相关产品推荐更多 >

VEGFB167 Rabbit pAb(bs-10071R)-50ul/100ul/200ul
¥1180
Epac1 Rabbit pAb(bs-8682R)-50ul/100ul/200ul
¥1180
TRPV1 Rabbit pAb, AP conjugated(bs-23927R-AP)-100ul
¥2980
Endomucin Rabbit pAb, PerCP-Cy5.5 conjugated(bs-5884R-PerCP-Cy5.5)-100ul
¥2980
MTOR Rabbit pAb, PerCP-Cy5.5 conjugated(bs-1992R-PerCP-Cy5.5)-100ul
¥2980
万千商家帮你免费找货
0 人在求购买到急需产品
- 详细信息
- 文献和实验
- 技术资料
- 应用范围:
产品信息以Bioss网站为准
- 规格:
50ul/100ul/200ul
| 规格: | 50ul | 产品价格: | ¥1180.0 |
|---|---|---|---|
| 规格: | 100ul | 产品价格: | ¥1980.0 |
| 规格: | 200ul | 产品价格: | ¥2800.0 |
| 产品编号 | bs-5775R |
| 英文名称 | PDGFC Rabbit pAb |
| 中文名称 | 血小板源性生长因子C抗体 |
| 英文别名 | receptor-binding form; Fallotein; hSCDGF; PDGF-C; PDGFC; PDGFC latent form; PDGFC receptor-binding form; PDGFC_HUMAN; Platelet derived growth factor C; Platelet-derived growth factor C; SCDGF; Secretory growth factor like protein; Secretory growth factor like protein fallotein; Spinal cord derived growth factor; Spinal cord-derived growth factor; VEGF E; VEGFE; VEGF-E. |
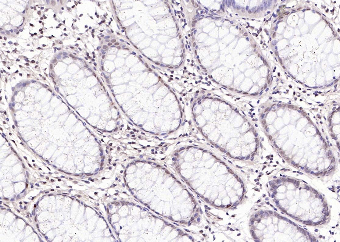
| 产品应用 | IHC-F=1:100-500, IF=1:100-500, IHC-P=1:100-500 Not yet tested in other applications. |
| 交叉反应 | Human, colon (Mouse, Rat, Dog, Pig, Cow, Horse, Rabbit) |
| 抗体来源 | Rabbit |
| 免疫原 | KLH conjugated synthetic peptide derived from human PDGFC/VEGF E |
| 亚型 | IgG |
| 性状 | Liquid |
| 纯化方法 | affinity purified by Protein A |
| 克隆类型 | Polyclonal |
| 理论分子量 | 39 kDa |
| 浓度 | 1mg/ml |
| 储存液 | 0.01M TBS (pH7.4) with 1% BSA, 0.02% Proclin300 and 50% Glycerol. |
| 研究领域 | Cancer > Growth factors > PDGF Cardiovascular > Angiogenesis > Growth Factors Signal Transduction > Growth Factors/Hormones > PDGF Stem Cells > Mesenchymal Stem Cells > Secreted Molecules |
| 亚基 | Homodimer; disulfide-linked. Interacts with PDGFRA homodimers, and with heterodimers formed by PDGFRA and PDGFRB. Interacts (via CUB domain) with PLAT (via kringle domain). |
| 亚细胞定位 | Cytoplasm. Secreted. Nucleus. Cytoplasmic granule. Note=Sumoylated form is predominant in the nucleus. Stored in alpha granules in platelets. Membrane associated when bound to receptors. |
| 组织特异性 | Expressed in the fallopian tube, vascular smooth muscle cells in kidney, breast and colon and in visceral smooth muscle of the gastrointestinal tract. Highly expressed in retinal pigment epithelia. Expressed in medulloblastoma. In the kidney, constitutively expressed in parietal epithelial cells of Bowman's capsule, tubular epithelial cells and in arterial endothelial cells (at protein level). Highly expressed in the platelets, prostate, testis and uterus. Higher expression is observed in uterine leiomyomata. Weaker expression in the spleen, thymus, heart, pancreas, liver, ovary cells and small intestine, and negligible expression in the colon and peripheral blood leukocytes. |
| 翻译后修饰 | Proteolytic removal of the N-terminal CUB domain releasing the core domain is necessary for unmasking the receptor-binding epitopes of the core domain. Cleavage after basic residues in the hinge region (region connecting the CUB and growth factor domains) gives rise to the receptor-binding form. Cleaved by PLAT and PLG. Sumoylated with SUMO1. N-glycosylated. |
| 相似性 | Belongs to the PDGF/VEGF growth factor family. Contains 1 CUB domain. |
