相关产品推荐更多 >
万千商家帮你免费找货
0 人在求购买到急需产品
- 详细信息
- 文献和实验
- 技术资料
- 免疫原:
Purified human PAPP-A
- 亚型:
IgG2b
- 形态:
Liquid
- 保存条件:
Store as concentrated solution. Centrifuge briefly prior to opening vial. Store at 4ºC.
- 克隆性:
Monoclonal
- 标记物:
Unconjugated
- 适应物种:
Human
- 保质期:
12 months from the shipping date of the product.
- 抗原来源:
Human
- 目录编号:
GTX60974
- 级别:
Primary Antibodies
- 库存:
Available
- 供应商:
GeneTex
- 宿主:
Mouse
- 应用范围:
WB, IHC-P, IHC-Fr, ELISA
- 浓度:
Batch dependent (Please refer to the vial label for the specific concentration.)
- 靶点:
This antibody is specific for native human PAPP-A. Heat and SDS denatured PAPP-A is also recognized, but not acid treated PAPP-A.
- 抗体英文名:
PAPP A antibody [9]
- 抗体名:
PAPP A 抗体 [9]
- 规格:
100 μl
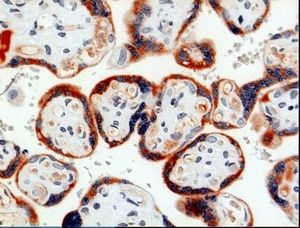
Staining is restricted to the syncytiotrophoblast of the chorionic villi in paraffin embedded human placenta tissue, stained with GTX60974.
Staining is restricted to the syncytiotrophoblast of the chorionic villi in frozen human placenta tissue, stained with GTX60974.
风险提示:丁香通仅作为第三方平台,为商家信息发布提供平台空间。用户咨询产品时请注意保护个人信息及财产安全,合理判断,谨慎选购商品,商家和用户对交易行为负责。对于医疗器械类产品,请先查证核实企业经营资质和医疗器械产品注册证情况。
文献和实验上海西唐生物科技有限公司 021-55229872, 65333639 www.westang.com 人妊娠相关蛋白A (PAPP-A)ELISA 试剂盒 ( 用于血清、血浆、细胞培养上清液和其它生物体液内 ) 原理 本实验采用双抗体夹心 ABC-ELISA 法。用抗人 PAPP-A 单抗包被于酶标板上,标准品和样品中的 PAPP-A与单抗结合,加入生物素化的抗人
上海西唐生物科技有限公司 021-55229872, 65333639 www.westang.com 兔妊娠相关蛋白A (PAPP-A)ELISA 试剂盒 ( 用于血清、血浆、细胞培养上清液和其它生物体液内 ) 原理 本实验采用双抗体夹心 ABC-ELISA 法。用抗兔 PAPP-A 单抗包被于酶标板上,标准品和样品中的 PAPP-A与单抗结合,加入生物
技术资料暂无技术资料 索取技术资料











