相关产品推荐更多 >

SLC16A4 Rabbit pAb, Cy5.5 conjugated(bs-19799R-Cy5.5)-100ul
¥2980
phospho-P53 (Ser315) Rabbit pAb(bs-3704R)-50ul/100ul/200ul
¥1180
phospho-NFKB1 (Ser373) Rabbit pAb, FITC conjugated(bs-20075R-FITC)-100ul
¥2980
ATG1/ULK1 Rabbit pAb, HRP conjugated(bs-3602R-HRP)-100ul
¥2980
FLVCR2 Rabbit pAb, Biotin conjugated(bs-16147R-Bio)-100ul
¥2980
万千商家帮你免费找货
0 人在求购买到急需产品
- 详细信息
- 文献和实验
- 技术资料
- 应用范围:
产品信息以Bioss网站为准
- 规格:
50ul/100ul/200ul
| 规格: | 50ul | 产品价格: | ¥1180.0 |
|---|---|---|---|
| 规格: | 100ul | 产品价格: | ¥1980.0 |
| 规格: | 200ul | 产品价格: | ¥2800.0 |
| 产品编号 | bs-4177R |
| 英文名称 | SOX9 Rabbit pAb |
| 中文名称 | 转录因子SOX9蛋白抗体 |
| 英文别名 | CMD 1; CMD1; CMPD 1; CMPD1; SOX 9; Sox9; SOX9_HUMAN; SRA 1; SRA1 antibody SRY(sex determining region Y) box 9(campomelic dysplasia autosomal; SRY(sex determining region Y) box 9; SRY(sex determining region Y)-box 9; SRY(sex-determining region Y)-box 9 protein; Transcription factor SOX 9; Transcription factor SOX-9; transcription factor SOX9; campomelic dysplasia autosomal sex reversal. |
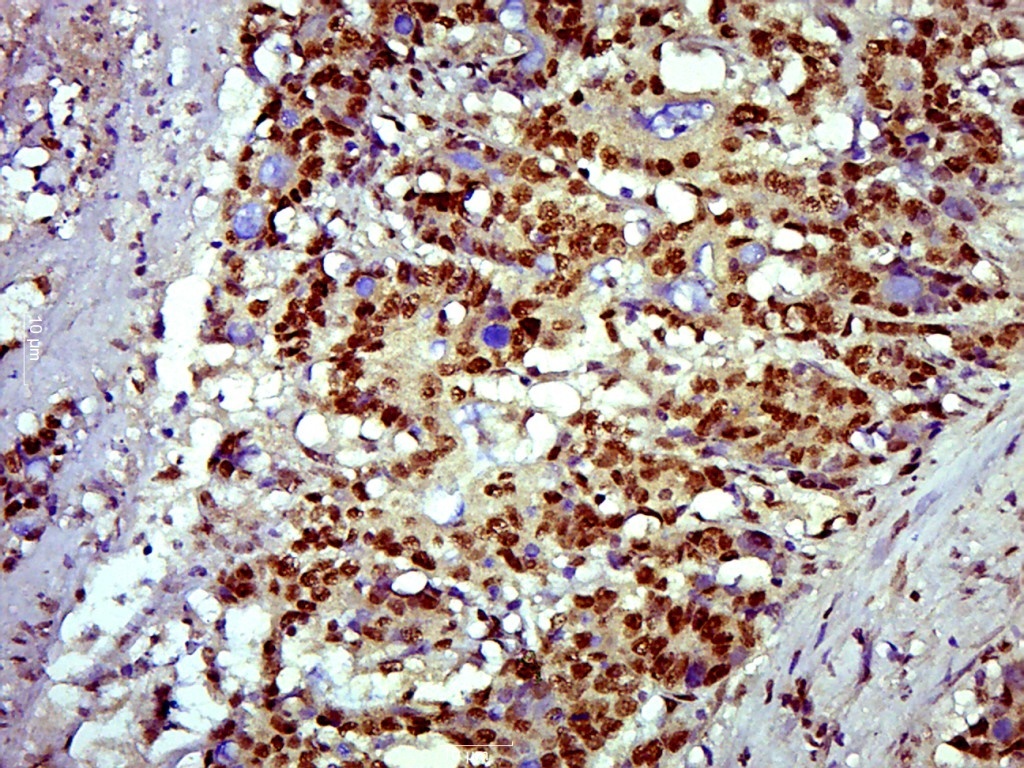
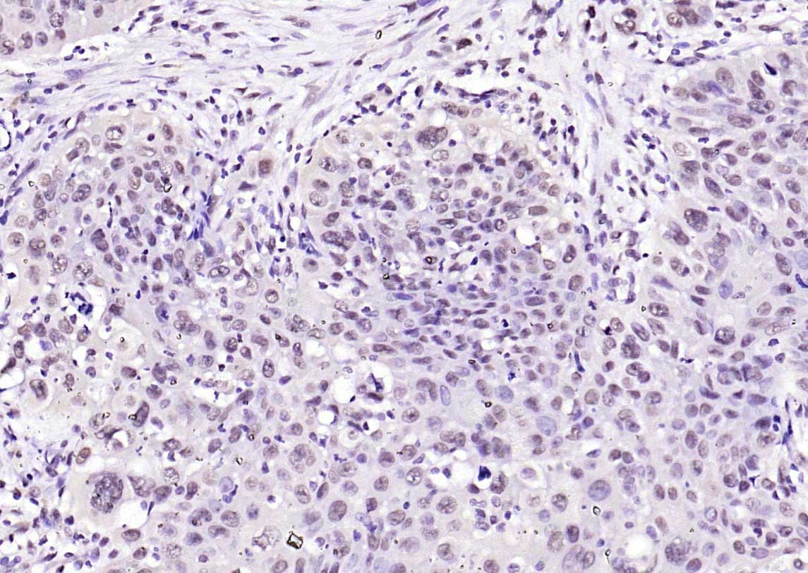
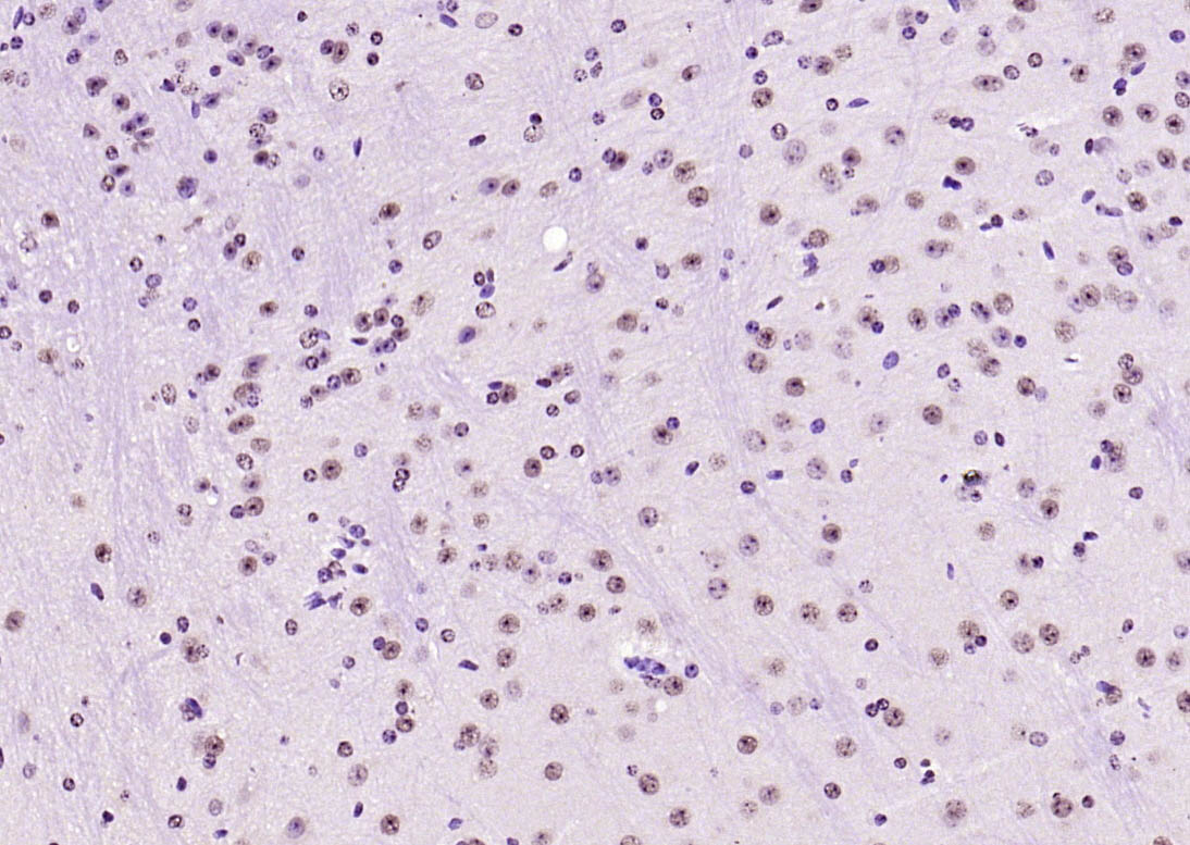
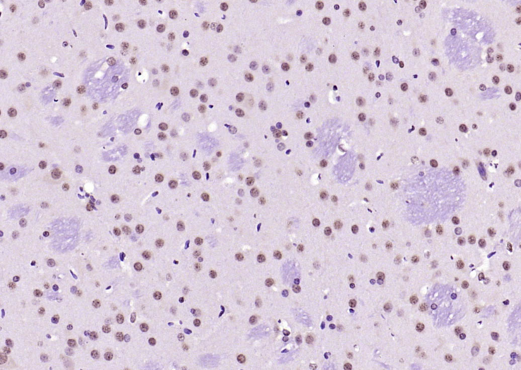
| 产品应用 | IHC-P=1:100-500, IHC-F=1:100-500, IF=1:100-500, Flow-Cyt=1ug/test Not yet tested in other applications. |
| 交叉反应 | Human, Mouse, Rat (Pig, Horse, Rabbit) |
| 抗体来源 | Rabbit |
| 免疫原 | KLH conjugated synthetic peptide derived from human SOX9 |
| 亚型 | IgG |
| 性状 | Liquid |
| 纯化方法 | affinity purified by Protein A |
| 克隆类型 | Polyclonal |
| 理论分子量 | 56 kDa |
| 浓度 | 1mg/ml |
| 储存液 | 0.01M TBS (pH7.4) with 1% BSA, 0.02% Proclin300 and 50% Glycerol. |
