相关产品推荐更多 >

MDR1 Rabbit pAb(bs-0563R)-50ul/100ul/200ul
¥1180
SNAP23 Recombinant Rabbit mAb(bsm-54062R)-50ul/100ul
¥1400
TRIM26 Rabbit pAb(bs-16728R)-50ul/100ul/200ul
¥1180
procollagen type IIA Rabbit pAb(bs-11069R)-50ul/100ul/200ul
¥1180
Estrogen receptor alpha Rabbit pAb, PE-Cy7 conjugated(bs-0254R-PE-Cy7)-100ul
¥2980
万千商家帮你免费找货
0 人在求购买到急需产品
- 详细信息
- 文献和实验
- 技术资料
- 应用范围:
产品信息以Bioss网站为准
- 规格:
50ul/100ul/200ul
| 规格: | 50ul | 产品价格: | ¥1180.0 |
|---|---|---|---|
| 规格: | 100ul | 产品价格: | ¥1980.0 |
| 规格: | 200ul | 产品价格: | ¥2800.0 |
| 产品编号 | bs-0757R |
| 英文名称 | CDK2 Rabbit pAb |
| 中文名称 | 周期素依赖性激酶2抗体 |
| 英文别名 | Cdc2 related protein kinase; cdc2-related protein kinase; Cdk 2; CDK2_HUMAN; Cell devision kinase 2; Cell division kinase 2; Cell division protein kinase 2; Cyclin dependent kinase 2; cyclin dependent kinase 2-alpha; Cyclin-dependent kinase 2; p33 protein kinase; p33(CDK2). |
| 产品应用 | WB=1:500-2000, Flow-Cyt=3μg/Test Not yet tested in other applications. |
| 交叉反应 | Human, Rat (Mouse, Pig, Cow, Horse, Rabbit) |
| 抗体来源 | Rabbit |
| 免疫原 | KLH conjugated synthetic peptide derived from human CDK2 |
| 亚型 | IgG |
| 性状 | Liquid |
| 纯化方法 | affinity purified by Protein A |
| 克隆类型 | Polyclonal |
| 理论分子量 | 33 kDa |
| 浓度 | 1mg/ml |
| 储存液 | 0.01M TBS (pH7.4) with 1% BSA, 0.02% Proclin300 and 50% Glycerol. |
| 研究领域 | Cancer > Cell cycle > Kinases/phosphatases > Cdks Cell Biology > Cell Cycle > Kinases/Phosphatases > Cdks Epigenetics and Nuclear Signaling > Cell cycle > Kinases/Phosphatases > Cdks |
| 亚基 | Found in a complex with CABLES1, CCNA1 and CCNE1. Interacts with CABLES1 (By similarity). Interacts with UHRF2. Part of a complex consisting of UHRF2, CDK2 and CCNE1. Interacts with the Speedy/Ringo proteins SPDYA and SPDYC. Found in a complex with both SPDYA and CDKN1B/KIP1. Binds to RB1 and CDK7. Binding to CDKN1A (p21) leads to CDK2/cyclin E inactivation at the G1-S phase DNA damage checkpoint, thereby arresting cells at the G1-S transition during DNA repair. Associated with PTPN6 and beta-catenin/CTNNB1. Interacts with CACUL1. May interact with CEP63. |
| 亚细胞定位 | Cytoplasm, cytoskeleton, centrosome. Nucleus, Cajal body. Cytoplasm. Endosome. Note=Localized at the centrosomes in late G2 phase after separation of the centrosomes but before the start of prophase. Nuclear-cytoplasmic trafficking is mediated during the inhibition by 1,25-(OH)(2)D(3). |
| 翻译后修饰 | Phosphorylated at Thr-160 by CDK7 in a CAK complex. Phosphorylation at Thr-160 promotes kinase activity, whereas phosphorylation at Tyr-15 by WEE1 reduces slightly kinase activity. Phosphorylated on Thr-14 and Tyr-15 during S and G2 phases before being dephosphorylated by CDC25A. Nitrosylated after treatment with nitric oxide (DETA-NO). |
| 相似性 | Belongs to the protein kinase superfamily. CMGC Ser/Thr protein kinase family. CDC2/CDKX subfamily. Contains 1 protein kinase domain. |
| 功能 | Serine/threonine-protein kinase involved in the control of the cell cycle; essential for meiosis, but dispensable for mitosis. Phosphorylates CTNNB1, USP37, p53/TP53, NPM1, CDK7, RB1, BRCA2, MYC, NPAT, EZH2. Interacts with cyclins A, B1, B3, D, or E. Triggers duplication of centrosomes and DNA. Acts at the G1-S transition to promote the E2F transcriptional program and the initiation of DNA synthesis, and modulates G2 progression; controls the timing of entry into mitosis/meiosis by controlling the subsequent activation of cyclin B/CDK1 by phosphorylation, and coordinates the activation of cyclin B/CDK1 at the centrosome and in the nucleus. Crucial role in