 |
| 英文别名 | Interleukin-11; Adipogenesis inhibitory factor; AGIF; IL 11; IL11; Interleukin 11; Oprelvekin; IL11_HUMAN. |
| 产品应用 | WB=1:500-2000, IHC-P=1:100-500, IHC-F=1:100-500, IF=1:100-500 Not yet tested in other applications. |
| 交叉反应 | Mouse, Rat (Human, Dog, Pig, Cow, GuineaPig) |
| 抗体来源 | Rabbit |
| 免疫原 | KLH conjugated synthetic peptide derived from human IL-11 |
| 亚型 | IgG |
| 性状 | Liquid |
| 纯化方法 | affinity purified by Protein A |
| 克隆类型 | Polyclonal |
| 理论分子量 | 19 kDa |
| 浓度 | 1mg/ml |
| 储存液 | 0.01M TBS (pH7.4) with 1% BSA, 0.02% Proclin300 and 50% Glycerol. |
| 研究领域 | Cancer > Tumor immunology > Cytokines > Interleukins Cardiovascular > Angiogenesis > Cytokines > Interleukin Immunology > Adaptive Immunity > B Cells > Non-CD Immunology > Innate Immunity > Cytokines > Interleukins Immunology > Secreted Molecules > Other secreted molecules Stem Cells > Hematopoietic Progenitors > Myeloid > Thrombocytic Lineage |
| 亚细胞定位 | Secreted. |
| 相似性 | Belongs to the IL-6 superfamily. |
| 功能 | Directly stimulates the proliferation of hematopoietic stem cells and megakaryocyte progenitor cells and induces megakaryocyte maturation resulting in increased platelet production. |
| 保存条件 | Shipped at 4℃. Store at -20℃ for one year. Avoid repeated freeze/thaw cycles. |
| 注意事项 | This product as supplied is intended for research use only, not for use in human, therapeutic or diagnostic applications. |
| 背景资料 | Interleukin 11 is a pleiotropic cytokine produced by mesenchymal-derived adherent cells. IL11 shares many functions of IL6 and LIF, including potentiation of megakaryocyte activity, enhancement of human myeloma cell proliferation, and enhancement of hepatic acute phase protein production. Interleukin 11 directly stimulates the proliferation of hematopoietic stem cells and megakaryocyte progenitor cells, and induces megakaryocyte maturation resulting in increased platelet production. Clinically it is used to prevent severe thrombocytopenia and the reduction of the need for platelet transfusion following myelosuppressive chemotherapy. |
| 应用 | 推荐稀释比例 |
| {WB} | {1:500-2000} |
| {IHC-P} | {1:100-500} |
| {IHC-F} | {1:100-500} |
| {IF} | {1:100-500} |

Primary: Anti- IL-11 (bs-1827R) at 1/300 dilution
Secondary: IRDye800CW Goat Anti-Mouse IgG at 1/10000 dilution
Predicted band size: 19 kD
Observed band size: 19 kD



Lane 1: Mouse Kidney tissue lysates
Lane 2: Rat Kidney tissue lysates
Primary: Anti-IL-11 (bs-1827R) at 1/500 dilution
Secondary: IRDye800CW Goat Anti-Rabbit IgG at 1/20000 dilution
Predicted band size: 19 kDa
Observed band size: 19 kDa
风险提示:丁香通仅作为第三方平台,为商家信息发布提供平台空间。用户咨询产品时请注意保护个人信息及财产安全,合理判断,谨慎选购商品,商家和用户对交易行为负责。对于医疗器械类产品,请先查证核实企业经营资质和医疗器械产品注册证情况。
文献和实验[IF={{ 5.555 }}] {Pengsen Wu. et al. IL-11 Is Elevated and Drives the Profibrotic Phenotype Transition of Orbital Fibroblasts in Thyroid-Associated Ophthalmopathy. Front Endocrinol. 2022; 13: 846106} {IHC} {Human}
[IF={{ 2.376 }}] {Lifei Li. et al. GnRH agonist treatment regulates IL-6 and IL-11 expression in endometrial stromal cells for patients with HRT regiment in frozen embryo transfer cycles. Reprod Biol. 2022 Jun;22:100608} {WB} {Human}
= NAL), appears to form upon oxidative cyclization of the nonfluorescent 2:1 lysine-HNE Michael adduct-Schiff base cross-link (Scheme 1). Polyclonal antibody (PAb) to the NAL-HNE fluorophore was raised in rabbit and found to be highly specific
GE Healthcare Benzamidine Sepharose™ 6B is p-aminobenzamidine covalently attached to Sepharose 6B by the epoxy coupling method. p-Aminobenzamidine (PAB), is a synthetic inhibitor of trypsin-like serine protease. Trypsin and trypsin
/96T 2000/3000 进口分装 F0021 骨成型蛋白-9(BMP-9) ELISA 48T/96T 2000/3000 进口分装 F0022 BMP-R1A ELISA 48T/96T 2000/3000 进口分装 F0023 BMP-R2 ELISA 48T/96T 2000/3000 进口分装 F0024 BTC ELISA 48T/96T 2000/3100 进口分装 F0030 CAE-Ab ELISA 96
技术资料暂无技术资料 索取技术资料






