相关产品推荐更多 >
万千商家帮你免费找货
0 人在求购买到急需产品
- 详细信息
- 文献和实验
- 技术资料
- 免疫原:
Purified recombinant fragment of SRA expressed in E. Coli.
- 亚型:
IgG1
- 形态:
Liquid
- 保存条件:
Store as concentrated solution. Centrifuge briefly prior to opening vial. For short-term storage (1-2 weeks), store at 4ºC. For long-term storage, aliquot and store at -20ºC or below. Avoid multiple freeze-thaw cycles.
- 克隆性:
Monoclonal
- 标记物:
Unconjugated
- 适应物种:
Human
- 保质期:
12 months from the shipping date of the product.
- 抗原来源:
Human
- 目录编号:
GTX83331
- 级别:
Primary Antibodies
- 库存:
Available
- 供应商:
GeneTex
- 宿主:
Mouse
- 应用范围:
WB, IHC-P, ELISA
- 靶点:
SRA
- 抗体英文名:
SRA antibody [7H1G1]
- 抗体名:
SRA 抗体 [7H1G1]
- 规格:
100 μl
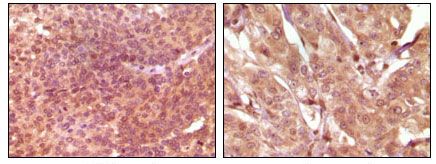
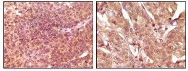
IHC-P analysis of human bladder carcinoma (left) and breast carcinoma (right) using GTX83331 SRA antibody [7H1G1].
WB analysis of truncated SRA recombinant protein (1) and human ovary cancer tissue lysate (2) using GTX83331 SRA antibody [7H1G1].
风险提示:丁香通仅作为第三方平台,为商家信息发布提供平台空间。用户咨询产品时请注意保护个人信息及财产安全,合理判断,谨慎选购商品,商家和用户对交易行为负责。对于医疗器械类产品,请先查证核实企业经营资质和医疗器械产品注册证情况。
文献和实验Generation of Antibody Molecules Through Antibody Engineering
been overcome to a large extent using genetic-engineering techniques to produce chimeric mouse/human and completely human antibodies. Such an approach is particularly suitable because of the domain structure of the antibody molecule ( 2 ), where functional
Materials 0.1M NaHC03 pH9 DMSO NHS-Biotin (N-Hydroxysuccinimidobiotin, Sigma #H-1759) PBS Procedure Dialyze the sample against carbonate buffer. After dialysis, adjust
Purification, Quantification, and Functional Analysis of Complement Factor H
Complement Factor H (FH) is an abundant, non-enzymic plasma/serum glycoprotein, which has a major role in regulating activation of the complement system. It can be purified from human plasma/serum by affinity chromatography, using
技术资料暂无技术资料 索取技术资料





![BMP4 antibody [6B7]](https://img1.dxycdn.com/2022/0328/393/1412613026188500453-14.jpg!wh200)



![RBM14 antibody [N1N2], N-term](https://img1.dxycdn.com/2022/0328/734/5601248783229200453-14.jpg!wh200)

