相关产品推荐更多 >

Vimentin Rabbit pAb, HRP conjugated(bs-8533R-HRP)-100ul
¥2980
Beta-casein Rabbit pAb, HRP conjugated(bs-24172R-HRP)-100ul
¥2980
Gelsolin Rabbit pAb, HRP conjugated(bs-1160R-HRP)-100ul
¥2980
GPR115 Rabbit pAb(bs-12026R)-50ul/100ul/200ul
¥1180
Anti-LAG-3 & PD-1 Reference Antibody (Tobemstomig Biosimilar)(BIO0992SM)-100ug/1mg/5mg
¥2160
万千商家帮你免费找货
0 人在求购买到急需产品
- 详细信息
- 文献和实验
- 技术资料
- 应用范围:
产品信息以Bioss网站为准
- 规格:
50ul/100ul/200ul
| 规格: | 50ul | 产品价格: | ¥1180.0 |
|---|---|---|---|
| 规格: | 100ul | 产品价格: | ¥1980.0 |
| 规格: | 200ul | 产品价格: | ¥2800.0 |
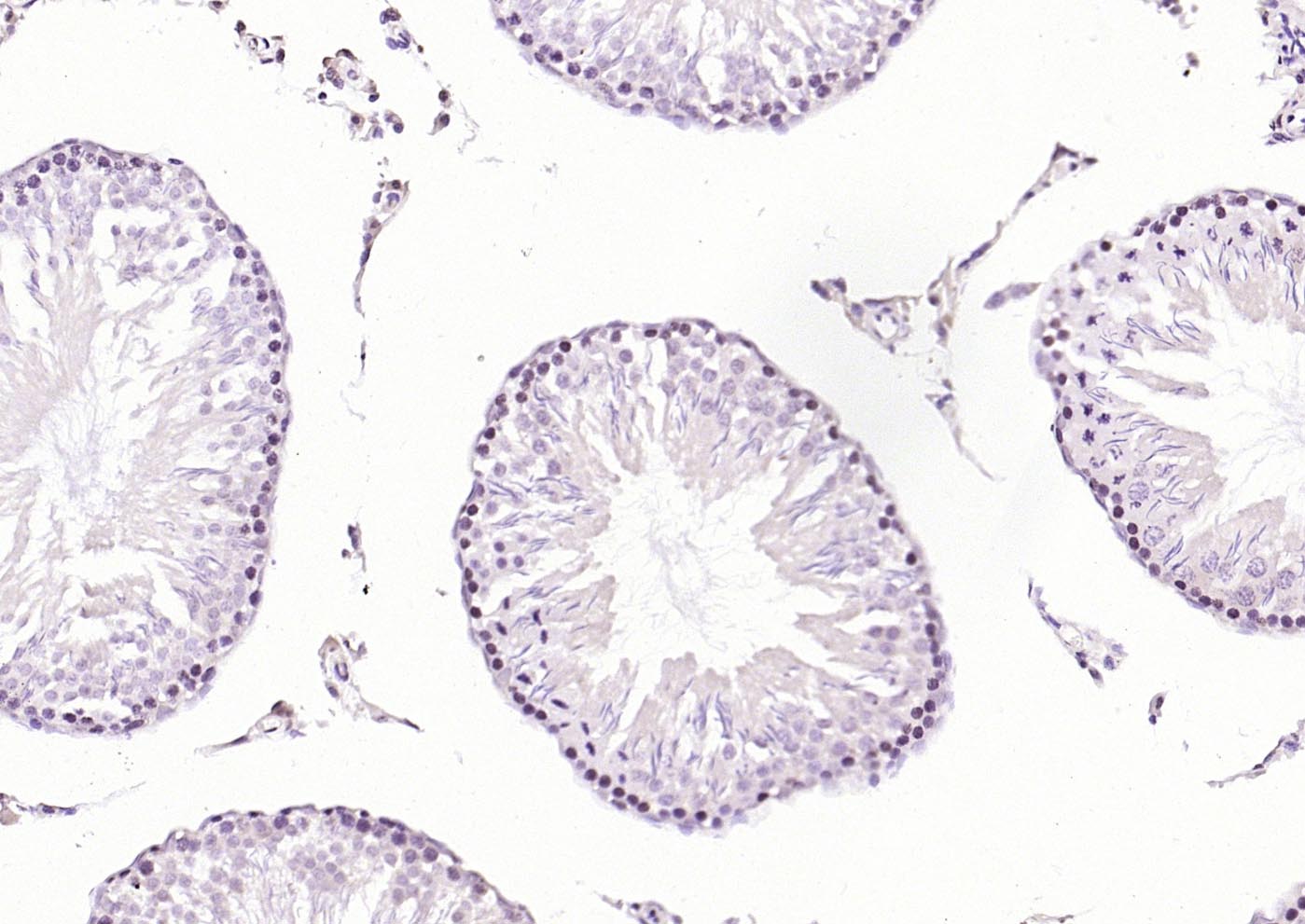
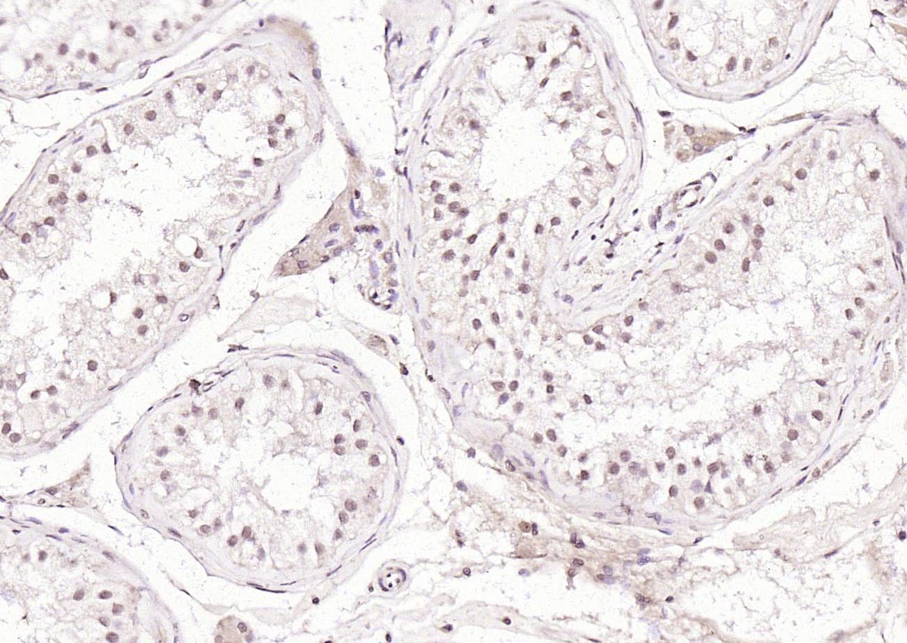
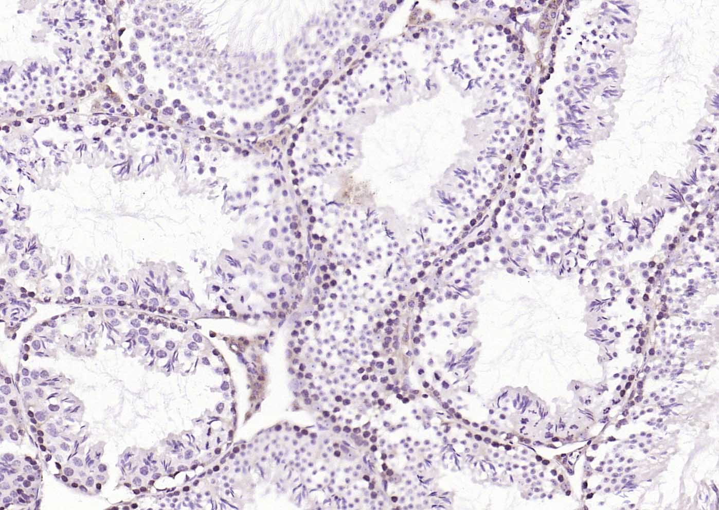
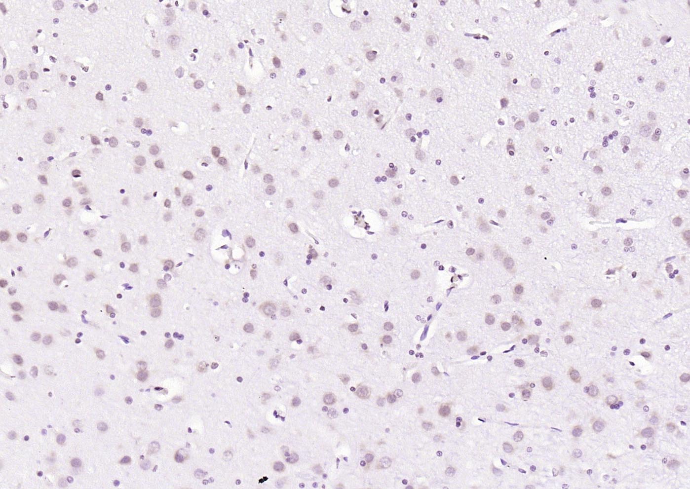
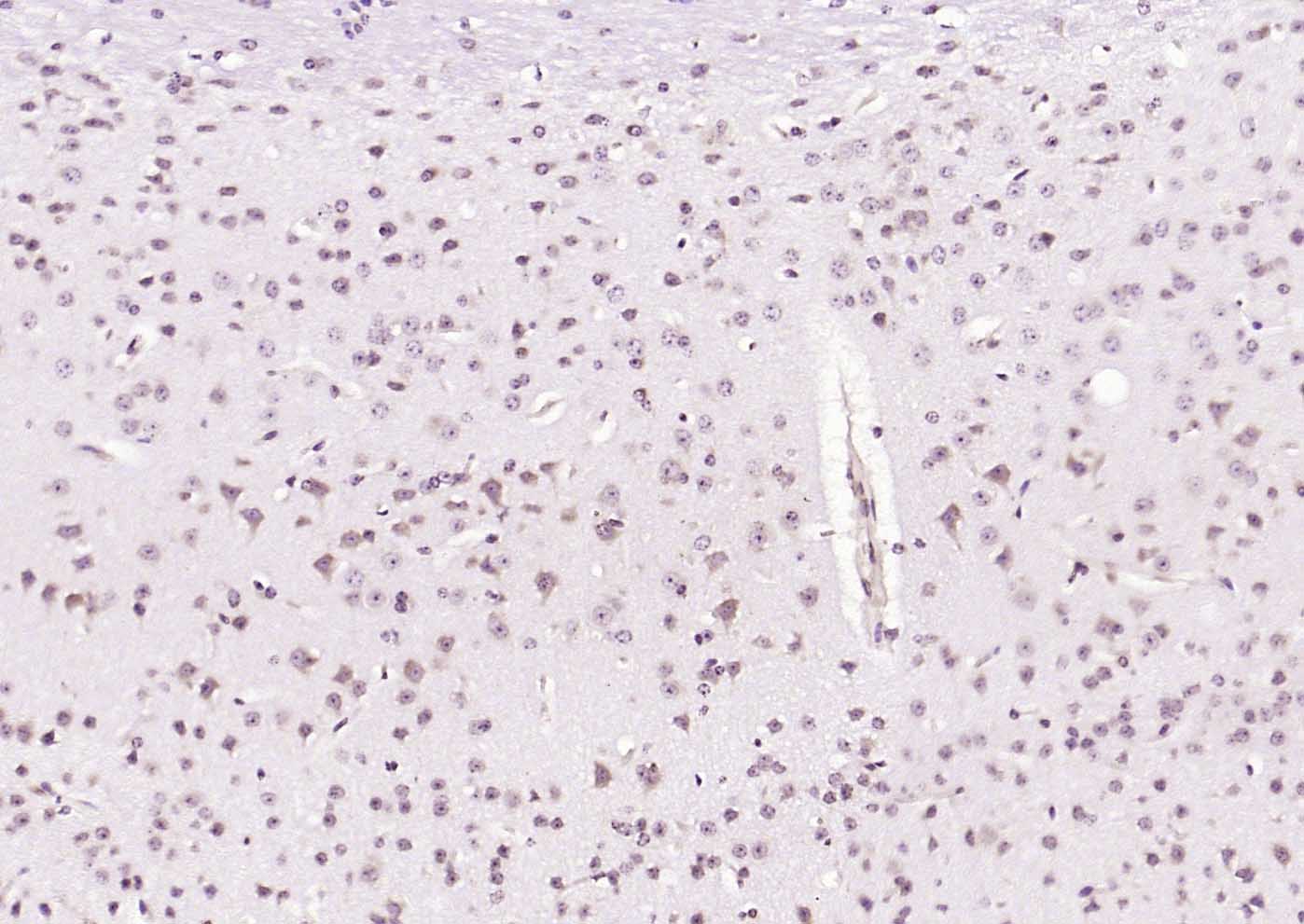
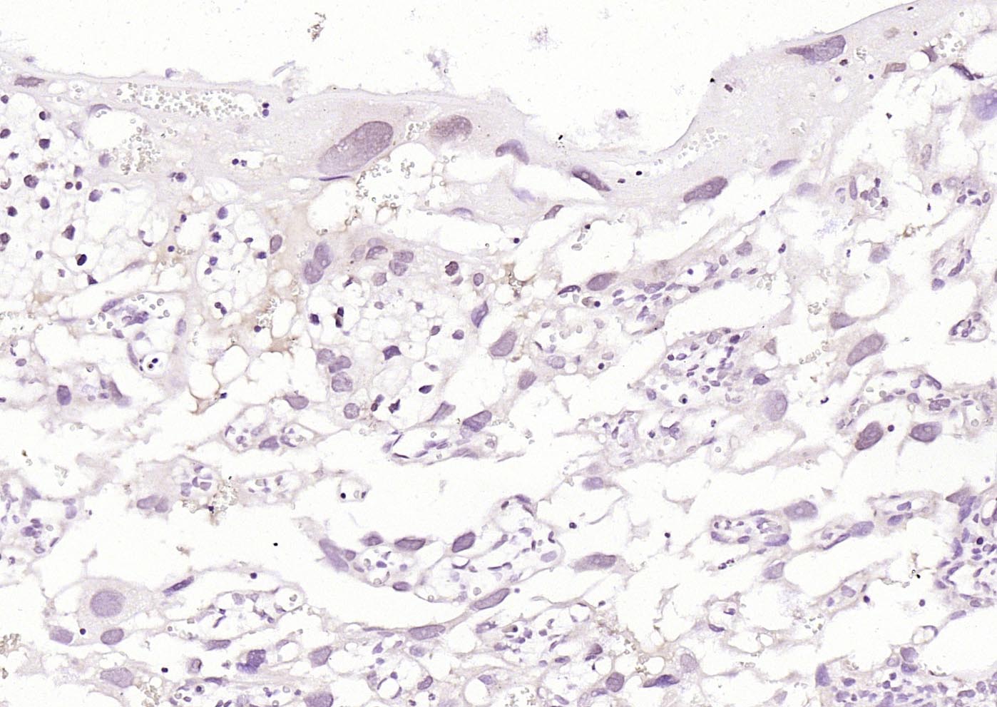
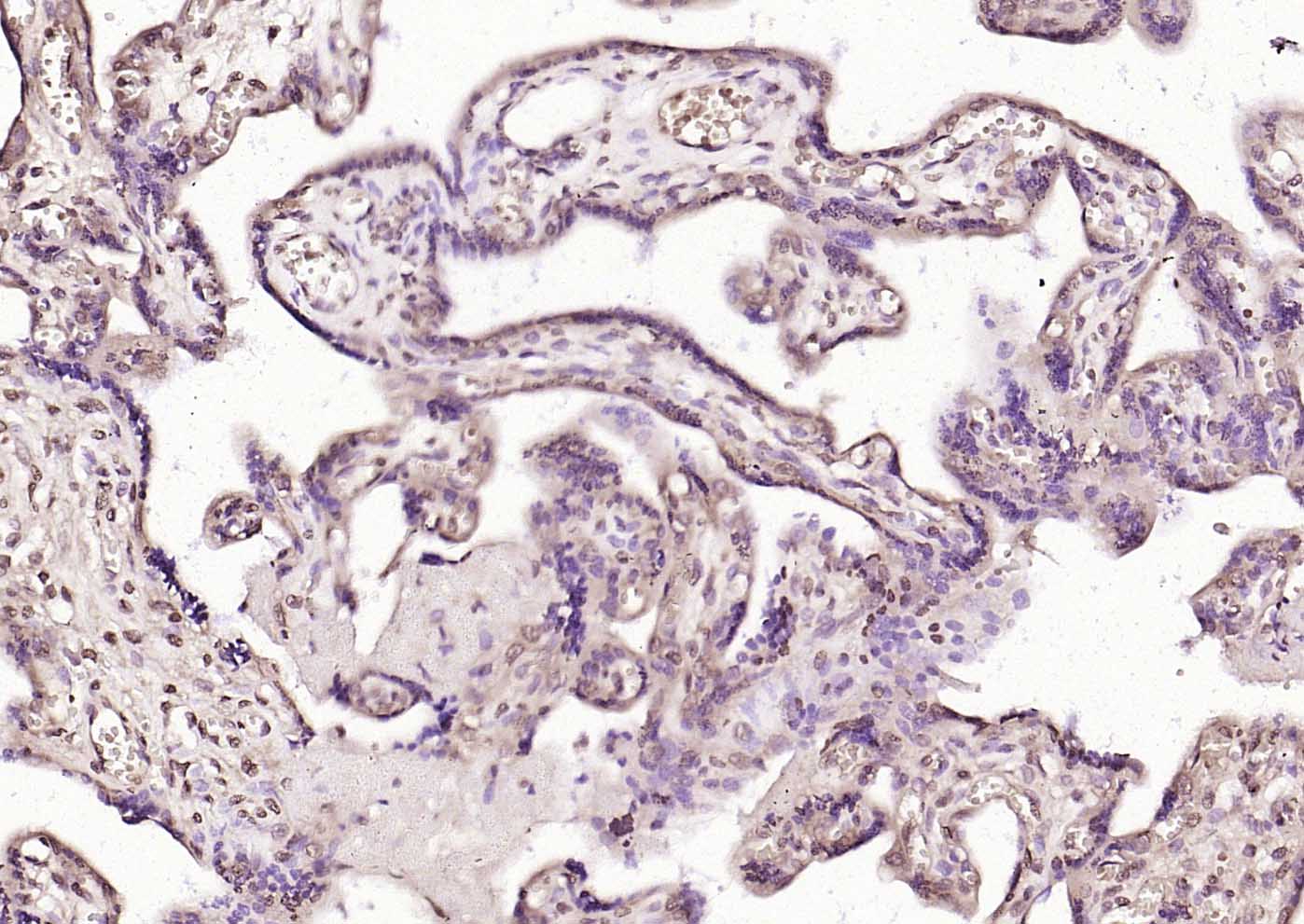
| 产品编号 | bs-3535R |
| 英文名称 | PLK1 Rabbit pAb |
| 中文名称 | 丝氨酸/苏氨酸蛋白激酶PLK1抗体 |
