相关产品推荐更多 >

ID1 Rabbit pAb, PE-Cy5.5 conjugated(bs-6541R-PE-Cy5.5)-100ul
¥2980
Bcl-2 alpha Rabbit pAb, BF405 conjugated(bs-15533R-BF405)-100ul
¥2980
FKBP10 Rabbit pAb(bs-13175R)-50ul/100ul/200ul
¥1180
5HT3B Receptor Rabbit pAb, BF405 conjugated(bs-4289R-BF405)-100ul
¥2980
IASPP Rabbit pAb, PE-Cy5.5 conjugated(bs-0284R-PE-Cy5.5)-100ul
¥2980
万千商家帮你免费找货
0 人在求购买到急需产品
- 详细信息
- 文献和实验
- 技术资料
- 应用范围:
产品信息以Bioss网站为准
- 规格:
50ul/100ul/200ul
| 规格: | 50ul | 产品价格: | ¥1180.0 |
|---|---|---|---|
| 规格: | 100ul | 产品价格: | ¥1980.0 |
| 规格: | 200ul | 产品价格: | ¥2800.0 |
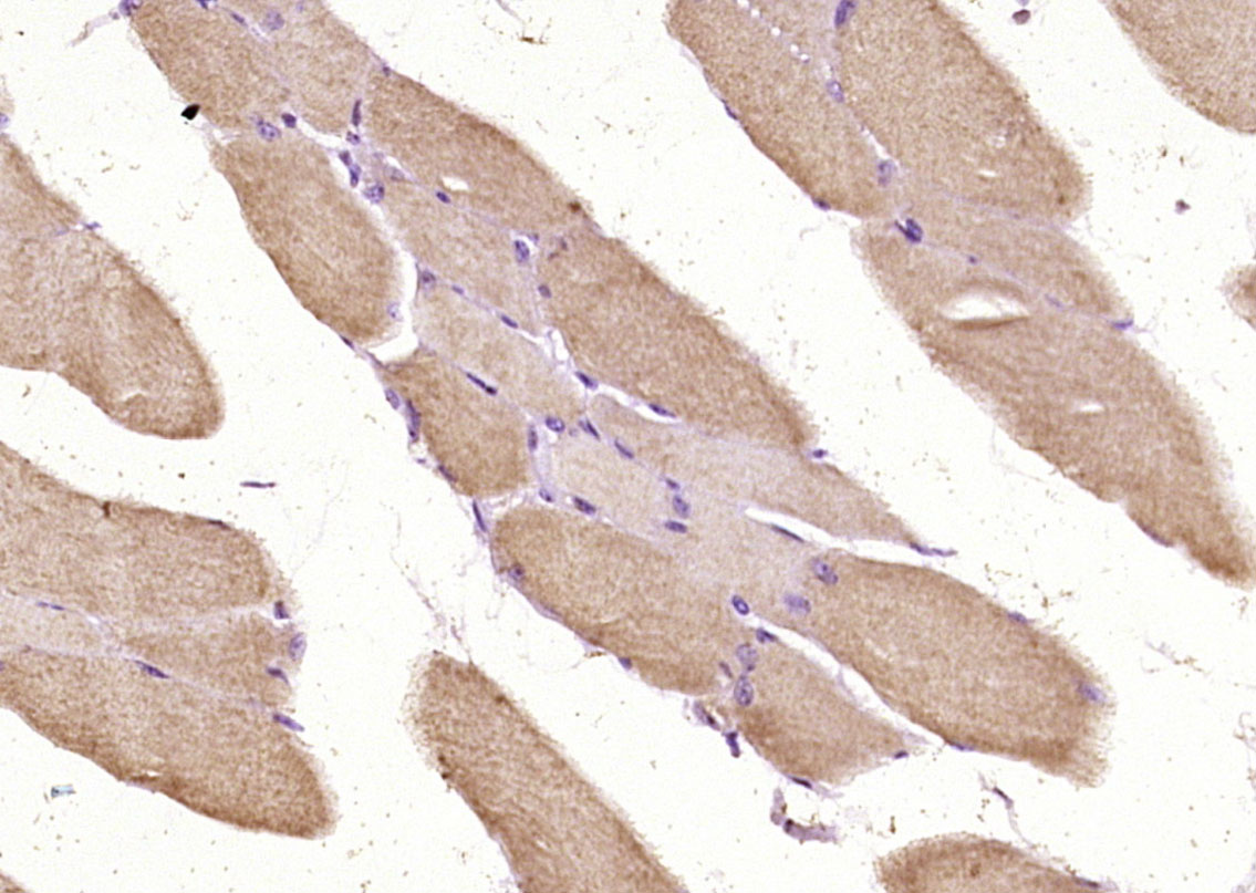
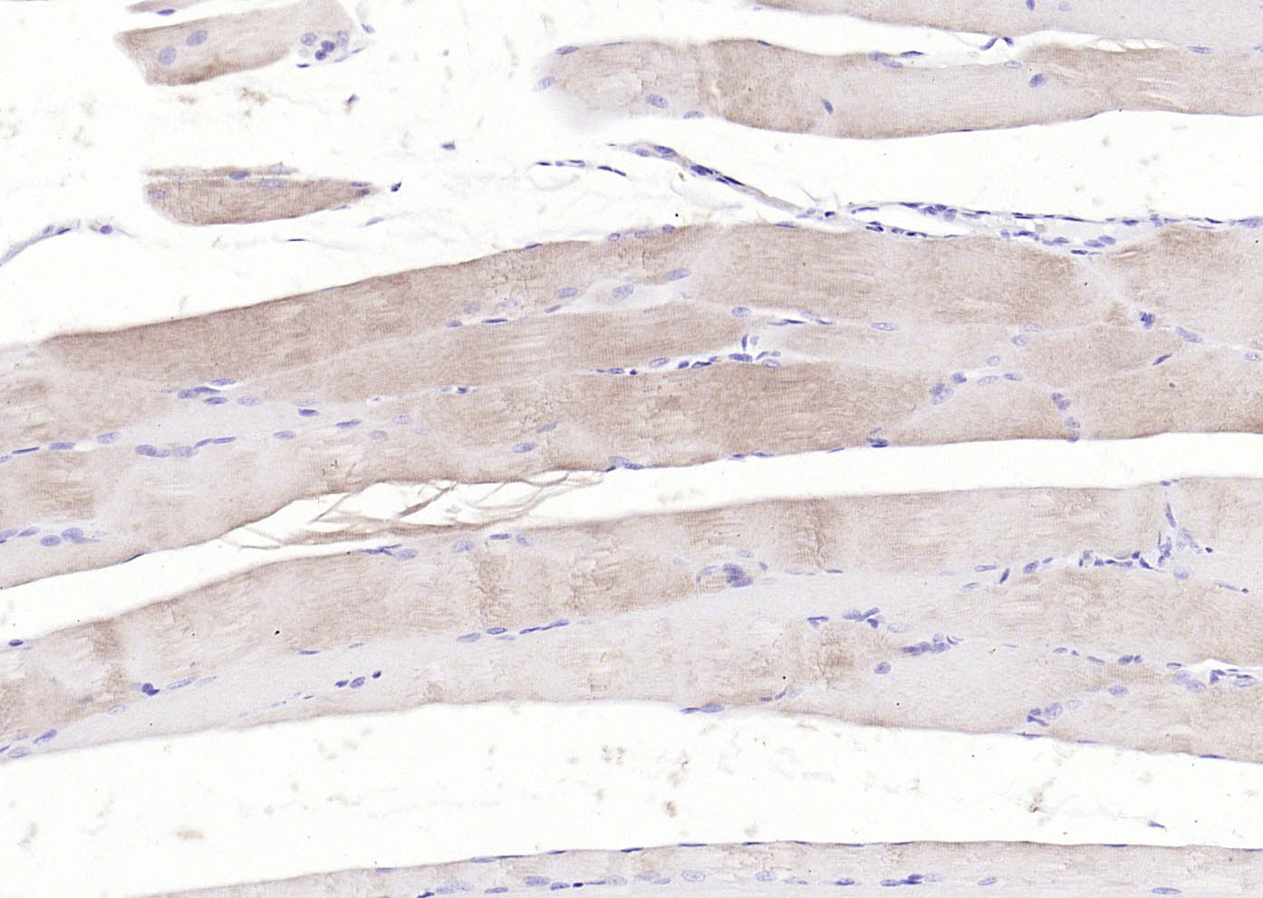
| 产品编号 | bs-10966R |
| 英文名称 | Actin Rabbit pAb |
| 中文名称 | 肌动蛋白α1抗体 |
| 英文别名 | muscle Actin; ACTS_HUMAN; Actin, alpha skeletal muscle; alpha-actin-1; ACTA1; ACTA; ASMA; CFTD; CFTD1; CFTDM; MPFD; NEM1; NEM2; NEM3; Actin alpha skeletal muscle; actin, alpha 1, skeletal muscle 1; actin, alpha 1, skeletal muscle; actina; aktin; alpha Actin 1; alpha skeletal muscle Actin; alpha skeletal muscle; alpha-actin; beta cytoskeletal actin; nemaline myopathy type 3. |
