研选同类产品更多 >
万千商家帮你免费找货
0 人在求购买到急需产品
- 详细信息
- 用户评价
- 文献和实验
- 技术资料
- 抗体英文名:
Akt(Phospho-Ser473) Antibody
- 靶点:
Akt
- 浓度:
1.0mg/ml
- 应用范围:
WB IHC
- 宿主:
Rabbit
- 适应物种:
Hu Ms Rt
- 克隆性:
多克隆
- 保存条件:
Store at -20℃
- 形态:
liquid
- 免疫原:
Peptide sequence around phosphorylation site of serine 473 (Q-F-S(p)-Y-S) derived from Human Akt.
- 规格:
50ul/100ul
Accession No.Swiss-Prot: P31749;NCBI Protein: NP_001014431.1
Alternative Names:C-AKT; PKB; PKB-alpha; RAC; RAC-PK-alpha;akt s473;akt 473;akt ser473 antibody
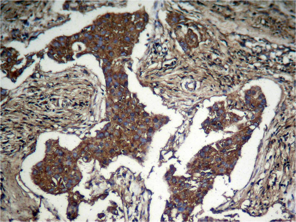
Images
Western blot analysis of extracts from 293 cells, treatedwith EGF or calf intestinal phosphatase (CIP), using Akt(Phospho-Ser473) Antibody #11054.

Western blot analysis of extracts from SK-BR-3 cells,treated with insulin and EGF, and pretreated with U0126and LY294002 cells using Akt (Phospho-Ser473) Antibody#11054.

Immunohistochemical analysis of paraffinembeddedhuman Lung carcinoma tissue usingAkt (Phospho-Ser473) Antibody #11054.

产品详细信息请点击:Akt(Phospho-Ser473) Antibody
Signalway Antibody(SAB)
集研发、生产、销售为一体的专业生物企业,致力于为全球的生命科学研究者提供高效、快捷的
研究工具。公司拥有17年的抗体试剂研发和生产经验,目前已有近2,000种特色磷酸化、甲基/乙酰化
的修饰抗体、180,000种荧光标记抗体、20,000多种总蛋白抗体、以及标签抗体、二抗抗体、重组蛋
白/细胞因子、ELISA试剂盒等。产品广泛应用于细胞信号转导、肿瘤研究、神经科学、表观遗传学等
生命科学研究领域。
风险提示:丁香通仅作为第三方平台,为商家信息发布提供平台空间。用户咨询产品时请注意保护个人信息及财产安全,合理判断,谨慎选购商品,商家和用户对交易行为负责。对于医疗器械类产品,请先查证核实企业经营资质和医疗器械产品注册证情况。
用户评价
暂无用户评价
文献和实验PMID: 32172207
Glutathione S-transferases P1 protects breast cancer cell from adriamycIn-Induced cell death through promotIng autophagy. In Cell Death Differ on 2019 Jan 25 by Dong X, Yang Y, et al.. PMID: 30683915, , (2019),
PMID: 30683915
RheIn from Rheum rhabarbarum inhibits Hydrogen-Peroxide-Induced Oxidative Stress in intestInal Epithelial Cells Partly through PI3K/Akt-Mediated Nrf2/HO-1 Pathways. In J Agric Food Chem on 2019 Mar 6, by Zhuang S, Yu R, et al..PMID: 30779558, , (2019),
PMID: 30779558
Biased G ProteIn-Independent SignalIng of DopamIne D1-D3 Receptor Heteromers In the Nucleus Accumbens. In Mol Neurobiol on 2019 Mar 27 by Guitart X, Moreno E et al.. PMID:30919214, , (2019),
PMID: 30919214
Activation of Akt/FoxO signaling pathway contributes to induction of neuroprotection against transient global cerebral ischemia by hypoxic pre-conditioning
PMID:20492357
米宝 这俩天做实验,极其郁闷。我做的总AKt和pAkt,大鼠脑组织,第一次跑总AKT的时候,我觉得可能是因为蛋白是提取的浓度比较好吧,出来了一条浓浓的条带,三组总AKt都出了,接下来做pAkt,就出了一个带,效果挺明显的。后来再做pAkt的时候,跑了4张膜,显影的时候,太干净了,上面什么都没有,甚至连个杂带,斑点 都没!实验是在实验员的领导下完成的,技术上基本没什么纰漏,查阅本版面有关这问题方面的介绍,有的解释说pakt降解了!一抗是用的Phospho-Akt
出来的.像前面几位战友说的那样,可以考虑加大上样量 2. 是否WB的条件不好? 可以跑其他蛋白的WB看看,如果其他蛋白质都跑出来的很好的话, 可以考虑换个抗体试一试,,但是话说回来,cell signaling的p-AKT 很好的,我也用了好几年.ser473和T308都不错的. 3. 条带弱的话,可以用 can get sinal 去提高抗体的敏感度. BTW, 我自己跑p-akt的时候, 1抗是1:1500 2抗是 1:20000 good luck
全相同. 不管是总量变化, 还是磷酸化变化, 都能够进行讨论 赞同! 楼主还是要多看文献参考参考才行。 通吃 我觉着那要看你的研究目的了吧 只有完全磷酸化了的Akt,即Ser473 Thr308位点都磷酸化之后,Akt激酶的活性才能充分发挥的。 doctormy licanming wrote: 有区别的!要看你观察的实验指标与磷酸化哪个残基
技术资料暂无技术资料 索取技术资料












