相关产品推荐更多 >

SFTPC Rabbit pAb, Cy5.5 conjugated(bs-10067R-Cy5.5)-100ul
¥2980
MESP1 Rabbit pAb, BF350 conjugated(bs-9471R-BF350)-100ul
¥2980
LMO2 Rabbit pAb(bs-8430R)-50ul/100ul/200ul
¥1180
Visfatin Rabbit pAb, Cy3 conjugated(bs-0272R-Cy3)-100ul
¥2980
phospho-Histone H1.4 (Thr17) Recombinant Rabbit mAb(bsm-61201R)-50ul/100ul/25ul
¥800
万千商家帮你免费找货
0 人在求购买到急需产品
- 详细信息
- 文献和实验
- 技术资料
- 应用范围:
产品信息以Bioss网站为准
- 规格:
50ul/100ul/200ul
| 规格: | 50ul | 产品价格: | ¥1180.0 |
|---|---|---|---|
| 规格: | 100ul | 产品价格: | ¥1980.0 |
| 规格: | 200ul | 产品价格: | ¥2800.0 |
| 产品编号 | bs-12730R |
| 英文名称 | PLK2 Rabbit pAb |
| 中文名称 | 丝氨酸/苏氨酸蛋白激酶Plk2抗体 |
| 英文别名 | hPlk2; hSNK; PLK-2; Plk2; PLK2_HUMAN; Polo like kinase 2; Polo-like kinase 2; Serine/threonine protein kinase PLK2; Serine/threonine protein kinase SNK; Serine/threonine-protein kinase PLK2; Serine/threonine-protein kinase SNK; Serum Induced Kinase; Serum-inducible kinase; SNK. |
| 产品应用 | WB=1:500-2000, IHC-P=1:100-500, IHC-F=1:100-500, IF=1:100-500 Not yet tested in other applications. |
| 交叉反应 | Human, Mouse (Rat, Dog, Pig, Cow, Horse, Zebrafish, Sheep) |
| 抗体来源 | Rabbit |
| 免疫原 | KLH conjugated synthetic peptide derived from human PLK2 |
| 亚型 | IgG |
| 性状 | Liquid |
| 纯化方法 | affinity purified by Protein A |
| 克隆类型 | Polyclonal |
| 理论分子量 | 78 kDa |
| 浓度 | 1mg/ml |
| 储存液 | 0.01M TBS (pH7.4) with 1% BSA, 0.02% Proclin300 and 50% Glycerol. |
| 研究领域 | Signal Transduction > Protein Phosphorylation > Ser / Thr Kinases > Other Kinases |
| 翻译后修饰 | Catalytic activity is enhanced by phosphorylation of Thr-239. |
| 相似性 | Belongs to the protein kinase superfamily. Ser/Thr protein kinase family. CDC5/Polo subfamily. Contains 2 POLO box domains. Contains 1 protein kinase domain. |
| 功能 | May play a role in the division of at least some cell types, such as fibroblasts, and could function in embryogenesis, wound healing or neoplasia. |
| 保存条件 | Shipped at 4℃. Store at -20℃ for one year. Avoid repeated freeze/thaw cycles. |
| 注意事项 | This product as supplied is intended for research use only, not for use in human, therapeutic or diagnostic applications. |
| 背景资料 | The protein encoded by this gene is a member of the polo family of serine/threonine protein kinases that have a role in normal cell division. This gene is most abundantly expressed in testis, spleen and fetal tissues, and its expression is inducible by serum, suggesting that it may also play an important role in cells undergoing rapid cell division. Alternatively spliced transcript variants encoding different isoforms have been found for this gene. [provided by RefSeq, Nov 2011] |
| 应用 | 推荐稀释比例 |
| {WB} | {1:500-2000} |
| {IHC-P} | {1:100-500} |
| {IHC-F} | {1:100-500} |
| {IF} | {1:100-500} |

Primary: Anti-PLK2 (bs-12730R) at 1/300 dilution
Secondary: IRDye800CW Goat Anti-Rabbit IgG at 1/20000 dilution
Predicted band size: 78 kD
Observed band size: 78 kD



风险提示:丁香通仅作为第三方平台,为商家信息发布提供平台空间。用户咨询产品时请注意保护个人信息及财产安全,合理判断,谨慎选购商品,商家和用户对交易行为负责。对于医疗器械类产品,请先查证核实企业经营资质和医疗器械产品注册证情况。
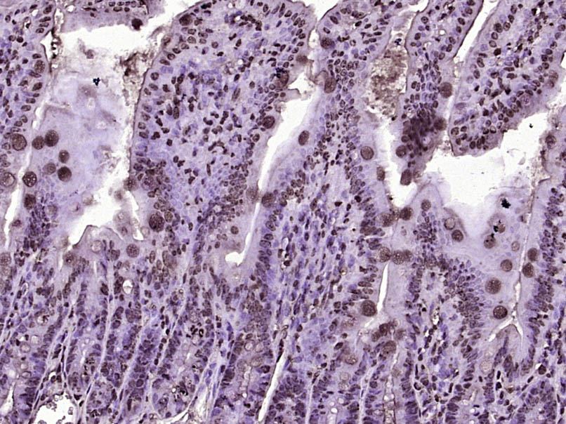
文献和实验[IF={{ 4.4 }}] {Jiayi Luo. et al.Polo‐like kinase2 regulates renal tubulointerstitial fibrosis via notch signaling pathway in diabetic kidney disease.the faseb journal.2025 Mar 15;39(5):e70455.} {IHC} {Mouse}
= NAL), appears to form upon oxidative cyclization of the nonfluorescent 2:1 lysine-HNE Michael adduct-Schiff base cross-link (Scheme 1). Polyclonal antibody (PAb) to the NAL-HNE fluorophore was raised in rabbit and found to be highly specific
GE Healthcare Benzamidine Sepharose™ 6B is p-aminobenzamidine covalently attached to Sepharose 6B by the epoxy coupling method. p-Aminobenzamidine (PAB), is a synthetic inhibitor of trypsin-like serine protease. Trypsin and trypsin
Nucleic Acid Programmable Protein Arrays: Versatile Tools for Array‐Based Functional Protein Studies
.g., Sigma) 50 mg/ml bis‐sulfosuccinimdylsuberate (BS3 ;Pierce, cat. no. PI 21580) in dimethylsulfoxide (DMSO) 5 mg/ml
技术资料暂无技术资料 索取技术资料