| 功能 | Growth factor that plays an essential role in the regulation of embryonic development, cell proliferation, cell migration, survival and chemotaxis. Potent mitogen and chemoattractant for cells of mesenchymal origin. Required for normal skeleton formation during embryonic development, especially for normal development of the craniofacial skeleton and for normal development of the palate. Required for normal skin morphogenesis during embryonic development. Plays an important role in wound healing, where it appears to be involved in three stages: inflammation, proliferation and remodeling. Plays an important role in angiogenesis and blood vessel development. Involved in fibrotic processes, in which transformation of interstitial fibroblasts into myofibroblasts plus collagen deposition occurs. The CUB domain has mitogenic activity in coronary artery smooth muscle cells, suggesting a role beyond the maintenance of the latency of the PDGF domain. In the nucleus, PDGFC seems to have additional function. |
| 保存条件 | Shipped at 4℃. Store at -20℃ for one year. Avoid repeated freeze/thaw cycles. |
| 注意事项 | This product as supplied is intended for research use only, not for use in human, therapeutic or diagnostic applications. |
| 背景资料 | Potent mitogen and chemoattractant for cells of mesenchymal origin. Binding of this growth factor to its affinity receptor elicits a variety of cellular responses. Appears to be involved in the three stages of wound healing: inflammation, proliferation and remodeling. Involved in fibrotic processes, in which transformation of interstitial fibroblasts into myofibroblasts plus collagen deposition occurs. Acts as a specific ligand for alpha platelet-derived growth factor receptor homodimer, and alpha and beta heterodimer. Binding to receptors induces their activation by tyrosine phosphorylation. The CUB domain has mitogenic activity in coronary artery smooth muscle cells, suggesting a role beyond the maintainance of the latency of the PDGF domain. In the nucleus, PDGFC seems to have additional function. Seems to be involved in palatogenesis. |
| 应用 | 推荐稀释比例 |
| {IHC-F} | {1:100-500} |
| {IF} | {1:100-500} |
| {IHC-P} | {1:100-500} |

风险提示:丁香通仅作为第三方平台,为商家信息发布提供平台空间。用户咨询产品时请注意保护个人信息及财产安全,合理判断,谨慎选购商品,商家和用户对交易行为负责。对于医疗器械类产品,请先查证核实企业经营资质和医疗器械产品注册证情况。
文献和实验[IF={{ 3.26 }}] {Hurley, Marja M., et al. "Accelerated Fracture Healing in Transgenic Mice Overexpressing an Anabolic Isoform of Fibroblast Growth Factor 2." Journal of Cellular Biochemistry (2015).} {IHC} {="Mouse"}
[IF={{ 2.766 }}] {Wang et al. Imatinib attenuates cardiac fibrosis by inhibiting platelet-derived growth factor receptors activation in isoproterenol induced model. (2017) PLoS.One. 12:e0178619} {WB} {Mouse}
= NAL), appears to form upon oxidative cyclization of the nonfluorescent 2:1 lysine-HNE Michael adduct-Schiff base cross-link (Scheme 1). Polyclonal antibody (PAb) to the NAL-HNE fluorophore was raised in rabbit and found to be highly specific
GE Healthcare Benzamidine Sepharose™ 6B is p-aminobenzamidine covalently attached to Sepharose 6B by the epoxy coupling method. p-Aminobenzamidine (PAB), is a synthetic inhibitor of trypsin-like serine protease. Trypsin and trypsin
Nucleic Acid Programmable Protein Arrays: Versatile Tools for Array‐Based Functional Protein Studies
.g., Sigma) 50 mg/ml bis‐sulfosuccinimdylsuberate (BS3 ;Pierce, cat. no. PI 21580) in dimethylsulfoxide (DMSO) 5 mg/ml
技术资料暂无技术资料 索取技术资料






