相关产品推荐更多 >
万千商家帮你免费找货
0 人在求购买到急需产品
- 详细信息
- 文献和实验
- 技术资料
- 免疫原:
KLH-conjugated synthetic peptide encompassing a sequence within the C-term region of Cyclin D1. The exact sequence is proprietary.
- 亚型:
IgG
- 形态:
Liquid
- 保存条件:
Store as concentrated solution. Centrifuge briefly prior to opening vial. For short-term storage (1-2 weeks), store at 4ºC. For long-term storage, aliquot and store at -20ºC or below. Avoid multiple freeze-thaw cycles.
- 克隆性:
Polyclonal
- 标记物:
Unconjugated
- 适应物种:
Human, Rat
- 保质期:
12 months from the shipping date of the product.
- 抗原来源:
Human
- 目录编号:
GTX54957
- 级别:
Primary Antibodies
- 库存:
Available
- 供应商:
GeneTex
- 宿主:
Rabbit
- 应用范围:
WB, IHC-P
- 浓度:
Batch dependent (Please refer to the vial label for the specific concentration.)
- 靶点:
Cyclin D1 (phospho Thr286)
- 抗体英文名:
Cyclin D1 (phospho Thr286) antibody
- 抗体名:
Cyclin D1 (phospho Thr286) 抗体
- 规格:
100 μl
WB analysis of EGF-treated MCF7 (A), rat muscle (B) whole cell lysates using GTX54957 Cyclin D1 (phospho Thr286) antibody.
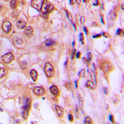
IHC-P analysis of formalin fixed human breast cancer tissue section using GTX54957 Cyclin D1 (phospho Thr286) antibody.
Antigen retrieval : Heat mediated antigen retrieval with sodium citrate buffer (pH 6.0)
风险提示:丁香通仅作为第三方平台,为商家信息发布提供平台空间。用户咨询产品时请注意保护个人信息及财产安全,合理判断,谨慎选购商品,商家和用户对交易行为负责。对于医疗器械类产品,请先查证核实企业经营资质和医疗器械产品注册证情况。
文献和实验Park SH et al., Oncology Letters 2017
Park SH et al., Oncol Lett 2017 (PMID:29344143)
Immunodetection of cyclin D1 and D2/D3 using flow cytometry
. It has been tested with antibodies against cyclin D1 (Pharmingen cat. no. 14561A, clone G12-4326), cyclin D2/D3 (cat. no. 14711A, clone G107-22) and cyclin E Procedure Prepare the cell type of interest as a single cell suspension and wash once with cold PBS
Immunodetection of cyclin D1 and D2/D3 using 488/630 nm dual laser flow cytometr(图)
. It has been tested with antibodies against cyclin D1 (Pharmingen cat. no. 14561A, clone G12-4326), cyclin D2/D3 (cat. no. 14711A, clone G107-22) and cyclin E, and is based on protocols originally designed by Z. Darzynkiewicz and colleagues. Although FITC-conjugated
Disorders of the cell cycle regulatory machinery play a key role in the pathogenesis of cancer. The gene encoding the cyclin D1 protein, a regulator of the progression from the G1- to S-phase, is often found disrupted in the cancer cell
技术资料暂无技术资料 索取技术资料






![NCAM antibody [OTI1G4]](https://custom.dxycdn.com/trademd/upload/pic/2013/11/12/A1383891150.jpg!small.t.1)
![Flotillin 1 antibody [C3], C-term](https://img1.dxycdn.com/2022/0328/260/6344803979665200453-14.jpg!wh200)


