相关产品推荐更多 >
万千商家帮你免费找货
0 人在求购买到急需产品
- 详细信息
- 文献和实验
- 技术资料
- 免疫原:
Recombinant fragment (around aa32-372) corresponding to human CD5 protein (extracellular).
- 亚型:
IgG
- 形态:
Liquid
- 保存条件:
Store as concentrated solution. Centrifuge briefly prior to opening vial. For short-term storage (1-2 weeks), store at 4ºC. For long-term storage, aliquot and store at -20ºC or below. Avoid multiple freeze-thaw cycles.
- 克隆性:
Monoclonal
- 标记物:
Unconjugated
- 保质期:
12 months from the shipping date of the product.
- 抗原来源:
Human
- 目录编号:
GTX04427
- 级别:
Primary Antibodies
- 库存:
Available
- 供应商:
GeneTex
- 宿主:
Rabbit
- 应用范围:
IHC-P
- 浓度:
0.2 mg/ml (Please refer to the vial label for the specific concentration.)
- 抗体英文名:
CD5 antibody [MSVA-005R] HistoMAX
- 抗体名:
CD5 抗体 [MSVA-005R] HistoMAX
- 规格:
500 μl
IHC-P analysis of human tonsil tissue section using GTX04427 CD5 antibody [MSVA-005R] HistoMAX.
Strong CD5 positivity of T lymphocytes interfollicular and in germinal centres.
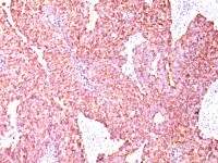
IHC-P analysis of human B-cell chronic lymphocytic leukemia tissue section using GTX04427 CD5 antibody [MSVA-005R] HistoMAX.
Lymph node B-CLL with strong CD5 positivity of all tumor cells.
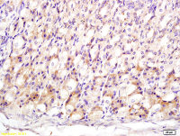
IHC-P analysis of human ileum mucosa tissue section using GTX04427 CD5 antibody [MSVA-005R] HistoMAX.
Strong CD5 immunostaining of T lymphocytes in the ileum mucosa.
风险提示:丁香通仅作为第三方平台,为商家信息发布提供平台空间。用户咨询产品时请注意保护个人信息及财产安全,合理判断,谨慎选购商品,商家和用户对交易行为负责。对于医疗器械类产品,请先查证核实企业经营资质和医疗器械产品注册证情况。
文献和实验CD5 分子 CD5 常用单克隆抗体或代号:T1,UCHT2,T101,Leul 主要表达细胞:T,Thy,BsubC T细胞 分子质量(kDa)和结构:gp67(清除剂受体) 功 能:与CD72结合,T细胞信号转导和增殖,CD5+ B细胞与自身免疫有关 CD5 Belongs to ancient scavenger receptor family
Combined Flow Cytometric Measurement of Two Cell-Surface Antigens and DNA-RNA Content
Actinomycin D (AD) stock solution (1 mg/mL) 7-aminoactinomycin D (7-AAD) stock solution (1 mg/mL) Antibody staining solution Human cells of interest, fresh or cultured (or immortalized human cell lines) Monoclonal antibodies (mAb
MATERIALS T-cell: CD2 IgG2b, 01171D B-cell: B220 (CD45R) IgG2a, 01121A CD3 IgG2b, 28001D Monocytic: Mac1 (CD11b) IgG2b, 01711A CD5 IgG2a, 01031
技术资料暂无技术资料 索取技术资料











