相关产品推荐更多 >

Centrin 2 Rabbit pAb(bs-13849R)-50ul/100ul/200ul
¥1180
NFAT2 Rabbit pAb, AP conjugated(bs-1417R-AP)-100ul
¥2980
phospho-HSP70 (Tyr611) Rabbit pAb, APC-Cy5.5 conjugated(bs-10448R-APC-Cy5.5)-100ul
¥2980
C6orf120 Rabbit pAb, AP conjugated(bs-9534R-AP)-100ul
¥2980
SARS-CoV N Rabbit pAb(bs-49002R)-50ul/100ul/200ul
¥1180
万千商家帮你免费找货
0 人在求购买到急需产品
- 详细信息
- 询价记录
- 文献和实验
- 技术资料
- 应用范围:
产品信息以Bioss网站为准
- 规格:
50ul/100ul
| 规格: | 50ul | 产品价格: | ¥1180.0 |
|---|---|---|---|
| 规格: | 100ul | 产品价格: | ¥1980.0 |
| 产品编号 | bs-4917R |
| 英文名称 | Osteocalcin Rabbit pAb |
| 中文名称 | 骨钙蛋白/骨钙素抗体 |
| 英文别名 | OSTCN_HUMAN; BGLAP; Bone Gla protein; BGP; Gamma-carboxyglutamic acid-containing protein; bone gamma-carboxyglutamate protein; OC; OCN; |
| 产品应用 | WB=1:500-2000, IHC-P=1:100-500, IHC-F=1:100-500, IF=1:100-500, ELISA=1:5000-10000 Not yet tested in other applications. |
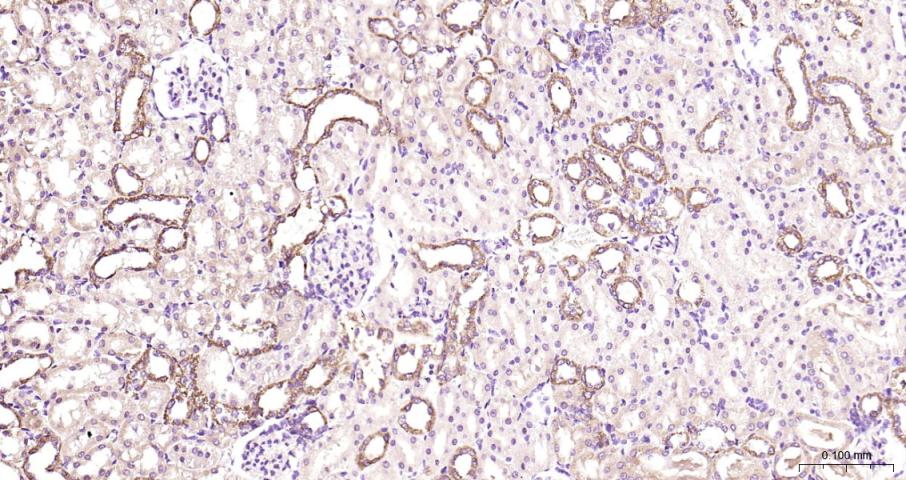
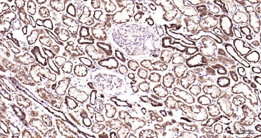
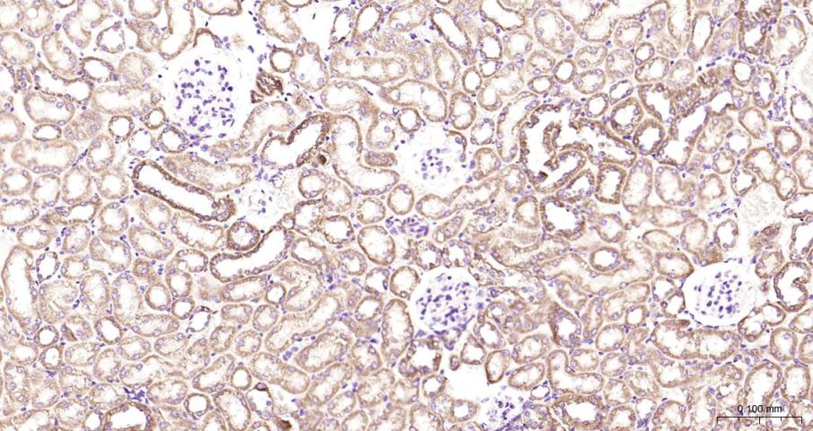
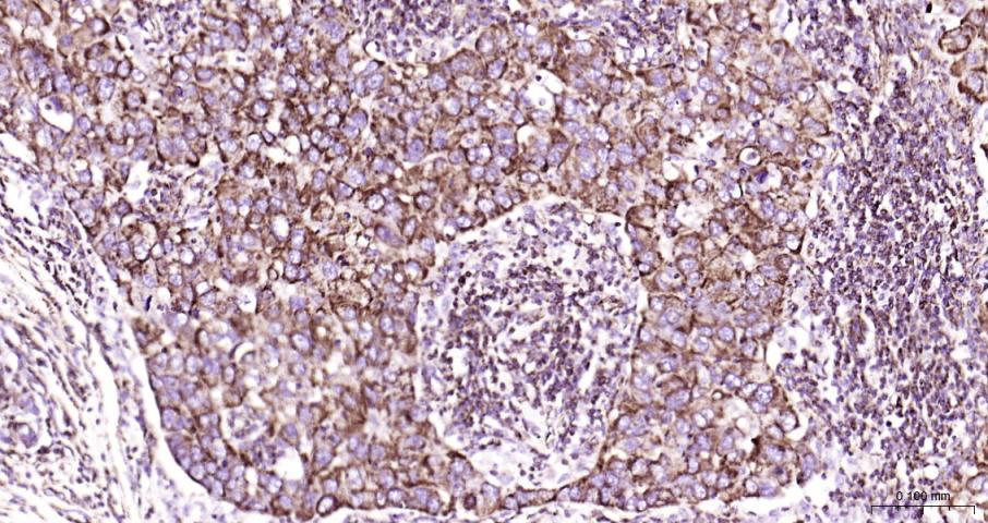
| 交叉反应 | Human, Mouse, Rat, skeletal muscle, skeletal muscle, skeletal muscle, skeletal muscle, skeletal muscle, skeletal muscle, skeletal muscle, skeletal muscle, skeletal muscle, 肾, 肾, 肾, 肾, 肾, 肾, 肾, 肾, 肾, 肾, 肾, 肾, 肾, 肾, 肾, 肾, 肾, 肾, 肾, 肾, 肾, 肾, 肾, 肾, 肾, 肾, 肾, 肾, skeletal muscle, skeletal muscle, skeletal muscle, 肾, 肾, 肾 |
| 抗体来源 | Rabbit |
| 免疫原 | KLH conjugated synthetic peptide derived from human Osteocalcin |
| 亚型 | IgG |
| 性状 | Liquid |
| 纯化方法 | affinity purified by Protein A |
| 克隆类型 | Polyclonal |
| 理论分子量 | 11 kDa |
| 浓度 | 1mg/ml |
| 储存液 | 0.01M TBS (pH7.4) with 1% BSA, 0.02% Proclin300 and 50% Glycerol. |
| 研究领域 | Signal Transduction > Cytoskeleton / ECM > Extracellular Matrix > Structures > Bone Stem Cells > Mesenchymal Stem Cells > Osteogenesis |
