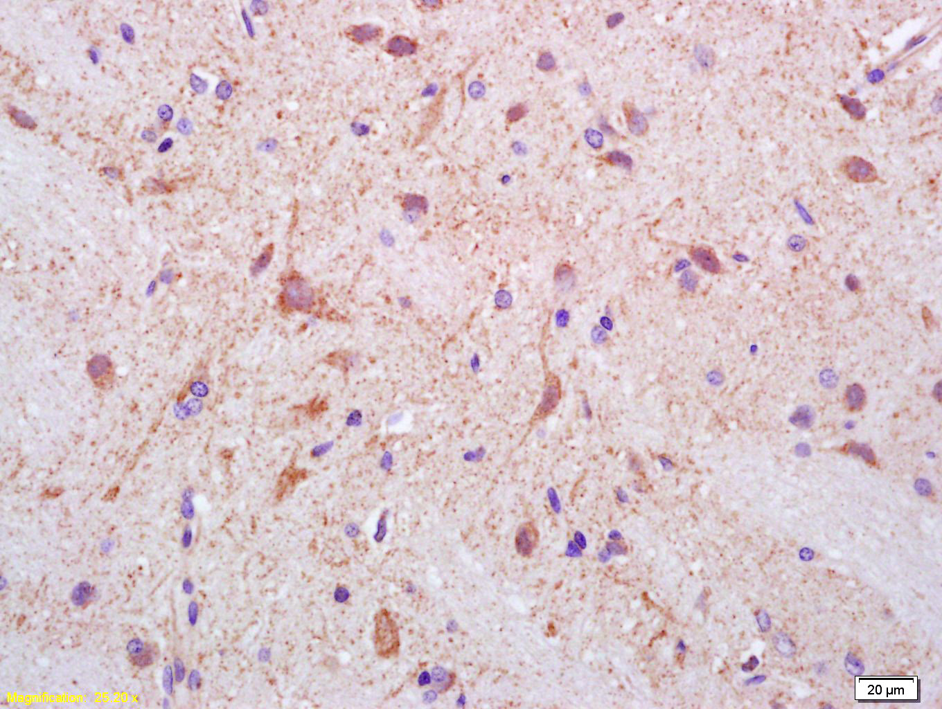
Tissue/cell: rat brain tissue; 4% Paraformaldehyde-fixed and paraffin-embedded;
Antigen retrieval: citrate buffer ( 0.01M, pH 6.0 ), Boiling bathing for 15min; Block endogenous peroxidase by 3% Hydrogen peroxide for 30min; Blocking buffer (normal goat serum,C-0005) at 37℃ for 20 min;
Incubation: Anti-NRP1/CD304 Polyclonal Antibody, Unconjugated(bs-0693R) 1:200, overnight at 4°C, followed by conjugation to the secondary antibody(SP-0023) and DAB(C-0010) staining
相关产品推荐更多 >

