相关产品推荐更多 >
万千商家帮你免费找货
0 人在求购买到急需产品
- 详细信息
- 文献和实验
- 技术资料
- 免疫原:
Recombinant fragment of human Factor XIIIa protein (aa46-181)
- 亚型:
IgG
- 形态:
Liquid
- 保存条件:
Store as concentrated solution. Centrifuge briefly prior to opening vial. Store at 4ºC.
- 克隆性:
Monoclonal
- 标记物:
Unconjugated
- 适应物种:
Human
- 保质期:
12 months from the shipping date of the product.
- 抗原来源:
Human
- 目录编号:
GTX02636
- 级别:
Primary Antibodies
- 库存:
Available
- 供应商:
GeneTex
- 宿主:
Rabbit
- 应用范围:
IHC-P
- 浓度:
200 μg/ml (Please refer to the vial label for the specific concentration.)
- 靶点:
Factor XIIIa
- 抗体英文名:
Factor XIIIa antibody [F13A1/3772R]
- 抗体名:
Factor XIIIa 抗体 [F13A1/3772R]
- 规格:
100 μg
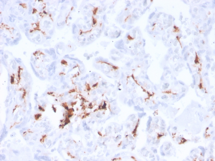
IHC-P analysis of human placenta tissue section using GTX02636 Factor XIIIa antibody [F13A1/3772R].
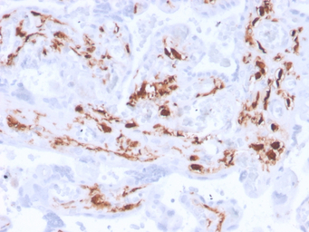
IHC-P analysis of human placenta tissue section using GTX02636 Factor XIIIa antibody [F13A1/3772R].
风险提示:丁香通仅作为第三方平台,为商家信息发布提供平台空间。用户咨询产品时请注意保护个人信息及财产安全,合理判断,谨慎选购商品,商家和用户对交易行为负责。对于医疗器械类产品,请先查证核实企业经营资质和医疗器械产品注册证情况。
文献和实验Anticardiolipin Antibody and Anti-beta 2 Glycoprotein I Antibody Assays
Antiphospholipid syndrome (APS) is an autoimmune disease and is a risk factor for a number of clinical manifestations; the classic presentations include fetal death or thrombosis (arterial or venous thromboembolism), in the presence
8.0) in clean 16x125mm polypropylene test tube. If needed, adjust pH to 8.0 using 0.5M carbonate buffer. 2. Prepare fresh, 1mg/mL of either NHS-FITC in DMSO or 1mg/mL NHS-LC-Biotin in DH2O. If FITC coupling, add 75uL of FITC/DMSO solution to Antibody
8.0) in clean 16x125mm polypropylene test tube. If needed, adjust pH to 8.0 using 0.5M carbonate buffer. 2. Prepare fresh, 1mg/mL of either NHS-FITC in DMSO or 1mg/mL NHS-LC-Biotin in DH2O. If FITC coupling, add 75uL of FITC/DMSO solution to Antibody
技术资料暂无技术资料 索取技术资料





![Dengue virus NS2B protein antibody [HL2513]](https://custom.dxycdn.com/trademd/upload/pic/2013/11/12/A1383891150.jpg!small.t.1)
![PAK2 antibody [3B5]](https://img1.dxycdn.com/2022/0328/656/6830409420177500453-14.jpg!wh200)
![alpha 1 Antitrypsin antibody [TMF1#4B5]](https://img1.dxycdn.com/2022/0328/506/1525042186127300453-14.jpg!wh200)

![Transferrin antibody [PTF-02]](https://img1.dxycdn.com/2022/0328/758/7970040472885500453-14.jpg!wh200)

