相关产品推荐更多 >

LPAP Rabbit pAb, PerCP-Cy5.5 conjugated(bs-6963R-PerCP-Cy5.5)-100ul
¥2980
C3orf32 Rabbit pAb, HRP conjugated(bs-15174R-HRP)-100ul
¥2980
NOXA2 Rabbit pAb(bs-3891R)-50ul/100ul/200ul
¥1180
phospho-DDX5 (Tyr593) Rabbit pAb, AP conjugated(bs-8005R-AP)-100ul
¥2980
phospho-CRK (Ser41) Rabbit pAb(bs-5264R)-50ul/100ul/200ul
¥1180
万千商家帮你免费找货
0 人在求购买到急需产品
- 详细信息
- 文献和实验
- 技术资料
- 应用范围:
产品信息以Bioss网站为准
- 规格:
50ul/100ul/200ul
| 规格: | 50ul | 产品价格: | ¥1180.0 |
|---|---|---|---|
| 规格: | 100ul | 产品价格: | ¥1980.0 |
| 规格: | 200ul | 产品价格: | ¥2800.0 |
| 产品编号 | bs-2951R |
| 英文名称 | SQSTM1/P62 Rabbit pAb |
| 中文名称 | 泛素结合蛋白P62抗体 |
| 英文别名 | SQSTM_HUMAN; Sequestosome-1; ORCA; OSIL; EBI3-associated protein of 60 kDa(EBIAP; p60); phosphotyrosine-independent ligand for the Lck SH2 domain of 62 kDa; Ubiquitin-binding protein p62; |
| 产品应用 | IHC-P=1:100-500, IHC-F=1:100-500, ICC/IF=1:100-500, IF=1:100-500 Not yet tested in other applications. |
| 交叉反应 | Human, Mouse, Rat (Dog, Pig, Cow, Horse, Rabbit, Sheep) |
| 抗体来源 | Rabbit |
| 免疫原 | KLH conjugated synthetic peptide derived from human SQSTM1/p62 |
| 亚型 | IgG |
| 性状 | Liquid |
| 纯化方法 | affinity purified by Protein A |
| 克隆类型 | Polyclonal |
| 理论分子量 | 60 kDa |
| 浓度 | 1mg/ml |
| 储存液 | 0.01M TBS (pH7.4) with 1% BSA, 0.02% Proclin300 and 50% Glycerol. |
| 研究领域 | Cancer > Cell Death > Autophagy > Autophagosome Cardiovascular > Heart > Autophagy > Autophagosome Epigenetics and Nuclear Signaling > Transcription > Polymerase associated factors > Pol II Transcription Metabolism > Pathways and Processes > Metabolism processes > Autophagy and mitophagy > Autophagosome Signal Transduction > Protein Trafficking > Vesicle Transport > Regulation Signal Transduction > Signaling Pathway > Nuclear Signaling > NFkB Pathway |
| 亚基 | Cytoplasm. Late endosome. Nucleus. Endoplasmic reticulum. Note=Sarcomere. In cardiac muscles localizes to the sarcomeric band. Localizes to late endosomes. May also localize to the nucleus. Accumulates in neurofibrillary tangles and in Lewy bodies of neurons from individuals with Alzheimer and Parkinson disease respectively. Enriched in Rosenthal fibers of pilocytic astrocytoma. In liver cells, accumulates in Mallory bodies associated with alcoholic hepatitis, Wilson disease, indian childhood cirrhosis and in hyaline bodies associated with hepatocellular carcinoma. Colocalizes with TRIM13 in the perinuclear endoplasmic reticulum. |
