相关产品推荐更多 >

Anti-human CX3CL1 / Fractalkine (Quetmolimab Biosimilar)(BIO0019SM)-1mg/5mg/20mg
¥1550
WRB Rabbit pAb, PE-Cy7 conjugated(bs-11774R-PE-Cy7)-100ul
¥2980
S100A7 Rabbit pAb, BF680 conjugated(bs-6575R-BF680)-100ul
¥2980
Plzf Rabbit pAb, FITC conjugated(bs-5971R-FITC)-100ul
¥2980
BNC1 Rabbit pAb, AP conjugated(bs-20583R-AP)-100ul
¥2980
万千商家帮你免费找货
0 人在求购买到急需产品
- 详细信息
- 文献和实验
- 技术资料
- 应用范围:
产品信息以Bioss网站为准
- 规格:
50ul/100ul/200ul
| 规格: | 50ul | 产品价格: | ¥1180.0 |
|---|---|---|---|
| 规格: | 100ul | 产品价格: | ¥1980.0 |
| 规格: | 200ul | 产品价格: | ¥2800.0 |
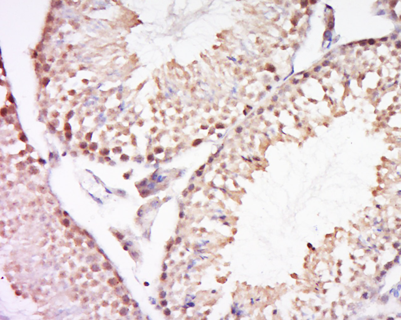
| 产品编号 | bs-19840R |
| 英文名称 | REV3L/Polymerase DNA zeta Rabbit pAb |
| 中文名称 | DNA聚合酶ζ抗体 |
| 英文别名 | Catalytic subunit of DNA polymerase zeta; Polymerase DNA zeta; POLZ; RAD54 like; REV3 yeast homolog like; Sez4; Yeast homolog of Rev 3. |
| 产品应用 | IHC-P=1:100-500, IHC-F=1:100-500, IF=1:100-500 Not yet tested in other applications. |
| 交叉反应 | Mouse (Human) |
| 抗体来源 | Rabbit |
| 免疫原 | KLH conjugated synthetic peptide derived from human REV3L/Polymerase DNA zeta |
| 亚型 | IgG |
| 性状 | Liquid |
| 纯化方法 | affinity purified by Protein A |
| 克隆类型 | Polyclonal |
| 理论分子量 | 352 kDa |
| 浓度 | 1mg/ml |
| 储存液 | 0.01M TBS (pH7.4) with 1% BSA, 0.02% Proclin300 and 50% Glycerol. |
| 研究领域 | Epigenetics and Nuclear Signaling > DNA / RNA > DNA Synthesis > DNA Polymerases |
| 亚基 | Interacts with MAD2L2. |
| 组织特异性 | Ubiquitously expressed. |
| 相似性 | Belongs to the DNA polymerase type-B family Contains 1 CysA-type zinc finger. |
| 功能 | Interacts with MAD2L2 to form the error prone DNA polymerase zeta involved in translesion DNA synthesis. |
| 保存条件 | Shipped at 4℃. Store at -20℃ for one year. Avoid repeated freeze/thaw cycles. |
| 注意事项 | This product as supplied is intended for research use only, not for use in human, therapeutic or diagnostic applications. |
| 应用 | 推荐稀释比例 |
| {IHC-P} | {1:100-500} |
| {IHC-F} | {1:100-500} |
| {IF} | {1:100-500} |

Antigen retrieval: citrate buffer ( 0.01M, pH 6.0 ), Boiling bathing for 15min; Block endogenous peroxidase by 3% Hydrogen peroxide for 30min; Blocking buffer (normal goat serum,C-0005) at 37℃ for 20 min;
Incubation: Anti-REV3L/Polymerase DNA zeta Polyclonal Antibody, Unconjugated(bs-19840R) 1:500, overnight at 4°C, followed by conjugation to the secondary antibody(SP-0023) and DAB(C-0010) staining
风险提示:丁香通仅作为第三方平台,为商家信息发布提供平台空间。用户咨询产品时请注意保护个人信息及财产安全,合理判断,谨慎选购商品,商家和用户对交易行为负责。对于医疗器械类产品,请先查证核实企业经营资质和医疗器械产品注册证情况。
文献和实验-stop PCR only; see Steps 1-22)SSCP loading dye (for SSCP only; see Steps 23-37)95% (v/v) formamide10 mM NaOH0.25% (w/v) bromophenol blue0.25% (w/v) xylene cyanolTaq DNA polymerase (5 U/µl)TBE Buffer (1X and 5X)Prepare a 5x stock solution in 1 liter
Introduction of human 14-3-3 proteins
The human and bovine 14-3-3 eta protein mRNAs are highly conservedEvolutionary conservation of the 14-3-3 proteinExpression and structural analysis of 14-3-3 proteinsCrystal structure of the zeta isoform of the 14-3-3 proteinStructure of a 14
, Counterion, and Hydration Effects for the Incorporation of Locked Nucleic Acid Nucleotides into DNA Duplexes". Biochemistry 45 (23): 7347–55. doi:10.1021/bi060307w. PMID 16752924. ^ Jiang Q, Wang Y, Hao Y, Juan L, Teng M, Zhang X, Li M, Wang G, Liu Y
技术资料暂无技术资料 索取技术资料