| 英文别名 | PLK 1; PLK; polio like kinase; Polo like kinase 1; Polo-like kinase 1; Serine/threonine protein kinase 13; Serine/threonine protein kinase PLK1; Serine/threonine-protein kinase; STPK 13; STPK13; Polo like kinase kinase; Cell cycle regulated protein kinase; PLK-1; PLK1_HUMAN. |
| 产品应用 | IHC-P=1:100-500, IHC-F=1:100-500, IF=1:100-500, Flow-Cyt=1ug/Test Not yet tested in other applications. |
| 交叉反应 | Human, Mouse, Rat (Dog, Pig, Rabbit) |
| 抗体来源 | Rabbit |
| 免疫原 | KLH conjugated synthetic peptide derived from human PLK1 |
| 亚型 | IgG |
| 性状 | Liquid |
| 纯化方法 | affinity purified by Protein A |
| 克隆类型 | Polyclonal |
| 理论分子量 | 66 kDa |
| 浓度 | 1mg/ml |
| 储存液 | 0.01M TBS (pH7.4) with 1% BSA, 0.02% Proclin300 and 50% Glycerol. |
| 研究领域 | Cancer > Cell cycle > Cell division Cell Biology > Cell Cycle > Cell Division > Spindle Cell Biology > Cell Cycle > Kinases/Phosphatases Epigenetics and Nuclear Signaling > Cell cycle > Kinases/Phosphatases |
