相关产品推荐更多 >

Estrogen Receptor alpha Rabbit pAb(bs-0725R)-50ul/100ul/200ul
¥1180
PSMD14 Rabbit pAb, HRP conjugated(bs-19469R-HRP)-100ul
¥2980
Complement C3d fragment Rabbit pAb, AP conjugated(bs-4877R-AP)-100ul
¥2980
Histone H2A/H2A.1 Rabbit pAb(bs-3779R)-50ul/100ul/200ul
¥1180
Actin (Fruit Fly) Mouse mAb, Loading Control(bsm-8777M)-50ul/100ul
¥1180
万千商家帮你免费找货
0 人在求购买到急需产品
- 详细信息
- 文献和实验
- 技术资料
- 应用范围:
产品信息以Bioss网站为准
- 规格:
100ul/500ul/200ul/1000ul
| 规格: | 100ul | 产品价格: | ¥580.0 |
|---|---|---|---|
| 规格: | 500ul | 产品价格: | ¥2280.0 |
| 规格: | 200ul | 产品价格: | ¥980.0 |
| 规格: | 1000ul | 产品价格: | ¥4680.0 |
| 产品编号 | bs-10900R |
| 英文名称 | GAPDH Rabbit pAb, Loading Control |
| 中文名称 | 3-磷酸甘油醛脱氢酶(内参)抗体 |
| 英文别名 | 38 kDa BFA-dependent ADP-ribosylation substrate; Aging-associated gene 9 protein; BARS-38; cb609; EC 1.2.1.12; G3PD; G3PDH; GAPD; Glyceraldehyde 3 phosphate dehydrogenase; Glyceraldehyde 3 phosphate dehydrogenase liver; Glyceraldehyde 3 phosphate dehydrogenase muscle; KNC-NDS6; MGC102544; MGC102546; MGC103190; MGC103191; MGC105239; MGC127711; MGC88685; OCAS, p38 component; OCT1 coactivator in S phase, 38-KD component; wu:fb33a10. |
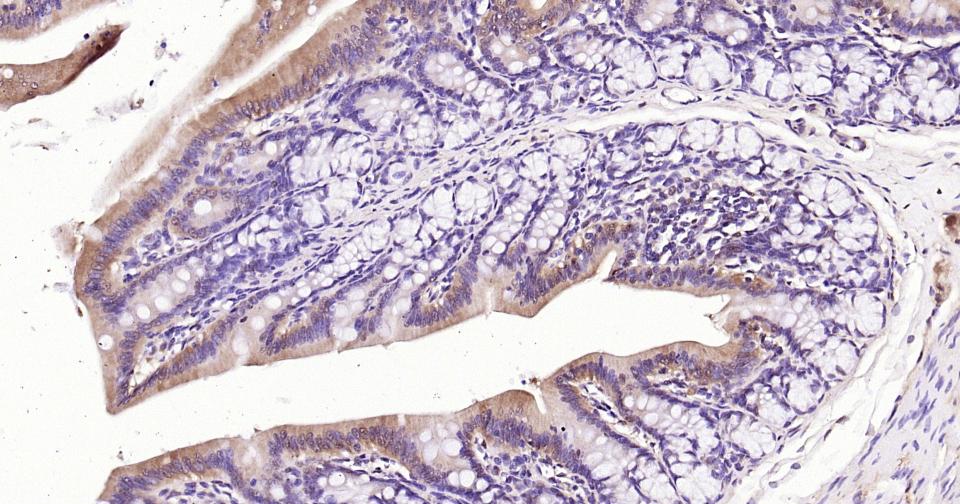
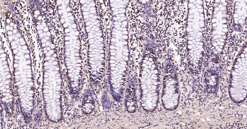
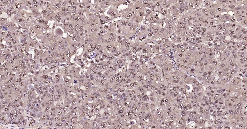
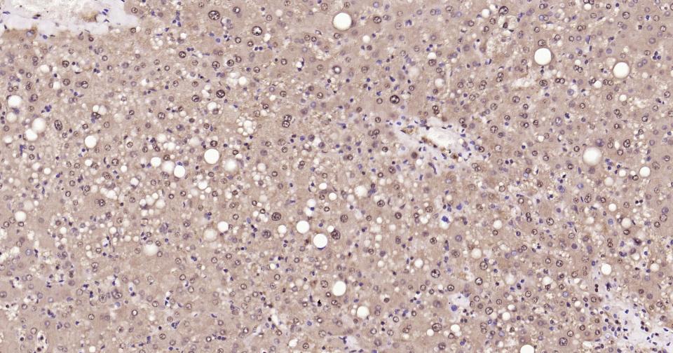
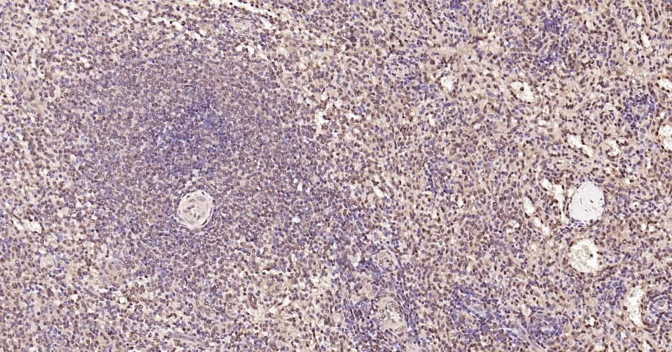
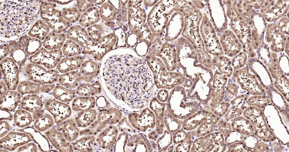
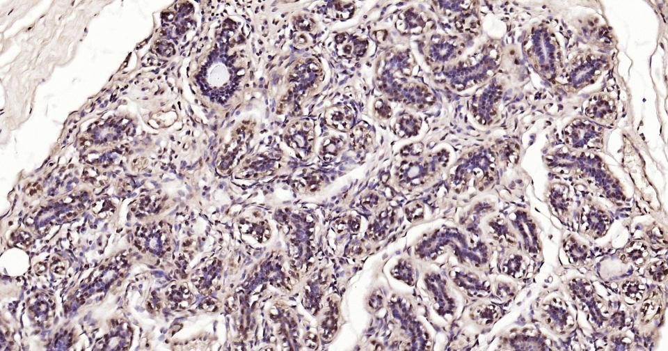
| 产品应用 | WB=1:5000-50000, IHC-P=1:200-1000, IHC-F=1:200-1000, IF=1:200-1000, ELISA=1:5000-10000 Not yet tested in other applications. |
| 交叉反应 | Human, Mouse, Rat (Hamster) |
| 抗体来源 | Rabbit |
| 免疫原 | Recombinant human GAPDH full length protein |
| 亚型 | IgG |
| 性状 | Liquid |
| 纯化方法 | affinity purified by Protein A |
| 克隆类型 | Polyclonal |
| 理论分子量 | 38 kDa |
| 浓度 | 1mg/ml |
| 储存液 | 0.01M TBS (pH7.4) with 1% BSA, 0.02% Proclin300 and 50% Glycerol. |
| 研究领域 | Cancer > Cancer Metabolism > Metabolic signaling pathway > Metabolism of carbohydrates Isotype/Loading Controls > Loading Controls > GAPDH Metabolism > Pathways and Processes > Metabolic signaling pathways > Carbohydrate metabolism Metabolism > Pathways and Processes > Metabolic signaling pathways > Energy transfer pathways > Energy Metabolism Metabolism > Types of disease > Cancer Metabolism > Types of disease > Neurodegenerative disease Neuroscience > Neurology process > Neurodegenerative disease > Alzheimer's disease Neuroscience > Neurology process > Neurodegenerative disease > Huntington's disease Signal Transduction > Metabolism > Energy Metabolism |
