相关产品推荐更多 >

Bcl-2 alpha Rabbit pAb, APC-Cy7 conjugated(bs-15533R-APC-Cy7)-100ul
¥2980
Cyclin D3 Recombinant Rabbit mAb(bsm-60251R)-50ul/100ul/25ul
¥800
JMJD2A Rabbit pAb(bs-8046R)-50ul/100ul/200ul
¥1180
Anti-human PDCD1 / PD-1 / CD279 (Geptanolimab Biosimilar)(BIO0562SM)-1mg/5mg/20mg
¥3200
phospho-GATA3 (Ser162) Rabbit pAb, Biotin conjugated(bs-10280R-Bio)-100ul
¥2980
万千商家帮你免费找货
0 人在求购买到急需产品
- 详细信息
- 文献和实验
- 技术资料
- 应用范围:
产品信息以Bioss网站为准
- 规格:
50ul/100ul/200ul
| 规格: | 50ul | 产品价格: | ¥1180.0 |
|---|---|---|---|
| 规格: | 100ul | 产品价格: | ¥1980.0 |
| 规格: | 200ul | 产品价格: | ¥2800.0 |
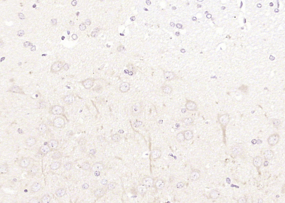
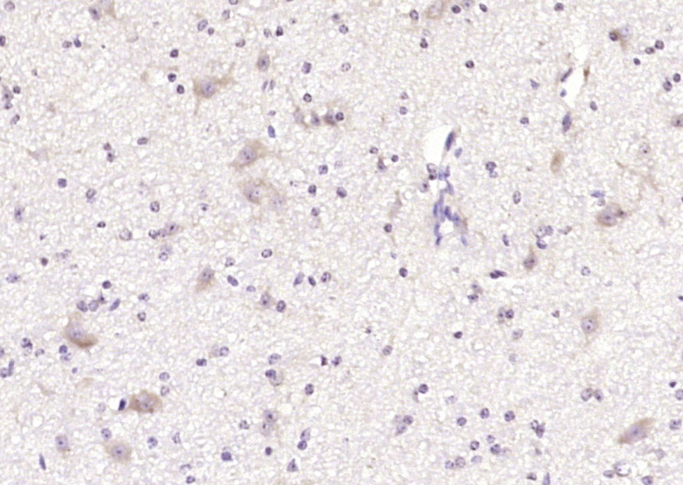
| 产品编号 | bs-11704R |
| 英文名称 | AFG3L2 Rabbit pAb |
| 中文名称 | AFG3样蛋白2/脊髓小脑共济失调蛋白28抗体 |
| 英文别名 | SCA28; AFG3(ATPase family gene 3, yeast) like 2; AFG3 ATPase family gene 3 like 2(yeast); AFG3 ATPase family gene 3 like 2; AFG3 like protein 2; ATPase family gene 3 like 2; ATPase family gene 3 yeast; FLJ25993; Paraplegin like protein; SCA28; Spinocerebellar ataxia 28; AFG32_HUMAN . |
| 产品应用 | IHC-P=1:100-500, IHC-F=1:100-500, IF=1:100-500 Not yet tested in other applications. |
| 交叉反应 | Mouse, Rat (Human, Chicken, Dog, Pig, Cow, Horse, Sheep) |
| 抗体来源 | Rabbit |
| 免疫原 | KLH conjugated synthetic peptide derived from human AFG3L2 |
| 亚型 | IgG |
| 性状 | Liquid |
| 纯化方法 | affinity purified by Protein A |
| 克隆类型 | Polyclonal |
| 理论分子量 | 89 kDa |
| 浓度 | 1mg/ml |
| 储存液 | 0.01M TBS (pH7.4) with 1% BSA, 0.02% Proclin300 and 50% Glycerol. |
| 研究领域 | Cell Biology > Proteolysis / Ubiquitin > Proteolytic enzymes > Other proteases Metabolism > Pathways and Processes > Mitochondrial Metabolism > Mitochondrial markers Neuroscience > Neurology process > Neurodegenerative disease Signal Transduction > Metabolism > Mitochondrial |
| 亚基 | Homooligomer. Interacts with SPG7; the interaction is required for the efficient assembly of mitochondrial complex I. |
| 亚细胞定位 | Mitochondrial membrane; multipass membrane protein |
| 组织特异性 | Ubiquitous. Highly expressed in the cerebellar Purkinje cells. |
| 相似性 | In the N-terminal section; belongs to the AAA ATPase family. In the C-terminal section; belongs to the peptidase M41 family. |
| 功能 | AFG3L2 is a protein localized in mitochondria and closely related to paraplegin. The paraplegin gene is responsible for an autosomal recessive form of hereditary spastic paraplegia. AFG3L2 is a candidate gene for other hereditary spastic paraplegias or neurodegenerative disorders and is a putative ATP dependent protease |
| 保存条件 | Shipped at 4℃. Store at -20℃ for one year. Avoid repeated freeze/thaw cycles. |
| 注意事项 | This product as supplied is intended for research use only, not for use in human, therapeutic or diagnostic applications. |
| 背景资料 | AFG3L2 is a multi-pass membrane metalloprotease that contains one AAA (ATPase associated with diverse cellular activities) domain, a zinc-dependent binding motif, an RNA-binding region and an ATP/GTP binding site. Localizing to the mitochondrial membrane, AFG3L2 is ubiquitously expressed with highest expression levels in skeletal muscle and heart. AFG3L2 shares 69% similarity with the yeast Afg3 protein and 49% similarity with Paraplegin, a protein of mitochondria that is thought to be involved in signal transduction and chaperone-like activities. In mitochondria, AFG3L2 forms a complex with Paraplegin that is believed to regulate essential protein quality control. Mutations in the gene encoding either one of these proteins can result in hereditary spastic paraplegia, a degenerative spinal cord disorder that is characterized by muscle spasms, stiffness in the legs and, in some cases, incontinence. |
| 应用 | 推荐稀释比例 |
| {IHC-P} | {1:100-500} |
| {IHC-F} | {1:100-500} |
| {IF} | {1:100-500} |


风险提示:丁香通仅作为第三方平台,为商家信息发布提供平台空间。用户咨询产品时请注意保护个人信息及财产安全,合理判断,谨慎选购商品,商家和用户对交易行为负责。对于医疗器械类产品,请先查证核实企业经营资质和医疗器械产品注册证情况。
文献和实验= NAL), appears to form upon oxidative cyclization of the nonfluorescent 2:1 lysine-HNE Michael adduct-Schiff base cross-link (Scheme 1). Polyclonal antibody (PAb) to the NAL-HNE fluorophore was raised in rabbit and found to be highly specific
GE Healthcare Benzamidine Sepharose™ 6B is p-aminobenzamidine covalently attached to Sepharose 6B by the epoxy coupling method. p-Aminobenzamidine (PAB), is a synthetic inhibitor of trypsin-like serine protease. Trypsin and trypsin
Nucleic Acid Programmable Protein Arrays: Versatile Tools for Array‐Based Functional Protein Studies
.g., Sigma) 50 mg/ml bis‐sulfosuccinimdylsuberate (BS3 ;Pierce, cat. no. PI 21580) in dimethylsulfoxide (DMSO) 5 mg/ml
技术资料暂无技术资料 索取技术资料






