相关产品推荐更多 >

ICP4/IE180 Rabbit pAb(bs-24299R)-50ul/100ul/200ul
¥1180
GSK3 Alpha + Beta Rabbit pAb, Biotin conjugated(bs-7332R-Bio)-100ul
¥2980
KAT3A / CBP Rabbit pAb, BF680 conjugated(bs-12395R-BF680)-100ul
¥2980
DLL4 Rabbit pAb(bs-5909R)-50ul/100ul/200ul
¥1180
phospho-cdc25A (Ser178) Rabbit pAb(bs-3095R)-50ul/100ul/200ul
¥1180
万千商家帮你免费找货
0 人在求购买到急需产品
- 详细信息
- 文献和实验
- 技术资料
- 应用范围:
产品信息以Bioss网站为准
- 规格:
50ul/100ul/200ul
| 规格: | 50ul | 产品价格: | ¥1180.0 |
|---|---|---|---|
| 规格: | 100ul | 产品价格: | ¥1980.0 |
| 规格: | 200ul | 产品价格: | ¥2800.0 |
| 产品编号 | bs-0013R |
| 英文名称 | Cytochrome C Rabbit pAb |
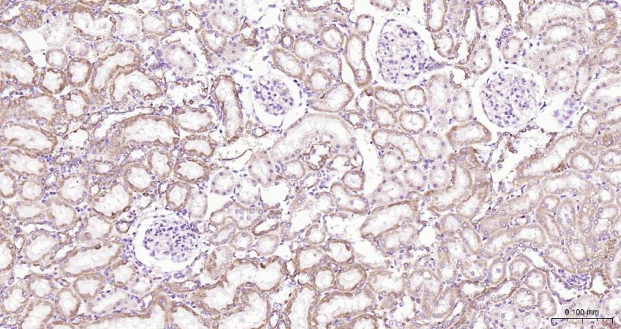
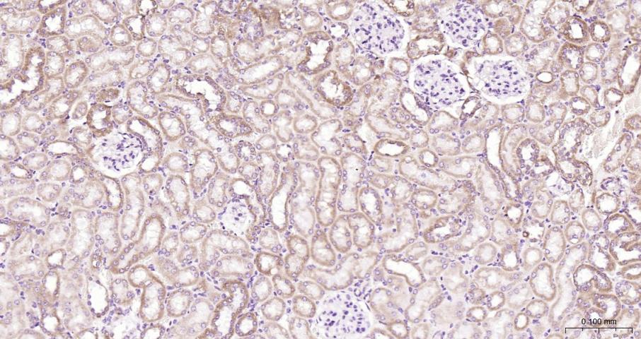
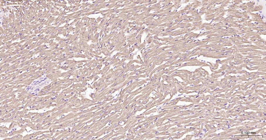
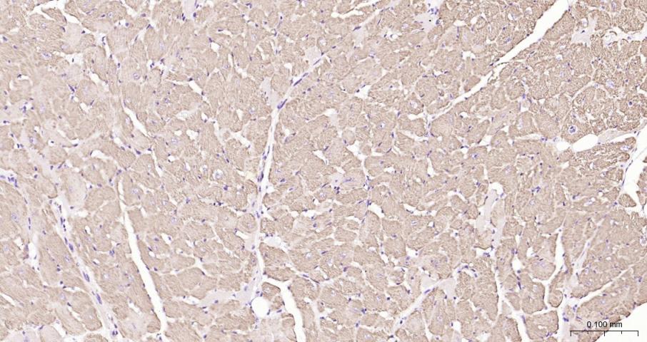
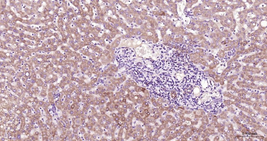
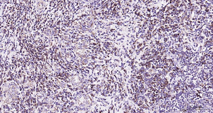
| 中文名称 | 细胞色素C抗体 |
| 英文别名 | CytC; CYC; CYCS; Cytochrome c somatic; HCS; CYC_HUMAN; Cytochrome-c; MSA06; THC4. |
| 产品应用 | WB=1:500-2000, ICC/IF=1:100-500, IHC-P=1:100-500, IHC-F=1:100-500, IF=1:100-500 Not yet tested in other applications. |
| 交叉反应 | Mouse, Rat, Human (Pig, Cow, Horse) |
| 抗体来源 | Rabbit |
| 免疫原 | KLH conjugated synthetic peptide derived from human Cytochrome C |
| 亚型 | IgG |
| 性状 | Liquid |
| 纯化方法 | affinity purified by Protein A |
| 克隆类型 | Polyclonal |
| 理论分子量 | 12 kDa |
| 实际分子量 | 14.4kDa |
| 浓度 | 1mg/ml |
| 储存液 | 0.01M TBS (pH7.4) with 1% BSA, 0.02% Proclin300 and 50% Glycerol. |
| 研究领域 | Cancer > Cancer Metabolism > Metabolic signaling pathway > Integration of energy metabolism Cancer > Cell Death > Apoptosis > Apoptosis Markers > Cytochrome C Cancer > Cell Death > Apoptosis > Metabolism Cancer > Cell Death > Apoptosis > Mitochondrial Cancer > Invasion/microenvironment > Apoptosis > Cytochrome C Cardiovascular > Lipids / Lipoproteins > Lipid Metabolism > Cytochromes Cell Biology > Apoptosis > Mitochondrial Metabolism > Pathways and Processes > Metabolic signaling pathways > Energy transfer pathways > Energy Metabolism Metabolism > Pathways and Processes > Metabolic signaling pathways > Energy transfer pathways > Integration of energy Metabolism > Pathways and Processes > Metabolic signaling pathways > Lipid and lipoprotein metabolism > Lipases Metabolism > Pathways and Processes > Metabolism processes > Apoptosis Metabolism > Pathways and Processes > Mitochondrial Metabolism > Cytochromes Metabolism > Pathways and Processes > Mitochondrial Metabolism > Mitochondrial markers Metabolism > Pathways and Processes > Mitochondrial Metabolism > Oxidative phosphorylation Signal Transduction > Metabolism > Energy Metabolism Signal Transduction > Metabolism > Mitochondrial |
| 亚细胞定位 | Mitochondrion intermembrane space. Note=Loosely associated with the inner membrane. |
