相关产品推荐更多 >
万千商家帮你免费找货
0 人在求购买到急需产品
- 详细信息
- 文献和实验
- 技术资料
- 免疫原:
Purified human PAPP-A
- 亚型:
IgG1
- 形态:
Liquid
- 保存条件:
Store as concentrated solution. Centrifuge briefly prior to opening vial. Store at 4ºC.
- 克隆性:
Monoclonal
- 标记物:
Unconjugated
- 适应物种:
Human
- 保质期:
12 months from the shipping date of the product.
- 抗原来源:
Human
- 目录编号:
GTX60973
- 级别:
Primary Antibodies
- 库存:
Available
- 供应商:
GeneTex
- 宿主:
Mouse
- 应用范围:
WB, IHC-P, ELISA
- 浓度:
Batch dependent (Please refer to the vial label for the specific concentration.)
- 靶点:
This antibody is specific for native human PAPP-A. Heat and SDS denatured PAPP-A is also recognized, but not acid treated PAPP-A .
- 抗体英文名:
PAPP A antibody [PAPP A 1-24]
- 抗体名:
PAPP A 抗体 [PAPP A 1-24]
- 规格:
100 μl
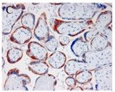
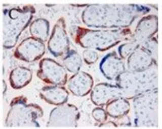
Immunohistochemical staining of a formalin-fixed, paraffin-embedded placental tissue with GTX60973
风险提示:丁香通仅作为第三方平台,为商家信息发布提供平台空间。用户咨询产品时请注意保护个人信息及财产安全,合理判断,谨慎选购商品,商家和用户对交易行为负责。对于医疗器械类产品,请先查证核实企业经营资质和医疗器械产品注册证情况。
文献和实验上海西唐生物科技有限公司 021-55229872, 65333639 www.westang.com 人妊娠相关蛋白A (PAPP-A)ELISA 试剂盒 ( 用于血清、血浆、细胞培养上清液和其它生物体液内 ) 原理 本实验采用双抗体夹心 ABC-ELISA 法。用抗人 PAPP-A 单抗包被于酶标板上,标准品和样品中的 PAPP-A与单抗结合,加入生物素化的抗人
上海西唐生物科技有限公司 021-55229872, 65333639 www.westang.com 兔妊娠相关蛋白A (PAPP-A)ELISA 试剂盒 ( 用于血清、血浆、细胞培养上清液和其它生物体液内 ) 原理 本实验采用双抗体夹心 ABC-ELISA 法。用抗兔 PAPP-A 单抗包被于酶标板上,标准品和样品中的 PAPP-A与单抗结合,加入生物
Models of Depression: Unpredictable Chronic Mild Stress in Mice
In the beginning of the UCMS protocol, the sawdust is changed 2 to 3 times per 24 hr, and up to 6 times per 24 hr at the end of the UCMS regimen. It is also possible to replace clean sawdust by soiled sawdust coming
技术资料暂无技术资料 索取技术资料










