相关产品推荐更多 >
万千商家帮你免费找货
0 人在求购买到急需产品
- 详细信息
- 文献和实验
- 技术资料
- 免疫原:
Recombinant full-length human CYCS protein
- 亚型:
IgG2b
- 形态:
Liquid
- 保存条件:
Store as concentrated solution. Centrifuge briefly prior to opening vial. For short-term storage (1-2 weeks), store at 4ºC. For long-term storage, aliquot and store at -20ºC or below. Avoid multiple freeze-thaw cycles.
- 克隆性:
Monoclonal
- 标记物:
Unconjugated
- 适应物种:
Human, Rat
- 保质期:
12 months from the shipping date of the product.
- 抗原来源:
Human
- 目录编号:
GTX34621
- 级别:
Primary Antibodies
- 库存:
Available
- 供应商:
GeneTex
- 宿主:
Mouse
- 应用范围:
WB, IHC-P, FACS
- 浓度:
0.2 mg/ml (Please refer to the vial label for the specific concentration.)
- 靶点:
Cytochrome C
- 抗体英文名:
Cytochrome C antibody [CYCS/1010]
- 抗体名:
Cytochrome C 抗体 [CYCS/1010]
- 规格:
100 μg
WB analysis of human heart lysate using GTX34621 Cytochrome C antibody [CYCS/1010].
FACS analysis of PFA fixed HeLa cells using GTX34621 Cytochrome C antibody [CYCS/1010].
Blue : Primary antibody
Red : Isotype control
WB analysis of human heart lysate using GTX34621 Cytochrome C antibody [CYCS/1010].
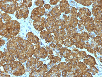
IHC-P analysis of human pancreas tissue using GTX34621 Cytochrome C antibody [CYCS/1010].
IHC-P analysis of human heart tissue using GTX34621 Cytochrome C antibody [CYCS/1010].
风险提示:丁香通仅作为第三方平台,为商家信息发布提供平台空间。用户咨询产品时请注意保护个人信息及财产安全,合理判断,谨慎选购商品,商家和用户对交易行为负责。对于医疗器械类产品,请先查证核实企业经营资质和医疗器械产品注册证情况。
文献和实验广义的细胞色素 c是含有血红素 c的细胞色素之总称。通常是指主要存在于高等动植物、酵母、霉菌等线粒体中的细胞色素 c,起着传递电子的作用。为分子量约 1.3万的碱性蛋白质,还原型的吸收带为 550、 520、 415毫微米,氧化型为 407毫微米。α 因此很早便被研究,并获得结晶。不仅一级结构而且立体结构也已清楚(图 1)。其结构基本上是生物界共有的。由细胞色素 c氧化酶〔细胞色素( a+ a3 )复合体〕氧化。在呼吸链中从细胞色素 c开始接受电子,各种还原酶都已清楚
Cytochrome c Stabilization and Immobilization in Aerogels
structurally intact within the gels during the necessary supercritical fluid processing. However, the heme protein cytochrome c (cyt. c ) forms self-organized superstructures around gold (or silver) nanoparticles in buffer that can be encapsulated within silica
Assessing Cytochrome-c Release from Mitochondria
In recent years substantial evidence has accumulated demonstrating a central regulatory role for mitochondria in cell death (1 ). More recently, mechanisms of cell death, through apoptosis, have been elucidated
技术资料暂无技术资料 索取技术资料





![GALE antibody [N2C3]](https://img1.dxycdn.com/2023/0711/255/2344116916935858761-14.jpg!wh200)
![Glypican-3 antibody [GT764]](https://img1.dxycdn.com/2023/0711/451/6106825198874858761-14.jpg!wh200)