| 亚基 | Homotetramer (PubMed:16239728, PubMed:16510976). |
| 亚细胞定位 | Cytoplasm, cytosol. Nucleus. Cytoplasm, perinuclear region. Membrane. Note=Translocates to the nucleus following S-nitrosylation and interaction with SIAH1, which contains a nuclear localization signal. Postnuclear and Perinuclear regions. |
| 翻译后修饰 | #Acetylation |
| 相似性 | Belongs to the glyceraldehyde-3-phosphate dehydrogenase family. |
| 功能 | Has both glyceraldehyde-3-phosphate dehydrogenase and nitrosylase activities, thereby playing a role in glycolysis and nuclear functions, respectively (PubMed:3170585, PubMed:11724794). |
| 保存条件 | Shipped at 4℃. Store at -20℃ for one year. Avoid repeated freeze/thaw cycles. |
| 注意事项 | This product as supplied is intended for research use only, not for use in human, therapeutic or diagnostic applications. |
| 背景资料 | oading ControlGlyceraldehyde 3 phosphate dehydrogenase (GAPDH) is well known as one of the key enzymes involved in glycolysis. As well as functioning as a glycolytic enzyme in cytoplasm, recent evidence suggests that mammalian GAPDH is also involved in a great number of intracellular proceses such as membrane fusion, microtubule bundling, phosphotransferase activity, nuclear RNA export, DNA replication, and DNA repair. During the last decade a lot of data appeared concerning the role of GAPDH in different pathologies including prostate cancer progression, programmed neuronal cell death, age related neuronal diseases, such as Alzheimer's and Huntington's disease. GAPDH is expressed in all cells. It is constitutively expressed in almost all tissues at high levels. There are however some physiological factors such as hypoxia and diabetes that increase GAPDH expression in certain cell types. GAPDH molecule is composed of four 36kDa subunits. |
| 应用 | 推荐稀释比例 |
| {WB} | {1:5000-50000} |
| {IHC-P} | {1:200-1000} |
| {IHC-F} | {1:200-1000} |
| {IF} | {1:200-1000} |
| {ELISA} | {1:5000-10000} |

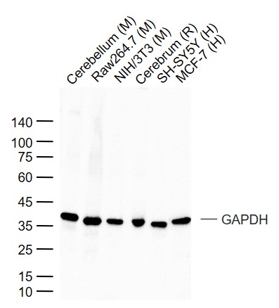
Lane 1: Cerebellum (Mouse) Lysate
Lane 2: Raw264.7 (Mouse) Cell Lysate