orchestrating a fine balance between cellular proliferation, cell death, and DNA repair in human embryonic stem cells (hESCs). Activity of CDK2 is maximal during S phase and G2; activated by interaction with cyclin E during the early stages of DNA synthesis to permit G1-S transition, and subsequently activated by cyclin A2 (cyclin A1 in germ cells) during the late stages of DNA replication to drive the transition from S phase to mitosis, the G2 phase. EZH2 phosphorylation promotes H3K27me3 maintenance and epigenetic gene silencing. Phosphorylates CABLES1 (By similarity). Cyclin E/CDK2 prevents oxidative stress-mediated Ras-induced senescence by phosphorylating MYC. Involved in G1-S phase DNA damage checkpoint that prevents cells with damaged DNA from initiating mitosis; regulates homologous recombination-dependent repair by phosphorylating BRCA2, this phosphorylation is low in S phase when recombination is active, but increases as cells progress towards mitosis. In response to DNA damage, double-strand break repair by homologous recombination a reduction of CDK2-mediated BRCA2 phosphorylation. Phosphorylation of RB1 disturbs its interaction with E2F1. NPM1 phosphorylation by cyclin E/CDK2 promotes its dissociates from unduplicated centrosomes, thus initiating centrosome duplication. Cyclin E/CDK2-mediated phosphorylation of NPAT at G1-S transition and until prophase stimulates the NPAT-mediated activation of histone gene transcription during S phase. Required for vitamin D-mediated growth inhibition by being itself inactivated. Involved in the nitric oxide- (NO) mediated signaling in a nitrosylation/activation-dependent manner. USP37 is activated by phosphorylation and thus triggers G1-S transition. CTNNB1 phosphorylation regulates insulin internalization. |
| 保存条件 | Shipped at 4℃. Store at -20℃ for one year. Avoid repeated freeze/thaw cycles. |
| 注意事项 | This product as supplied is intended for research use only, not for use in human, therapeutic or diagnostic applications. |
| 背景资料 | The protein encoded by this gene is a member of the Ser/Thr protein kinase family. This protein kinase is highly similar to the gene products of S. cerevisiae cdc28, and S. pombe cdc2. It is a catalytic subunit of the cyclin-dependent protein kinase complex, whose activity is restricted to the G1-S phase, and essential for cell cycle G1/S phase transition. This protein associates with and regulated by the regulatory subunits of the complex including cyclin A or E, CDK inhibitor p21Cip1 (CDKN1A) and p27Kip1 (CDKN1B). Its activity is also regulated by its protein phosphorylation. Two alternatively spliced variants and multiple transcription initiation sites of this gene have been reported. [provided by RefSeq, Jul 2008]. |
| 应用 | 推荐稀释比例 |
| {WB} | {1:500-2000} |
| {Flow-Cyt} | {3μg/Test} |

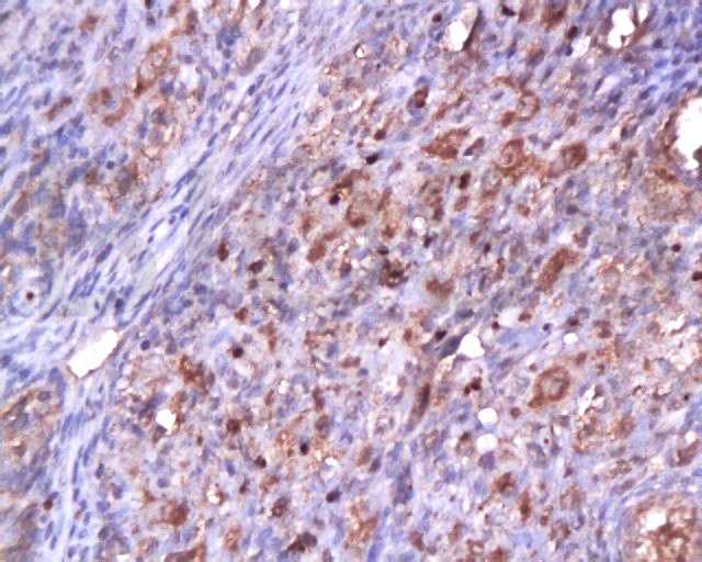
Antigen retrieval: citrate buffer ( 0.01M, pH 6.0 ), Boiling bathing for 15min; Block endogenous peroxidase by 3% Hydrogen peroxide for 30min; Blocking buffer (normal goat serum,C-0005) at 37℃ for 20 min;
Incubation: Anti-CDK2 Polyclonal Antibody, Unconjugated(bs-0757R) 1:200, overnight at 4°C, followed by conjugation to the secondary antibody(SP-0023) and DAB(C-0010) staining

Primary: Anti-CDK2(bs-0757R)at 1/300 dilution
Secondary: IRDye800CW Goat Anti-Rabbit IgG at 1/20000 dilution
Predicted band size: 33kD
Observed band size: 35kD

Primary Antibody (green line): Rabbit Anti-CDK2 antibody (bs-0757R)
Dilution: 1μg /10^6 cells;
Isotype Control Antibody (orange line): Rabbit IgG .