| 亚细胞定位 | Secreted. |
| 翻译后修饰 | Gamma-carboxyglutamate residues are formed by vitamin K dependent carboxylation. These residues are essential for the binding of calcium. |
| 相似性 | Belongs to the osteocalcin/matrix Gla protein family. Contains 1 Gla (gamma-carboxy-glutamate) domain. |
| 功能 | Constitutes 1-2% of the total bone protein. It binds strongly to apatite and calcium. |
| 保存条件 | Shipped at 4℃. Store at -20℃ for one year. Avoid repeated freeze/thaw cycles. |
| 注意事项 | This product as supplied is intended for research use only, not for use in human, therapeutic or diagnostic applications. |
| 背景资料 | Osteocalcin belongs to the osteocalcin/matrix Gla protein family and constitutes 1 to 2% of the total bone protein. It is a 49 amino acid single chain vitamin K dependent protein, made by osteoblasts, and is a major component of the noncollagenous bone matrix. Post translational modification by a vitamin K dependent carboxylase produces three gamma carboxyglutamic acid residues at positions 17, 21 and 24, giving it a high affinity for calcium. It also binds strongly to apatite. |
| 应用 | 推荐稀释比例 |
| {WB} | {1:500-2000} |
| {IHC-P} | {1:100-500} |
| {IHC-F} | {1:100-500} |
| {IF} | {1:100-500} |
| {ELISA} | {1:5000-10000} |

Lane 1: Mouse NIH/3T3 cell lysates
Lane 2: Human MG63 cell lysates
Lane 3: Human A549 cell lysates
Lane 4: Human U-2 OS cell lysates
Primary: Anti-Osteocalcin (bs-4917R) at 1/500 dilution
Secondary: IRDye800CW Goat Anti-Rabbit IgG at 1/20000 dilution
Predicted band size: 11 kDa
Observed band size: 11 kDa

















风险提示:丁香通仅作为第三方平台,为商家信息发布提供平台空间。用户咨询产品时请注意保护个人信息及财产安全,合理判断,谨慎选购商品,商家和用户对交易行为负责。对于医疗器械类产品,请先查证核实企业经营资质和医疗器械产品注册证情况。
