研选同类产品更多 >
万千商家帮你免费找货
0 人在求购买到急需产品
- 详细信息
- 用户评价
- 文献和实验
- 技术资料
- 抗体英文名:
Raf1(Phospho-Ser259) Antibody
- 靶点:
Raf1
- 浓度:
1.0mg/ml
- 应用范围:
WB IHC
- 宿主:
Rabbit
- 适应物种:
Hu Ms Rt
- 克隆性:
Polyclonal
- 保存条件:
Store at -20℃
- 形态:
liquid
- 免疫原:
Peptide sequence around phosphorylation site of serine 259 (S-T-S(p)-T-P) derived from Human Raf1.
Raf1(Phospho-Ser259) Antibody
Host Species:
Rabbit
Clonality:
Polyclonal
Purification:
Antibodies were produced by immunizing rabbits with synthetic phosphopeptide and KLH conjugates. Antibodies were purified by affinity-chromatography using epitope-specific phosphopeptide. Non-phospho specific antibodies were removed by chromatogramphy using non-phosphopeptide.
Applications:
WB IHC
Species Reactivity:
Hu Ms Rt
Specificity:
The antibody detects endogenous level of Raf-1 only when phosphorylated at serine 259.
Immunogen Type:
Peptide-KLH
Immunogen Description:
Peptide sequence around phosphorylation site of serine 259 (S-T-S(p)-T-P) derived from Human Raf1.
Target Name:
Raf1
Modification:
Phospho
Alternative Names:
C-RAF; C-Raf; CRAF
Accession No.:
Swiss-Prot: P04049
NCBI Protein: NP _002871.1
Concentration :
1.0mg/ml
Images:

Western blot analysis of extracts from 293 and MDA cells untreated or treated with PMA using Raf1(Phospho-Ser259) Antibody #11006.

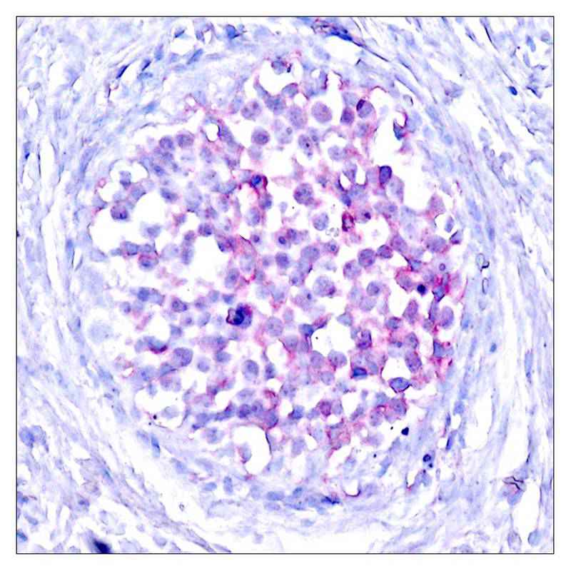
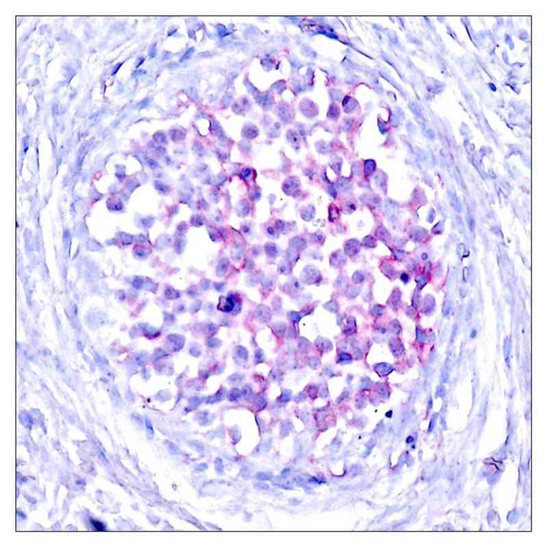
Immunohistochemical analysis of paraffin-embedded human breast carcinoma tissue using Raf1(Phospho-Ser259) Antibody #11006.
风险提示:丁香通仅作为第三方平台,为商家信息发布提供平台空间。用户咨询产品时请注意保护个人信息及财产安全,合理判断,谨慎选购商品,商家和用户对交易行为负责。对于医疗器械类产品,请先查证核实企业经营资质和医疗器械产品注册证情况。
用户评价
暂无用户评价
文献和实验PMID: 29440765
Mycoplasma ovipneumoniae induces sheep airway epithelial cell apoptosis through an ERK signalling-mediated mitochondria pathway. In BMC Microbiol on 2016 Sep 23 by Yanan Li, Zhongjia Jiang,et al..PMID:27663303, , (2016),
PMID: 27663303
Effect of Chaihushugan San on Expression of the Raf/mitogen-activated Protein Kinase/Extracellular Signal-Regulated Kinase Pathway in the Hippocampi of Perimenopausal Rats Induced by Immobilization Stress .In J Tradit Chin Med on 2015 Aug by Li Shengqiang, Liang Wenna et al..PMID:26427116, , (2015),
PMID: 26427116
Exosomes Derived From Human Mesenchymal Stem Cells Confer Drug Resistance in Gastric Cancer.In Cell Cycle on 2015 Aug 3 by Runbi Ji , Bin Zhang et al..PMID:26091251, , (2015),
PMID: 26091251
licanming 我的实验是用VEGF处理细胞后测定细胞PKC激活水平,拟采用Western blot的方法,用ECL法检测,这样分析PKC激活程度结果国际上认可吗? 我在Cell Signaling Technology上,查到 2261 Phospho-(Ser) PKC Substrate Antibody W IP E D 9371 Phospho-PKC (pan) (betaII Ser660) Antibody W IP
antibody dilution buffer: TBS-T supplemented with2% (w/v) BSA. 6. Antibodies: Phospho-b-catenin Ser33/Ser37/Thr41, phospho-glycogen synthase Ser641, and glycogen synthase (CellSignaling Technologies, Beverly, MA); b-catenin and GSK-3b(BD PharMingen, San
domains as well as ataxia telangiectasia mutated (ATM) protein kinase in cells treated with inhibitors of DNA replication. Phosphorylation of these proteins is detected in individual cell immunocytochemically with phospho-specific antibody (Ab