| 亚基 | Interacts with the sumoylation factors ube2i/ubc9 and sumo1. |
| 亚细胞定位 | Nucleus. Cytoplasm (By similarity). Note=Restricted to the nucleus of Sertoli-like cells in the testis, but localizes to the cytoplasm of previtellogenic oocytes in the ovary before being translocated into the nucleus of vitellogenic oocytes (By similarity). |
| 组织特异性 | From mid-gastrula (stage 10.5-11), expressed in a ring around the blastopore, with expression decreasing toward the dorsal side. At stage 12, expression around the blastopore decreases and begins to increase lateral to the neural plate in the presumptive neural crest, where expression dramatically increases around stage 14. Also expressed in the otic placode as early as stage 13/14. By the tailbud stage expression is restricted to the otic cup and then throughout the otic vesicle, with more intense staining at the dorsal-most region, the prospective region of the semicircular canals and endolymphatic duct. At the early tailbud stage (stage 23), expressed in migrating cranial neural crest cells and in the trunk neural crest. Also expressed in the genital ridges, developing eye, nasal placode and prospective pineal gland. Around stage 25, expression is down-regulated in the trunk neural crest but persists in the migrating cranial crest cells as they populate the pharyngeal arches, otic placode, developing eye, genital ridges and notochord. By stage 31, expression remains strong in the pharyngeal arches. Also expressed in the pancreas; first expressed at stage 25 in the pancreatic anlagen, dorsally in diverticulum. As development proceeds, expression continues in pancreatic tissue, being restricted to ventral and dorsal pancreatic buds. |
