相关产品推荐更多 >
万千商家帮你免费找货
0 人在求购买到急需产品
- 详细信息
- 文献和实验
- 技术资料
- 免疫原:
Synthesized peptide of human CD133.
- 亚型:
IgG1
- 形态:
Liquid
- 保存条件:
Store as concentrated solution. Centrifuge briefly prior to opening vial. For short-term storage (1-2 weeks), store at 4ºC. For long-term storage, aliquot and store at -20ºC or below. Avoid multiple freeze-thaw cycles.
- 克隆性:
Monoclonal
- 标记物:
Unconjugated
- 适应物种:
Human
- 保质期:
12 months from the shipping date of the product.
- 抗原来源:
Human
- 目录编号:
GTX60471
- 级别:
Primary Antibodies
- 库存:
Available
- 供应商:
GeneTex
- 宿主:
Mouse
- 应用范围:
IHC-P, FACS, ELISA
- 靶点:
CD133
- 抗体英文名:
CD133 antibody [3F10]
- 抗体名:
CD133 抗体 [3F10]
- 规格:
100 μl
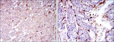
IHC-P analysis of human breast cancer tissues (left) and human esophageal cancer tissues (right) using GTX60471 CD133 antibody [3F10]
ELISA analysis of antigen using GTX60471 CD133 antibody [3F10].
Red : Control antigen 100ng
Purple : Antigen 10ng
Green : Antigen 50ng
Blue : Antigen 100ng
FACS analysis of HeLa cells using GTX60471 CD133 antibody [3F10].
Blue : CD133
Red : negative control
风险提示:丁香通仅作为第三方平台,为商家信息发布提供平台空间。用户咨询产品时请注意保护个人信息及财产安全,合理判断,谨慎选购商品,商家和用户对交易行为负责。对于医疗器械类产品,请先查证核实企业经营资质和医疗器械产品注册证情况。
文献和实验Luna ECM et al., Asian Pac J Cancer Prev 2020 (PMID:32986345)
Kim J et al., J Gastrointest Oncol 2021 (PMID:34532091)
Luna, Ealber Carvalho Macedo et al., 0 2015
【转贴】immunofluorescence staining
, or 6 well TC trays.Small round coverslips will fit into 24 well trays for processing. Since larger volumes of buffers, etc. are required for Coplin jars, using the "drop" method of immunostaining may conserve antibody.Place the coverslips in a petri dish
Transplantation Models to Characterize the Mechanisms of Stem Cell–Induced Islet Regeneration
Cocktail name Antibodies (clone, antibody, fluorochrome) Suggested concentration/tube (ng/ml
Intracellular Immunofluorescent Staining for Flow Cytometry
Guide Mouse Cytokines: Intracellular Staining Quick Guide Mouse Cytokine Cell Source Activation Incubation Time Restimulation Intracellular Block Antibody
技术资料暂无技术资料 索取技术资料





![Thyroid Hormone Receptor beta antibody [SPM222]](https://img1.dxycdn.com/2022/0328/499/0726842128918300453-14.jpg!wh200)