| 翻译后修饰 | Binds 1 heme c group covalently per subunit. |
| 相似性 | Belongs to the cytochrome c family. |
| 功能 | Electron carrier protein. The oxidized form of the cytochrome c heme group can accept an electron from the heme group of the cytochrome c1 subunit of cytochrome reductase. Cytochrome c then transfers this electron to the cytochrome oxidase complex, the final protein carrier in the mitochondrial electron-transport chain. |
| 保存条件 | Shipped at 4℃. Store at -20℃ for one year. Avoid repeated freeze/thaw cycles. |
| 注意事项 | This product as supplied is intended for research use only, not for use in human, therapeutic or diagnostic applications. |
| 背景资料 | Cytochrome C is an electron transporting protein that resides within the intermembrane space of the mitochondria, where it plays a critical role in the process of oxidative phosphorylation and production of cellular ATP. An increasing amount of interest has been directed toward the role which cytocrome C has been demonstrated to play in apoptotic processes. Following exposure to apoptotic stimuli, cytochrome C is rapidly released from the mitochondria into the cytosol, an event which may be required for the completion of apoptosis in some systems. Cytosolic cytochrome C functions in the activation of caspase 3, an ICE family molecule that is a key effector of apoptosis. |
| 应用 | 推荐稀释比例 |
| {WB} | {1:500-2000} |
| {ICC/IF} | {1:100-500} |
| {IHC-P} | {1:100-500} |
| {IHC-F} | {1:100-500} |
| {IF} | {1:100-500} |









风险提示:丁香通仅作为第三方平台,为商家信息发布提供平台空间。用户咨询产品时请注意保护个人信息及财产安全,合理判断,谨慎选购商品,商家和用户对交易行为负责。对于医疗器械类产品,请先查证核实企业经营资质和医疗器械产品注册证情况。
文献和实验[IF={{ 9.429 }}] {Li, Guang. et al. Synergetic delivery of artesunate and isosorbide 5-mononitrate with reduction-sensitive polymer nanoparticles for ovarian cancer chemotherapy. J NANOBIOTECHNOL. 2022 Dec;20(1):1-13} {WB} {Human}
[IF={{ 7.129 }}] {Furui Han. et al. In vivo and in vitro study on hepatotoxicity of Tris-(2, 3-dibromopropyl) isocyanurate exposure via mitochondrial and death receptor pathway. ECOTOX ENVIRON SAFE. 2022 Nov;246:114186} {WB} {Rat, Human}
[IF={{ 6.551 }}] {Wei J et al. Endosulfan induces cardiotoxicity through apoptosis via unbalance of pro-survival and mitochondrial-mediated apoptotic pathways. Sci Total Environ . 2020 Jul 20;727:138790.} {WB} {human}
[IF={{ 6.525 }}] {Til Bahadur Thapa Magar. et al. Novel Chlorin e6-Curcumin Derivatives as a Potential Photosensitizer: Synthesis, Characterization, and Anticancer Activity. PHARMACEUTICS. 2023 Jun;15(6):1577} {WB} {Human}
[IF={{ 6.025 }}] {Xuliang Zhang. et al. PINK1/Parkin-mediated mitophagy mitigates T-2 toxin-induced nephrotoxicity. FOOD CHEM TOXICOL. 2022 Jun;164:113078} {WB} {Mouse}
技术资料暂无技术资料 索取技术资料