| 翻译后修饰 | Sumoylated. Lys-365 is the major site of sumoylation, although sumoylation at Lys-61 also occurs. Sumoylation plays a key role in regulating formation of the neural crest and otic placode. |
| 相似性 | Contains 1 HMG box DNA-binding domain. |
| 功能 | Plays an important role in the normal skeletal development. May regulate the expression of other genes involved in chondrogenesis by acting as a transcription factor for these genes. |
| 保存条件 | Shipped at 4℃. Store at -20℃ for one year. Avoid repeated freeze/thaw cycles. |
| 注意事项 | This product as supplied is intended for research use only, not for use in human, therapeutic or diagnostic applications. |
| 背景资料 | May be involved in chondrogenesis (cartilage development) during bone formation. Unlikely to play a role in sex determination but may function during testicular and ovarian differentiation (By similarity). Transcriptional activator. Acts early in neural crest formation, functioning redundantly with the other group E Sox factors sox8 and sox10 to induce neural crest progenitors. Induces sox10 expression downstream of wnt-signaling. Principally involved in development of the cranial neural crest, which is fated to form skeletal elements. Also required for otic placode specification during inner ear development. |
| 应用 | 推荐稀释比例 |
| {IHC-P} | {1:100-500} |
| {IHC-F} | {1:100-500} |
| {IF} | {1:100-500} |
| {Flow-Cyt} | {1ug/test} |

Primary Antibody (green line): Rabbit Anti- SOX9 antibody (bs-4177R),dilution: 1μg /10^6 cells;
Isotype Control Antibody (orange line): Rabbit IgG .
