相关产品推荐更多 >
万千商家帮你免费找货
0 人在求购买到急需产品
- 详细信息
- 文献和实验
- 技术资料
- 免疫原:
Recombinant full-length human MUC18 protein
- 亚型:
IgG1
- 形态:
Liquid
- 保存条件:
Store as concentrated solution. Centrifuge briefly prior to opening vial. For short-term storage (1-2 weeks), store at 4ºC. For long-term storage, aliquot and store at -20ºC or below. Avoid multiple freeze-thaw cycles.
- 克隆性:
Monoclonal
- 标记物:
Unconjugated
- 适应物种:
Human
- 保质期:
12 months from the shipping date of the product.
- 抗原来源:
Human
- 目录编号:
GTX34461
- 级别:
Primary Antibodies
- 库存:
Available
- 供应商:
GeneTex
- 宿主:
Mouse
- 应用范围:
ICC/IF, IHC-P, FACS
- 浓度:
0.2 mg/ml (Please refer to the vial label for the specific concentration.)
- 靶点:
CD146
- 抗体英文名:
CD146 antibody [MUC18/1130]
- 抗体名:
CD146 抗体 [MUC18/1130]
- 规格:
100 μg
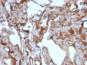
IHC-P analysis of human melanoma tissue using GTX34461 CD146 antibody [MUC18/1130].
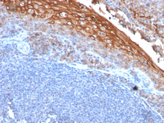
IHC-P analysis of human tonsil tissue using GTX34461 CD146 antibody [MUC18/1130].
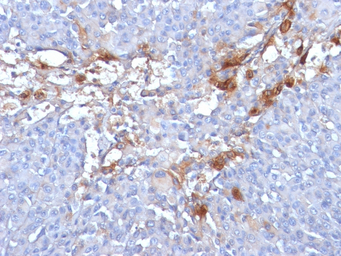
IHC-P analysis of human melanoma tissue using GTX34461 CD146 antibody [MUC18/1130].
风险提示:丁香通仅作为第三方平台,为商家信息发布提供平台空间。用户咨询产品时请注意保护个人信息及财产安全,合理判断,谨慎选购商品,商家和用户对交易行为负责。对于医疗器械类产品,请先查证核实企业经营资质和医疗器械产品注册证情况。
文献和实验Zhang G et al., Oncol Lett 2020 (PMID:32382335)
人可溶性CD146分子(sCD146)ELISA试剂盒 说明书
人可溶性CD146 分子 ( sCD146 )ELISA 试剂盒 ( 用于血清、血浆、细胞培养上清液和其它生物体液内 ) 原理 本实验采用双抗体夹心 ABC-ELISA 法。用抗人 sCD146 单抗包被于酶标板上,标准品和样品中的 sCD146与单抗结合,加入生物素化的抗人 sCD146 ,形成免疫复合物连接在板上,辣根过氧化物酶标记的 Streptavidin 与生物素结合,加入底物工作液显蓝色,最后
Antidiv (YA3498) (HY-P80983) www.medchemexpress.cn/antibody/cdx2-antibody.html 可用于结直肠癌组织的免疫组化分析 MUC2 Antidiv (YA5899) (HY-P86207) www.medchemexpress.cn/antibody/muc2-antibody-ya5899.html 可用于结直肠癌组织的免疫组化分析 SATB2 Antidiv (YA842) (HY-P80958) www.medchemexpress
A Method to Isolate, Purify, and Characterize Human Periodontal Ligament Stem Cells
on the expression of MSC-associated surface markers STRO-1 antigen, CD146 (MUC-18), CD29 (integrin β-1), CD44, and CD106 (VCAM-1). Although no single antibody demonstrates specificity for MSCs, isolation based on the expression of individual markers results
技术资料暂无技术资料 索取技术资料











