相关产品推荐更多 >

phospho-PKC delta (Ser645) Rabbit pAb(bs-5559R)-50ul/100ul/200ul
¥1180
GCET2 Rabbit pAb(bs-6536R)-50ul/100ul/200ul
¥1180
Klrb1 Rabbit pAb, Biotin conjugated(bs-21419R-Bio)-100ul
¥2980
OA1 Rabbit pAb(bs-11791R)-50ul/100ul/200ul
¥1180
phospho-IKB alpha (Ser36) Rabbit pAb, APC conjugated(bs-18129R-APC)-100ul
¥2980
万千商家帮你免费找货
0 人在求购买到急需产品
- 详细信息
- 文献和实验
- 技术资料
- 应用范围:
产品信息以Bioss网站为准
- 规格:
50ul/100ul/200ul
| 规格: | 50ul | 产品价格: | ¥1180.0 |
|---|---|---|---|
| 规格: | 100ul | 产品价格: | ¥1980.0 |
| 规格: | 200ul | 产品价格: | ¥2800.0 |
| 产品编号 | bs-0817R |
| 英文名称 | MAGE-1 Rabbit pAb |
| 中文名称 | 黑色素瘤相关抗原抗体 |
| 英文别名 | MAGE-1 protein; Antigen MZ2 E; MAGE 1 antigen; MAGE1; MAGE1A; MAGEA1; Melanoma antigen 1; Melanoma antigen family A 1(directs expression of antigen MZ2 E); Melanoma antigen family A 1; Melanoma antigen MAGE 1; Melanoma associated antigen 1; Melanoma associated antigen MZ2 E; MAGA1_HUMAN; MGC9326. |
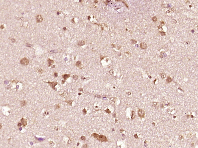
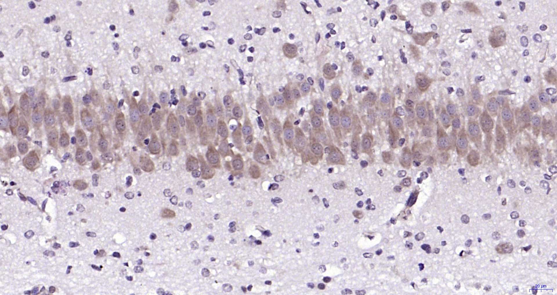
| 产品应用 | IHC-P=1:100-500, IHC-F=1:100-500, IF=1:100-500 Not yet tested in other applications. |
| 交叉反应 | Human, Rat |
| 抗体来源 | Rabbit |
| 免疫原 | KLH conjugated synthetic peptide derived from human MAGE-1 |
| 亚型 | IgG |
| 性状 | Liquid |
| 纯化方法 | affinity purified by Protein A |
| 克隆类型 | Polyclonal |
| 理论分子量 | 34 kDa |
| 浓度 | 1mg/ml |
| 储存液 | 0.01M TBS (pH7.4) with 1% BSA, 0.02% Proclin300 and 50% Glycerol. |
| 研究领域 | Cancer > Tumor biomarkers > Tumor antigens Cancer > Tumor immunology > Tumor-associated antigens Tags & Cell Markers > Cell Type Markers > Tumor Associated |
| 亚基 | Interacts with SNW1 and HDCA1. |
| 亚细胞定位 | Cytoplasm. Nucleus. |
| 组织特异性 | Expressed in many tumors of several types, such as melanoma, head and neck squamous cell carcinoma, lung carcinoma and breast carcinoma, but not in normal tissues except for testes. Never expressed in kidney tumors, leukemias and lymphomas. |
| 相似性 | Contains 1 MAGE domain. |
| 功能 | May be involved in transcriptional regulation through interaction with SNW1 and recruiting histone deactelyase HDAC1. May inhibit notch intracellular domain (NICD) transactivation. May play a role in embryonal development and tumor transformation or aspects of tumor progression. Antigen recognized on a melanoma by autologous cytolytic T-lymphocytes. |
| 保存条件 | Shipped at 4℃. Store at -20℃ for one year. Avoid repeated freeze/thaw cycles. |
| 注意事项 | This product as supplied is intended for research use only, not for use in human, therapeutic or diagnostic applications. |
| 背景资料 | The MAGE 1 gene is a member of the melanoma antigen encoding gene family. These genes encode for HLA-restricted tumor associated rejection antigens recognized by cytotoxic T lymphocytes. Some of these target antigens may be potentially useful for cancer specific immunotherapy. The expression of MAGE genes has been reported not only in melanoma but also in various other malignant tumors such as hepatocellular carcinoma and germ cell tumors. |
| 应用 | 推荐稀释比例 |
| {IHC-P} | {1:100-500} |
| {IHC-F} | {1:100-500} |
| {IF} | {1:100-500} |


风险提示:丁香通仅作为第三方平台,为商家信息发布提供平台空间。用户咨询产品时请注意保护个人信息及财产安全,合理判断,谨慎选购商品,商家和用户对交易行为负责。对于医疗器械类产品,请先查证核实企业经营资质和医疗器械产品注册证情况。
文献和实验[IF={{ 4.292 }}] {Longfei Xiao. et al. Dihydrotestosterone through blockade of TGF-β/Smad signaling mediates the anti-fibrosis effect under hypoxia in canine Sertoli cells. J Steroid Biochem. 2022 Feb;216:106041} {WB} {Dog}
= NAL), appears to form upon oxidative cyclization of the nonfluorescent 2:1 lysine-HNE Michael adduct-Schiff base cross-link (Scheme 1). Polyclonal antibody (PAb) to the NAL-HNE fluorophore was raised in rabbit and found to be highly specific
GE Healthcare Benzamidine Sepharose™ 6B is p-aminobenzamidine covalently attached to Sepharose 6B by the epoxy coupling method. p-Aminobenzamidine (PAB), is a synthetic inhibitor of trypsin-like serine protease. Trypsin and trypsin
Nucleic Acid Programmable Protein Arrays: Versatile Tools for Array‐Based Functional Protein Studies
.g., Sigma) 50 mg/ml bis‐sulfosuccinimdylsuberate (BS3 ;Pierce, cat. no. PI 21580) in dimethylsulfoxide (DMSO) 5 mg/ml
技术资料暂无技术资料 索取技术资料