| 亚基 | Interacts with CEP170 and EVI5. Interacts and phosphorylates ERCC6L. Interacts with FAM29A. Interacts with SLX4/BTBD12 and TTDN1. Interacts with BUB1B. Interacts (via POLO-box domain) with the phosphorylated form of BUB1, MLF1IP and CDC25C. Interacts with isoform 3 of SGOL1. Interacts with BORA, KIF2A and AURKA. Interacts with TOPORS and CYLD. Interacts with ECT2; the interaction is stimulated upon phosphorylation of ECT2 on 'Thr-444'. Interacts with PRC1. Interacts with KIF20A/MKLP2 (when phosphorylated), leading to the recruitment at the central spindle. Interacts (via POLO box domains) with PPP1R12A/MYPT1 (when previously phosphorylated by CDK1). Part of an astrin (SPAG5)-kinastrin (SKAP) complex containing SKAP, SPAG5, PLK1, DYNLL1 and SGOL2. Interacts with BIRC6/bruce. |
| 亚细胞定位 | Nucleus. Chromosome, centromere, kinetochore. Cytoplasm, cytoskeleton, centrosome. Cytoplasm, cytoskeleton, spindle. Midbody. Note=During early stages of mitosis, the phosphorylated form is detected on centrosomes and kinetochores. Localizes to the outer kinetochore. Presence of SGOL1 and interaction with the phosphorylated form of BUB1 is required for the kinetochore localization. Localizes onto the central spindle by phosphorylating and docking at midzone proteins KIF20A/MKLP2 and PRC1. |
| 组织特异性 | Placenta and colon. |
| 翻译后修饰 | Catalytic activity is enhanced by phosphorylation of Thr-210. Phosphorylation at Thr-210 is first detected on centrosomes in the G2 phase of the cell cycle, peaks in prometaphase and gradually disappears from centrosomes during anaphase. Autophosphorylation and phosphorylation of Ser-137 may not be significant for the activation of PLK1 during mitosis, but may enhance catalytic activity during recovery after DNA damage checkpoint. Ubiquitinated by the anaphase promoting complex/cyclosome (APC/C) in anaphase and following DNA damage, leading to its degradation by the proteasome. Ubiquitination is mediated via its interaction with FZR1/CDH1. Ubiquitination and subsequent degradation prevents entry into mitosis and is essential to maintain an efficient G2 DNA damage checkpoint. |
