相关产品推荐更多 >

Neuroligin 1 Rabbit pAb, APC conjugated(bs-4212R-APC)-100ul
¥2980
phospho-PKM2 (Tyr148) Rabbit pAb, FITC conjugated(bs-20036R-FITC)-100ul
¥2980
alpha smooth muscle Actin Mouse mAb, PE conjugated(bsm-33187M-PE)-100ul
¥2980
phospho-SMAD2 (Ser464) Rabbit pAb(bs-24530R)-50ul/100ul/200ul
¥1180
PFKP Rabbit pAb, Biotin conjugated(bs-20503R-Bio)-100ul
¥2980
万千商家帮你免费找货
0 人在求购买到急需产品
- 详细信息
- 文献和实验
- 技术资料
- 应用范围:
产品信息以Bioss网站为准
- 规格:
50ul/100ul/200ul
| 规格: | 50ul | 产品价格: | ¥1180.0 |
|---|---|---|---|
| 规格: | 100ul | 产品价格: | ¥1980.0 |
| 规格: | 200ul | 产品价格: | ¥2800.0 |
| 产品编号 | bs-2761R |
| 英文名称 | BRINP1 Rabbit pAb |
| 中文名称 | 膀胱癌缺失基因1抗体 |
| 英文别名 | Deleted in bladder cancer protein 1; deleted in bladder cancer protein 1 precursor; IB3089A; DBC1; DBCCR1; FAM5A; deleted in bladder cancer protein 1 homolog precursor; BMP/retinoic acid-inducible neural-specific protein 1; BRINP; Brinp1; LOC140610; DBC 1; DBC.1; DBCCR1; Deleted in bladder cancer chromosome region candidate 1; Deleted in breast cancer 1; Deleted in breast cancer gene 1 protein; FAM5A; KIAA1967; OTTHUMP00000022751; p30 DBC; p30 DBC protein; Protein FAM5A; DBC1_HUMAN. |
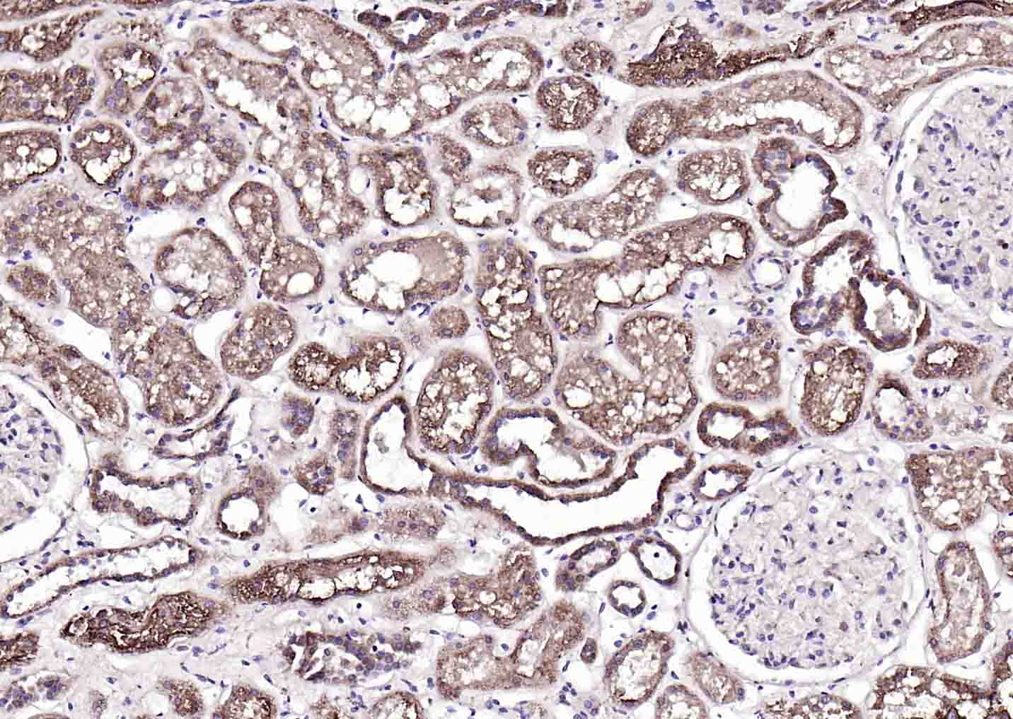
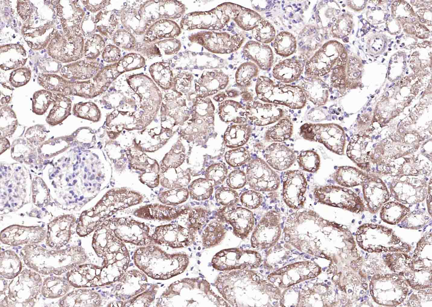
| 产品应用 | IHC-P=1:100-500, IHC-F=1:100-500, IF=1:100-500, Flow-Cyt=1ug/Test Not yet tested in other applications. |
| 交叉反应 | Human, Mouse, Rat (Chicken, Pig, Cow, Horse, Rabbit) |
| 抗体来源 | Rabbit |
| 免疫原 | KLH conjugated synthetic peptide derived from human DBC1 |
| 亚型 | IgG |
| 性状 | Liquid |
| 纯化方法 | affinity purified by Protein A |
| 克隆类型 | Polyclonal |
| 理论分子量 | 86 kDa |
| 浓度 | 1mg/ml |
| 储存液 | 0.01M TBS (pH7.4) with 1% BSA, 0.02% Proclin300 and 50% Glycerol. |
| 研究领域 | Cancer > Cell cycle > Cell cycle inhibitors Cancer > Cell Death > Apoptosis Cancer > Invasion/microenvironment > Apoptosis Cancer > Tumor biomarkers Cell Biology > Cell Cycle > Cell Cycle Inhibitors |
| 亚细胞定位 | Cytoplasm. |
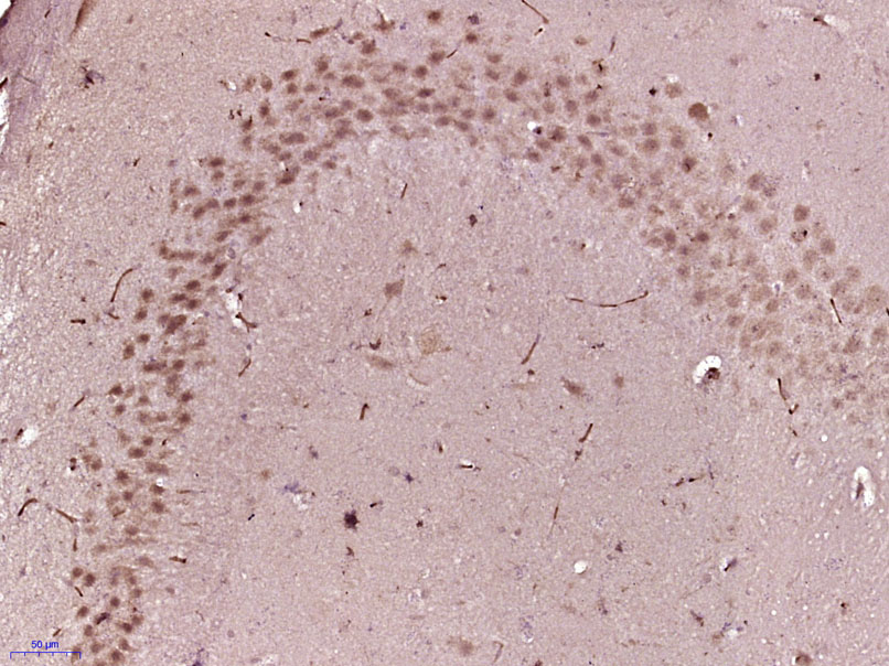
| 组织特异性 | Highly expressed in brain. Weakly expressed in heart, lung, skeletal muscle, kidney, thymus, prostate, testis and small intestine. |
| 相似性 | Belongs to the FAM5 family.
Contains 1 MACPF domain. |
| 功能 | Inhibits cell proliferation by negative regulation of the G1/S transition. Mediates cell death which is not of the classical apoptotic type and regulates expression of components of the plasminogen pathway. |
| 保存条件 | Shipped at 4℃. Store at -20℃ for one year. Avoid repeated freeze/thaw cycles. |
| 注意事项 | This product as supplied is intended for research use only, not for use in human, therapeutic or diagnostic applications. |
| 背景资料 | This gene is located within a chromosomal region that shows loss of heterozygosity in some bladder cancers. It contains a 5' CpG island that may be a frequent target of hypermethylation, and it may undergo hypermethylation-based silencing in some bladder cancers. [provided by RefSeq]. |
| 应用 | 推荐稀释比例 |
| {IHC-P} | {1:100-500} |
| {IHC-F} | {1:100-500} |
| {IF} | {1:100-500} |
| {Flow-Cyt} | {1ug/Test} |



