相关产品推荐更多 >
万千商家帮你免费找货
0 人在求购买到急需产品
- 详细信息
- 文献和实验
- 技术资料
- 免疫原:
Purified recombinant fragment of human HSPA4(AA : 422-609) expressed in E. Coli.
- 亚型:
IgG1
- 形态:
Liquid
- 保存条件:
Store as concentrated solution. Centrifuge briefly prior to opening vial. For short-term storage (1-2 weeks), store at 4ºC. For long-term storage, aliquot and store at -20ºC or below. Avoid multiple freeze-thaw cycles.
- 克隆性:
Monoclonal
- 标记物:
Unconjugated
- 适应物种:
Human, Mouse
- 保质期:
12 months from the shipping date of the product.
- 抗原来源:
Human
- 目录编号:
GTX82827
- 级别:
Primary Antibodies
- 库存:
Available
- 供应商:
GeneTex
- 宿主:
Mouse
- 应用范围:
WB, ICC/IF, IHC-P, ELISA
- 靶点:
HSPA4
- 抗体英文名:
HSPA4 antibody [5A6]
- 抗体名:
HSPA4 抗体 [5A6]
- 规格:
100 μl
ICC/IF analysis of NIH3T3 cells using GTX82827 HSPA4 antibody [5A6].
Green : HSPA4
Blue: DRAQ5 fluorescent DNA dye
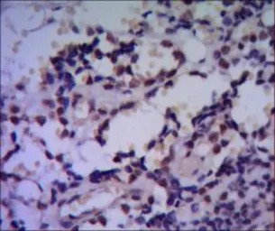
IHC-P analysis of human breast cancer using GTX82827 HSPA4 antibody [5A6].
WB analysis of HeLa cell lysate using GTX82827 HSPA4 antibody [5A6].
风险提示:丁香通仅作为第三方平台,为商家信息发布提供平台空间。用户咨询产品时请注意保护个人信息及财产安全,合理判断,谨慎选购商品,商家和用户对交易行为负责。对于医疗器械类产品,请先查证核实企业经营资质和医疗器械产品注册证情况。
文献和实验CD81 分子 CD81 常用单克隆抗体或代号: ID6,5A6;(TAPA- 1) 主要表达细胞: 广泛,包括B,T,M [B] 分子质量(kDa)和结构: p26(TM4-SF) 功 能: 增殖抗体靶抗原,与CD19、CD21相连,组成B细胞复合体 CD81 Aka Target of an Anti-Proliferative Antibody (TAPA1)
【资源】全面归类网址:毕赤酵母表达各种来源蛋白(细菌,真菌,植物,人类等)
allergen Bos d2S, mg amounts, native[160]Mammalian α2,6-sialyltransferaseI and S, active401Mouse ABC transportersI, active513Mouse activin type II receptorS, 5 mg/L, active395Mouse single chain antibody Fv fragments (sFv)S, 250 mg/L, α-MF, PHO1[169, 365
[资源] 所有的看家基因(housekeeping genes)列表+引物设计服务
8 ), transcript variant PAX8A, mRNA 901 NM_001155 Homo sapiens annexin A6 (ANXA6), transcript variant 1, mRNA 718 NM_003465 Homo sapiens chitinase 1 (chitotriosidase) (CHIT1), mRNA 561 NM_003186 Homo sapiens transgelin (TAGLN), mRNA 1209 NM_000802 Homo
技术资料暂无技术资料 索取技术资料





![PAPP A antibody [PAPP A 1-1]](https://img1.dxycdn.com/2022/0329/671/1596330966757020453-14.jpg!wh200)





