万千商家帮你免费找货
0 人在求购买到急需产品
- 详细信息
- 技术资料
- 服务名称:
刚果红染色实验服务
- 提供商:
晶莱生物
- 规格:
样本
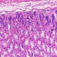
刚果红的原理:
刚果红筛选主要是根据菌落降解纤维素,可以形成降解圈,氯化钠冲洗再烘干后可以让降解圈看的更清楚,更易观察、它可以与像纤维素这样的多糖物质形成红色复合物,但并不和水解后的纤维二糖和葡萄糖发生这种反应.在含有纤维素的培养基中加入刚果红染色后,再Nacl用漂洗,Nacl可以使结合不牢的刚果红洗去,这样就留下大大小小的透明圈。
实验步骤:
1、石蜡切片脱蜡至水:依次将切片放入二甲苯Ⅰ20min-二甲苯Ⅱ20min-无水乙醇Ⅰ5min-无水乙醇Ⅱ5min-75%酒精5min,自来水洗。
2、刚果红染色:切片入刚果红染液1h,自来水洗2min。
3、背景分化:氢氧花钾溶液分化,至阳性斑块明显,背景基本无色,自来水洗。
4、苏木素染色:切片入苏木素染液染3-5min,自来水洗,分化液分化,自来水洗,返蓝液返蓝,流水冲洗。
5、脱水封片:切片依次放入无水乙醇I 5min -无水乙醇II 5min-无水乙醇Ⅲ5min -二甲苯Ⅰ5min -二甲苯Ⅱ5min透明,中性树胶封片。
6、显微镜镜检,图像采集分析。
结果判读:
淀粉样蛋白呈红色,细胞核呈浅蓝色。
注意事项:
1、区分甲状腺胶质、弹力纤维和胶原纤维,可能都会染成红色;
2、分化时要掌握恰当,分化不足,胶原纤维也呈红色,分化过度,淀粉样变蛋白也可脱色。

晶莱病理实验室:长沙实验室;北京实验室;提前预约免费上门取样!
更多病理学实验服务内容详情请咨询晶莱生物!
晶莱生物服务流程
收费标准/服务周期/提供结果:
欢迎咨询详谈,我们会根据您的方案及需求制定详细的服务协议。
更多实验技术服务请浏览网站其他内容,或来电咨询!
做实验,找晶莱!您的科研生涯,我们一路相伴!
【平台项目开展范围】慢病毒,腺病毒,RNAi类,分子生物实验,病理实验,免疫学实验,细胞实验,动物实验,蛋白组学实验,芯片类实验,并为广大客户朋友们提供课题设计指导、基金申请指导等服务。
【北京公司】北京经济技术开发区科创十三街12号院德为科技园1号楼5层
【长沙公司】长沙市高新区麓谷大道627号新长海中心A1-1203室
【晶莱生物】已开展了数千个实验外包项目。我们专注于医学课题研究,已从课题申请、方案设计、试剂采购、模型构造、标本检测、数据分析,各个环节积累了数千个成功案例经验,为数千个来自临床的科研工作者解决了大量的科研问题。更多相关实验服务信息请咨询晶莱生物
风险提示:丁香通仅作为第三方平台,为商家信息发布提供平台空间。用户咨询产品时请注意保护个人信息及财产安全,合理判断,谨慎选购商品,商家和用户对交易行为负责。对于医疗器械类产品,请先查证核实企业经营资质和医疗器械产品注册证情况。
技术资料暂无技术资料 索取技术资料
刚果红染色
¥60