| 相似性 | Belongs to the protein kinase superfamily. Ser/Thr protein kinase family. CDC5/Polo subfamily.
Contains 2 POLO box domains. |
| 功能 | Serine/threonine-protein kinase that performs several important functions throughout M phase of the cell cycle, including the regulation of centrosome maturation and spindle assembly, the removal of cohesins from chromosome arms, the inactivation of APC/C inhibitors, and the regulation of mitotic exit and cytokinesis. Required for recovery after DNA damage checkpoint and entry into mitosis. Required for kinetochore localization of BUB1B. Phosphorylates SGOL1. Required for spindle pole localization of isoform 3 of SGOL1 and plays a role in regulating its centriole cohesion function. Phosphorylates BORA, and thereby promotes the degradation of BORA. Contributes to the regulation of AURKA function. Regulates TP53 stability through phosphorylation of TOPORS. |
| 保存条件 | Shipped at 4℃. Store at -20℃ for one year. Avoid repeated freeze/thaw cycles. |
| 注意事项 | This product as supplied is intended for research use only, not for use in human, therapeutic or diagnostic applications. |
| 背景资料 | The Ser/Thr protein kinase encoded by this gene belongs to the CDC5/Polo subfamily. It is highly expressed during mitosis and elevated levels are found in many different types of cancer. Depletion of this protein in cancer cells dramatically inhibited cell proliferation and induced apoptosis; hence, it is a target for cancer therapy. [provided by RefSeq, Sep 2015] |
| 应用 | 推荐稀释比例 |
| {IHC-P} | {1:100-500} |
| {IHC-F} | {1:100-500} |
| {IF} | {1:100-500} |
| {Flow-Cyt} | {1ug/Test} |









Primary Antibody (green line): Rabbit Anti-PLK1 antibody (bs-3535R)
Dilution:1ug/Test;
Secondary Antibody(white blue line): Goat anti-rabbit IgG-FITC
Dilution: 0.5ug/Test.