| 亚细胞定位 | Cytoplasm. Late endosome. Nucleus. Sarcomere (By similarity). In cardiac muscles localizes to the sarcomeric band (By similarity). Localizes to late endosomes. May also localize to the nucleus. Accumulates in neurofibrillary tangles and in Lewy bodies of neurons from individuals with Alzheimer and Parkinson disease respectively. Enriched in Rosenthal fibers of pilocytic astrocytoma. In liver cells, accumulates in Mallory bodies associated with alcoholic hepatitis, Wilson disease, indian childhood cirrhosis and in hyaline bodies associated with hepatocellular carcinoma. |
| 组织特异性 | Ubiquitously expressed. |
| 翻译后修饰 | Phosphorylated. May be phosphorylated by PRKCZ (By similarity). Phosphorylated in vitro by TTN. |
| 相似性 | Contains 1 OPR domain. Contains 1 UBA domain. |
| 功能 | Adapter protein which binds ubiquitin and may regulate the activation of NFKB1 by TNF-alpha, nerve growth factor (NGF) and interleukin-1. May play a role in titin/TTN downstream signaling in muscle cells. May regulate signaling cascades through ubiquitination. Adapter that mediates the interaction between TRAF6 and CYLD (By similarity). May be involved in cell differentiation, apoptosis, immune response and regulation of K(+) channels. |
| 保存条件 | Shipped at 4℃. Store at -20℃ for one year. Avoid repeated freeze/thaw cycles. |
| 注意事项 | This product as supplied is intended for research use only, not for use in human, therapeutic or diagnostic applications. |
| 背景资料 | This gene encodes a multifunctional protein that binds ubiquitin and regulates activation of the nuclear factor kappa-B (NF-kB) signaling pathway. The protein functions as a scaffolding/adaptor protein in concert with TNF receptor-associated factor 6 to mediate activation of NF-kB in response to upstream signals. Alternatively spliced transcript variants encoding either the same or different isoforms have been identified for this gene. Mutations in this gene result in sporadic and familial Paget disease of bone. [provided by RefSeq, Mar 2009] |
| 应用 | 推荐稀释比例 |
| {IHC-P} | {1:100-500} |
| {IHC-F} | {1:100-500} |
| {ICC/IF} | {1:100-500} |
| {IF} | {1:100-500} |


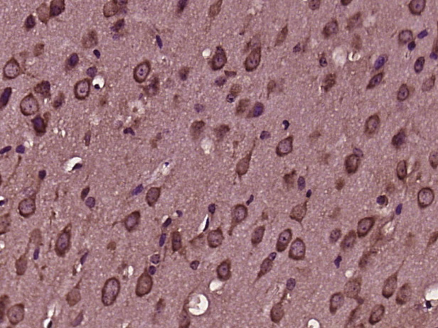
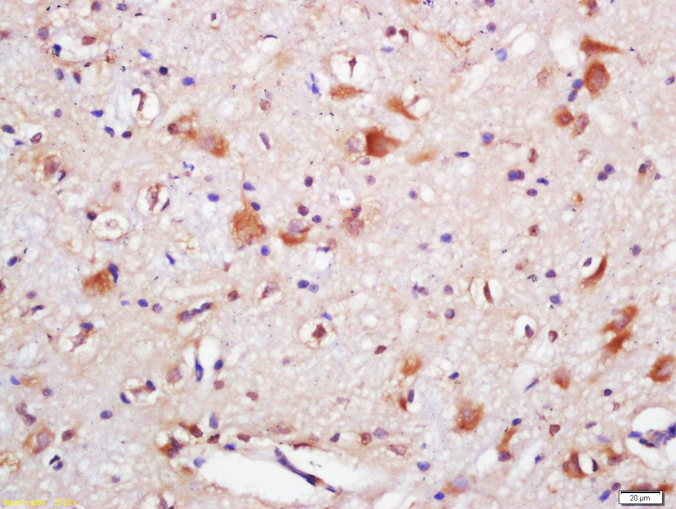
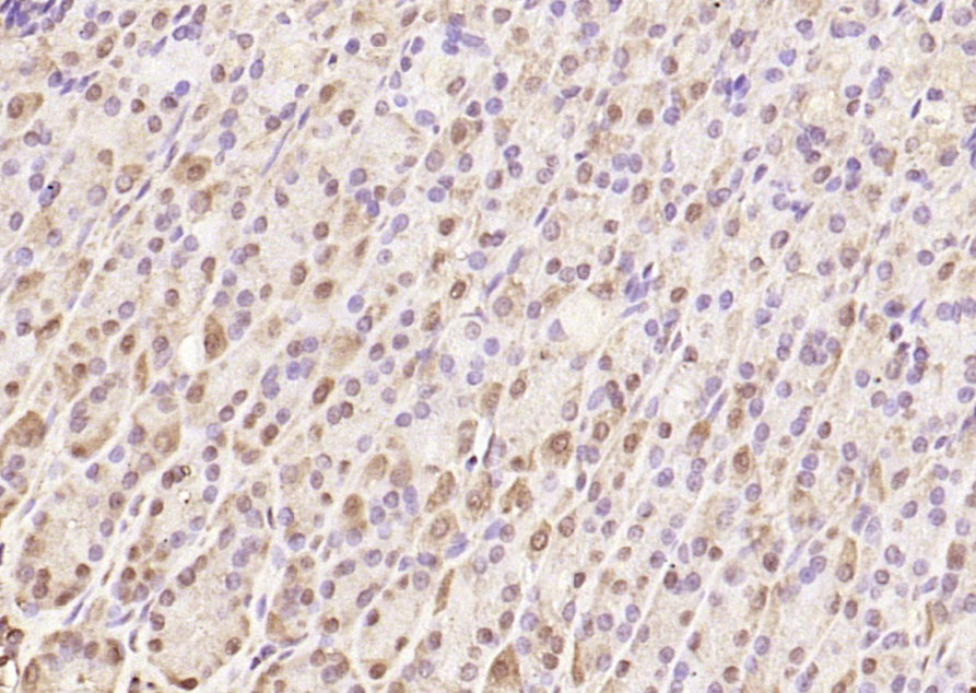
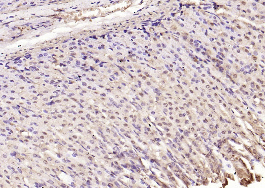