Primary Antibody (green line): Rabbit Anti-BRINP1 antibody (bs-2761R)
Dilution:1ug/Test;
Secondary Antibody(white blue line): Goat anti-rabbit IgG-AF488
Dilution: 0.5ug/Test.
Isotype control(orange line): Normal Rabbit IgG
Protocol
The cells were fixed with 4% PFA (10min at room temperature)and then permeabilized with 90% ice-cold methanol for 20 min at -20℃, The cells were then incubated in 5%BSA to block non-specific protein-protein interactions for 30 min at room temperature .Cells stained with Primary Antibody for 30 min at room temperature. The secondary antibody used for 40 min at room temperature. Acquisition of 20,000 events was performed.




风险提示:丁香通仅作为第三方平台,为商家信息发布提供平台空间。用户咨询产品时请注意保护个人信息及财产安全,合理判断,谨慎选购商品,商家和用户对交易行为负责。对于医疗器械类产品,请先查证核实企业经营资质和医疗器械产品注册证情况。
文献和实验= NAL), appears to form upon oxidative cyclization of the nonfluorescent 2:1 lysine-HNE Michael adduct-Schiff base cross-link (Scheme 1). Polyclonal antibody (PAb) to the NAL-HNE fluorophore was raised in rabbit and found to be highly specific
GE Healthcare Benzamidine Sepharose™ 6B is p-aminobenzamidine covalently attached to Sepharose 6B by the epoxy coupling method. p-Aminobenzamidine (PAB), is a synthetic inhibitor of trypsin-like serine protease. Trypsin and trypsin
Nucleic Acid Programmable Protein Arrays: Versatile Tools for Array‐Based Functional Protein Studies
.g., Sigma) 50 mg/ml bis‐sulfosuccinimdylsuberate (BS3 ;Pierce, cat. no. PI 21580) in dimethylsulfoxide (DMSO) 5 mg/ml
技术资料暂无技术资料 索取技术资料