| 中文别名 | α-skeletal muscle actin; α Skeletal Muscle Actin. |
| 产品应用 | WB=1:500-2000, IHC-P=1:100-500, IHC-F=1:100-500, IF=1:100-500 Not yet tested in other applications. |
| 交叉反应 | Mouse, Rat (Human, Dog, Cow, Rabbit) |
| 抗体来源 | Rabbit |
| 免疫原 | KLH conjugated synthetic peptide derived from human ACTA1 |
| 亚型 | IgG |
| 性状 | Liquid |
| 纯化方法 | affinity purified by Protein A |
| 克隆类型 | Polyclonal |
| 理论分子量 | 42 kDa |
| 浓度 | 1mg/ml |
| 储存液 | 0.01M TBS (pH7.4) with 1% BSA, 0.02% Proclin300 and 50% Glycerol. |
| 研究领域 | Cancer > Cell Death > Apoptosis > Receptors > Death receptors & ligands > RIP Cancer > Invasion/microenvironment > Apoptosis > Death receptors & ligands > RIP Signal Transduction > Cytoskeleton / ECM > Cytoskeleton > Microfilaments > Actin etc > Actin Signal Transduction > Cytoskeleton / ECM > Cytoskeleton > Microfilaments > Actin etc > Actin Assembly Signal Transduction > Cytoskeleton / ECM > Cytoskeleton > Microfilaments > Actin etc > Actin Binding Proteins Signal Transduction > Cytoskeleton / ECM > Cytoskeleton > Microfilaments > Actin etc > Actin Crosslinking Signal Transduction > Cytoskeleton / ECM > Cytoskeleton > Microfilaments > Actin etc > Tropomyosin Signal Transduction > Cytoskeleton / ECM > Cytoskeleton > Microfilaments > Actin etc > Troponin Tags & Cell Markers > Subcellular Markers > Cytoskeleton > Actin |
| 亚基 | Polymerization of globular actin (G-actin) leads to a structural filament (F-actin) in the form of a two-stranded helix. Each actin can bind to 4 others. Identified in a complex composed of ACTA1, COBL, GSN AND TMSB4X. Interacts with TTID. Interacts (via its C-terminus) with USP25; the interaction occurs for all USP25 isoforms but is strongest for isoform USP25min muscle differentiating cells. |
| 亚细胞定位 | Cytoplasm, cytoskeleton. |
| 翻译后修饰 | Oxidation of Met-46 and Met-49 by MICALs (MICAL1, MICAL2 or MICAL3) to form methionine sulfoxide promotes actin filament depolymerization. MICAL1 and MICAL2 produce the (R)-S-oxide form. The (R)-S-oxide form is reverted by MSRB1 and MSRB2, which promote actin repolymerization.
