相关产品推荐更多 >
万千商家帮你免费找货
0 人在求购买到急需产品
- 详细信息
- 文献和实验
- 技术资料
- 免疫原:
Recombinant fragment (around aa190-290) of human TMEM173 protein
- 亚型:
IgG2c
- 形态:
Liquid
- 保存条件:
Store as concentrated solution. Centrifuge briefly prior to opening vial. For short-term storage (1-2 weeks), store at 4ºC. For long-term storage, aliquot and store at -20ºC or below. Avoid multiple freeze-thaw cycles.
- 克隆性:
Monoclonal
- 标记物:
Unconjugated
- 保质期:
12 months from the shipping date of the product.
- 抗原来源:
Human
- 目录编号:
GTX04484
- 级别:
Primary Antibodies
- 库存:
Available
- 供应商:
GeneTex
- 宿主:
Mouse
- 应用范围:
IHC-P
- 浓度:
0.2 mg/ml (Please refer to the vial label for the specific concentration.)
- 抗体英文名:
MPYS antibody [MSVA-515M] HistoMAX
- 抗体名:
MPYS 抗体 [MSVA-515M] HistoMAX
- 规格:
500 μl
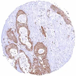
IHC-P analysis of human pancreatic ductal adenocarcinoma tissue section using GTX04484 MPYS antibody [MSVA-515M] HistoMAX.
Ductal adenocarcinoma with strong MPYS positivity of all tumor cells MPYS immunohistochemistry.
IHC-P analysis of human appendix mucosa tissue section using GTX04484 MPYS antibody [MSVA-515M] HistoMAX.
MPYS staining of inflammatory cells predominates in the interfollicular zone MPYS immunohistochemistry.
IHC-P analysis of human adrenal gland tissue section using GTX04484 MPYS antibody [MSVA-515M] HistoMAX.
MPYS staining of endothelial cells and of macrophages MPYS immunohistochemistry.
风险提示:丁香通仅作为第三方平台,为商家信息发布提供平台空间。用户咨询产品时请注意保护个人信息及财产安全,合理判断,谨慎选购商品,商家和用户对交易行为负责。对于医疗器械类产品,请先查证核实企业经营资质和医疗器械产品注册证情况。
文献和实验5% 脱脂奶粉,0.15 M NaClB:5% 脱脂奶粉封闭,一抗浓度:0.2 mg/mL,溶于 5% 脱脂奶粉,0.15 M NaClFig.1脱脂奶粉及 NaCl 浓度对实验结果的影响抗体:Human PTP1B Antibody (Catalog # AF1366)蛋白分离:人 HeLa 细胞 (Lane 1),MCF-7 (Lane 2) 和 TF-1 (Lane 3)(Fig.2)A. 5% 脱脂奶粉封闭,一抗浓度:1.0 mg/mL,溶于 2% 脱脂奶粉和 0.15 M NaClB
in hypotonic buffer without detergent). References 1. Kurayoshi, M., Yamamoto, H., Izumi, S., and Kikuchi, A. (2007) Post-translational palmitoylation and glycosylation of Wnt-5a are necessary for its signalling. Biochem J . 402 , 515-523. 2. Takada, R
Exploring Zebrafish Genomic, Functional and Phenotypic Data Using ZFIN
, gene expression, mutants, morphants, transgenics, anatomical structures, and antibodies. ZFIN's GBrowse genome viewer, BLAST, and protocol and antibody wikis are also discussed. Curr. Protoc. Bioinform. 31:1.18.1?1.18.44. © 2010 by John Wiley & Sons
技术资料暂无技术资料 索取技术资料








![MD2 antibody [9F1B1]](https://img1.dxycdn.com/2022/0328/769/4596980586119500453-14.jpg!wh200)


