相关产品推荐更多 >
万千商家帮你免费找货
0 人在求购买到急需产品
- 详细信息
- 文献和实验
- 技术资料
- 免疫原:
Synthetic peptide of human CXCR4.
- 亚型:
IgG
- 形态:
Liquid
- 保存条件:
Store as concentrated solution. Centrifuge briefly prior to opening vial. For short-term storage (1-2 weeks), store at 4ºC. For long-term storage, aliquot and store at -20ºC or below. Avoid multiple freeze-thaw cycles.
- 克隆性:
Monoclonal
- 标记物:
Unconjugated
- 保质期:
12 months from the shipping date of the product.
- 抗原来源:
Human
- 目录编号:
GTX638646
- 级别:
Primary Antibodies
- 库存:
Available
- 供应商:
GeneTex
- 宿主:
Rabbit
- 应用范围:
WB, IHC-P
- 浓度:
1 mg/ml (Please refer to the vial label for the specific concentration.)
- 抗体英文名:
CXCR4 antibody [HL2424]
- 抗体名:
CXCR4 抗体 [HL2424]
- 规格:
100 μl/25 μl
| 规格: | 100 μl | 产品价格: | ¥4000.0 |
|---|---|---|---|
| 规格: | 25 μl | 产品价格: | ¥1700.0 |
Non-transfected (–) and transfected (+) unboiled Jurkat whole cell extracts (30 μg) were separated by 10% SDS-PAGE, and the membrane was blotted with CXCR4 antibody [HL2424] (GTX638646) diluted at 1:1000. The HRP-conjugated anti-rabbit IgG antibody (GTX213110-01) was used to detect the primary antibody.
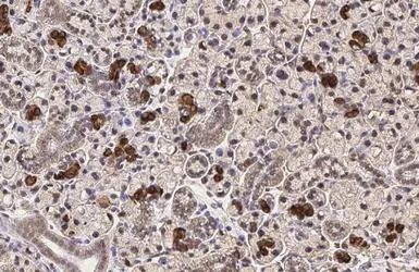
CXCR4 antibody [HL2424] detects CXCR4 protein by immunohistochemical analysis.
Sample: Paraffin-embedded mouse salivary gland tissues.
CXCR4 stained by CXCR4 antibody [HL2424] (GTX638646) diluted at 1:100.
Antigen Retrieval: Citrate buffer, pH 6.0, 15 min
Non-transfected (–) and transfected (+) boiled and unboiled 293T whole cell extracts (30 μg) were separated by 10% SDS-PAGE, and the membrane was blotted with CXCR4 antibody [HL2424] (GTX638646) diluted at 1:1000. The HRP-conjugated anti-rabbit IgG antibody (GTX213110-01) was used to detect the primary antibody.
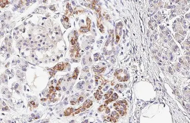
CXCR4 antibody [HL2424] detects CXCR4 protein at cell membrane and cytoplasm by immunohistochemical analysis.
Sample: Paraffin-embedded human pancreatic cancer.
CXCR4 stained by CXCR4 antibody [HL2424] (GTX638646) diluted at 1:500.
Antigen Retrieval: Citrate buffer, pH 6.0, 15 min
风险提示:丁香通仅作为第三方平台,为商家信息发布提供平台空间。用户咨询产品时请注意保护个人信息及财产安全,合理判断,谨慎选购商品,商家和用户对交易行为负责。对于医疗器械类产品,请先查证核实企业经营资质和医疗器械产品注册证情况。
文献和实验上海西唐生物科技有限公司 021-55229872, 65333639 www.westang.com 大鼠 Fusin(CXCR4)ELISA 试剂盒 ( 用于血清、血浆、细胞培养上清液和其它生物体液内 ) 原理 本实验采用双抗体夹心 ABC-ELISA 法。用抗大鼠 CXCR4 单抗包被于酶标板上,标准品和样品中的 CXCR4 与单抗结合,加入生物素化的抗大鼠 CXCR4 ,形成免疫复合
上海西唐生物科技有限公司 021-55229872, 65333639 www.westang.com 小鼠CXCR4 ( CXCR - 4 )ELISA 试剂盒 ( 用于血清、血浆、细胞培养上清液和其它生物体液内 ) 原理 本实验采用双抗体夹心 ABC-ELISA 法。用抗小鼠趋化因子受体-4( CXCR4 )单抗包被于酶标板上,标准品和样品中的 CXCR4
Chemokine control of HIV-1 infection
(the CCR2V64I receptor), which helps to delay the development of AIDS in HIV-1-infected individuals, and the CCR5 or CXCR4 chemokine receptor, which are used by HIV to gain entry into cells. These results may explain why AIDS takes longer to develop in HIV
技术资料暂无技术资料 索取技术资料






![JAK2 antibody [1C1]](https://img1.dxycdn.com/2022/0328/188/1615461566637500453-14.jpg!wh200)