Isotype control(orange line): Normal Rabbit IgG
Protocol
The cells were fixed with 4% PFA (10min at room temperature)and then permeabilized with 90% ice-cold methanol for 20 min at -20℃, The cells were then incubated in 5%BSA to block non-specific protein-protein interactions for 30 min at room temperature .Cells stained with Primary Antibody for 30 min at room temperature. The secondary antibody used for 40 min at room temperature. Acquisition of 20,000 events was performed.
风险提示:丁香通仅作为第三方平台,为商家信息发布提供平台空间。用户咨询产品时请注意保护个人信息及财产安全,合理判断,谨慎选购商品,商家和用户对交易行为负责。对于医疗器械类产品,请先查证核实企业经营资质和医疗器械产品注册证情况。
文献和实验[IF={{ 9.933 }}] {Gaizhen Kuang. et al. Near-Infrared Light-Triggered Polyprodrug/siRNA Loaded Upconversion Nanoparticles for Multi-Modality Imaging and Synergistic Cancer Therapy. 2021 Jul 03} {WB} {Human}
[IF={{ 4.486 }}] {Chen Y et al. PLK1 regulates hepatic stellate cell activation and liver fibrosis through Wnt/β‐catenin signalling pathway. J Cell Mol Med. 2020 Jul;24(13):7405-7416.} {WB} {Human}
[IF={{ 4.3 }}] {Qinbing Xue. et al. Lycorine (Lycoris radiata)—a unique natural medicine on breast cancer. J CELL MOL MED. 2024 Aug;28(16):e70032} {FCM} {Human}
[IF={{ 12.12 }}] {Gibori et al. Amphiphilic nanocarrier-induced modulation of PLK1 and miR-34a leads to improved therapeutic response in pancreatic cancer. (2018) Nat.Commun. 9:16} {IHC} {Human}
[IF={{ 11.205 }}] {Cong Lan. et al. Inhibition of DYRK1A, via histone modification, promotes cardiomyocyte cell cycle activation and cardiac repair after myocardial infarction. EBIOMEDICINE. 2022 Aug;82:104139} {WB} {Rat}
3A7)XP® Rabbit mAb#9145 检测 p-Stat3 的表达,使用不同的产品进行显色。与竞争者的 DAB 产生的信号相比,SignalStain® DABSubstrateKit 的显色强度更佳。CST 对实验细节进行了步步优化,抗体说明书也是为实验成功保驾护航的必备指南:注:使用 PLK1(208 G4)Rabbit mAb #4513 检测人结肠肿瘤中 PLK1 的表达,在经过辅助试剂的步步优化后发现,使用一抗稀释液#8112 稀释抗体,聚合物型二抗#8114 进行检测,DAB 显色
= NAL), appears to form upon oxidative cyclization of the nonfluorescent 2:1 lysine-HNE Michael adduct-Schiff base cross-link (Scheme 1). Polyclonal antibody (PAb) to the NAL-HNE fluorophore was raised in rabbit and found to be highly specific
GE Healthcare Benzamidine Sepharose™ 6B is p-aminobenzamidine covalently attached to Sepharose 6B by the epoxy coupling method. p-Aminobenzamidine (PAB), is a synthetic inhibitor of trypsin-like serine protease. Trypsin and trypsin
技术资料暂无技术资料 索取技术资料





