相关产品推荐更多 >

LINGO1 Rabbit pAb(bs-1177R)-50ul/100ul/200ul
¥1180
TRF2 Rabbit pAb, AP conjugated(bs-22936R-AP)-100ul
¥2980
PHLDA1 Rabbit pAb, AP conjugated(bs-1364R-AP)-100ul
¥2980
phospho-RAF1 (Ser338/Tyr340) Rabbit pAb, PE-Cy7 conjugated(bs-1731R-PE-Cy7)-100ul
¥2980
Anti-human PAR2 (Amgen patent Anti-PAR-2 Biosimilar)(BIO0722SM)-1mg/5mg/20mg
¥3200
万千商家帮你免费找货
0 人在求购买到急需产品
- 详细信息
- 文献和实验
- 技术资料
- 应用范围:
产品信息以Bioss网站为准
- 规格:
50ul/100ul/200ul
| 规格: | 50ul | 产品价格: | ¥1180.0 |
|---|---|---|---|
| 规格: | 100ul | 产品价格: | ¥1980.0 |
| 规格: | 200ul | 产品价格: | ¥2800.0 |
| 产品编号 | bs-1268R |
| 英文名称 | CCL20 Rabbit pAb |
| 中文名称 | 巨噬细胞炎性蛋白MIP-3a抗体 |
| 英文别名 | CCL20_HUMAN; C-C motif chemokine 20; beta-chemokine exodus-1; CC chemokine LARC; Liver and activation-regulated chemokine; Macrophage inflammatory protein 3 alpha(MIP-3-alpha); Small-inducible cytokine A20; CCL20(1-67); CCL20(1-64); CCL20(2-70); CKb4; LARC; ST38; MIP3A; Exodus; MIP-3a; SCYA20; MIP-3-alpha; MIP3α; |
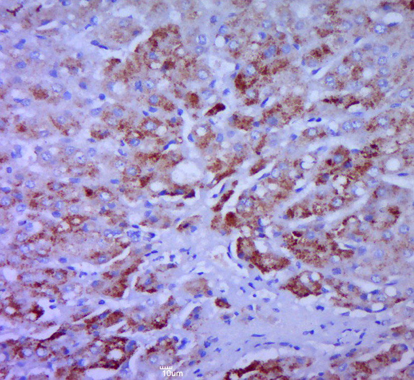
| 产品应用 | IHC-P=1:100-500, IHC-F=1:100-500, IF=1:100-500 Not yet tested in other applications. |
| 交叉反应 | Human (Mouse, Rat) |
| 抗体来源 | Rabbit |
| 免疫原 | KLH conjugated synthetic peptide derived from human CCL20 |
| 亚型 | IgG |
| 性状 | Liquid |
| 纯化方法 | affinity purified by Protein A |
| 克隆类型 | Polyclonal |
| 理论分子量 | 8.6 kDa |
| 浓度 | 1mg/ml |
| 储存液 | 0.01M TBS (pH7.4) with 1% BSA, 0.02% Proclin300 and 50% Glycerol. |
| 亚基 | Binds to and activate CCR6. |
| 亚细胞定位 | Secreted. |
| 组织特异性 | Expressed predominantly in the liver, lymph nodes, appendix, peripheral blood lymphocytes, and fetal lung. Low levels seen in thymus, prostate, testis, small intestine and colon. |
| 翻译后修饰 | C-terminal processed forms which lack 1, 3 or 6 amino acids are produced by proteolytic cleavage after secretion from peripheral blood monocytes. |
| 相似性 | Belongs to the intercrine beta (chemokine CC) family. |
| 功能 | Chemotactic factor that attracts lymphocytes and, slightly, neutrophils, but not monocytes. Inhibits proliferation of myeloid progenitors in colony formation assays. May be involved in formation and function of the mucosal lymphoid tissues by attracting lymphocytes and dendritic cells towards epithelial cells. C-terminal processed forms have been shown to be equally chemotactically active for leukocytes. Possesses antibacterial activity E.coli ATCC 25922 and S.aureus ATCC 29213. |
| 保存条件 | Shipped at 4℃. Store at -20℃ for one year. Avoid repeated freeze/thaw cycles. |
| 注意事项 | This product as supplied is intended for research use only, not for use in human, therapeutic or diagnostic applications. |
| 背景资料 | This antimicrobial gene belongs to the subfamily of small cytokine CC genes. Cytokines are a family of secreted proteins involved in immunoregulatory and inflammatory processes. The CC cytokines are proteins characterized by two adjacent cysteines. The protein encoded by this gene displays chemotactic activity for lymphocytes and can repress proliferation of myeloid progenitors. Two transcript variants encoding different isoforms have been found for this gene. [provided by RefSeq, Sep 2014] |
| 应用 | 推荐稀释比例 |
| {IHC-P} | {1:100-500} |
| {IHC-F} | {1:100-500} |
| {IF} | {1:100-500} |

风险提示:丁香通仅作为第三方平台,为商家信息发布提供平台空间。用户咨询产品时请注意保护个人信息及财产安全,合理判断,谨慎选购商品,商家和用户对交易行为负责。对于医疗器械类产品,请先查证核实企业经营资质和医疗器械产品注册证情况。
文献和实验[IF={{ 5.714 }}] {Tianming Li. et al. IL-17D affects the chemokines and chemokine receptors of intestinal epithelial cells under hyperoxia. INT IMMUNOPHARMACOL. 2022 Dec;113:109386} {IHC} {Rat, Human}
[IF={{ 5 }}] {Chuan Chen. et al. A novel small molecule effectively ameliorates estrogen deficiency-induced osteoporosis by targeting the gut-bone signaling axis. EUR J PHARMACOL. 2023 Sep;954:175868} {IHC} {Mouse}
[IF={{ 3.401 }}] {Mitchell Corey Sanders. et al. Protecting human amnion and chorion matrices (HACM) during processing: Performance enhancement in a Diabetic Mouse Model and Human Co-culture System. WOUND REPAIR REGEN. 2023 May;:} {IHC} {Mouse}
[IF={{ 1.06 }}] {Qin, Shan-Yu, et al. "Role and recruitment of Th9 cells in liver cirrhosis patients." Asian Pacific Journal of Tropical Biomedicine (2016).} {IHC} {="Human"}
[IF={{ 0 }}] {Liu et al. Clara cell 10-kDa protein inhibits T(H)17 responses through modulating dendritic cells in the setting of allergic rhinitis. (2013) J.Allergy.Clin.Immunol. 131:387-94.e1-12} {IHC} {Mouse}
= NAL), appears to form upon oxidative cyclization of the nonfluorescent 2:1 lysine-HNE Michael adduct-Schiff base cross-link (Scheme 1). Polyclonal antibody (PAb) to the NAL-HNE fluorophore was raised in rabbit and found to be highly specific
GE Healthcare Benzamidine Sepharose™ 6B is p-aminobenzamidine covalently attached to Sepharose 6B by the epoxy coupling method. p-Aminobenzamidine (PAB), is a synthetic inhibitor of trypsin-like serine protease. Trypsin and trypsin
Nucleic Acid Programmable Protein Arrays: Versatile Tools for Array‐Based Functional Protein Studies
.g., Sigma) 50 mg/ml bis‐sulfosuccinimdylsuberate (BS3 ;Pierce, cat. no. PI 21580) in dimethylsulfoxide (DMSO) 5 mg/ml
技术资料暂无技术资料 索取技术资料






