相关产品推荐更多 >

Glucocorticoid receptor Rabbit pAb, RBITC conjugated(bs-0252R-RBITC)-100ul
¥2980
Ecadherin binding protein E7 Rabbit pAb(bs-8386R)-50ul/100ul/200ul
¥1180
Secretory phospholipase A2 Type V Rabbit pAb(bs-19624R)-50ul/100ul/200ul
¥1180
Somatostatin 14 Rabbit pAb, Cy7 conjugated(bs-11796R-Cy7)-100ul
¥2980
CFTR C-terminus Recombinant Mouse mAb(bsm-60568M)-50ul/100ul/25ul
¥800
万千商家帮你免费找货
0 人在求购买到急需产品
- 详细信息
- 文献和实验
- 技术资料
- 应用范围:
产品信息以Bioss网站为准
- 规格:
50ul/100ul/200ul
| 规格: | 50ul | 产品价格: | ¥1180.0 |
|---|---|---|---|
| 规格: | 100ul | 产品价格: | ¥1980.0 |
| 规格: | 200ul | 产品价格: | ¥2800.0 |
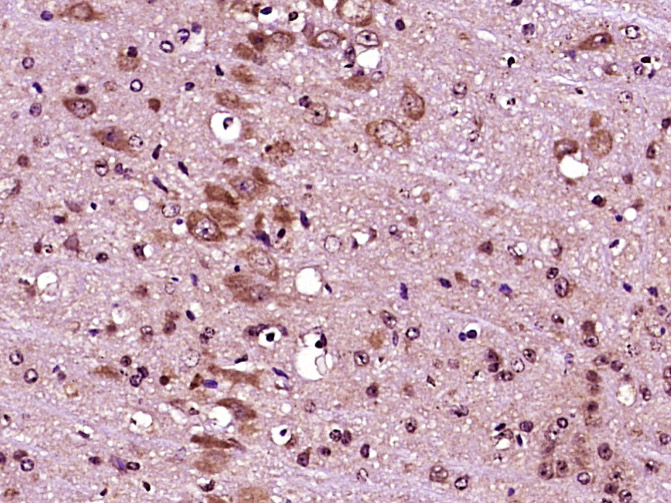
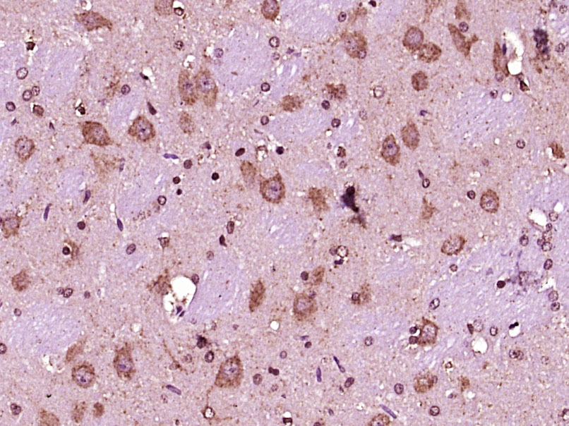
| 产品编号 | bs-19568R |
| 英文名称 | Olfactory Marker Protein Rabbit pAb |
| 中文名称 | 嗅蛋白抗体 |
| 英文别名 | Olfactory marker protein; Olfactory neuronal specific protein; OMP_HUMAN; OMP. |
| 产品应用 | IHC-P=1:100-500, IHC-F=1:100-500, IF=1:100-500 Not yet tested in other applications. |
| 交叉反应 | Mouse, Rat (Human) |
| 抗体来源 | Rabbit |
| 免疫原 | KLH conjugated synthetic peptide derived from human Olfactory Marker Protein |
| 亚型 | IgG |
| 性状 | Liquid |
| 纯化方法 | affinity purified by Protein A |
| 克隆类型 | Polyclonal |
| 理论分子量 | 19 kDa |
| 浓度 | 1mg/ml |
| 储存液 | 0.01M TBS (pH7.4) with 1% BSA, 0.02% Proclin300 and 50% Glycerol. |
| 研究领域 | Microbiology > Protein > Human Protein > Receptor Microbiology > Protein > Receptor protein |
| 亚细胞定位 | Cytoplasmic |
| 组织特异性 | Uniquely associated with mature olfactory receptor neurons. |
| 相似性 | Belongs to the olfactory marker protein family. |
| 保存条件 | Shipped at 4℃. Store at -20℃ for one year. Avoid repeated freeze/thaw cycles. |
| 注意事项 | This product as supplied is intended for research use only, not for use in human, therapeutic or diagnostic applications. |
| 背景资料 | Olfactory marker protein is uniquely associated with the mature olfactory receptor neurons in many vertebrate species from fish to man. The OMP gene structure and protein sequence are highly conserved between mouse, rat and human. Results of the mouse knockout studies show that OMP-null mice are compromised in their ability to respond to odor stimuli, and that OMP represents a novel modulatory component of the odor detection/signal transduction cascade. [provided by RefSeq, Jul 2008] |
| 应用 | 推荐稀释比例 |
| {IHC-P} | {1:100-500} |
| {IHC-F} | {1:100-500} |
| {IF} | {1:100-500} |


风险提示:丁香通仅作为第三方平台,为商家信息发布提供平台空间。用户咨询产品时请注意保护个人信息及财产安全,合理判断,谨慎选购商品,商家和用户对交易行为负责。对于医疗器械类产品,请先查证核实企业经营资质和医疗器械产品注册证情况。
文献和实验Nucleic Acid Programmable Protein Arrays: Versatile Tools for Array‐Based Functional Protein Studies
scale. Methods Mol. Biol. 375:57‐78. Li, Q.Z., Zhou, J., Wandstrat, A.E., Carr‐Johnson, F., Branch, V., Karp, D.R., Mohan, C., Wakeland, E.K., and Olsen, N.J. 2007. Protein
= NAL), appears to form upon oxidative cyclization of the nonfluorescent 2:1 lysine-HNE Michael adduct-Schiff base cross-link (Scheme 1). Polyclonal antibody (PAb) to the NAL-HNE fluorophore was raised in rabbit and found to be highly specific
Hapten Labeling of Nucleic Acids for Immuno-Polymerase Chain Reaction Applications
A method for the ultrasensitive protein detection in the range of 0.01 to 10,000 amol of the model antibody anti-mouse-IgG from rabbit is described, using a combination of Immunopolymerase chain reaction (PCR) and PCR-enzyme-linked
技术资料暂无技术资料 索取技术资料