- 作者
- 内容
- 询问日期
文献和实验[IF={{ 9.77 }}] { Zheng-Zhao Liu . et al. Autophagy receptor OPTN (optineurin) regulates mesenchymal stem cell fate and bone-fat balance during aging by clearing FABP3. 2020 Nov 04} {IHC} {Mouse}
[IF={{ 8.352 }}] {Ye Hea et al. Improved osteointegration by SEW2871-encapsulated multilayers on micro-structured titanium via macrophages recruitment and immunomodulation. Applied Materials Today 20 (2020) 100673} {IHC} {Rat}
[IF={{ 8.31 }}] {Li, Long, et al. "Controlled dual delivery of BMP-2 and dexamethasone by nanoparticle-embedded electrospun nanofibers for the efficient repair of critical-sized rat calvarial defect." Biomaterials (2014).} {IHC} {="Rat"}
[IF={{ 8.3 }}] {Ke Li. et al. Biodegradable Piezoelectric Janus Membrane Enabling Dual Antibacterial and Osteogenic Functions for Periodontitis Therapy. ACS APPL MATER INTER. 2025;17(16):23707–23721} {IF} {Mouse}
[IF={{ 8.2 }}] {Shaorong Li. et al. Dual-functional 3D-printed porous bioactive scaffold enhanced bone repair by promoting osteogenesis and angiogenesis. MATER TODAY BIO. 2024 Feb;24:100943} {IHC} {Rabbit}
= NAL), appears to form upon oxidative cyclization of the nonfluorescent 2:1 lysine-HNE Michael adduct-Schiff base cross-link (Scheme 1). Polyclonal antibody (PAb) to the NAL-HNE fluorophore was raised in rabbit and found to be highly specific
分子 -1 (rabbit ICAM-1) ELISA 48T/96T 2000/3000 进口分装 F20170 兔干扰素 -r(rabbit IFN-r) ELISA 48T/96T 1500/2500 进口分装 F20180 兔白介素
are needed to reveal the important role of the members of the Wnt signaling pathway in the RA pathogenesis and treatment. Rspo 1 promotes osteoblast differentiation via Wnt signaling pathway. 作者:Sharma AR, Choi BS, Park JM, Lee DH, Lee JE, Kim HS
技术资料暂无技术资料 索取技术资料