Lane 3: NIH/3T3 (Mouse) Cell Lysate
Lane 4: Cerebrum (Rat) Lysate
Lane 5: SH-SY5Y (Human) Cell Lysate
Lane 6: MCF-7 (Human) Cell Lysate
Primary: Anti-GAPDH (bs-10900R) at 1/10000 dilution
Secondary: IRDye800CW Goat Anti-Rabbit IgG at 1/20000 dilution
Predicted band size: 38 kD
Observed band size: 38 kD
















风险提示:丁香通仅作为第三方平台,为商家信息发布提供平台空间。用户咨询产品时请注意保护个人信息及财产安全,合理判断,谨慎选购商品,商家和用户对交易行为负责。对于医疗器械类产品,请先查证核实企业经营资质和医疗器械产品注册证情况。
文献和实验[IF={{ 9.5 }}] {Zhijing Chen. et al. Layered GelMA/PEGDA Hydrogel Microneedle Patch as an Intradermal Delivery System for Hypertrophic Scar Treatment. ACS APPL MATER INTER. 2023;XXXX(XXX):XXX-XXX} {WB} {Porcine}
[IF={{ 9.4 }}] {Xinyue Zhao. et al. UBR5 regulates the progression of colorectal cancer cells through Snail-induced epithelial–mesenchymal transition. GENES DIS. 2025 May;:101679} {WB} {Human}
[IF={{ 9.2 }}] {Wang Zhipeng. et al. A novel mechanism for A-to-I RNA-edited CYP1A1 in promoting cancer progression in NSCLC. CELL MOL BIOL LETT. 2025 Dec;30(1):1-21} {WB} {Human}
[IF={{ 9 }}] {Zhang Ying. et al. Clinical-mediated discovery of pyroptosis in CD8+ T cell and NK cell reveals melanoma heterogeneity by single-cell and bulk sequence. CELL DEATH DIS. 2023 Aug;14(8):1-14} {IHC} {Human}
[IF={{ 8.9 }}] {Guo Yang. et al. Mechanisms of electroacupuncture-induced neuroprotection in acute stroke rats: the role of astrocyte-mediated mitochondrial transfer. CELL COMMUN SIGNAL. 2025 Dec;23(1):1-20} {WB} {Rat}
subunits. The molecular weight for GAPDH is 146 kDa. Since it is expressed in all cells it is for example becoming the marker of choice for a loading control in Western Blotting. The anti-GAPDH clone 6C5, which is developed at HyTest Ltd, gives very strong
duplex PCR amplification, which is the coamplification of a fragment from the region of interest and a control fragment (e.g., the actin gene, or the tubulin gene). This approach allows for estimating relative levels of specific histone modifications
Use of Internaland External Standardsor Reference RNAs for A
levels of the gene under investigation are compared from sample to sample using an internal control to normalize for differences in sample concentration and loading. Ideally, the internal control should be a gene expressed at a constant level
技术资料暂无技术资料 索取技术资料