Secondary Antibody (white blue line): Goat anti-rabbit IgG-PE,Dilution: 1μg /test.



Primary Antibody (green line): Rabbit Anti-SOX9 antibody (bs-4177R)
Dilution: 1μg /10^6 cells;
Isotype Control Antibody (orange line): Rabbit IgG .
Secondary Antibody : Goat anti-rabbit IgG-AF488
Dilution: 1μg /test.
Protocol
The cells were fixed with 4% PFA (10min at room temperature)and then permeabilized with 90% ice-cold methanol for 20 min at -20℃. The cells were then incubated in 5%BSA to block non-specific protein-protein interactions for 30 min at room temperature .Cells stained with Primary Antibody for 30 min at room temperature. The secondary antibody used for 40 min at room temperature. Acquisition of 20,000 events was performed.


风险提示:丁香通仅作为第三方平台,为商家信息发布提供平台空间。用户咨询产品时请注意保护个人信息及财产安全,合理判断,谨慎选购商品,商家和用户对交易行为负责。对于医疗器械类产品,请先查证核实企业经营资质和医疗器械产品注册证情况。
文献和实验[IF={{ 8.7 }}] {Yu Han. et al. High-precision bioactive scaffold with dECM and extracellular vesicles targeting 4E-BP inhibition for cartilage injury repair. MATER TODAY BIO. 2024 Aug;27:101114} {WB} {Rat}
[IF={{ 8.2 }}] {Liyong Shi. et al. Mesenchymal Stem Cell Protection and Chondrogenic Differentiation in Tracheal Fistula Therapy via Bioactive Platinum Nanozymes. ACS APPL MATER INTER. 2025;XXXX(XXX):XXX-XXX} {IF} {Rabbit}
[IF={{ 6.8 }}] {Mudassar Iqbal. et al. Baicalin inhibits apoptosis and enhances chondrocyte proliferation in thiram-induced tibial dyschondroplasia in chickens by regulating Bcl-2/Caspase-9 and Sox-9/Collagen-II expressions. ECOTOX ENVIRON SAFE. 2023 Dec;268:115689} {IHC} {Chicken}
[IF={{ 6.314 }}] {Papaioannou et al. MicroRNA-140 Provides Robustness to the Regulation of Hypertrophic Chondrocyte Differentiation by the PTHrP-HDAC4 Pathway. (2015) J.Bone.Miner.Res. 30:1044-52} {WB} {Mice}
[IF={{ 6.1 }}] {Yangcheng Yao. et al. Dibutyl phthalate promotes central precocious puberty through primordial follicle activation by downregulating BMP15. ECOTOX ENVIRON SAFE. 2025 Jul;300:118460} {WB} {Mouse}
= NAL), appears to form upon oxidative cyclization of the nonfluorescent 2:1 lysine-HNE Michael adduct-Schiff base cross-link (Scheme 1). Polyclonal antibody (PAb) to the NAL-HNE fluorophore was raised in rabbit and found to be highly specific
GE Healthcare Benzamidine Sepharose™ 6B is p-aminobenzamidine covalently attached to Sepharose 6B by the epoxy coupling method. p-Aminobenzamidine (PAB), is a synthetic inhibitor of trypsin-like serine protease. Trypsin and trypsin
Nucleic Acid Programmable Protein Arrays: Versatile Tools for Array‐Based Functional Protein Studies
.g., Sigma) 50 mg/ml bis‐sulfosuccinimdylsuberate (BS3 ;Pierce, cat. no. PI 21580) in dimethylsulfoxide (DMSO) 5 mg/ml
技术资料暂无技术资料 索取技术资料