Monomethylation at Lys-86 (K84me1) regulates actin-myosin interaction and actomyosin-dependent processes. Demethylation by ALKBH4 is required for maintaining actomyosin dynamics supporting normal cleavage furrow ingression during cytokinesis and cell migration. |
| 相似性 | Belongs to the actin family. |
| 功能 | Actins are highly conserved proteins that are involved in various types of cell motility and are ubiquitously expressed in all eukaryotic cells. |
| 保存条件 | Shipped at 4℃. Store at -20℃ for one year. Avoid repeated freeze/thaw cycles. |
| 注意事项 | This product as supplied is intended for research use only, not for use in human, therapeutic or diagnostic applications. |
| 背景资料 | The product encoded by this gene belongs to the actin family of proteins, which are highly conserved proteins that play a role in cell motility, structure and integrity. Alpha, beta and gamma actin isoforms have been identified, with alpha actins being a major constituent of the contractile apparatus, while beta and gamma actins are involved in the regulation of cell motility. This actin is an alpha actin that is found in skeletal muscle. Mutations in this gene cause nemaline myopathy type 3, congenital myopathy with excess of thin myofilaments, congenital myopathy with cores, and congenital myopathy with fiber-type disproportion, diseases that lead to muscle fiber defects. [provided by RefSeq, Jul 2008] |
| 应用 | 推荐稀释比例 |
| {WB} | {1:500-2000} |
| {IHC-P} | {1:100-500} |
| {IHC-F} | {1:100-500} |
| {IF} | {1:100-500} |


Bone (Mouse) Lysate at 40 ug
Primary: Anti-Actin (bs-10966R) at 1/300 dilution
Secondary: IRDye800CW Goat Anti-Rabbit IgG at 1/20000 dilution
Predicted band size: 42 kD
Observed band size: 42 kD

Heart (Mouse) Lysate at 40 ug
Primary: Anti-Actin (bs-10966R) at 1/300 dilution
Secondary: IRDye800CW Goat Anti-Rabbit IgG at 1/20000 dilution
Predicted band size: 42 kD
Observed band size: 42 kD

Muscle (Mouse) Lysate at 40 ug
Primary: Anti-Actin (bs-10966R) at 1/300 dilution
Secondary: IRDye800CW Goat Anti-Rabbit IgG at 1/20000 dilution
Predicted band size: 42 kD
Observed band size: 42 kD


风险提示:丁香通仅作为第三方平台,为商家信息发布提供平台空间。用户咨询产品时请注意保护个人信息及财产安全,合理判断,谨慎选购商品,商家和用户对交易行为负责。对于医疗器械类产品,请先查证核实企业经营资质和医疗器械产品注册证情况。
文献和实验[IF={{ 8.1 }}] {Teng Sun. et al.Synaptotagmin-1 attenuates myocardial programmed necrosis and ischemia/reperfusion injury through the mitochondrial pathway.CELL DEATH & DISEASE.2025 Jan 26;16(1):45.} {Immunoprecipitation} {human}
[IF={{ 7.5 }}] {Ji Hyun Oh. et al. SMEPPI: An indenone derivative that selectively inhibits M1 macrophage activation and enhances phagocytic activity. BIOMED PHARMACOTHER. 2025 Feb;183:117856} {WB} {Mouse}
[IF={{ 7.3 }}] {Chuanting Xu. et al. Histone deacetylase-mediated silencing of PSTPIP2 expression contributes to AAI-induced PANoptosis. BRIT J PHARMACOL. 2023 Dec;:} {ChIP} {Mouse}
[IF={{ 6.953 }}] {Meng Zhang. et al. Moutan Cortex polysaccharide ameliorates diabetic kidney disease via modulating gut microbiota dynamically in rats. Int J Biol Macromol. 2022 May;206:849} {WB} {Rat}
[IF={{ 6.953 }}] {Jinshan Wu. et al. Protection by Hosta ventricosa polysaccharides against oxidative damage induced by t-BHP in HepG2 cells via the JNK/Nrf2 pathway. Int J Biol Macromol. 2022 May;208:453} {WB} {Human}
Protein purification; actin Overview ACTIN The most abundant muscle and non-muscle cytoskeletal protein. MW 42 kDa, 374/375 amino acids; various isoforms; structure resolved at 2.8 Angstrom. [see also protocol ID 207,208,209]
常用的β-actin 引物序列 human actin f ctc cat cct ggc ctc gct gt human actin r gct gtc acc ttc acc gtt cc product size:268 rabbit actin r agt gcg acg tgg aca tcc g rabbit actin f tgg ctc taa cag tcc gcc tag product size:295 mouse actin r cgt
human actin f ctc cat cct ggc ctc gct gt human actin r gct gtc acc ttc acc gtt cc product size:268 rabbit actin r agt gcg acg tgg aca tcc g rabbit actin f tgg ctc taa cag tcc gcc ta product size:295 mouse actin r cgt tga cat ccg taa aga
技术资料暂无技术资料 索取技术资料