VPS13D Rabbit pAb, Cy5.5 conjugated(bs-12766R-Cy5.5)-100ul
¥2980
MAPK13/SAPK4 Rabbit pAb(bs-7920R)-50ul/100ul/200ul
¥1180
Estrogen receptor alpha Rabbit pAb, APC conjugated(bs-0254R-APC)-100ul
¥2980
MGST1 Rabbit pAb(bs-12206R)-50ul/100ul/200ul
¥1180
CDK2 Rabbit pAb, BF350 conjugated(bs-10726R-BF350)-100ul
¥2980
万千商家帮你免费找货
0 人在求购买到急需产品
- 详细信息
- 文献和实验
- 技术资料
- 应用范围:
产品信息以Bioss网站为准
- 规格:
50ul/100ul/200ul
| 规格: | 50ul | 产品价格: | ¥1180.0 |
|---|---|---|---|
| 规格: | 100ul | 产品价格: | ¥1980.0 |
| 规格: | 200ul | 产品价格: | ¥2800.0 |
| 产品编号 | bs-0693R |
| 英文名称 | Neuropilin 1 Rabbit pAb |
| 中文名称 | 神经纤毛蛋白1抗体 |
| 英文别名 | Neuropilin-1; NRP-1; Neuropilin1; BDCA4; CD 304; CD304; DKFZp686A03134; DKFZp781F1414; NEL like protein 1; Nel related protein 1; Neuropilin1; Neuropilin 1; Neuropilin1 transmembrane receptor; NP1; NRP 1; NRP; NRP1; OTTHUMP00000020818; OTTHUMP00000020820; OTTHUMP00000020821; Vascular endothelial cell growth factor 165 receptor; VEGF165R; A5 protein; BLOOD DENDRITIC CELL ANTIGEN 4; NRP1_HUMAN. |
| 产品应用 | WB=1:500-2000, IHC-P=1:100-500, IHC-F=1:100-500, IF=1:100-500 Not yet tested in other applications. |
| 交叉反应 | Human, Rat (Mouse, Chicken, Sheep) |
| 抗体来源 | Rabbit |
| 免疫原 | KLH conjugated synthetic peptide derived from human neuropilin-1 |
| 亚型 | IgG |
| 性状 | Liquid |
| 纯化方法 | affinity purified by Protein A |
| 克隆类型 | Polyclonal |
| 理论分子量 | 103 kDa |
| 浓度 | 1mg/ml |
| 储存液 | 0.01M TBS (pH7.4) with 1% BSA, 0.02% Proclin300 and 50% Glycerol. |
| 研究领域 | Cardiovascular > Angiogenesis > Growth Factors > VEGF > VEGF Receptors Immunology > Adaptive Immunity > Regulatory T Cells Neuroscience > Neurology process > Growth and Development > Axonal Guidance Proteins |
| 亚基 | Homodimer, and heterodimer with NRP2. Interacts with FER. Binds PLXNB1. |
| 亚细胞定位 | Cell membrane; Single-pass type I membrane protein. Isoform 2: Secreted. |
| 组织特异性 | The expression of isoforms 1 and 2 does not seem to overlap. Isoform 1 is expressed by the blood vessels of different tissues. In the developing embryo it is found predominantly in the nervous system. In adult tissues, it is highly expressed in heart and placenta; moderately in lung, liver, skeletal muscle, kidney and pancreas; and low in adult brain. Isoform 2 is found in liver hepatocytes, kidney distal and proximal tubules. |
| 相似性 | Belongs to the neuropilin family.
Contains 2 CUB domains. Contains 2 F5/8 type C domains. Contains 1 MAM domain. |
| 功能 | The membrane-bound isoform 1 is a receptor involved in the development of the cardiovascular system, in angiogenesis, in the formation of certain neuronal circuits and in organogenesis outside the nervous system. It mediates the chemorepulsant activity of semaphorins. It binds to semaphorin 3A, The PLGF-2 isoform of PGF, The VEGF-165 isoform of VEGF and VEGF-B. Coexpression with KDR results in increased VEGF-165 binding to KDR as well as increased chemotaxis. It may regulate VEGF-induced angiogenesis. The soluble isoform 2 binds VEGF-165 and appears to inhibit its binding to cells. It may also induce apoptosis by sequestering VEGF-165. May bind as well various members of the semaphorin family. Its expression has an averse effect on blood vessel number and integrity. |
| 保存条件 | Shipped at 4℃. Store at -20℃ for one year. Avoid repeated freeze/thaw cycles. |
| 注意事项 | This product as supplied is intended for research use only, not for use in human, therapeutic or diagnostic applications. |
| 背景资料 | This gene encodes one of two neuropilins, which contain specific protein domains which allow them to participate in several different types of signaling pathways that control cell migration. Neuropilins contain a large N-terminal extracellular domain, made up of complement-binding, coagulation factor V/VIII, and meprin domains. These proteins also contains a short membrane-spanning domain and a small cytoplasmic domain. Neuropilins bind many ligands and various types of co-receptors; they affect cell survival, migration, and attraction. Some of the ligands and co-receptors bound by neuropilins are vascular endothelial growth factor (VEGF) and semaphorin family members. Several alternatively spliced transcript variants that encode different protein isoforms have been described for this gene. [provided by RefSeq, Oct 2011] |
| 应用 | 推荐稀释比例 |
| {WB} | {1:500-2000} |
| {IHC-P} | {1:100-500} |
| {IHC-F} | {1:100-500} |
| {IF} | {1:100-500} |


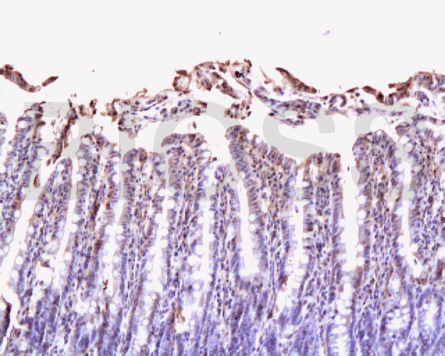
Tissue/cell: rat small intestine tissue; 4% Paraformaldehyde-fixed and paraffin-embedded;
Antigen retrieval: citrate buffer ( 0.01M, pH 6.0 ), Boiling bathing for 15min; Block endogenous peroxidase by 3% Hydrogen peroxide for 30min; Blocking buffer (normal goat serum,C-0005) at 37℃ for 20 min;
Incubation: Anti-NRP1/CD304 Polyclonal Antibody, Unconjugated(bs-0693R) 1:200, overnight at 4°C, followed by conjugation to the secondary antibody(SP-0023) and DAB(C-0010) staining
Antigen retrieval: citrate buffer ( 0.01M, pH 6.0 ), Boiling bathing for 15min; Block endogenous peroxidase by 3% Hydrogen peroxide for 30min; Blocking buffer (normal goat serum,C-0005) at 37℃ for 20 min;
Incubation: Anti-NRP1/CD304 Polyclonal Antibody, Unconjugated(bs-0693R) 1:200, overnight at 4°C, followed by conjugation to the secondary antibody(SP-0023) and DAB(C-0010) staining

25 ug total protein per lane of various lysates (see on figure) probed with Neuropilin 1 polyclonal antibody, unconjugated (bs-0693R) at 1:1000 dilution and 4°C overnight incubation. Followed by conjugated secondary antibody incubation at r.t. for 60 min.
风险提示:丁香通仅作为第三方平台,为商家信息发布提供平台空间。用户咨询产品时请注意保护个人信息及财产安全,合理判断,谨慎选购商品,商家和用户对交易行为负责。对于医疗器械类产品,请先查证核实企业经营资质和医疗器械产品注册证情况。
文献和实验该产品被引用文献
[IF={{ 1.92 }}] {Ni, Qianwei, et al. "The neuropilins and their ligands in hematogenous metastasis from salivary adenoid cystic carcinoma-an immunohistochemical study." Journal of Oral and Maxillofacial Surgery (2017).} {IHC} {="Human"}
技术资料暂无技术资料 索取技术资料
文献支持
Neuropilin 1 Rabbit pAb(bs-0693R)-50ul/100ul/200ul
¥1180 - 2800