Antigen retrieval: citrate buffer ( 0.01M, pH 6.0 ), Boiling bathing for 15min; Block endogenous peroxidase by 3% Hydrogen peroxide for 30min; Blocking buffer (normal goat serum,C-0005) at 37℃ for 20 min;
Incubation: Anti-SQSTM1 Polyclonal Antibody, Unconjugated(bs-2951R) 1:200, overnight at 4°C, followed by conjugation to the secondary antibody(SP-0023) and DAB(C-0010) staining



风险提示:丁香通仅作为第三方平台,为商家信息发布提供平台空间。用户咨询产品时请注意保护个人信息及财产安全,合理判断,谨慎选购商品,商家和用户对交易行为负责。对于医疗器械类产品,请先查证核实企业经营资质和医疗器械产品注册证情况。
文献和实验[IF={{ 7.086 }}] {Quan-Kuo He. et al. Captan exposure disrupts ovarian homeostasis and affects oocytes quality via mitochondrial dysfunction induced apoptosis. Chemosphere. 2022 Jan;286:131625} {Other} {Mouse}
[IF={{ 6.8 }}] {Huan Deng. et al. Low selenium and T-2 toxin may be involved in the pathogenesis of Kashin-Beck disease by affecting AMPK/mTOR/ULK1 pathway mediated autophagy. ECOTOX ENVIRON SAFE. 2024 Jul;279:116503} {WB} {Rat}
[IF={{ 6.208 }}] {Xiudan Han. et al. Placental Mesenchymal Stem Cells Alleviate Podocyte Injury in Diabetic Kidney Disease by Modulating Mitophagy via the SIRT1-PGC-1alpha-TFAM Pathway. INT J MOL SCI. 2023 Jan;24(5):4696} {IHC} {Rat}
[IF={{ 6.2 }}] {Qing Liu. et al. BPS causes abnormal blastocyst development by inhibiting cell proliferation. ECOTOX ENVIRON SAFE. 2025 Apr;295:118115} {IF} {Mouse}
[IF={{ 5.74 }}] {Kuo, Hsiao-Mei, et al. "Altered Mitochondrial Dynamics and Response to Insulin in Cybrid Cells Harboring a Diabetes-susceptible Mitochondrial DNA Haplogroup." Free Radical Biology and Medicine (2016).} {WB} {="Human"}
= NAL), appears to form upon oxidative cyclization of the nonfluorescent 2:1 lysine-HNE Michael adduct-Schiff base cross-link (Scheme 1). Polyclonal antibody (PAb) to the NAL-HNE fluorophore was raised in rabbit and found to be highly specific
. Retrieved 2010-11-29. ^ Nielsen BS, Jørgensen S, Fog JU, Søkilde R, Christensen IJ, Hansen U, Brünner N, Baker A, Møller S, Nielsen HJ (October 2010). "High levels of microRNA-21 in the stroma of colorectal cancers predict short disease-free survival
+oieSKeKcgxGinlRPl7uja5iYeDdc+K3eZhXhIOHOy+p9cxrGU9WCTkVcT5iRR/BsR+N0IDPSu3x0pXo0IRAQiAhGBiEBE4ABCwPnwbu0wGmW8ULj7NRb20DLRYqFW1Up6ODBube+wknwaZ5w/y92bXLbV5K3CJ+hhzKwdSHCmVrada2Qy0eyxvi0r7Lkl99ukcaOkRe60Sj82E8qgnmxNtzHGRRyZQtf1g41GIMau5W7ITlqbiDRR0CA3tPhIsEdmP5hZ
技术资料暂无技术资料 索取技术资料






