相关产品推荐更多 >
万千商家帮你免费找货
0 人在求购买到急需产品
- 详细信息
- 文献和实验
- 技术资料
- 免疫原:
Full length human recombinant protein of human RASD2 (NP_055125) produced in HEK293T cell.
- 亚型:
IgG2a
- 形态:
Liquid
- 保存条件:
Store as concentrated solution. Centrifuge briefly prior to opening vial. For short-term storage (1-2 weeks), store at 4ºC. For long-term storage, aliquot and store at -20ºC or below. Avoid multiple freeze-thaw cycles.
- 克隆性:
Monoclonal
- 标记物:
Unconjugated
- 适应物种:
Human, Dog, Monkey
- 保质期:
12 months from the shipping date of the product.
- 抗原来源:
Human
- 目录编号:
GTX83722
- 级别:
Primary Antibodies
- 库存:
Available
- 供应商:
GeneTex
- 宿主:
Mouse
- 应用范围:
WB, IHC-P, FACS
- 浓度:
0.66 mg/ml (Please refer to the vial label for the specific concentration.)
- 靶点:
RASD2
- 抗体英文名:
RASD2 antibody [1G1]
- 抗体名:
RASD2 抗体 [1G1]
- 规格:
100 μl
IHC-P analysis of human liver tissue using GTX83722 RASD2 antibody [1G1].
WB analysis of HEK293T cells transfected with RASD2 plasmid (Right) or empty vector (Left) for 48 hrs using GTX83722 RASD2 antibody [1G1].
Loading : 5 ug per lane
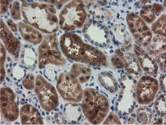
IHC-P analysis of human kidney tissue using GTX83722 RASD2 antibody [1G1].
WB analysis of various cell lines using GTX83722 RASD2 antibody [1G1].
Loading : 35 ug per lane
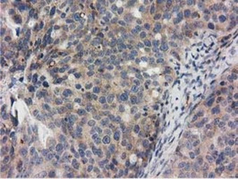
IHC-P analysis of human pancreas tissue using GTX83722 RASD2 antibody [1G1].
IHC-P analysis of human endometrium adenocarcinoma tissue using GTX83722 RASD2 antibody [1G1].
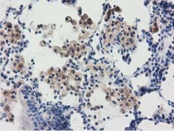
IHC-P analysis of human lung carcinoma tissue using GTX83722 RASD2 antibody [1G1].
IHC-P analysis of human ovary adenocarcinoma tissue using GTX83722 RASD2 antibody [1G1].
IHC-P analysis of human bladder carcinoma tissue using GTX83722 RASD2 antibody [1G1].
IHC-P analysis of human lymph node tissue using GTX83722 RASD2 antibody [1G1].
FACS analysis of HeLa cells using GTX83722 RASD2 antibody [1G1].
Red : Primary antibody
Blue : Negative control antibody
风险提示:丁香通仅作为第三方平台,为商家信息发布提供平台空间。用户咨询产品时请注意保护个人信息及财产安全,合理判断,谨慎选购商品,商家和用户对交易行为负责。对于医疗器械类产品,请先查证核实企业经营资质和医疗器械产品注册证情况。
文献和实验[资源] 所有的看家基因(housekeeping genes)列表+引物设计服务
1 (ATP6V1G1), mRNA 928 NM_003334 Homo sapiens ubiquitin-activating enzyme E1 (A1S9T and BN75 temperature sensitivity complementing) (UBE1), transcript variant 1, mRNA 1351 NM_001320 Homo sapiens casein kinase 2, beta polypeptide (CSNK2B ), mRNA 1233
技术资料暂无技术资料 索取技术资料







![VRK1 antibody [1F6]](https://img1.dxycdn.com/2022/0328/066/1542294034165500453-14.jpg!wh200)
![Ubiquitin antibody [1B4-UB]](https://img1.dxycdn.com/2022/0328/205/9844748297938300453-14.jpg!wh200)