Secondary Antibody : Goat anti-rabbit IgG-AF647
Dilution: 1μg /test.
Protocol
The cells were fixed with 4% PFA (10min at room temperature)and then permeabilized with 0.1% PBST for 20 min at room temperature. The cells were then incubated in 5%BSA to block non-specific protein-protein interactions for 30 min at room temperature .Cells stained with Primary Antibody for 30 min at room temperature. The secondary antibody used for 40 min at room temperature. Acquisition of 20,000 events was performed.
风险提示:丁香通仅作为第三方平台,为商家信息发布提供平台空间。用户咨询产品时请注意保护个人信息及财产安全,合理判断,谨慎选购商品,商家和用户对交易行为负责。对于医疗器械类产品,请先查证核实企业经营资质和医疗器械产品注册证情况。
文献和实验[IF={{ 8.74 }}] {Chen et al. STAT1 inhibits human hepatocellular carcinoma cell growth through induction of p53 and Fbxw7. (2015) Cancer.Cell.Int. 15:111} {WB} {Human}
[IF={{ 8.2 }}] {Yun-shan Wei. et al. Regulation of the colon-targeted release rate of lactoferrin by constructing hydrophobic ethyl cellulose/pectin composite nanofibrous carrier and its effect on anti-colon cancer activity. INT J BIOL MACROMOL. 2024 Mar;261:129466} {WB} {Human}
[IF={{ 7.65 }}] {Zhang L et al. Silica Nanoparticles exacerbates reproductive toxicity development in high-fat diet-treated Wistar rats. J Hazard Mater. 2019 Oct 1:121361.} {WB} {Rat}
[IF={{ 6.575 }}] {Qiyu Gan. et al. Prognostic Value and Immune Infiltration of HPV-Related Genes in the Immune Microenvironment of Cervical Squamous Cell Carcinoma and Endocervical Adenocarcinoma. CANCERS. 2023 Jan;15(5):1419} {IHC} {Human}
[IF={{ 6.1 }}] {Ruixue Zhang. et al. The miR-15b-5p/miR-379-3p-FOXO axis regulates cell cycle and apoptosis in scleral remodeling during experimental myopia. J TRANSL MED. 2024; 22: 710} {IF,WB} {Guinea pig}
= NAL), appears to form upon oxidative cyclization of the nonfluorescent 2:1 lysine-HNE Michael adduct-Schiff base cross-link (Scheme 1). Polyclonal antibody (PAb) to the NAL-HNE fluorophore was raised in rabbit and found to be highly specific
kinase assays toward cdk2, cdk5, and25 other kinases (23) . Currently thiadiazolidinone (TDZD) isthe only ATP-noncompetitive inhibitor of GSK-3 (24) . While theexact mechanism by which TDZD inhibits GSK-3 kinase activityis unclear, it has been suggested
GE Healthcare Benzamidine Sepharose™ 6B is p-aminobenzamidine covalently attached to Sepharose 6B by the epoxy coupling method. p-Aminobenzamidine (PAB), is a synthetic inhibitor of trypsin-like serine protease. Trypsin and trypsin
技术资料暂无技术资料 索取技术资料





